KCNQ5 Antibody
-
中文名稱:KCNQ5兔多克隆抗體
-
貨號:CSB-PA296843
-
規格:¥1100
-
圖片:
-
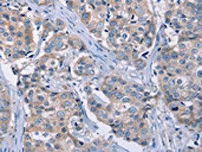
The image on the left is immunohistochemistry of paraffin-embedded Human thyroid cancer tissue using CSB-PA296843(KCNQ5 Antibody) at dilution 1/30, on the right is treated with fusion protein. (Original magnification: ×200)
-
The image on the left is immunohistochemistry of paraffin-embedded Human breast cancer tissue using CSB-PA296843(KCNQ5 Antibody) at dilution 1/30, on the right is treated with fusion protein. (Original magnification: ×200)
-
Gel: 6%SDS-PAGE, Lysate: 40 μg, Lane: Mouse heart tissue, Primary antibody: CSB-PA296843(KCNQ5 Antibody) at dilution 1/500, Secondary antibody: Goat anti rabbit IgG at 1/8000 dilution, Exposure time: 1 minute
-
-
其他:
產品詳情
-
Uniprot No.:
-
基因名:KCNQ5
-
別名:KCNQ 5 antibody; KCNQ5 antibody; KCNQ5_HUMAN antibody; KQT like 5 antibody; KQT-like 5 antibody; Kv7.5 antibody; OTTHUMP00000064152 antibody; OTTHUMP00000064153 antibody; Potassium channel alpha subunit KvLQT5 antibody; Potassium channel protein antibody; Potassium channel subunit alpha KvLQT5 antibody; Potassium voltage gated channel KQT like subfamily member 5 antibody; Potassium voltage gated channel subfamily KQT member 5 antibody; Potassium voltage-gated channel subfamily KQT member 5 antibody; Voltage gated potassium channel subunit Kv7.5 antibody; Voltage-gated potassium channel subunit Kv7.5 antibody
-
宿主:Rabbit
-
反應種屬:Human,Mouse
-
免疫原:Fusion protein of Human KCNQ5
-
免疫原種屬:Homo sapiens (Human)
-
標記方式:Non-conjugated
-
抗體亞型:IgG
-
純化方式:Antigen affinity purification
-
濃度:It differs from different batches. Please contact us to confirm it.
-
保存緩沖液:-20°C, pH7.4 PBS, 0.05% NaN3, 40% Glycerol
-
產品提供形式:Liquid
-
應用范圍:ELISA,WB,IHC
-
推薦稀釋比:
Application Recommended Dilution ELISA 1:1000-1:2000 WB 1:200-1:1000 IHC 1:25-1:100 -
Protocols:
-
儲存條件:Upon receipt, store at -20°C or -80°C. Avoid repeated freeze.
-
貨期:Basically, we can dispatch the products out in 1-3 working days after receiving your orders. Delivery time maybe differs from different purchasing way or location, please kindly consult your local distributors for specific delivery time.
-
用途:For Research Use Only. Not for use in diagnostic or therapeutic procedures.
相關產品
靶點詳情
-
功能:Associates with KCNQ3 to form a potassium channel which contributes to M-type current, a slowly activating and deactivating potassium conductance which plays a critical role in determining the subthreshold electrical excitability of neurons. Therefore, it is important in the regulation of neuronal excitability. May contribute, with other potassium channels, to the molecular diversity of a heterogeneous population of M-channels, varying in kinetic and pharmacological properties, which underlie this physiologically important current. Insensitive to tetraethylammonium, but inhibited by barium, linopirdine and XE991. Activated by niflumic acid and the anticonvulsant retigabine. As the native M-channel, the potassium channel composed of KCNQ3 and KCNQ5 is also suppressed by activation of the muscarinic acetylcholine receptor CHRM1.
