KRT17 Antibody
-
中文名稱:KRT17兔多克隆抗體
-
貨號:CSB-PA182687
-
規格:¥1100
-
圖片:
-
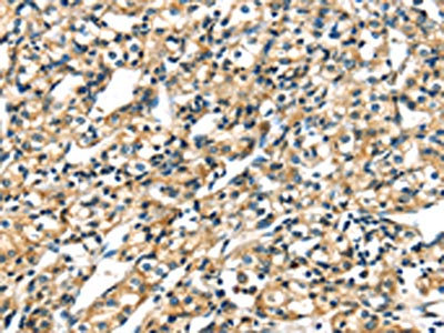
The image on the left is immunohistochemistry of paraffin-embedded Human prostate cancer tissue using CSB-PA182687(KRT17 Antibody) at dilution 1/40, on the right is treated with fusion protein. (Original magnification: ×200)
-
The image on the left is immunohistochemistry of paraffin-embedded Human brain tissue using CSB-PA182687(KRT17 Antibody) at dilution 1/40, on the right is treated with fusion protein. (Original magnification: ×200)
-
-
其他:
產品詳情
-
Uniprot No.:
-
基因名:
-
別名:39.1 antibody; CK 17 antibody; CK-17 antibody; Cytokeratin-17 antibody; K17 antibody; K1C17_HUMAN antibody; Keratin 17 antibody; keratin 17 epitope S1 antibody; keratin 17 epitope S2 antibody; keratin 17 epitope S4 antibody; Keratin 17, type I antibody; Keratin antibody; Keratin type I cytoskeletal 17 antibody; keratin, type i cytoskeletal 17 [version 1] antibody; Keratin-17 antibody; KRT17 antibody; PC antibody; PC2 antibody; PCHC1 antibody; type I cytoskeletal 17 antibody
-
宿主:Rabbit
-
反應種屬:Human,Mouse,Rat
-
免疫原:Fusion protein of Human KRT17
-
免疫原種屬:Homo sapiens (Human)
-
標記方式:Non-conjugated
-
抗體亞型:IgG
-
純化方式:Antigen affinity purification
-
濃度:It differs from different batches. Please contact us to confirm it.
-
保存緩沖液:-20°C, pH7.4 PBS, 0.05% NaN3, 40% Glycerol
-
產品提供形式:Liquid
-
應用范圍:ELISA,IHC
-
推薦稀釋比:
Application Recommended Dilution ELISA 1:1000-1:5000 IHC 1:30-1:150 -
Protocols:
-
儲存條件:Upon receipt, store at -20°C or -80°C. Avoid repeated freeze.
-
貨期:Basically, we can dispatch the products out in 1-3 working days after receiving your orders. Delivery time maybe differs from different purchasing way or location, please kindly consult your local distributors for specific delivery time.
-
用途:For Research Use Only. Not for use in diagnostic or therapeutic procedures.
相關產品
靶點詳情
-
功能:Type I keratin involved in the formation and maintenance of various skin appendages, specifically in determining shape and orientation of hair. Required for the correct growth of hair follicles, in particular for the persistence of the anagen (growth) state. Modulates the function of TNF-alpha in the specific context of hair cycling. Regulates protein synthesis and epithelial cell growth through binding to the adapter protein SFN and by stimulating Akt/mTOR pathway. Involved in tissue repair. May be a marker of basal cell differentiation in complex epithelia and therefore indicative of a certain type of epithelial 'stem cells'. Acts as a promoter of epithelial proliferation by acting a regulator of immune response in skin: promotes Th1/Th17-dominated immune environment contributing to the development of basaloid skin tumors. May act as an autoantigen in the immunopathogenesis of psoriasis, with certain peptide regions being a major target for autoreactive T-cells and hence causing their proliferation.
