KCNT1 Antibody
-
中文名稱:KCNT1兔多克隆抗體
-
貨號:CSB-PA686387LA01HU
-
規格:¥440
-
圖片:
-
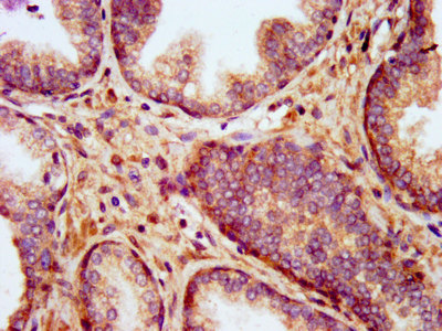
IHC image of CSB-PA686387LA01HU diluted at 1:400 and staining in paraffin-embedded human prostate cancer performed on a Leica BondTM system. After dewaxing and hydration, antigen retrieval was mediated by high pressure in a citrate buffer (pH 6.0). Section was blocked with 10% normal goat serum 30min at RT. Then primary antibody (1% BSA) was incubated at 4°C overnight. The primary is detected by a biotinylated secondary antibody and visualized using an HRP conjugated SP system.
-
Immunofluorescence staining of HepG2 cells with CSB-PA686387LA01HU at 1:133, counter-stained with DAPI. The cells were fixed in 4% formaldehyde, permeabilized using 0.2% Triton X-100 and blocked in 10% normal Goat Serum. The cells were then incubated with the antibody overnight at 4°C. The secondary antibody was Alexa Fluor 488-congugated AffiniPure Goat Anti-Rabbit IgG(H+L).
-
-
其他:
產品詳情
-
產品名稱:Rabbit anti-Homo sapiens (Human) KCNT1 Polyclonal antibody
-
Uniprot No.:
-
基因名:KCNT1
-
別名:bA100C15.2 antibody; EIEE14 antibody; ENFL5 antibody; KCa4.1 antibody; KCNT1 antibody; KCNT1_HUMAN antibody; Potassium channel subfamily T member 1 antibody; Potassium channel, sodium activated subfamily T, member 1 antibody; Potassium channel, subfamily T, member 1 antibody; Sequence like a calcium-activated K+ channel antibody; SLACK antibody; Slo2.2 antibody
-
宿主:Rabbit
-
反應種屬:Human
-
免疫原:Recombinant Human Potassium channel subfamily T member 1 protein (1026-1230AA)
-
免疫原種屬:Homo sapiens (Human)
-
標記方式:Non-conjugated
本頁面中的產品,KCNT1 Antibody (CSB-PA686387LA01HU),的標記方式是Non-conjugated。對于KCNT1 Antibody,我們還提供其他標記。見下表:
-
克隆類型:Polyclonal
-
抗體亞型:IgG
-
純化方式:>95%, Protein G purified
-
濃度:It differs from different batches. Please contact us to confirm it.
-
保存緩沖液:Preservative: 0.03% Proclin 300
Constituents: 50% Glycerol, 0.01M PBS, pH 7.4 -
產品提供形式:Liquid
-
應用范圍:ELISA, IHC, IF
-
推薦稀釋比:
Application Recommended Dilution IHC 1:200-1:500 IF 1:50-1:200 -
Protocols:
-
儲存條件:Upon receipt, store at -20°C or -80°C. Avoid repeated freeze.
-
貨期:Basically, we can dispatch the products out in 1-3 working days after receiving your orders. Delivery time maybe differs from different purchasing way or location, please kindly consult your local distributors for specific delivery time.
-
用途:For Research Use Only. Not for use in diagnostic or therapeutic procedures.
相關產品
靶點詳情
-
功能:Outwardly rectifying potassium channel subunit that may coassemble with other Slo-type channel subunits. Activated by high intracellular sodium or chloride levels. Activated upon stimulation of G-protein coupled receptors, such as CHRM1 and GRIA1. May be regulated by calcium in the absence of sodium ions (in vitro).
