KCNK3 Antibody
-
中文名稱:KCNK3兔多克隆抗體
-
貨號:CSB-PA012071LA01HU
-
規格:¥440
-
圖片:
-
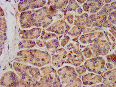
IHC image of CSB-PA012071LA01HU diluted at 1:300 and staining in paraffin-embedded human pancreatic tissue performed on a Leica BondTM system. After dewaxing and hydration, antigen retrieval was mediated by high pressure in a citrate buffer (pH 6.0). Section was blocked with 10% normal goat serum 30min at RT. Then primary antibody (1% BSA) was incubated at 4°C overnight. The primary is detected by a biotinylated secondary antibody and visualized using an HRP conjugated SP system.
-
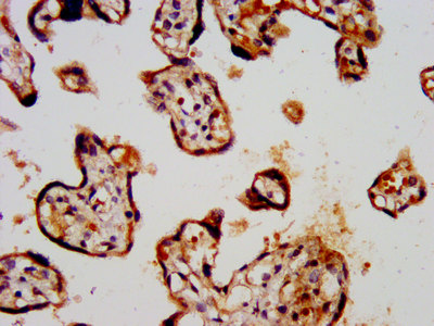
IHC image of CSB-PA012071LA01HU diluted at 1:300 and staining in paraffin-embedded human placenta tissue performed on a Leica BondTM system. After dewaxing and hydration, antigen retrieval was mediated by high pressure in a citrate buffer (pH 6.0). Section was blocked with 10% normal goat serum 30min at RT. Then primary antibody (1% BSA) was incubated at 4°C overnight. The primary is detected by a biotinylated secondary antibody and visualized using an HRP conjugated SP system.
-
Immunofluorescence staining of Hela cells with CSB-PA012071LA01HU at 1:100, counter-stained with DAPI. The cells were fixed in 4% formaldehyde, permeabilized using 0.2% Triton X-100 and blocked in 10% normal Goat Serum. The cells were then incubated with the antibody overnight at 4°C. The secondary antibody was Alexa Fluor 488-congugated AffiniPure Goat Anti-Rabbit IgG(H+L).
-
-
其他:
產品詳情
-
產品名稱:Rabbit anti-Homo sapiens (Human) KCNK3 Polyclonal antibody
-
Uniprot No.:
-
基因名:KCNK3
-
別名:KCNK3; TASK; TASK1; Potassium channel subfamily K member 3; Acid-sensitive potassium channel protein TASK-1; TWIK-related acid-sensitive K(+ channel 1; Two pore potassium channel KT3.1; Two pore K(+ channel KT3.1
-
宿主:Rabbit
-
反應種屬:Human
-
免疫原:Recombinant Human Potassium channel subfamily K member 3 protein (278-379AA)
-
免疫原種屬:Homo sapiens (Human)
-
標記方式:Non-conjugated
本頁面中的產品,KCNK3 Antibody (CSB-PA012071LA01HU),的標記方式是Non-conjugated。對于KCNK3 Antibody,我們還提供其他標記。見下表:
-
克隆類型:Polyclonal
-
抗體亞型:IgG
-
純化方式:>95%, Protein G purified
-
濃度:It differs from different batches. Please contact us to confirm it.
-
保存緩沖液:Preservative: 0.03% Proclin 300
Constituents: 50% Glycerol, 0.01M PBS, pH 7.4 -
產品提供形式:Liquid
-
應用范圍:ELISA, IHC, IF
-
推薦稀釋比:
Application Recommended Dilution IHC 1:200-1:500 IF 1:50-1:200 -
Protocols:
-
儲存條件:Upon receipt, store at -20°C or -80°C. Avoid repeated freeze.
-
貨期:Basically, we can dispatch the products out in 1-3 working days after receiving your orders. Delivery time maybe differs from different purchasing way or location, please kindly consult your local distributors for specific delivery time.
-
用途:For Research Use Only. Not for use in diagnostic or therapeutic procedures.
相關產品
靶點詳情
-
功能:pH-dependent, voltage-insensitive, background potassium channel protein. Rectification direction results from potassium ion concentration on either side of the membrane. Acts as an outward rectifier when external potassium concentration is low. When external potassium concentration is high, current is inward.
