KLK6 Antibody
-
中文名稱:KLK6兔多克隆抗體
-
貨號:CSB-PA900886
-
規格:¥1100
-
圖片:
-
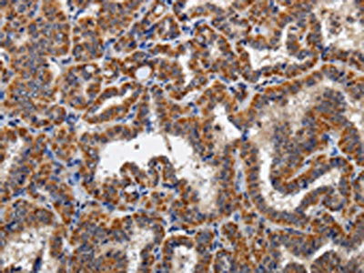
The image on the left is immunohistochemistry of paraffin-embedded Human thyroid cancer tissue using CSB-PA900886(KLK6 Antibody) at dilution 1/60, on the right is treated with fusion protein. (Original magnification: ×200)
-
The image on the left is immunohistochemistry of paraffin-embedded Human brain tissue using CSB-PA900886(KLK6 Antibody) at dilution 1/60, on the right is treated with fusion protein. (Original magnification: ×200)
-
-
其他:
產品詳情
-
Uniprot No.:
-
基因名:KLK6
-
別名:Bssp antibody; hK 6 antibody; hK6 antibody; Kallikrein 6 precursor antibody; Kallikrein related peptidase 6 antibody; Kallikrein-6 antibody; Kallikrein6 antibody; KLK 6 antibody; Klk 7 antibody; KLK 9 antibody; Klk29 antibody; Klk6 antibody; KLK6_HUMAN antibody; Klk7 antibody; KLK9 antibody; MGC9355 antibody; mGK 1 antibody; mGK1 antibody; MSP antibody; Neurosin antibody; Protease M antibody; Protease serine 18 antibody; Protease serine 9 antibody; PRSS 18 antibody; PRSS 9 antibody; PRSS18 antibody; PRSS9 antibody; Serine protease 18 antibody; Serine protease 9 antibody; SP 59 antibody; SP59 antibody; Tissue kallikrein antibody; TK antibody; Zyme antibody
-
宿主:Rabbit
-
反應種屬:Human
-
免疫原:Fusion protein of Human KLK6
-
免疫原種屬:Homo sapiens (Human)
-
標記方式:Non-conjugated
-
抗體亞型:IgG
-
純化方式:Antigen affinity purification
-
濃度:It differs from different batches. Please contact us to confirm it.
-
保存緩沖液:-20°C, pH7.4 PBS, 0.05% NaN3, 40% Glycerol
-
產品提供形式:Liquid
-
應用范圍:ELISA,IHC
-
推薦稀釋比:
Application Recommended Dilution ELISA 1:2000-1:10000 IHC 1:100-1:300 -
Protocols:
-
儲存條件:Upon receipt, store at -20°C or -80°C. Avoid repeated freeze.
-
貨期:Basically, we can dispatch the products out in 1-3 working days after receiving your orders. Delivery time maybe differs from different purchasing way or location, please kindly consult your local distributors for specific delivery time.
-
用途:For Research Use Only. Not for use in diagnostic or therapeutic procedures.
相關產品
靶點詳情
-
功能:Serine protease which exhibits a preference for Arg over Lys in the substrate P1 position and for Ser or Pro in the P2 position. Shows activity against amyloid precursor protein, myelin basic protein, gelatin, casein and extracellular matrix proteins such as fibronectin, laminin, vitronectin and collagen. Degrades alpha-synuclein and prevents its polymerization, indicating that it may be involved in the pathogenesis of Parkinson disease and other synucleinopathies. May be involved in regulation of axon outgrowth following spinal cord injury. Tumor cells treated with a neutralizing KLK6 antibody migrate less than control cells, suggesting a role in invasion and metastasis.