-
基因功能參考文獻:
- A report of a recurrent mutation in the KRT17 gene found in a family with severe SM, which provides further evidence that some factors such as modifiers, androgenic stimulation and/or environment influence the phenotypes, and other genetic or proteomic conditions might also influence the final manifestations of the disease. PMID: 29218738
- High CK17 expression is associated with lymph node metastasis in oral squamous cell carcinoma. PMID: 30066921
- High expression of KRT17 is frequent in Lung adenocarcinoma tissues. PMID: 29991674
- Narrow-band ultraviolet B irradiation could downregulate K17 expression by inhibiting the ERK1/2 and STAT3 signaling pathways. PMID: 29349514
- Our results highlight KRT17 as a possible biomarker in gastric cancer promoting tumor growth, motility, and invasion, and suggest that KRT17 can be a valuable molecular target for development of anti-gastric cancer-specific therapies PMID: 28299464
- The findings suggest that CK17, although not specific for differentiated vulvar intraepithelial neoplasia (dVIN), when combined with histologic findings, Ki-67, and p53 immunohistochemistry, can be a marker of vulvar dysplasia and serve as an adjunct in the diagnosis of dVIN. PMID: 27513074
- Krt17 was demonstrated to contribute to areca nut-induced oral malignancy PMID: 27432155
- TGFbeta/SMAD/miR-486-3p signaling axis in keratinocytes regulated K17 expression and cell proliferation. We conclude that the loss of miR-486-3p in psoriatic epidermis leads to K17 protein overexpression and contributes to the pathogenesis of psoriasis. PMID: 28642156
- KRT17 promotes tumor cell growth, at least partially, through its anti-apoptotic effect as a result of the KRT17 overexpression by GLIs in oral squamous cell carcinoma (OSCC).. PMID: 28342001
- TGF-beta1-induced CK17 enhances cancer stem cell-like properties rather than epithelial-mesenchymal transition in promoting cervical cancer metastasis via the ERK1/2-MZF1 signaling pathway. PMID: 28703907
- K17 is highly expressed in most cases of both invasive adenocarcinoma and in AIS and is a powerful, negative prognostic marker for patient survival. PMID: 28821199
- the data suggest that the loss of Krt17 may foster an overall protective environment for lesion-prone cervical tissue. PMID: 27065324
- High KR17 expression is associated with oral cancer. PMID: 27512993
- K17 is expressed in a subset of triple-negative breast cancers, and is a marker of poor prognosis in patients with advanced stage and ER(-)/HER2(-) breast cancer. PMID: 27816721
- MiR-138 may regulate K17 protein expression to affect cell proliferation and apoptosis by targeting hTERT gene in keratinocytes from psoriatic vulgaris patients. PMID: 27936398
- The pattern of CK17 expression is a highly sensitive marker for distinguishing cutaneous lymphadenoma from basal cell carcinoma in small samples. PMID: 26968559
- Cytokeratin 17 immunoexpression might have a role in evaluating surgical borders in some cases of actinic keratosis and Bowen disease. PMID: 26740287
- Steatocystoma multiplex is associated with the R94C mutation in the KRTl7 gene, and is reported in a Chinese pedigree. PMID: 26165312
- These findings suggest that CK17 is involved in the development and metastasis of papillary thyroid carcinoma PMID: 26191283
- Case Report: polycystic kidney disease with steatocystoma multiplex. PKD1 mutations disrupt keratin 17 polymerization. PMID: 25111597
- our findings establish that K17 functions specially among keratins as an oncoprotein by controlling the ability of p27(KIP1) to influence cervical cancer pathogenesis. PMID: 26109559
- Data indicate that autoimmune regulator Aire mRNA transcripts are regulated in a keratin 17 (K17) dependent manner in skin tumor keratinocytes. PMID: 26168014
- We conclude that K17 expression promotes oral squamous cell carcinoma cell growth and cell size but does not affect cell migration PMID: 25736868
- Report overexpression of keratin 17 in premalignant and malignant squamous lesions of the cervix. PMID: 24051697
- novel heterozygous mutation, p.L91P (c.272T>C) in the helix initiation motif, associated with pachyonychia congenita type 2 PMID: 23855588
- Peripheral or diffuse staining for CK17 is a useful marker of invasion in anal squamous neoplastic lesions. PMID: 24335642
