KLHDC8A Antibody
-
中文名稱:KLHDC8A兔多克隆抗體
-
貨號:CSB-PA816911LA01HU
-
規格:¥440
-
圖片:
-
Western Blot
Positive WB detected in: JK whole cell lysate, A2780 whole cell lysate, ntera2 whole cell lysate, K562 whole cell lysate, HL60 whole cell lysate
All lanes: KLHDC8A antibody at 1:1000
Secondary
Goat polyclonal to rabbit IgG at 1/50000 dilution
Predicted band size: 39 kDa
Observed band size: 39 kDa -
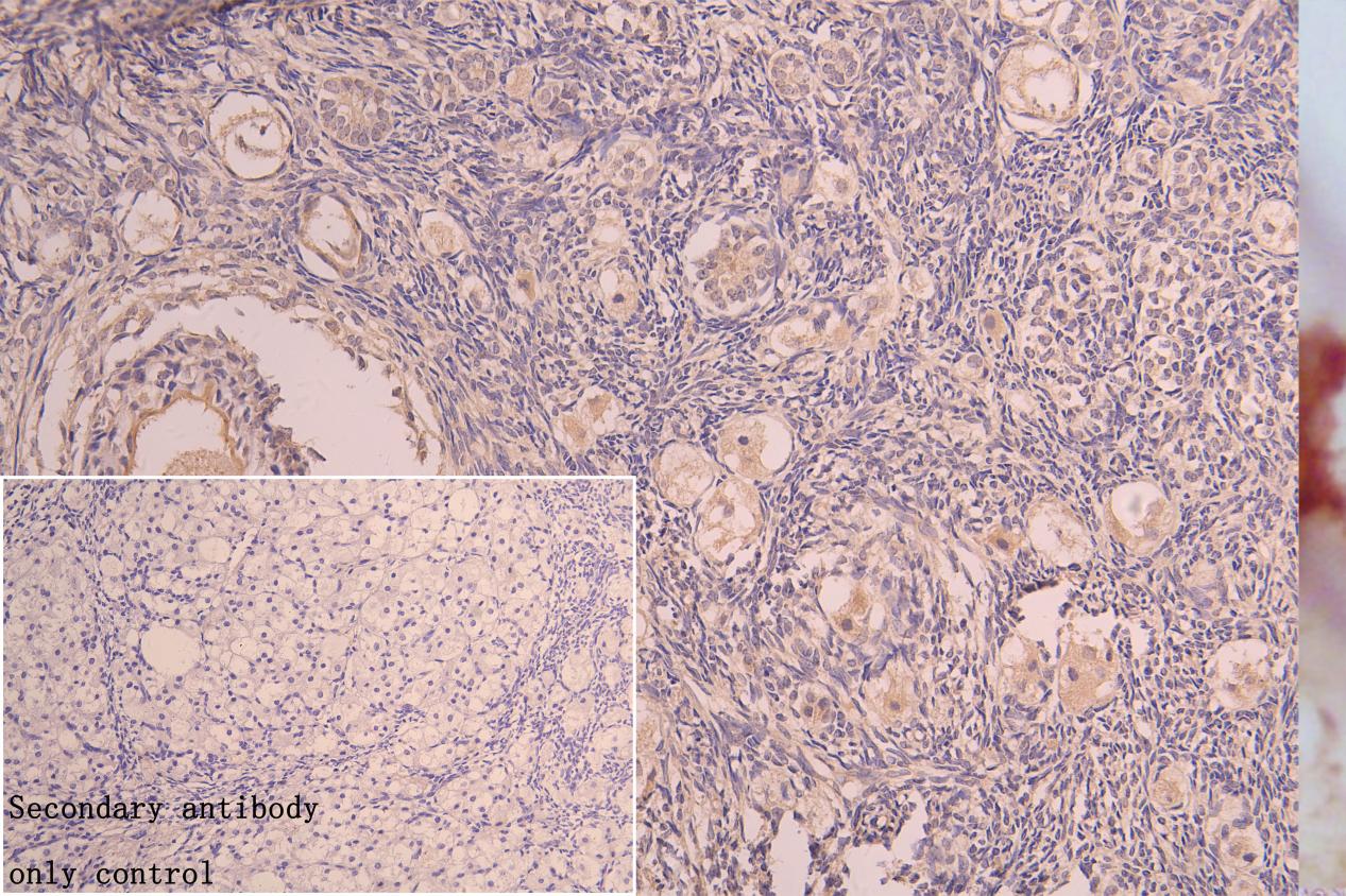
IHC image of CSB-PA816911LA01HU diluted at 1:150 and staining in paraffin-embedded human ovariane tissue performed on a Leica BondTM system. After dewaxing and hydration, antigen retrieval was mediated by high pressure in a citrate buffer (pH 6.0). Section was blocked with 10% normal goat serum 30min at RT. Then primary antibody (1% BSA) was incubated at 4°C overnight. The primary is detected by a Goat anti-rabbit polymer IgG labeled by HRP and visualized using 0.05% DAB. Secondary antibody only control: uses 1% BSA instead of primary antibody
-
-
其他:
產品詳情
-
產品名稱:Rabbit anti-Homo sapiens (Human) KLHDC8A Polyclonal antibody
-
Uniprot No.:
-
基因名:KLHDC8A
-
別名:KLHDC8A antibody; Kelch domain-containing protein 8A antibody; Substitute for delta-EGFR expression 1 antibody; S-delta-E1 antibody
-
宿主:Rabbit
-
反應種屬:Human
-
免疫原:Recombinant Human Kelch domain-containing protein 8A protein (1-350AA)
-
免疫原種屬:Homo sapiens (Human)
-
標記方式:Non-conjugated
本頁面中的產品,KLHDC8A Antibody (CSB-PA816911LA01HU),的標記方式是Non-conjugated。對于KLHDC8A Antibody,我們還提供其他標記。見下表:
-
克隆類型:Polyclonal
-
抗體亞型:IgG
-
純化方式:Antigen Affinity Purified
-
濃度:It differs from different batches. Please contact us to confirm it.
-
保存緩沖液:Preservative: 0.03% Proclin 300
Constituents: 50% Glycerol, 0.01M PBS, PH 7.4 -
產品提供形式:Liquid
-
應用范圍:ELISA, WB, IHC
-
推薦稀釋比:
Application Recommended Dilution WB 1:500-1:2000 IHC 1:20-1:200 -
Protocols:
-
儲存條件:Upon receipt, store at -20°C or -80°C. Avoid repeated freeze.
-
貨期:Basically, we can dispatch the products out in 1-3 working days after receiving your orders. Delivery time maybe differs from different purchasing way or location, please kindly consult your local distributors for specific delivery time.
-
用途:For Research Use Only. Not for use in diagnostic or therapeutic procedures.
相關產品
Most popular with customers
-
Phospho-YAP1 (S127) Recombinant Monoclonal Antibody
Applications: ELISA, WB, IHC
Species Reactivity: Human
-
-
-
-
-
-
-















