KLF5 Antibody
-
中文名稱:KLF5兔多克隆抗體
-
貨號:CSB-PA234904
-
規格:¥1100
-
圖片:
-
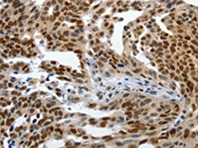
The image on the left is immunohistochemistry of paraffin-embedded Human ovarian cancer tissue using CSB-PA234904(KLF5 Antibody) at dilution 1/120, on the right is treated with synthetic peptide. (Original magnification: ×200)
-
The image on the left is immunohistochemistry of paraffin-embedded Human colon cancer tissue using CSB-PA234904(KLF5 Antibody) at dilution 1/120, on the right is treated with synthetic peptide. (Original magnification: ×200)
-
Gel: 10+12+15%SDS-PAGE, Lysate: 40 μg, Lane 1-2: Jurkat cells, human ovarian cancer tissue, Primary antibody: CSB-PA234904(KLF5 Antibody) at dilution 1/1700, Secondary antibody: Goat anti rabbit IgG at 1/8000 dilution, Exposure time: 20 seconds
-
-
其他:
產品詳情
-
Uniprot No.:
-
基因名:
-
別名:Basic transcription element binding protein 2 antibody; Basic transcription element-binding protein 2 antibody; BTE binding protein 2 antibody; BTE-binding protein 2 antibody; BTEB 2 antibody; BTEB2 antibody; CKLF antibody; Colon krueppel like factor antibody; Colon krueppel-like factor antibody; GC box binding protein 2 antibody; GC-box-binding protein 2 antibody; IKLF antibody; Intestinal enriched krueppel like factor antibody; Intestinal-enriched krueppel-like factor antibody; KLF 5 antibody; Klf5 antibody; KLF5_HUMAN antibody; Krueppel like factor 5 antibody; Krueppel-like factor 5 antibody; Kruppel like factor 5 intestinal antibody; Transcription factor BTEB 2 antibody; Transcription factor BTEB2 antibody
-
宿主:Rabbit
-
反應種屬:Human,Mouse
-
免疫原:Synthetic peptide of Human KLF5
-
免疫原種屬:Homo sapiens (Human)
-
標記方式:Non-conjugated
-
抗體亞型:IgG
-
純化方式:Antigen affinity purification
-
濃度:It differs from different batches. Please contact us to confirm it.
-
保存緩沖液:-20°C, pH7.4 PBS, 0.05% NaN3, 40% Glycerol
-
產品提供形式:Liquid
-
應用范圍:ELISA,WB,IHC
-
推薦稀釋比:
Application Recommended Dilution ELISA 1:1000-1:5000 WB 1:500-1:2000 IHC 1:100-1:300 -
Protocols:
-
儲存條件:Upon receipt, store at -20°C or -80°C. Avoid repeated freeze.
-
貨期:Basically, we can dispatch the products out in 1-3 working days after receiving your orders. Delivery time maybe differs from different purchasing way or location, please kindly consult your local distributors for specific delivery time.
-
用途:For Research Use Only. Not for use in diagnostic or therapeutic procedures.
相關產品
靶點詳情
-
功能:Transcription factor that binds to GC box promoter elements. Activates the transcription of these genes.
