KPNB1 Antibody
-
中文名稱:KPNB1兔多克隆抗體
-
貨號:CSB-PA244093
-
規格:¥1100
-
圖片:
-
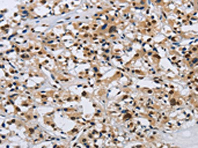
The image on the left is immunohistochemistry of paraffin-embedded Human cervical cancer tissue using CSB-PA244093(KPNB1 Antibody) at dilution 1/40, on the right is treated with synthetic peptide. (Original magnification: ×200)
-
The image on the left is immunohistochemistry of paraffin-embedded Human thyroid cancer tissue using CSB-PA244093(KPNB1 Antibody) at dilution 1/40, on the right is treated with synthetic peptide. (Original magnification: ×200)
-
-
其他:
產品詳情
-
Uniprot No.:
-
基因名:
-
別名:IMB 1 antibody; IMB1 antibody; IMB1_HUMAN antibody; Impnb antibody; Importin 90 antibody; Importin beta 1 antibody; Importin beta 1 subunit antibody; Importin subunit beta-1 antibody; Importin-90 antibody; IPOB antibody; Karyopherin beta 1 antibody; Karyopherin beta 1 subunit antibody; Karyopherin subunit beta-1 antibody; KPNB 1 antibody; Kpnb1 antibody; MGC2155 antibody; MGC2156 antibody; MGC2157 antibody; NTF 97 antibody; NTF97 antibody; NTF97/Importin beta antibody; Nuclear factor P97 antibody; Pore targeting complex 97 kDa subunit antibody; PTAC97 antibody
-
宿主:Rabbit
-
反應種屬:Human,Mouse,Rat
-
免疫原:Synthetic peptide of Human KPNB1
-
免疫原種屬:Homo sapiens (Human)
-
標記方式:Non-conjugated
-
抗體亞型:IgG
-
純化方式:Antigen affinity purification
-
濃度:It differs from different batches. Please contact us to confirm it.
-
保存緩沖液:-20°C, pH7.4 PBS, 0.05% NaN3, 40% Glycerol
-
產品提供形式:Liquid
-
應用范圍:ELISA,IHC
-
推薦稀釋比:
Application Recommended Dilution ELISA 1:2000-1:10000 IHC 1:50-1:200 -
Protocols:
-
儲存條件:Upon receipt, store at -20°C or -80°C. Avoid repeated freeze.
-
貨期:Basically, we can dispatch the products out in 1-3 working days after receiving your orders. Delivery time maybe differs from different purchasing way or location, please kindly consult your local distributors for specific delivery time.
-
用途:For Research Use Only. Not for use in diagnostic or therapeutic procedures.
相關產品
靶點詳情
-
功能:Functions in nuclear protein import, either in association with an adapter protein, like an importin-alpha subunit, which binds to nuclear localization signals (NLS) in cargo substrates, or by acting as autonomous nuclear transport receptor. Acting autonomously, serves itself as NLS receptor. Docking of the importin/substrate complex to the nuclear pore complex (NPC) is mediated by KPNB1 through binding to nucleoporin FxFG repeats and the complex is subsequently translocated through the pore by an energy requiring, Ran-dependent mechanism. At the nucleoplasmic side of the NPC, Ran binds to importin-beta and the three components separate and importin-alpha and -beta are re-exported from the nucleus to the cytoplasm where GTP hydrolysis releases Ran from importin. The directionality of nuclear import is thought to be conferred by an asymmetric distribution of the GTP- and GDP-bound forms of Ran between the cytoplasm and nucleus. Mediates autonomously the nuclear import of ribosomal proteins RPL23A, RPS7 and RPL5. Binds to a beta-like import receptor binding (BIB) domain of RPL23A. In association with IPO7 mediates the nuclear import of H1 histone. In vitro, mediates nuclear import of H2A, H2B, H3 and H4 histones. In case of HIV-1 infection, binds and mediates the nuclear import of HIV-1 Rev. Imports SNAI1 and PRKCI into the nucleus.