-
基因功能參考文獻:
- Phylogenetic analysis, electrostatic potential mapping, in silico docking, electrophysiology, and radioligand binding assays reveal that the anticonvulsant binding pocket evolved to accommodate endogenous neurotransmitters including gamma-aminobutyric acid, which directly activates KCNQ5 and KCNQ3 via W265. PMID: 29748663
- Phosphorylation of S53 on the amino terminus of Kv7.5 is essential for protein kinase A-dependent enhancement of channel activity in response to beta adrenergic receptor activation in vascular and airway smooth muscle cells. PMID: 30061510
- identified P2RX2, KCNQ5, ERBB3 and SOCS3 to be associated with the progression of age-related hearing impairment PMID: 29325454
- Our data support the involvement of KCNQ5 gene polymorphisms in the genetic susceptibility to high myopia and further exploration of KCNQ5 as a risk factor for high myopia. PMID: 28884119
- These findings provide the first evidence linking PKC activation to suppression of Kv7 currents, membrane depolarization, and Ca(2+) influx via L-type voltage-sensitive Ca(2+) channels as a mechanism for histamine-induced bronchoconstriction. PMID: 28283479
- both loss-of-function and gain-of-function KCNQ5 mutations, associated with increased excitability and decreased repolarization reserve, lead to pathophysiology. PMID: 28669405
- Tannic acid activates Kv7.4 and Kv7.3/7.5 K(+) channels resulting in vasodilation. PMID: 26969140
- rs9351963 in KCNQ5 is a possible predictive factor of incidence of diarrhea in cancer patients treated with irinotecan chemotherapy. PMID: 25127363
- suggestive loci for periodontitis: KCNQ5 on chromosome 6q13 in a Japanese population. study should contribute to further understanding of genetic factors for enhanced susceptibility to periodontitis. PMID: 25672891
- Kv7.1/Kv7.5 form heterotetrameric channels increasing the diversity of structures which fine-tune blood vessel reactivity. The lipid raft localization of Kv7.1/Kv7.5 heteromers provides efficient spatial and temporal regulation of smooth muscle function. PMID: 24855057
- Differential protein kinase C-dependent modulation of Kv7.4 and Kv7.5 subunits of vascular Kv7 channels. PMID: 24297175
- characterized the cell-type specific spatial organization of the kcnq5 gene locus mediated by CTCF in detail using chromosome conformation capture (3C) and 3C-derived techniques PMID: 22347474
- The results of this study indicated that Kv7.5 contributes to the spatial regulation of KCNE3. PMID: 22190306
- Data show that KCNQ1 mRNA expression was increased and KCNQ5 decreased in the preterm preeclamptic women. PMID: 21730298
- While KCNE1 slows activation and suppresses inward rectification, KCNE3 drastically inhibits KCNQ5 currents. PMID: 19910673
- Src associates with KCNQ2-5 subunits but phosphorylates only KCNQ3-5. PMID: 15304482
- In conclusion, this work demonstrates that inactivation is a key regulatory mechanism of Kv7.4 and Kv7.5 channels. PMID: 17237198
- among the allowed assembly conformations are KCNQ3/4 and KCNQ4/5 heteromers. PMID: 18786918
顯示更多
收起更多
-
相關疾病:Mental retardation, autosomal dominant 46 (MRD46)
-
亞細胞定位:Cell membrane; Multi-pass membrane protein.
-
蛋白家族:Potassium channel family, KQT (TC 1.A.1.15) subfamily, Kv7.5/KCNQ5 sub-subfamily
-
組織特異性:Strongly expressed in brain and skeletal muscle. In brain, expressed in cerebral cortex, occipital pole, frontal lobe and temporal lobe. Lower levels in hippocampus and putamen. Low to undetectable levels in medulla, cerebellum and thalamus.
-
數據庫鏈接:
Most popular with customers
-
-
YWHAB Recombinant Monoclonal Antibody
Applications: ELISA, WB, IHC, IF, FC
Species Reactivity: Human, Mouse, Rat
-
Phospho-YAP1 (S127) Recombinant Monoclonal Antibody
Applications: ELISA, WB, IHC
Species Reactivity: Human
-
-
-
-
-