-
基因功能參考文獻:
- These results revealed that KLF5 promotes the tumorigenesis and metastasis of thyroid cancer cells and may be a potential therapeutic target in patients with thyroid cancer PMID: 30226614
- the present findings were the first to show that KLF5 expression and nitration by iNOS-mediated peroxynitrite are necessary for the induction of TNF-alpha and IL-1beta expression in VSMCs of diabetic vascular tissues. PMID: 28711598
- the results of the present study suggested that the miR5905p/KLF5 axis may regulate osteosarcoma (OS)progression and thus, may be a novel therapeutic target for the treatment of patients with OS. PMID: 29916536
- Study showed that KLF5 expression was increased in intracranial aneurysms (IAs) patients compared to that of normal subjects, and KLF5 overexpression vascular smooth muscle cells proliferation, migration, and phenotypic modulation, suggesting that the upregulated KLF5 expression played an important role in the induction of IAs. PMID: 30201338
- correlation between the KLF5 and ZEB1 transcription levels in the pancreatic tumor tissues PMID: 30168064
- The present study has identified that KLF5, a target of miR-145-5p, is a key marker gene in cancer. miR-145-5p may also contribute to the dysregulation of other functional genes during tumor development. PMID: 29658584
- the knockdown of HDAC1/2 upregulated KLF5 protein but not KLF5 mRNA, and the increase in KLF5 protein level by silencing HDAC1/2 was at least in part due to decreased proteasomal degradation. PMID: 29679567
- KLF5 expression in tumor stroma was closely associated with clinicopathological features such as tumor size, invasion depth, cell grade and lymph node metastasis, as well as poor prognosis in patients with gastric cancer. PMID: 28934010
- KLF5 has a role in regulating IL1beta induced intervertebral disc metabolism PMID: 29196238
- Levels of KLF5 are increased in human pancreatic ductal adenocarcinoma. PMID: 29248441
- Data demonstrate that KLF5 inhibits ccRCC growth as a tumor suppressor and highlight the potential of 5-Aza-CdR to release KLF5 expression as a therapeutic modality for the treatment of ccRCC. PMID: 28749461
- The present study found that the KLF4 and KLF5 3'-UTR contains one conserved target site of miR-506 and miR-124, and the overexpression of miR-506 and miR-124 inhibited the H2O2-induced upregulation of KLF4 and KLF5 in HCMs. PMID: 28849090
- miR-5195-3p suppressed proliferation and invasion of human bladder cancer cells via suppression of KLF5. PMID: 28109084
- miR-217 suppresses triple-negative breast cancer cell growth, migration, and invasion. MiR-217 suppresses triple-negative breast cancer, at least partially, through down-regulating the KLF5 expression. PMID: 28437471
- Data reveal that the presence of rs200996365, a SNP in high-linkage disequilibrium with rs8102137 residing in the center of a KLF5 motif, alters KLF5 binding to this genomic region and provide evidence that KLF5 binds CCNE1 polymorphic intronic enhancer to confer increased bladder cancer risk. PMID: 27514407
- demonstrate that a 186bp region is the minimal essential region and that Sp3-GC1 binding is essential to the basal expression of KLF5 PMID: 27940107
- We provide the first evidence that the expression of KLF5 is up-regulated in small airways and pulmonary vessels of patients with COPD and may be involved in the tissue remodeling of COPD. PMID: 26792671
- our results indicate that KLF5 promotes angiogenesis of bladder cancer through directly regulating VEGFA transcription PMID: 26544730
- Data indicate direct binding of microRNA miR-375 to the 3'-untranslated region of transcription factor KLF5. PMID: 26474386
- findings collectively suggest that TNFAIP2 is a direct KLF5 target gene, and both KLF5 and TNFAIP2 promote breast cancer cell proliferation, migration and invasion through Rac1 and Cdc42 PMID: 26189798
- KLF5/Sox4 regulatory signaling play an important role in lung tumorigenesis, which might represent novel therapeutic targets to manage lung carcinoma. PMID: 24401325
- BAP1 interacts directly with KLF5 and stabilizes KLF5 via deubiquitination. PMID: 26419610
- Data suggest both KLF5 and FYN (FYN proto-oncogene) are important in regulation of migration in bladder cancer cells; KLF5 up-regulates cell migration, lamellipodia formation, expression of FYN, and phosphorylation of FAK (focal adhesion kinase). PMID: 26786295
- ATXN3L has a role in the regulation of KLF5 stability in breast cancer PMID: 26079537
- TEAD4 and KLF5, in collaboration, promoted triple negative breast cancer cell proliferation and tumor growth in part by inhibiting p27 gene transcription PMID: 25970772