-
基因功能參考文獻:
- our findings suggest that Kpnbeta1 plays a significant role in non-small cell lung cancer progression and chemoresistance PMID: 29622086
- Study identified that high expression of Kpnbeta1 in breast cancer (BC) often leads to poor prognosis and that Kpnbeta1-knockdown markedly reduced BC cell proliferation by abrogating nuclear transport of Her2. PMID: 29251332
- Data suggest that IGFBP5 nuclear import is mediated by KPNA5/KPNB1 complex; nuclear localization sequence of IGFBP5 is critical domain in this nuclear translocation. (IGFBP5 = insulin-like growth factor binding protein-5; KPNA5 = karyopherin subunit alpha-5; KPNB1 = karyopherin subunit beta-1/importin-beta) PMID: 28835592
- KPNB1 and Ran protein jointly mediated the nuclear import of NDV M protein, showing that KPNB1 protein interacted with NDV M protein to form binary complex and then entered into the nucleus with the assistance of Ran protein. PMID: 29746765
- Results show that importin beta1 is an Epac1 binding partner that regulates Epac1 subcellular localization. PMID: 27808165
- Results found KPNB1 to be required for the migration and invasion of cervical cancer cells through mediating nuclear import. Its inhibition of KPNB1 interferes with NFkB subcellular localization. PMID: 28427184
- These results showed that BLM enters the nucleus via the importin beta1, RanGDP and NTF2 dependent pathway, demonstrating for the first time the nuclear trafficking mechanism of a DNA helicase. PMID: 29017749
- Therefore, we show for the first time that the nuclear localization of Cat L and its substrate Cux1can be positively regulated by Snail NLS and importin beta1, suggesting that Snail, Cat L and Cux1 all utilize importin beta1 for nuclear import. PMID: 28698143
- KPNB1 might enhance human glioma proliferation via Wnt/beta-Catenin Pathway. PMID: 27568288
- Importins, Impbeta, Kapbeta2, Imp4, Imp5, Imp7, Imp9, and Impalpha, show the H3 tail binding more tightly than the H4 tail. The H3 tail binds Kapbeta2 and Imp5 with KD values of 77 and 57 nm, respectively, and binds the other five Importins more weakly. PMID: 27528606
- KPNbeta1 was significantly highly expressed in gastric cancer and was correlated with tumor grade as well as poor prognosis. PMID: 26242264
- Patients with tumors highly expressing Kpnbeta1 have poorer overall survivals. Kpnbeta1 interacts with p65 and enhances cell adhesion-mediated drug resistance. PMID: 26498772
- Collectively, these data show that KPNB1 is required for timely nuclear import of PER/CRY in the negative feedback regulation of the circadian clock. PMID: 26319354
- Humanin Peptide Binds to Insulin-Like Growth Factor-Binding Protein 3 (IGFBP3) and Regulates Its Interaction with Importin-beta. PMID: 26216267
- RBBP4 functions as a novel regulatory factor to increase the efficiency of importin alpha/beta-mediated nuclear import PMID: 26491019
- High expression of KPNB1 protein is associated with hepatocellular carcinoma. PMID: 25794490
- Data show that cytoskeleton associated protein 5 (chTOG) only weakly promotes importin-regulated microtubule nucleation, but acts synergistically with microtubule- associated protein TPX2. PMID: 26414402
- Data reveal a novel role for miR-9 in regulation of the NFAT pathway by targeting KPNB1 and DYRK1B. PMID: 25696812
- Data show that importin-beta (impbeta) alters the nuclear pore's permeability in a Ran-dependent manner, suggesting that impbeta is a functional component of the nuclear pore complex (NPC). PMID: 25748139
- DZNep suppressed EZH2/miR-30a,d/KPNB1 signaling. PMID: 25890085
- Importin beta1 mediates the translocation of NF-kappaB into the nuclei of myeloma cells, thereby regulating proliferation and blocking apoptosis, which provides new insights for targeted myeloma therapies. PMID: 25643631
- ARHI competes with RanGTPase and interacts with importin beta via basic-acidic patch interaction, which leads to inhibition of STAT3 translocation. PMID: 25499977
- The study revealed a regulatory role of the p97-Npl4-Ufd1 complex in regulating a partial degradation of the NF-kappaB subunit p100. PMID: 26112410
- This hypersensitivity of malignant cell types to Impbeta1 knockdown raises the exciting possibility of anti-cancer therapies targeted at Impbeta1. PMID: 25960398
- Importin-beta1 mediates the non-classical nucleocytoplasmic transport of MARVELD1. PMID: 26107903
- Although there are many kinds of C2H2-type ZFs which have the same fold as Snail, nuclear import by direct recognition of importin beta is observed in a limited number of C2H2-type zinc-finger proteins such as Snail PMID: 24699649
