KIF3A Antibody
-
中文名稱:KIF3A兔多克隆抗體
-
貨號:CSB-PA338217
-
規格:¥1100
-
圖片:
-
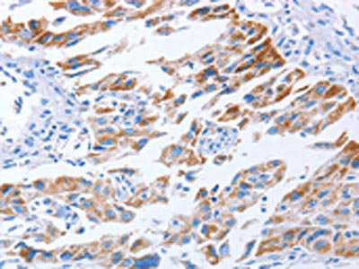
The image on the left is immunohistochemistry of paraffin-embedded Human thyroid cancer tissue using CSB-PA338217(KIF3A Antibody) at dilution 1/40, on the right is treated with fusion protein. (Original magnification: ×200)
-
The image on the left is immunohistochemistry of paraffin-embedded Human lung cancer tissue using CSB-PA338217(KIF3A Antibody) at dilution 1/40, on the right is treated with fusion protein. (Original magnification: ×200)
-
Gel: 8%SDS-PAGE, Lysate: 40 μg, Lane 1-2: Mouse brain tissue, human brain malignant glioma tissue, Primary antibody: CSB-PA338217(KIF3A Antibody) at dilution 1/750, Secondary antibody: Goat anti rabbit IgG at 1/8000 dilution, Exposure time: 30 seconds
-
-
其他:
產品詳情
-
Uniprot No.:
-
基因名:
-
別名:KIF 3 antibody; KIF 3A antibody; KIF3 antibody; Kif3a antibody; KIF3A_HUMAN antibody; Kifl antibody; Kinesin family member 3A antibody; Kinesin family protein 3 antibody; Kinesin family protein 3A antibody; Kinesin like protein KIF 3A antibody; Kinesin like protein KIF3A antibody; Kinesin-like protein KIF3A antibody; Kns3 antibody; Microtubule plus end directed kinesin motor 3A antibody; Microtubule plus end-directed kinesin motor 3A antibody
-
宿主:Rabbit
-
反應種屬:Human,Mouse
-
免疫原:Fusion protein of Human KIF3A
-
免疫原種屬:Homo sapiens (Human)
-
標記方式:Non-conjugated
-
抗體亞型:IgG
-
純化方式:Antigen affinity purification
-
濃度:It differs from different batches. Please contact us to confirm it.
-
保存緩沖液:-20°C, pH7.4 PBS, 0.05% NaN3, 40% Glycerol
-
產品提供形式:Liquid
-
應用范圍:ELISA,WB,IHC
-
推薦稀釋比:
Application Recommended Dilution ELISA 1:1000-1:5000 WB 1:500-1:2000 IHC 1:50-1:200 -
Protocols:
-
儲存條件:Upon receipt, store at -20°C or -80°C. Avoid repeated freeze.
-
貨期:Basically, we can dispatch the products out in 1-3 working days after receiving your orders. Delivery time maybe differs from different purchasing way or location, please kindly consult your local distributors for specific delivery time.
-
用途:For Research Use Only. Not for use in diagnostic or therapeutic procedures.
相關產品
靶點詳情
-
功能:Microtubule-based anterograde translocator for membranous organelles. Plus end-directed microtubule sliding activity in vitro. Plays a role in primary cilia formation. Plays a role in centriole cohesion and subdistal appendage organization and function. Regulates the formation of the subdistal appendage via recruitment of DCTN1 to the centriole. Also required for ciliary basal feet formation and microtubule anchoring to mother centriole.