-
基因功能參考文獻:
- High KLK6 expression is associated with metastasis of colon cancer. PMID: 30015976
- Results showed a significant downregulation of KLK6 mRNA expression in breast cancer (BC) tissue sections compared to the non-cancerous component. The expression of KLK6 is positively associated with tumor grade and is overexpressed in aggressive phenotypes such as TNBC. PMID: 29435805
- KLK6-PAR2 expression is down-regulated and PAR1 is up-regulated when DeltaNp63beta expression is decreased, leading to EMT with enhancing migration and invasion through ERK signal reduction at the invasive front PMID: 29224812
- KLK6 may be the key protease involved in the proteolytic modification of PFK-M. PMID: 29563071
- Our data demonstrate for the first time increased levels of KLK6 in mucosal melanomas of the head and neck PMID: 27844409
- Induction of autophagic processes through KLK6 expression may increase acquisition of resistance of gastric cancer cells to auranofin-induced autophagy. PMID: 27863404
- Our data provide experimental evidence that KLK6 controls metastasis formation in colon cancer via specific downstream network of miRNA-mRNA effectors. PMID: 28431272
- Data show that kallikrein 6 (KLK6) expression is induced in mouse and human skin during chronic glucocorticoid treatment. PMID: 27283773
- FST and KLK6 may have significance in breast cancer detection PMID: 27168011
- KLK6 overexpression and likely its proteolytic activity is associated with alterations in downstream miRNAs and their targets, and these differ with the molecular subtypes of breast cancer. PMID: 27093921
- Molecular models of peptides were built into the KLK6 structure and the marked preference of the cut between the two R of the examined peptides was related to the extended conformation of the substrates PMID: 28254587
- Our fine-mapping study has identified novel loci in the KLK6 region strongly associated with aggressive PCa. PMID: 28376164
- mRNA expression levels of KLK6 and KLK8 in advanced serous ovarian cancer PMID: 27483364
- Data indicate that elevated expression of microRNA-375 in head and neck squamous cell carcinoma (HNSCC) cells significantly reduces kallikrein 6 (KLK6), kallikrein 10 (KLK10), and matrix metalloproteinase 9 (MMP9) messenger RNA expression. PMID: 26172508
- KLK6 expression was detected in head and neck tumor cell lines (FaDu, Cal27 and SCC25), but not in HeLa cervix carcinoma cells. PMID: 25990935
- The results of this study indicated that reductions in kallikrein-6 and calpain-1 may contribute to the accumulation of alpha-synuclein in DLB. PMID: 25476568
- KLK6 and KLK10 may be useful markers and potential therapeutic targets in gastroesophageal junction tumors PMID: 25649006
- This study assessed the prognostic utility of human tissue kallikrein-like peptidases 6 and 10 (KLK6 and KLK10) and correlated their expression with histopathological and clinical parameters in gastric cancer. PMID: 25153389
- KLK6 may represent a potential unfavorable prognostic biomarker for colon cancer. PMID: 25153391
- KLK6 promotes the proliferation of lung tumoral cells and restrains their apoptosis in vitro via ligand-dependent EGFR and was dependent on the protease-activated receptor 2. PMID: 24643912
- The level of KLK6 is significantly increased in the plasma samples from laryngeal cancer patients compared to the controls. PMID: 24669031
- Our data suggest that de novo KLK6 expression during early liver carcinogenesis may induce production of Ubi(1-74) by post-translational modification of ubiquitin PMID: 24979321
- KLK6 mRNA expression could be considered as an independent, unfavorable molecular prognostic biomarker in colorectal adenocarcinoma, with additional prognostic value in patients without regional or distant metastases PMID: 24430362
- Data indicate there was no SNP in KLK6 was associated with altered risk of prostate cancer. PMID: 21741862
- Neuropathological analysis following delivery of LV-Neurosin to alpha-syn tg mice resulted in reduced accumulation of alpha-syn and reversal of neurodegenerative alterations in wild type but not A53T alpha-syn tg mice PMID: 22508489
- Patients with synucleinopathy displayed lower cerebrospinal fluid levels of neurosin and alpha-synuclein compared to controls and Alzheimer's disease patients. PMID: 23308173