-
基因功能參考文獻:
- The results of the present study suggested that miR138 promoted proliferation and suppressed mitochondrial depolarization of human pulmonary artery smooth muscle cells by targeting TASK1. PMID: 29257242
- Screening for mutations in the human TASK-1 gene in 155 cases of sudden infant death syndrome (SIDS) was inconclusive. Results are suggestive for an increased hypoxia-sensitivity of neonatal TASK-1(-/-) mice, however, without causing an increase in neonatal lethality. In adult female TASK-1(-/-) mice respiration was unaffected, whereas adult male TASK-1(-/-) mice showed a modified breathing pattern. PMID: 27838333
- Recent studies show that modulation of TASK-1 channels, either directly or indirectly by targeting their regulatory mechanisms, has the potential to control pulmonary arterial tone in humans. Furthermore, mutations in KCNK3 have been identified as a rare cause of both familial and idiopathic pulmonary arterial hypertension. [review] PMID: 29122916
- Sequencing of BMPR2, CAV1, and KCNK3 coding regions did not identify any pathogenic variants in these genes in infants with pulmonary hypoplasia and pulmonary hypertension. PMID: 28162765
- Heterozygous KCNK3 mutations in pulmonary arterial hypertension lead to variable loss of channel function via distinct mechanisms. PMID: 28889099
- Familial cases of Pulmonary Arterial Hypertension related to heterozygous missense variants in the KCNK3 gene (encoding the two-pore-domain potassium channel TASK-1) has been described with a prevalence of 1.3 and 3.2% in idiopathic Pulmonary Arterial Hypertension and heritable Pulmonary Arterial Hypertension, respectively. PMID: 28582316
- our study indicates that TASK-1 is functionally regulated by caveolin-3, possibly via association with each other on the cell surface. These results point out a novel mechanism in the regulation of TASK-1. PMID: 28648645
- A burden of rare variants in BMPR2 significantly contributed to the risk of pulmonary arterial hypertension. In the remaining one family, the patient carried a pathogenic variant in a member of potassium channels, KCNK3, which was the first replicative finding of channelopathy in an Asian population. PMID: 28388887
- The results suggested that heterodimerization of TASK1 and TALK2 provides cells with the ability to make multiple responses to a variety of physiological and pharmacological stimuli. PMID: 29016681
- Genetic variation in the KCNK3 gene may contribute to Blood pressure variation and less severe Hypertensive disorders in which aldosterone may be one of several causative factors PMID: 27296998
- Knockdown of TASK-1 by siRNA significantly enhanced apoptosis and reduced proliferation in Non-Small Cell Lung Cancer A549 cells, but not in weakly TASK-1 expressing NCI-H358 cells. PMID: 27294516
- The present report supports the contribution of KCNK3 mutations to the genetic etiology of Pulmonary arterial hypertension and strongly suggests that mutations in KCNK3 follow incomplete dominance with worsening of the clinical features in homozygous patients. PMID: 27649371
- In a cohort with idiopathic or hereditary pulmonary arterial hypertension, a possibly associated mutation was found in 11.10% of the idiopathic cases (n = 16) and in 68.18% of the hereditary cases. There were 3 mutations found in KCNK3. PMID: 27453251
- Functional alanine-mutagenesis screens of TASK-1 and TRAAK were used to build an in silico model of the TASK-1 cap. PMID: 26794006
- control of TASK-1 trafficking by COPI, kinases, phosphatases and 14-3-3 proteins is highly dynamic. PMID: 26743085
- KCNK3 expression and function were reduced in pulmonary artery smooth muscle cells and endothelial cells in human pulmonary arterial hypertension. PMID: 26912814
- TASK-1 and TASK-3 may form heterodimers in human atrial cardiomyocytes. PMID: 25655935
- Diacylglycerol mediates regulation of TASK1 and TASK3 potassium channels by GNAQ. PMID: 25420509
- Enhancement of atrium-selective K(2P)3.1 currents contributes to action potential shortening in atrial fibrillation patients. PMID: 25951834
- K2P3.1 and K2P9.1 undergo rapid dynamin-dependent endocytosis PMID: 23807092
- Syntaxin-8 regulates the endocytosis of TASK-1. PMID: 24743596
- A glucose-dependent role for beta-cell TASK-1 channels of limiting glucose-stimulated Deltapsip depolarization and insulin secretion, which modulates glucose homeostasis. PMID: 24932805
- demonstrate the functional importance of ITASK in the atrium and suggest that inactivation of TASK-1 may have diverse effects on atrial size and electrophysiological properties that can contribute to an arrhythmogenic substrate PMID: 24374141