- that estrogen biphasically modulates prostate tumor formation by regulating Kruppel-like zinc finger transcription factor 5-dependent transcription through estrogen receptor beta PMID: 26483416
- down-regulation of KLF4 and up-regulation of KLF5 may stimulate oral carcinoma progression through the dedifferentiation of carcinoma cells. PMID: 26097551
- KLF5 loss enhances tumor angiogenesis by attenuating PI3K/AKT signaling and subsequent accumulation of HIF1alpha in PTEN deficient prostate tumors. PMID: 25896712
- KLF5 facilitates lysophosphatidic acid -induced interaction between beta-catenin and TCF4. PMID: 25683913
- These results identify KLF4 and KLF5 as cooperating protumorigenic factors and critical participants in resistance to lapatinib, furthering the rationale for combining anti-MCL1/BCL-XL inhibitors with conventional HER2-targeted therapies. PMID: 25789974
- Simultaneous downregulation of KLF5 and Fli1 is a key feature underlying systemic sclerosis. PMID: 25504335
- TMEM16A and myocardin form a positive feedback loop that is disrupted by KLF5 during Ang II-induced vascular remodeling. PMID: 26077572
- KLF5/GATA4/GATA6 may promote gastric cancer development by engaging in mutual crosstalk, collaborating to maintain a pro-oncogenic transcriptional regulatory network in gastric cancer cells. PMID: 25053715
- Using small interfering RNA (siRNA) targeting KLF5 or HIF-1alpha, study demonstrated that KLF5 or HIF-1alpha knockdown inhibited hypoxia-induced cell survival and promoted cell apoptosis by actively downregulating cyclin B1, survivin and upregulating caspase-3 in lung cancer cells. PMID: 25051115
- study results indicate that KLF5 mediates proinflammatory cytokine expression through upregulation of NF-kappaB phosphorylation at p65 in LPS-induced ALI. PMID: 25197166
- KLF5 mRNA overexpression is associated with cervical cancer. PMID: 25119587
- Unfractionated heparin suppresses lipopolysaccharide-induced monocyte chemoattractant protein-1 expression in human microvascular endothelial cells by blocking Kruppel-like factor 5 and nuclear factor-kappaB pathway PMID: 25023776
- Data indicate that histone deacetylase inhibitors (HDACi) induce intestinal alkaline phosphatase (ALPi) in a subset of colon cancer cell lines in a Kruppel-like factor 5 (KLF5)-dependent manner. PMID: 25037223
- deacetylation switched KLF5 to tumor promoting activity, and blocking TGFbeta signaling attenuated the tumor suppressor activity of KLF5 PMID: 24931571
- Altogether, our data provide an explanation for low HK3 and KLF5 expression in particular AML subtype and establish these genes as novel CEBPA targets during neutrophil differentiation. PMID: 24584857
- The differential roles of KLF5 in particular tissues and cancer states. [Review] PMID: 24323942
- amino acid residue 301 of KLF5 is critical for proper recognition of the phosphodegron sequence by FBW7alpha and that the P301S mutation inhibits this recognition PMID: 24398687
- Kruppel-like factor 5: a novel biomarker for lymph node metastasis and recurrence in supraglottic squamous cell laryngeal carcinoma. PMID: 23975368
- KLF5 was highly expressed in the ovarian cancer cell line. PMID: 23869764
- KLF5 maintains epithelial characteristics and prevents EMT by transcriptionally activating the miR-200 family in epithelial cells. PMID: 24126055
- KLF5 is an androgen-responsive gene in breast carcinomas, which plays an important role in progression and is considered a potent prognostic factor in human breast cancers. PMID: 22936544
- mPGES1 is a target gene of KLF5 in human breast cancer celsl PMID: 23913682
- Data suggest that KLF5 activity is regulated by progesterone/estrogen in normal mammary gland and in breast cancer; KLF5 participates in estrogen/estrogen receptor and progesterone/progesterone receptor signaling and breast tumorigenesis. [REVIEW] PMID: 23810009
- These results identify KLF5 as a transactivator of HIF-1alpha and show that LPA regulates HIF-1alpha by dynamically modulating its interaction with KLF5 and p53. PMID: 23880760
- KLF5 activation of JNK signaling is mediated by KLF5 transactivation of two key upstream regulators of the JNK pathway, ASK1 and MKK4. PMID: 23633919
顯示更多
收起更多
-
亞細胞定位:Nucleus.
-
蛋白家族:Krueppel C2H2-type zinc-finger protein family
-
組織特異性:Expressed only in testis and placenta.
-
數據庫鏈接:
Most popular with customers
-
-
-
-
-
-
-
-
VDAC1 Recombinant Monoclonal Antibody
Applications: ELISA, WB, IHC
Species Reactivity: Human, Mouse, Rat