-
基因功能參考文獻:
- KIF3A plays an important role in epithelium apoptosis and bronchial inflammation in asthma PMID: 29156524
- A correlation between KIF3A loss and a poorer NSCLC prognosis as well as beta-catenin and cyclin D1 upregulation further suggests that KIF3A suppresses Wnt/beta-catenin signalling and tumourigenesis in NSCLC PMID: 27596264
- The rate of transport is set by an equilibrium between a faster state, where only kinesin family member 17 protein (KIF17) motors move the train, and a slower state, where at least one kinesin family member 3A/B protein (KIF3AB) motor on the train remains active in transport. PMID: 28761002
- p0071 is required for directional vesicle movement and secretion of different KIF3-transported carriers, thereby regulating the transport of intracellular membrane vesicles along microtubules. PMID: 28808088
- PLCD1 acts as a tumour suppressor, by KIF3A-mediated suppression of ERK1/2/beta-catenin/MMP7 signalling, at least in part, in breast cancer. PMID: 28423710
- Inhibition of kif3a in the human dental follicle cells (hDFCs) and human dental pulp cells (hDPCs) is disrupted primary cilia formation and/or function, and it was shown that kif3a is important in the differentiation of hDFCs and hDPCs through the Wnt pathway. PMID: 27432616
- High KIF3A expression is associated with glioblastoma. PMID: 26760767
- These data suggest that GLI interactions with KIF3A-KIF3B-KAP3 complexes are essential for proper GLI transcriptional activity. PMID: 25588831
- KIF3A and OVOL1 are involved in the development of Atopic dermatitis in the Chinese pediatric population. PMID: 26127003
- both motor domains of KIF3A/B coordinate for processive motility and move at different speeds PMID: 15345558
- Ablation of this phosphorylation abolished herpes simplex virus 1 US3-mediated downregulation of CD1d expression, suggesting that phosphorylation of KIF3A is the primary mechanism of viral suppression of CD1d expression. PMID: 25878107
- Findings support the notion that upregulation of KIF3a is causal of aberrant activation of Wnt signaling in advanced prostate cancer through the KIF3a-DVL2-beta-catenin axis. PMID: 24413182
- POPX2 affects trafficking by determining the phosphorylation status of KIF3A at serine 690. PMID: 24338362
- Association of KIF3A, but not OVOL1 and ACTL9, with atopic eczema in Italian patients PMID: 23278845
- in addition to its ciliogenic roles, Kif3a recruits p150(Glued) to the subdistal appendages of mother centrioles, critical for centrosomes to function as microtubule-organizing centres. PMID: 23386061
- KIF3A is a novel candidate gene for childhood asthma PMID: 21912604
- Our findings suggest that the KIF3A gene and/or its polymorphisms might have a susceptibility effect on aspirin-intolerant asthma (AIA). PMID: 20922562
- Variants carried by the haplotypes of SLC22A4, SLC22A5 and KIF3A region potentially contribute to tuberculosis susceptibility among the Thai population. PMID: 20485362
- KIF3, cilia, and nodal flow have roles in left-right determination [review] PMID: 20066075
- Required for the normal steady-state localization of late endosomes/lysosomes but not early endosomes or recycling endosomes. PMID: 16262723
- Interaction of KIF3A/3B with KAP3 may be important for the proper progression of mitosis. PMID: 16298999
- We detected ALS-specific down-regulation of KIF1Bbeta and novel KIF3Abeta, two isoforms we show to be enriched in the brain, and also of SOD1, a key enzyme linked to familial ALS PMID: 17418584
- Rip11/FIP5-kinesin-II complex plays a key role in the routing of internalized receptors through the perinuclear recycling endosomes. PMID: 18957512
- Protein phosphatase Dusp26 associates with KIF3 motor and promotes N-cadherin-mediated cell-cell adhesion. PMID: 19043453
- This study thus reports on transportation of KSHV viral complexes on microtubules by KIF3A PMID: 19282970
顯示更多
收起更多
-
亞細胞定位:Cytoplasm, cytoskeleton. Cell projection, cilium. Cytoplasm, cytoskeleton, microtubule organizing center, centrosome, centriole.
-
蛋白家族:TRAFAC class myosin-kinesin ATPase superfamily, Kinesin family, Kinesin II subfamily
-
數據庫鏈接:
Most popular with customers
-
YWHAB Recombinant Monoclonal Antibody
Applications: ELISA, WB, IHC, IF, FC
Species Reactivity: Human, Mouse, Rat
-
Phospho-YAP1 (S127) Recombinant Monoclonal Antibody
Applications: ELISA, WB, IHC
Species Reactivity: Human
-
-
-
-
-
-















