KRT10 Antibody
-
中文名稱:KRT10兔多克隆抗體
-
貨號:CSB-PA012504LA01HU
-
規格:¥440
-
圖片:
-
Western blot
All lanes: KRT10 antibody at 6µg/ml
Lane 1: A431 whole cell lysate
Lane 2: HepG2 whole cell lysate
Lane 3: MCF-7 whole cell lysate
Secondary
Goat polyclonal to rabbit IgG at 1/10000 dilution
Predicted band size: 59 kDa
Observed band size: 59 kDa -
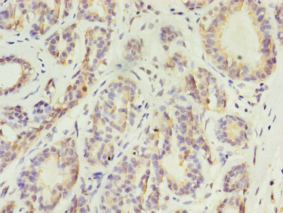
Immunohistochemistry of paraffin-embedded human lung cancer using CSB-PA012504LA01HU at dilution of 1:100
-
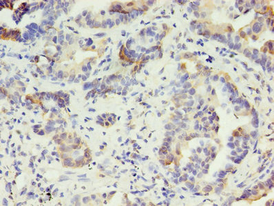
Immunohistochemistry of paraffin-embedded human breast cancer using CSB-PA012504LA01HU at dilution of 1:100
-
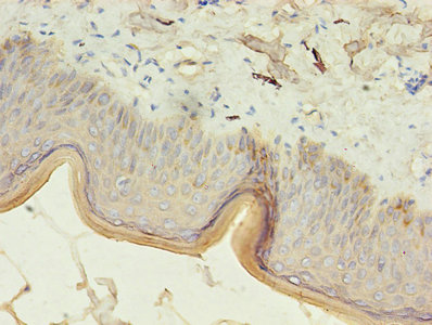
Immunohistochemistry of paraffin-embedded human skin tissue using CSB-PA012504LA01HU at dilution of 1:100
-
Immunofluorescent analysis of MCF-7 cells using CSB-PA012504LA01HU at dilution of 1:100 and Alexa Fluor 488-congugated AffiniPure Goat Anti-Rabbit IgG(H+L)
-
-
其他:
產品詳情
-
產品名稱:Rabbit anti-Homo sapiens (Human) KRT10 Polyclonal antibody
-
Uniprot No.:
-
基因名:
-
別名:BCIE antibody; BIE antibody; CK 10 antibody; CK-10 antibody; Cytokeratin-10 antibody; EHK antibody; K10 antibody; K1C10_HUMAN antibody; Keratin 10 antibody; Keratin 10 type I antibody; Keratin antibody; Keratin type i cytoskeletal 10 antibody; Keratin type I cytoskeletal 59 kDa antibody; Keratin-10 antibody; Keratin10 antibody; KPP antibody; KRT10 antibody; type I cytoskeletal 10 antibody
-
宿主:Rabbit
-
反應種屬:Human
-
免疫原:Recombinant Human Keratin, type I cytoskeletal 10 protein (1-584AA)
-
免疫原種屬:Homo sapiens (Human)
-
標記方式:Non-conjugated
本頁面中的產品,KRT10 Antibody (CSB-PA012504LA01HU),的標記方式是Non-conjugated。對于KRT10 Antibody,我們還提供其他標記。見下表:
-
克隆類型:Polyclonal
-
抗體亞型:IgG
-
純化方式:>95%, Protein G purified
-
濃度:It differs from different batches. Please contact us to confirm it.
-
保存緩沖液:Preservative: 0.03% Proclin 300
Constituents: 50% Glycerol, 0.01M PBS, PH 7.4 -
產品提供形式:Liquid
-
應用范圍:ELISA, WB, IHC, IF
-
推薦稀釋比:
Application Recommended Dilution WB 1:500-1:2000 IHC 1:20-1:200 IF 1:50-1:200 -
Protocols:
-
儲存條件:Upon receipt, store at -20°C or -80°C. Avoid repeated freeze.
-
貨期:Basically, we can dispatch the products out in 1-3 working days after receiving your orders. Delivery time maybe differs from different purchasing way or location, please kindly consult your local distributors for specific delivery time.
-
用途:For Research Use Only. Not for use in diagnostic or therapeutic procedures.
相關產品
靶點詳情
-
功能:Plays a role in the establishment of the epidermal barrier on plantar skin.; (Microbial infection) Acts as a mediator of S.aureus adherence to desquamated nasal epithelial cells via clfB, and hence may play a role in nasal colonization.; (Microbial infection) Binds S.pneumoniae PsrP, mediating adherence of the bacteria to lung cell lines. Reduction of levels of KRT10 keratin decrease adherence, overexpression increases adherence. Neither protein has to be glycosylated for the interaction to occur.
