KLF3 Antibody
-
中文名稱:KLF3兔多克隆抗體
-
貨號:CSB-PA012393DSR2HU
-
規格:¥440
-
圖片:
-
Immunohistochemistry of paraffin-embedded human breast cancer using CSB-PA012393DSR2HU at dilution of 1:100
-
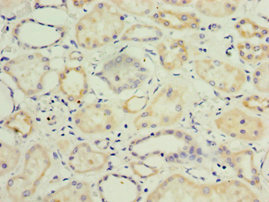
Immunohistochemistry of paraffin-embedded human kidney tissue using CSB-PA012393DSR2HU at dilution of 1:100
-
Immunohistochemistry of paraffin-embedded human adrenal gland tissue using CSB-PA012393DSR2HU at dilution of 1:100
-
-
其他:
產品詳情
-
產品名稱:Rabbit anti-Homo sapiens (Human) KLF3 Polyclonal antibody
-
Uniprot No.:
-
基因名:KLF3
-
別名:Basic krueppel-like factor antibody; Basic Kruppel like factor antibody; BKLF3 antibody; CACCC box binding protein BKLF antibody; CACCC-box-binding protein BKLF antibody; Klf3 antibody; KLF3_HUMAN antibody; Krueppel-like factor 3 antibody; Kruppel like factor 3 (basic) antibody; MGC48279 antibody; TEF-2 antibody; TEF2 antibody; Transcript ch138 antibody; Zinc finger protein 741 antibody; ZNF741 antibody
-
宿主:Rabbit
-
反應種屬:Human
-
免疫原:Recombinant Human Krueppel-like factor 3 protein (1-240AA)
-
免疫原種屬:Homo sapiens (Human)
-
標記方式:Non-conjugated
-
克隆類型:Polyclonal
-
抗體亞型:IgG
-
純化方式:Antigen Affinity Purified
-
濃度:It differs from different batches. Please contact us to confirm it.
-
保存緩沖液:PBS with 0.02% sodium azide, 50% glycerol, pH7.3.
-
產品提供形式:Liquid
-
應用范圍:ELISA, IHC
-
推薦稀釋比:
Application Recommended Dilution IHC 1:20-1:200 -
Protocols:
-
儲存條件:Upon receipt, store at -20°C or -80°C. Avoid repeated freeze.
-
貨期:Basically, we can dispatch the products out in 1-3 working days after receiving your orders. Delivery time maybe differs from different purchasing way or location, please kindly consult your local distributors for specific delivery time.
-
用途:For Research Use Only. Not for use in diagnostic or therapeutic procedures.
相關產品
靶點詳情
-
功能:Binds to the CACCC box of erythroid cell-expressed genes. May play a role in hematopoiesis.
-
基因功能參考文獻:
- Low KLF3 expression is associated with colorectal cancer. PMID: 28423541
- Among the mechanosensitive genes, the two transcription factors, HoxA5 and Klf3, contain cAMP-response-elements methylation of which could serve as a mechanosensitive master switch in gene expression in atherosclerosis. (Review) PMID: 25979369
- Klf-3 expression is downregulated in human metastatic sarcomas, and Klf-3 levels negatively correlate with miR-182 expression. PMID: 26314219
- A feedback loop consisting of microRNA 23a/27a and the beta-like globin suppressors KLF3 and SP1 regulates globin gene expression. PMID: 23918807
- B cell differentiation is significantly impaired in the bone marrow, spleen, and peritoneal cavity of Klf3 null mice; the defects are cell autonomous. PMID: 22003205
- Low KLF3 is associated with acute myeloid leukemia. PMID: 21470678
- KLF3 is an important regulator of several biological processes, including adipogenesis, erythropoiesis, and B cell development. (Review) PMID: 21360637
- The recruitment of CtBP and sumoylation are required for full repression by BKLF. PMID: 15684403
顯示更多
收起更多
-
亞細胞定位:Nucleus.
-
蛋白家族:Krueppel C2H2-type zinc-finger protein family
-
數據庫鏈接:
Most popular with customers
-
-
YWHAB Recombinant Monoclonal Antibody
Applications: ELISA, WB, IHC, IF, FC
Species Reactivity: Human, Mouse, Rat
-
Phospho-YAP1 (S127) Recombinant Monoclonal Antibody
Applications: ELISA, WB, IHC
Species Reactivity: Human
-
-
-
-
-















