KIFAP3 Antibody
-
中文名稱:KIFAP3兔多克隆抗體
-
貨號:CSB-PA012347LA01HU
-
規格:¥440
-
圖片:
-
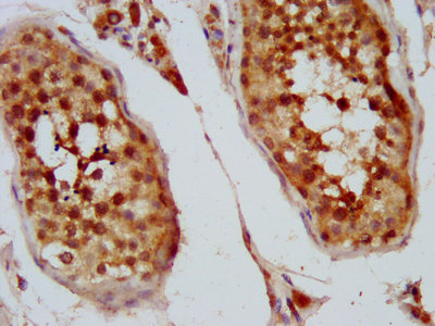
IHC image of CSB-PA012347LA01HU diluted at 1:400 and staining in paraffin-embedded human testis tissue performed on a Leica BondTM system. After dewaxing and hydration, antigen retrieval was mediated by high pressure in a citrate buffer (pH 6.0). Section was blocked with 10% normal goat serum 30min at RT. Then primary antibody (1% BSA) was incubated at 4°C overnight. The primary is detected by a biotinylated secondary antibody and visualized using an HRP conjugated SP system.
-
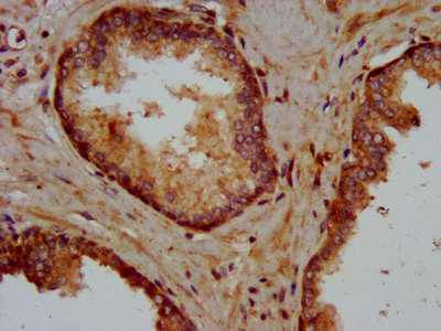
IHC image of CSB-PA012347LA01HU diluted at 1:400 and staining in paraffin-embedded human prostate cancer performed on a Leica BondTM system. After dewaxing and hydration, antigen retrieval was mediated by high pressure in a citrate buffer (pH 6.0). Section was blocked with 10% normal goat serum 30min at RT. Then primary antibody (1% BSA) was incubated at 4°C overnight. The primary is detected by a biotinylated secondary antibody and visualized using an HRP conjugated SP system.
-
Immunofluorescence staining of HepG2 cells with CSB-PA012347LA01HU at 1:133, counter-stained with DAPI. The cells were fixed in 4% formaldehyde, permeabilized using 0.2% Triton X-100 and blocked in 10% normal Goat Serum. The cells were then incubated with the antibody overnight at 4°C. The secondary antibody was Alexa Fluor 488-congugated AffiniPure Goat Anti-Rabbit IgG(H+L).
-
-
其他:
產品詳情
-
產品名稱:Rabbit anti-Homo sapiens (Human) KIFAP3 Polyclonal antibody
-
Uniprot No.:
-
基因名:KIFAP3
-
別名:FLJ22818 antibody; KAP 3 antibody; KAP-3 antibody; KAP3 antibody; KIF3AP antibody; KIFA3_HUMAN antibody; Kifap3 antibody; Kinesin associated protein 3 antibody; Kinesin-associated protein 3 antibody; SMAP antibody; Smg GDS antibody; Smg GDS associated protein antibody; Smg GDS-associated protein antibody
-
宿主:Rabbit
-
反應種屬:Human
-
免疫原:Recombinant Human Kinesin-associated protein 3 protein (660-792AA)
-
免疫原種屬:Homo sapiens (Human)
-
標記方式:Non-conjugated
本頁面中的產品,KIFAP3 Antibody (CSB-PA012347LA01HU),的標記方式是Non-conjugated。對于KIFAP3 Antibody,我們還提供其他標記。見下表:
-
克隆類型:Polyclonal
-
抗體亞型:IgG
-
純化方式:>95%, Protein G purified
-
濃度:It differs from different batches. Please contact us to confirm it.
-
保存緩沖液:Preservative: 0.03% Proclin 300
Constituents: 50% Glycerol, 0.01M PBS, pH 7.4 -
產品提供形式:Liquid
-
應用范圍:ELISA, IHC, IF
-
推薦稀釋比:
Application Recommended Dilution IHC 1:200-1:500 IF 1:50-1:200 -
Protocols:
-
儲存條件:Upon receipt, store at -20°C or -80°C. Avoid repeated freeze.
-
貨期:Basically, we can dispatch the products out in 1-3 working days after receiving your orders. Delivery time maybe differs from different purchasing way or location, please kindly consult your local distributors for specific delivery time.
-
用途:For Research Use Only. Not for use in diagnostic or therapeutic procedures.
相關產品
靶點詳情
-
功能:Involved in tethering the chromosomes to the spindle pole and in chromosome movement. Binds to the tail domain of the KIF3A/KIF3B heterodimer to form a heterotrimeric KIF3 complex and may regulate the membrane binding of this complex.
-
基因功能參考文獻:
- This study does not show an influence of KIFAP3 variants on survival in the studied Swiss and Swedish cohort PMID: 28140676
- Common genetic variation in the Kinesin-Associated Protein 3 (KIFAP3) gene (rs1541160) was reported to have a significant effect on survival in amyotrophic lateral sclerosis patients. PMID: 24838185
- The incidence of the motor neuron-predominant amyotrophic lateral sclerosis phenotype in the patients of this cohort supports the hypothesis that the SNP within the KIFAP3 gene is a potential modifier of the amyotrophic lateral sclerosis phenotype PMID: 21659726
- Data clearly show that SNP rs1541160 does not modify survival within cohort of 504 Italian ALS cases. PMID: 20566859
- Kinesin-2 plays a role in the KDEL-R-/COPI-dependent retrograde transport pathway from the Golgi complex to the ER. PMID: 17113389
- KAP3 sequestration by misfolded SOD1 and the inhibition of ChAT transport play a role in the dysfunction of amyotrophic lateral sclerosis. PMID: 19088126
- a variant within the KIFAP3 gene that is associated with decreased KIFAP3 expression and increased survival in sporadic ALS was identified. PMID: 19451621
顯示更多
收起更多
-
數據庫鏈接:
Most popular with customers
-
-
YWHAB Recombinant Monoclonal Antibody
Applications: ELISA, WB, IHC, IF, FC
Species Reactivity: Human, Mouse, Rat
-
Phospho-YAP1 (S127) Recombinant Monoclonal Antibody
Applications: ELISA, WB, IHC
Species Reactivity: Human
-
-
-
-
-