- KLK6 DNA methylation was significantly associated with pathological stage in prostate cancer patients operated by radical prostatectomy. PMID: 22874102
- Decreased serum concentrations of KLK6 are found in patients with aneurysmal subarachnoid hemorrhage, with the lowest levels in patients who died PMID: 23049835
- hsa-let-7 family member hsa-let-7a is a modulator of KLK6 protein expression that is independent of the KLK6 copy number status PMID: 23136250
- KLK6 gene expression may have clinical utility as a marker of unfavorable prognosis for intracranial tumors, and consequently, it could be used as target for therapeutic intervention. PMID: 22477710
- in colorectal cancer patients, lymph node KLK6 positivity indicated presence of aggressive tumour cells associated with poor prognosis and high risk of tumour recurrence PMID: 22699826
- KLK6 is positioned to serve as a molecular trigger of select physiological processes involved in the development of astrogliosis PMID: 22505518
- KLK6 expressed by stromal cells may considerably contribute to the aggressiveness of ovarian cancer PMID: 22505521
- KLK6 is significantly upregulated and secreted in gastric cancer tissues and sera, suggesting that KLK6 might be used as a potential biomarker and therapeutic target for gastric cancer. PMID: 22373580
- KLK6 immunostaining is an independent prognostic marker in patients with colorectal carcinoma. PMID: 22285222
- High KLK6 is associated with ovarian cancer. PMID: 22102857
- KLK6-induced intracellular Ca(2+) flux and tumor cell invasion critically depends on the protease-activated receptor 1 (PAR1). PMID: 21753781
- KLK6 has a role in tumour proliferation and progression of NSCLC PMID: 19426157
- upregulated in late stage epithelial ovarian cancer PMID: 20680316
- KLK6 was up-regulated significantly in tissues and sera from patients with colon cancer and was associated closely with a poor prognosis. PMID: 21656738
- KLK6 promotes lymphocyte survival by a mechanism that depends in part on activation of PAR1. PMID: 21464892
- The expression of kallikrein 7 and kallikrein 6 in melanomas may be responsible for the loss of cell-cell adhesion. PMID: 21193224
- an altered KLK6 expression may contribute to vascular abnormalities in Alzheimer's disease and vascular dementia PMID: 20846516
- Neurosin targets extracellular alpha-synuclein in cultured cells. PMID: 20403393
- Patients diagnosed with advanced multiple sclerosis showed mean CSF levels of kallikrein-related peptidase 6 (29 ng/ml) that were significantly higher than in neurological controls (25.5 ng/ml). PMID: 20836755
- The expression of hK6 in ovarian cancer was higher than that in benign and borderline ovarian neoplasms. Expression is higher in the ovarian cancer of late stage, higher-grade, with lymph node metastasis and is associated with a poorer prognosis. PMID: 19950700
- KLK6 expression in cancerous tissues may play an important role in the invasion and metastasis of primary breast carcinoma. PMID: 18992199
- Data show that it was unable to distinguish men with and without prostate cancer using multiple kallikreins as urinary biomarkers. PMID: 19560453
- characterization of human kallikrein 6 as a degradative protease with structural features more similar to trypsin than the regulatory kallikreins PMID: 11983703
- X-ray crystallographic structure of KLK6. PMID: 12016211
顯示更多
收起更多
-
亞細胞定位:Secreted. Nucleus, nucleolus. Cytoplasm. Mitochondrion. Microsome. Note=In brain, detected in the nucleus of glial cells and in the nucleus and cytoplasm of neurons. Detected in the mitochondrial and microsomal fractions of HEK-293 cells and released into the cytoplasm following cell stress.
-
蛋白家族:Peptidase S1 family, Kallikrein subfamily
-
組織特異性:In fluids, highest levels found in milk of lactating women followed by cerebrospinal fluid, nipple aspirate fluid and breast cyst fluid. Also found in serum, seminal plasma and some amniotic fluids and breast tumor cytosolic extracts. Not detected in urin
-
數據庫鏈接:
Most popular with customers
-
-
YWHAB Recombinant Monoclonal Antibody
Applications: ELISA, WB, IHC, IF, FC
Species Reactivity: Human, Mouse, Rat
-
Phospho-YAP1 (S127) Recombinant Monoclonal Antibody
Applications: ELISA, WB, IHC
Species Reactivity: Human
-
-
-
-
-