- KRT17 is necessary for oncogenic transformation in Ewing sarcoma and accounts for much of the GLI1-mediated transformation function but via a mechanism independent of AKT signaling. PMID: 24043308
- Overexpression of keratin 17 is associated with epithelial ovarian cancer. PMID: 23430585
- a novel mutation in a Chinese pedigree of pachyonychia congenita type 2 with typical clinical presentations and an autosomal dominant inheritance pattern PMID: 23278621
- We identified a known mutation in the KRT17 gene in a family with steatocystoma PMID: 22639854
- Keratin-17 expression is correlated with tumor progression in gastric adenocarcinoma and may serve as a biomarker for poor prognosis. PMID: 22695933
- IL-22 up-regulates K17 expression in keratinocytes in a dose-dependent manner through STAT3- and ERK1/2-dependent mechanisms. PMID: 22808266
- Keratin 17 is a therapeutic target for the treatment of psoriasis [review] PMID: 22795618
- We observed a higher likelihood of oral leukokeratosis in individuals harboring KRT6A mutations, and a strong association of natal teeth and cysts in carriers of a KRT17 mutation. PMID: 22264670
- Data indicate that cytokeratin 17 (CK17) expression could be associated with the differentiation and the malignancy of oral squamous cell carcinoma (OSCC). PMID: 22466643
- A report on homozygosity for dominant missense mutations in keratin 17 that modify the pachyonychia congenita phenotype. PMID: 22336949
- Both moesin and KRT17 demonstrated a tendency of increased expression as pT stage advanced. PMID: 22076435
- a novel interaction involving K17 and AnxA2 and identify AnxA2 as a potential regulator of keratin filaments. PMID: 22235123
- Type I keratin 17 protein is phosphorylated on serine 44 by p90 ribosomal protein S6 kinase 1 (RSK1) in a growth- and stress-dependent fashion PMID: 22006917
- The data suggested that IL-17A can upregulate keratin-17 expression in keratinocytes in a dose-dependent manner through STAT1- and STAT3-dependent mechanisms. PMID: 21796151
- AIRE expression in HaCaT epidermal keratinocytes, as well as its interaction with K17, was confirmed. PMID: 21356351
- KRT17 is upregulated in gastric adenocarcinoma and is associated with tumor progression. PMID: 21443102
- mutation of KRT17 may play a major role in the pathogenesis of this pedigree with pachyonychia congenita type 2. PMID: 21287500
- Overexpression of KRT17 is associated with basal-like phenotype in breast cancer. PMID: 19882246
- CK17 expression is significantly higher in thyroid papillary carcinoma than benign thyroid tissue; and this characteristic can have important diagnostic value. PMID: 14761598
- Mutation in second half of 1A domain of K17 might delay onset of clinical phenotype. PMID: 15102078
- Epitopes S1 (118-132), S2 (169-183), S4 (323-337) and S4 (348-362) are immunodominant DR B1-restricted T cell epitopes for psoriasis. S1 (118-132) contains the ALEEAN sequence. Others with different amino acid sequence have not been reported before. PMID: 15795121
- KRT 17 seemed to be the most accurate marker for the diagnosis of micrometastases of a size >450 mum. PMID: 16638858
- findings showed that out of all cytokeratins, CK17 was up-regulated strongest in oral squamous cell carcinoma compared to normal samples, and over-expression was most significantly associated with diagnosis PMID: 17786476
- The mutation p.M88K is in the helix initiation motif (HIM) of KRT17, where 13 of the reported 14 mutations of KRT17 in PC-2 have been mapped, and the residue M88 of the HIM is also a mutation hotspot of other keratin disorders (http://www.interfil.org/). PMID: 18547302
顯示更多
收起更多
-
相關疾病:Pachyonychia congenita 2 (PC2); Steatocystoma multiplex (SM)
-
亞細胞定位:Cytoplasm.
-
蛋白家族:Intermediate filament family
-
組織特異性:Expressed in the outer root sheath and medulla region of hair follicle specifically from eyebrow and beard, digital pulp, nail matrix and nail bed epithelium, mucosal stratified squamous epithelia and in basal cells of oral epithelium, palmoplantar epider
-
數據庫鏈接:
Most popular with customers
-
-
YWHAB Recombinant Monoclonal Antibody
Applications: ELISA, WB, IHC, IF, FC
Species Reactivity: Human, Mouse, Rat
-
Phospho-YAP1 (S127) Recombinant Monoclonal Antibody
Applications: ELISA, WB, IHC
Species Reactivity: Human
-
-
-
-
-