-
基因功能參考文獻:
- G288S missense mutation, associated with seizures and neurodevelopmental delay resulted in larger whole cell K+ currents compared with wild-type KCNT1 currents. PMID: 28747464
- Case report describing 3 infants with malignant migrating partial seizures with KCNT1 mutations accompanied by massive systemic to pulmonary collateral arteries. PMID: 28987752
- Stimulation of Slack K(+) channels alters mass at the plasma membrane by triggering dissociation of Phactr-1. PMID: 27545877
- In the present study, we evaluated two other potential mechanisms for stabilization of Slo2 channels in a closed state: (1) dewetting and collapse of the inner pore (hydrophobic gating) and (2) constriction of the inner pore by tight criss-crossing of the cytoplasmic ends of the S6 alpha-helical segments. PMID: 27682982
- two de novo, heterozygous KCNT1 mutations were identified in two unrelated malignant migrating partial seizures probands. Both mutations induced a marked leftward shift in homomeric channel activation gating. PMID: 26784557
- Better understanding of the mechanisms underlying KCNT1-related disease will produce further improvements in treatment of the associated severe seizure disorders. PMID: 26740507
- The sodium sensitivity of these epilepsy causing mutants probably determines the [Na(+)]i concentration at which these mutants exert their pathological effects. PMID: 26725113
- We demonstrate that KCNT1 mutations are highly pleiotropic and are associated with phenotypes other than nocturnal frontal lobe epilepsy and malignant migrating focal seizures of infancy. PMID: 26122718
- This study demonstrate that KCNT1 mutations are strongly associated with early-onset epileptic encephalopathy. PMID: 26140313
- Five de novo mutations were identified in four genes (SCNN1A, KCNJ16, KCNB2, and KCNT1) in three Brugada syndrome patients (20%) PMID: 25339316
- Nine different mutations of the KCNT1 (Slack) Na(+)-activated K(+) channel give rise to three distinct forms of epilepsy. PMID: 25482562
- Slick channels, in contrast to the similar Slack channels, are the only high-conductance K+ channels strongly sensitive to small changes in cell volume. PMID: 25347289
- Genetic studies reveal two novel genes for Ohtahara Syndrome: KCNT1 and PIGQ. PMID: 24463883
- Novel variations in KCNT1 do not allow prediction of functional phenotypes that might explain, at least in part, the symptoms of malignant migrating partial seizures of infancy (MMPSI). PMID: 24315024
- This gene-wide tagging study revealed no association between KCNT1 17 common variations and susceptibility of GGEs or AEDs (anti-epileptic drugs) efficacy of genetic generalized epilepsies in Chinese population. PMID: 24279416
- This study demonistrated that KCNT1 mutations implicated in epilepsy cause a marked increase in function PMID: 24591078
- this study performed analysis of KCNT1 in two unrelated patients with malignant migrating partial seizures in infancy.Because the G-to-A transition was located at CG dinucleotide sequences as previously reported for KCNT1 mutations, the recurrent occurrence of de novo KCNT1 mutations indicated the hot spots of these locations. PMID: 24029078
- Mutations in KCNT1 cause a severe form of ADNFLE and sporadic NFLE. PMID: 23086396
- Our data identify KCNT1 as a major disease-associated gene in Malignant migrating partial seizures of infancy . PMID: 23086397
顯示更多
收起更多
-
相關疾病:Epileptic encephalopathy, early infantile, 14 (EIEE14); Epilepsy, nocturnal frontal lobe, 5 (ENFL5)
-
亞細胞定位:Cell membrane; Multi-pass membrane protein.
-
蛋白家族:Potassium channel family, Calcium-activated (TC 1.A.1.3) subfamily, KCa4.1/KCNT1 sub-subfamily
-
組織特異性:Highest expression in liver, brain and spinal cord. Lowest expression in skeletal muscle.
-
數據庫鏈接:
Most popular with customers
-
-
YWHAB Recombinant Monoclonal Antibody
Applications: ELISA, WB, IHC, IF, FC
Species Reactivity: Human, Mouse, Rat
-
Phospho-YAP1 (S127) Recombinant Monoclonal Antibody
Applications: ELISA, WB, IHC
Species Reactivity: Human
-
-
-
-
-