-
基因功能參考文獻:
- The molecular diagnostics by the whole exome sequencing showed a novel de novo (c.1374-2A>C) mutation in the KRT10 gene responsible for the development of IWC (KRT10 defect was confirmed by immunofluorescent study). Concurrently, the m.14484T>C mutation in mitochondrial MTND6 gene (characteristic for Leber's hereditary optic neuropathy or LHON) was detected in patient, his mother and brother PMID: 28944608
- KRT10 gene mutation was present in all of the affected individuals, but absent in the five unaffected and 100 ethnically-matched healthy controls. PMID: 27212473
- Mutations in the highly conserved helix initiation motif of K10 were associated with mild or severe form of epidermolytic ichthyosis PMID: 26373619
- Report genetic/clinical spectrum of KRT10 mutations in keratinopathic ichthyosis. PMID: 26581228
- We present an autosomal dominant pedigree with epidermolytic ichthyosis resulting from a new heterozygous missense mutation in keratin 10. PMID: 26338057
- recombinant adenovirus-mediated overexpression of KRT10 and PTEN may improve the cisplatin resistance of ovarian cancer in vitro and in vivo PMID: 26125866
- findings provide structural insights into phenotypic variation in epidermolytic ichthyosis due to KRT10 mutations PMID: 26176760
- The diagnosis of ichthyosis with confetti was confirmed by the identification of 2 previously unreported mutations in intron 6 and exon 7 of KRT10. PMID: 24626314
- We present the spectrum of clinical variability of ichthyosis with confetti in 6 patients with confirmed mutations in KRT10. PMID: 25210931
- Case Report: extensive postzygotic mosaicism for a novel keratin 10 mutation in epidermolytic ichthyosis. PMID: 24096702
- Data indicate that KRT10 is a downstream molecule of PTEN which improves cisplatin-resistance of ovarian cancer cells. PMID: 24434152
- Most of the orthokeratotic dysplasia constituent cells were immunopositive for keratin 10, but not for keratins 13, 17 or 19. PMID: 22734720
- Molecular mimicry between HSP 65 of Mycobacterium leprae and cytokeratin 10 of the host keratin play the role in pathogenesis of leprosy. PMID: 23121977
- Pneumococcal ligands K10, laminin receptor and platelet-activating factor receptor are elevated in aged lungs and contribute to the enhanced susceptibility to pneumonia. PMID: 21615674
- mapping and identifying disease-causing mutations in gene encoding KRT10 in ichthyosis with confetti; high frequency of somatic reversion suggests revertant stem cell clones are under positive selection and/or rate of mitotic recombination is elevated PMID: 20798280
- Data show that TIMP-1 and cytokeratin-10 were identified as 2 newly synthesized secreted proteins in PMID: 19904223
- Expression was altered in oral lichen planus lesions PMID: 19776502
- Mutations in codon 156 of K10, i.e. R156S, R156P, R156H were found in epidermolytic hyperkeratosis. PMID: 12234709
- cytokeratin 10 molecules were shown to be exposed on the surface of both desquamated nasal epithelial cells and keratinocytes; Staphylococcus aureus clumping factor B (ClfB) was shown to bind to cytokeratin K10 from the desquamated nasal epithelial cells PMID: 12427098
- Impaired NF-kappa B activation and increased production of tumor necrosis factor alpha is observed in transgenic mice expressing keratin K10 in the basal layer of the epidermis. PMID: 12566451
- normal cornified cell envelope is formed during the process of human epidermal keratinization, even if the suprabasal keratin filament network is disrupted as with this particular K10 mutation, M150T in BCIE PMID: 14705805
- cytokeratin 10 may have a role in progression of head and neck squamous cell carcinoma. PMID: 15254692
- We demonstrate that a recessive mutation in KRT10 leading to a complete human K10 knockout can cause EHK PMID: 16505000
- Candidate autoantigen in chronic, antibiotic-resistant Lyme arthritis. PMID: 16888010
- Squamous cell carcinoma (SCC) in mature cystic teratoma (MCT) expressed CK10 less frequently, but CK18 more frequently. SCC in MCT may be derived from metaplastic squamous epithelium. PMID: 17542994
- Mild recessive bullous congenital ichthyosiform erythroderma due to a previously unidentified homozygous keratin 10 nonsense mutation. PMID: 18219278
- siRNA for PRKD1 resulted in reduction of mRNA levels of PKD1, altered cell phenotype and promotion of keratinocyte differentiation, demonstrated by increased expression of involucrin and K10 mRNAs PMID: 18259765
- CK10 alone, or in combination with CK19, can be a novel predictor for poor prognosis of hepatocellular carcinoma patients after curative resection. PMID: 18559605
- EHK is an autosomal dominant disorder of keratinization, caused by mutations in either the KRT1 or KRT10 genes. Our patient presents EHK with palmoplantar involvement and KRT10 mutation. PMID: 19443303
- premature termination codon of KRT10 maybe involved in recessive epidermolytic hyperkeratosis PMID: 19474805
- Infection by HPV may alter the differentiation status of the epidermis, leading to delayed or absent expression of cytokeratin 10. PMID: 19515043
顯示更多
收起更多
-
相關疾病:Epidermolytic hyperkeratosis (EHK); Ichthyosis annular epidermolytic (AEI); Erythroderma, ichthyosiform, congenital reticular (CRIE)
-
亞細胞定位:Secreted, extracellular space. Cell surface.
-
蛋白家族:Intermediate filament family
-
組織特異性:Seen in all suprabasal cell layers including stratum corneum. Expressed on the surface of lung cell lines.
-
數據庫鏈接:
Most popular with customers
-
-
YWHAB Recombinant Monoclonal Antibody
Applications: ELISA, WB, IHC, IF, FC
Species Reactivity: Human, Mouse, Rat
-
-
-
-
-
-