- ARTD15 plays role in nucleocytoplasmic shuttling, through karyopherin-beta1 mono-ADP-ribosylation. [review] PMID: 25037261
- These data reveal an emergent Kap-centric barrier mechanism that may underlie mechanistic and kinetic control in the nuclear pore complex. PMID: 24739174
- Data suggest nuclear entry of GLI1 (glioma-associated oncogene homolog, a zinc finger protein) is regulated by unique mechanism via mutually exclusive binding by its nuclear import factor IMB1 (importin B1) and SuFu (suppressor of fused protein). PMID: 24854174
- The results here establish for the first time that intracellular calcium modulates conventional nuclear import through direct effects on the nuclear transport machinery. PMID: 24953690
- This work extends published observations on SAMHD1 nuclear localization to a natural cell type for HIV-1 infection and identifies KPNA2/KPNB1 as cellular proteins important for SAMHD1 nuclear import. PMID: 24712655
- Knockdown of KPNB1 reduced the amount of nuclear p65 following TNF stimulation. KPNB1 binding to p65 is NLS dependent. PMID: 23906023
- the inhibition of endogenous Kpnbeta1 in cervical cancer cells results in a significant increase in mitotic abnormalities and a prolonged mitotic arrest. PMID: 24398670
- Ei24 can bind specifically to IMPbeta1 and IMPalpha2 to impede their normal role in nuclear import. PMID: 24821838
- we report that the EZH2-miR-30d-KPNB1 signalling pathway is critical for malignant peripheral nerve sheath tumour cell survival in vitro and tumourigenicity in vivo PMID: 24132643
- The role of Kpnbeta1 in cancer is only now being elucidated, and recent work points to its potential usefulness as an anti-cancer target. PMID: 23557333
- Identification of a karyopherin beta1/beta2 proline-tyrosine nuclear localization signal in huntingtin protein. PMID: 23012356
- Nuclear translocation of Wilms' tumour protein involves importins alpha and beta, and a nuclear localisation signal in the third zinc finger PMID: 22415091
- Findings suggest that the deregulated activity of E2F in cancer cells causes increased activation of the Kpnbeta1 and Kpnalpha2 promoters, leading to elevated levels of these proteins, and ultimately impacting the cancer phenotype. PMID: 22125623
- Findings suggest that the importin beta1-mediated nuclear localization of DR5 limits the DR5/TRAIL-induced cell death of human tumor cells and thus can be a novel target to improve cancer therapy with recombinant TRAIL and anti-DR5 antibodies. PMID: 22020938
- study defines importin-alpha/importin-beta1/Ran as the molecular mechanism by which STAT3 traffics to the nucleus PMID: 21625522
- [review] The cellular functions of Ran are mediated by RanGTP interactions with nuclear transport receptors related to importin beta and depend on the existence of chromosome-centered RanGTP gradient. PMID: 21630149
- Importin beta interacts with the NFAT-tubulin alpha complex rather than NFAT or tubulin alpha alone, resulting in cotranslocation of NFAT and tubulin alpha into the nucleus. PMID: 21278340
- Results demonstrate that PP2A-B55alpha and importin-beta1 cooperate in the regulation of postmitotic assembly mechanisms in human cells. PMID: 20711181
- [review] Recognition and shuttling of calcineurin into the nucleus by importin-beta requires the nuclear localization sequence of the region spanning amino acids 172-183 of calcineurin A beta. PMID: 19925438
- nuclear import of the HPV16 E6 oncoprotein in digitonin-permeabilized HeLa cells could be mediated by Kap beta1 PMID: 12551970
- XCTK2 binding to microtubules inhibited in the presence of importin alpha and beta PMID: 13679510
- Importin alpha/beta-mediated nuclear import machinery is regulated in a cell cycle-dependent manner through the modulation of interaction modes between importins alpha and beta. PMID: 15194443
- Inhibition by Impbeta results from depletion nuclear RanGTP, and, in support of this mechanism, expression of mRFP-Ran reversed the inhibition. PMID: 15795315
- These data suggest the importance of receptor endocytosis, endosomal sorting machinery, interaction with importins alpha1/beta1, and exportin CRM1 in EGFR nuclear-cytoplasmic trafficking. PMID: 16552725
顯示更多
收起更多
-
亞細胞定位:Cytoplasm. Nucleus envelope.
-
蛋白家族:Importin beta family, Importin beta-1 subfamily
-
數據庫鏈接:
Most popular with customers
-
-
YWHAB Recombinant Monoclonal Antibody
Applications: ELISA, WB, IHC, IF, FC
Species Reactivity: Human, Mouse, Rat
-
Phospho-YAP1 (S127) Recombinant Monoclonal Antibody
Applications: ELISA, WB, IHC
Species Reactivity: Human
-
-
-
-
-















