KLHL13 Antibody
-
中文名稱:KLHL13兔多克隆抗體
-
貨號:CSB-PA865211ESR2HU
-
規格:¥440
-
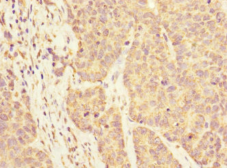
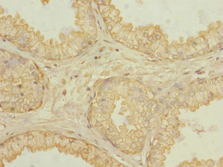
圖片:
-
其他:
產品詳情
-
產品名稱:Rabbit anti-Homo sapiens (Human) KLHL13 Polyclonal antibody
-
Uniprot No.:
-
基因名:
-
別名:BKLHD2 antibody; BTB and kelch domain containing 2 antibody; BTB and kelch domain containing 2 KIAA1309 antibody; BTB and kelch domain containing protein 2 antibody; BTB and kelch domain-containing protein 2 antibody; FLJ10262 antibody; Kelch like 13 (Drosophila) antibody; Kelch like protein 13 antibody; Kelch-like protein 13 antibody; KIAA1309 antibody; KLH13_HUMAN antibody; KLHL13 antibody; MGC74791 antibody
-
宿主:Rabbit
-
反應種屬:Human
-
免疫原:Recombinant Human Kelch-like protein 13 protein (1-260AA)
-
免疫原種屬:Homo sapiens (Human)
-
標記方式:Non-conjugated
-
克隆類型:Polyclonal
-
抗體亞型:IgG
-
純化方式:Antigen Affinity Purified
-
濃度:It differs from different batches. Please contact us to confirm it.
-
保存緩沖液:PBS with 0.02% sodium azide, 50% glycerol, pH7.3.
-
產品提供形式:Liquid
-
應用范圍:ELISA, IHC
-
推薦稀釋比:
Application Recommended Dilution IHC 1:20-1:200 -
Protocols:
-
儲存條件:Upon receipt, store at -20°C or -80°C. Avoid repeated freeze.
-
貨期:Basically, we can dispatch the products out in 1-3 working days after receiving your orders. Delivery time maybe differs from different purchasing way or location, please kindly consult your local distributors for specific delivery time.
-
用途:For Research Use Only. Not for use in diagnostic or therapeutic procedures.
相關產品
靶點詳情
-
功能:Substrate-specific adapter of a BCR (BTB-CUL3-RBX1) E3 ubiquitin-protein ligase complex required for mitotic progression and cytokinesis. The BCR(KLHL9-KLHL13) E3 ubiquitin ligase complex mediates the ubiquitination of AURKB and controls the dynamic behavior of AURKB on mitotic chromosomes and thereby coordinates faithful mitotic progression and completion of cytokinesis.
-
數據庫鏈接:
Most popular with customers
-
-
YWHAB Recombinant Monoclonal Antibody
Applications: ELISA, WB, IHC, IF, FC
Species Reactivity: Human, Mouse, Rat
-
Phospho-YAP1 (S127) Recombinant Monoclonal Antibody
Applications: ELISA, WB, IHC
Species Reactivity: Human
-
-
-
-
-















