KLC1 Antibody
-
中文名稱:KLC1兔多克隆抗體
-
貨號:CSB-PA034861
-
規格:¥1100
-
圖片:
-
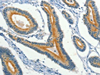
The image on the left is immunohistochemistry of paraffin-embedded Human colon cancer tissue using CSB-PA034861(KLC1 Antibody) at dilution 1/40, on the right is treated with fusion protein. (Original magnification: ×200)
-
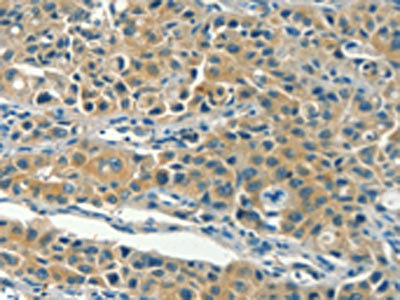
The image on the left is immunohistochemistry of paraffin-embedded Human lung cancer tissue using CSB-PA034861(KLC1 Antibody) at dilution 1/40, on the right is treated with fusion protein. (Original magnification: ×200)
-
Gel: 6%SDS-PAGE, Lysate: 40 μg, Lane: Lovo cells, Primary antibody: CSB-PA034861(KLC1 Antibody) at dilution 1/550, Secondary antibody: Goat anti rabbit IgG at 1/8000 dilution, Exposure time: 5 seconds
-
-
其他:
產品詳情
-
Uniprot No.:
-
基因名:KLC1
-
別名:Kinesin 2 60/70kDa antibody; Kinesin light chain 1 antibody; Kinesin2 antibody; KLC 1 antibody; KLC antibody; Klc1 antibody; KLC1_HUMAN antibody; KNS 2 antibody; KNS 2A antibody; KNS2 antibody; KNS2A antibody; Medulloblastoma antigen MU MB 2.50 antibody; MGC15245 antibody
-
宿主:Rabbit
-
反應種屬:Human,Mouse,Rat
-
免疫原:Fusion protein of Human KLC1
-
免疫原種屬:Homo sapiens (Human)
-
標記方式:Non-conjugated
-
抗體亞型:IgG
-
純化方式:Antigen affinity purification
-
濃度:It differs from different batches. Please contact us to confirm it.
-
保存緩沖液:-20°C, pH7.4 PBS, 0.05% NaN3, 40% Glycerol
-
產品提供形式:Liquid
-
應用范圍:ELISA,WB,IHC
-
推薦稀釋比:
Application Recommended Dilution ELISA 1:1000-1:2000 WB 1:200-1:1000 IHC 1:25-1:100 -
Protocols:
-
儲存條件:Upon receipt, store at -20°C or -80°C. Avoid repeated freeze.
-
貨期:Basically, we can dispatch the products out in 1-3 working days after receiving your orders. Delivery time maybe differs from different purchasing way or location, please kindly consult your local distributors for specific delivery time.
-
用途:For Research Use Only. Not for use in diagnostic or therapeutic procedures.
相關產品
靶點詳情
-
功能:Kinesin is a microtubule-associated force-producing protein that may play a role in organelle transport. The light chain may function in coupling of cargo to the heavy chain or in the modulation of its ATPase activity.
-
基因功能參考文獻:
- structural plasticity of the N-terminal capping helix might represent a structural determinant for TPR domain structural versatility in cargo binding PMID: 29036226
- All binary complexes (KLC1:APP, KLC1:JIP1, and APP:JIP1) contain conformations with favorable binding free energies indicating that KLC1 and JIP1 may take part in APP transport in Alzheimer's disease patients. PMID: 27891669
- BNIP-2 is a kinesin-1 adapter involved in vesicular transportation in the cytoplasm and that association with cargos depends on interaction of the CRAL-TRIO domain with membrane phosphatidylserine. PMID: 25472445
- The G allele and GG genotype of KLC1 rs8702 were significantly over-represented among cataract patients, as compared to healthy controls, and were associated with an odds ratio for cataract development. PMID: 25883527
- Dnm1L interacts with KLC1 through the tetratricopeptide repeat domains. PMID: 25082190
- Microtubule-bound kinesin-1 and kinesin-3 motor domains were visualized at multiple steps in their ATPase cycles--including their nucleotide-free states--at approximately 7 A resolution using cryo-electron microscopy. PMID: 25209998
- Studies indicate that FEZ1 (fasciculation and elongation protein zeta 1), SCOCO (short coiled-coil protein) and kinesins (kinesin heavy chain) are involved in biological transport process. PMID: 24116125
- The expression levels of KLC1 variant E in brain and lymphocytes were significantly higher in Alzheimer's disease patients. PMID: 24497505
- study provides evidence that the combined effect of three variants within the KLC1 gene may predispose to age-related cataract. PMID: 23776437
- For the binding of cargos shared by KLC1, we propose a different site located within the groove but not involving N343. PMID: 22470497
- Data suggest that KLC1 is required for normal neural differentiation, ensuring proper metabolism of AD-associated molecules APP and Tau and for proliferation of neural precursors (NPs). PMID: 22272245
- Phosphorylation of KLC1 at serine 460 modulates binding and trafficking of calsyntenin-1. PMID: 21385839
- Results do not convincingly support kinesin light chain 1 (KLC1) as a major susceptibility gene in any of the studied diseases, although there is a small effect of KLC1 in relation to cataract. PMID: 19911314
- The major binding site for kinesin light chain in kinesin heavy chain has been mapped to residues 789-813 at the C-terminal end of the heavy chain stalk domain. PMID: 12475239
- For a single nucleotide polymorphism (G58836C in intron 13) in the kinesin light-chain 1 (KNS2) gene, the association between Alzheimer's disease and the C allele is found to be significant. PMID: 15364413
- KNS2 gene may play a role during early stages of Alzheimer's disease pathogenesis. PMID: 17611642
- KLC1 gene may be a novel susceptibility gene for age-related cataract. PMID: 17653041
- microtubule-dependent functions of von Hippel-Lindau tumour suppressor are influenced by kinesin-2 PMID: 17825299
- The present finding supports the involvement of the cytoskeleton and KNS2 in the development of vascular white matter damage, thereby opening up novel fields in the research into leukariois. PMID: 17977659
- The KLC1 56836CC variant exerts a significant protective effect on the occurrence of multiple sclerosis. PMID: 17999208
- The rs8702 variant of the kinesin light chain 1 genotype proved to exert strong amplifying effects on the occurrence and severity of leukoaraiosis in patients with long-lasting poorly controlled severe hypertension PMID: 19046961
顯示更多
收起更多
-
亞細胞定位:Cell projection, growth cone. Cytoplasmic vesicle. Cytoplasm, cytoskeleton.
-
蛋白家族:Kinesin light chain family
-
組織特異性:Found in a variety of tissues. Mostly abundant in brain and spine.
-
數據庫鏈接:
Most popular with customers
-
-
YWHAB Recombinant Monoclonal Antibody
Applications: ELISA, WB, IHC, IF, FC
Species Reactivity: Human, Mouse, Rat
-
Phospho-YAP1 (S127) Recombinant Monoclonal Antibody
Applications: ELISA, WB, IHC
Species Reactivity: Human
-
-
-
-
-