- Sec61 complex reorientation of the first signal-anchor sequence of TASK-1 determines membrane topology of the other membrane spanning regions. PMID: 24015703
- Our study identified the association of a novel gene, KCNK3, with familial and idiopathic pulmonary arterial hypertension. PMID: 23883380
- TASK-1 suppresses HIV-1 replication. PMID: 23164059
- Ability to induce atrial fibrillation in the peri-operative period is associated with phosphorylation-dependent inhibition of TWIK protein-related acid-sensitive potassium channel 1 PMID: 23229553
- There were no associations between KCNK3 single nucleotide polymorphisms and blood pressure or aldosterone production. PMID: 22893713
- ET-1 inhibited TASK1-mediated I(KN) currents in hPASMC. PMID: 21838752
- I(TASK-1) contributes to the sustained outward current I(Ksus) and that I(TASK-1) is a major component of the background conductance in human atrial cardiomyocytes. PMID: 22178873
- TASK-1- and TASK-3-mediated currents are not affected by depletion of plasma membrane PI4,5P2 either via the voltage-activated phosphatase Ci-VSP or via chemically triggered recruitment of a PI4,5P2-5'-phosphatase. PMID: 21540350
- TASK-1 immunoreactivity was observed in astrocytes of temporal lobe epilepsy patients. PMID: 21710317
- analysis of how the specific two-pore domain potassium channel blocker A1899 defines the structure of the TASK-1 open pore PMID: 21362619
- cAMP-dependent protein kinase is responsible for the phosphorylation of the terminal serine in both K(2P)3.1 and K(2P)9.1 PMID: 21357689
- Western analysis confirms expression of TASK1 and TASK3 in medulloblastoma cells. PMID: 20931182
- TASK-1 and 3 are determinant of aldosterone secretion and adrenocortical zonation. PMID: 20049674
- TASK-1 and TASK-3 differed insofar as a large portion of the C terminus was necessary for the full effects of halothane and TRH on TASK-3 but not on TASK-1 PMID: 11886861
- Renal Oat1 expression gradually increased throughout development, approaching adult levels at 30 days of age, where at days 40 and 45 Oat1 levels were greater in males than females PMID: 11907168
- C-PAF blocks TASK-1 or a closely related channel, the effect is PKC dependent, and the inhibition alters the electrical activity of myocytes in ways that would be arrhythmogenic in the intact heart. PMID: 12003807
- Association with p11 is essential for trafficking of TASK-1 to the plasma membrane. This association masks an ER retention signal identified as Lys-Arg-Arg that precedes the Ser-Ser-Val sequence. PMID: 12198146
- KCNK3 potassium channels are shown to bear two cytoplasmic trafficking motifs: an N-terminal dibasic site that binds beta-COP to hold channels in ER and a C-terminal "release" site that binds the ubiquitous intracellular regulator 14-3-3beta PMID: 12437930
- hOAT1-expressing cell line showed extensive para-aminohippuric acid transport. hOAT1 also demonstrated 1:1 coupling between organic anion and dicarboxylate. PMID: 12837685
- Host TASK-1 protein and HIV-1 Vpu undergo mutual functional destruction. PMID: 15099524
- TASK1 is expressed in pia mater, astrocytes, Purkinje and granule cells PMID: 15197476
- Human cytotrophoblast cells from term placenta are a site of expression for various K2P genes, two of which, namely, TASK1 and TREK1, are transcribed into protein. PMID: 15695101
- TASK-1 is hypoxia-sensitive and controls the resting membrane potential, thus implicating an important role for TASK-1 K+ channels in the regulation of pulmonary vascular tone. PMID: 16574908
- the role of TASK channels in sensing physiological stimuli. PMID: 17945357
- K(2)P channels as novel potassium conductance on T lymphocytes critically influencing T cell effector function and identify a possible molecular target for immunomodulation in T cell-mediated autoimmune disorders PMID: 18375952
- Thus, regulated expression of TASK channels might contribute to a molecular switch between death and survival of neurons in autoimmune CNS inflammation. PMID: 18824070
- ET-1 depolarized human primary pulmonary artery smooth muscle cells by phosphorylating TASK-1. This effect was abrogated by TASK-1 siRNA. This might represent a novel pathologic mechanism related to pulmonary arterial hypertension. PMID: 19188660
顯示更多
收起更多
-
相關疾病:Pulmonary hypertension, primary, 4 (PPH4)
-
亞細胞定位:Cell membrane; Multi-pass membrane protein.
-
蛋白家族:Two pore domain potassium channel (TC 1.A.1.8) family
-
組織特異性:Widespread expression in adult. Strongest expression in pancreas and placenta. Lower expression in brain, lung, prostate, heart, kidney, uterus, small intestine and colon.
-
數據庫鏈接:
Most popular with customers
-
-
YWHAB Recombinant Monoclonal Antibody
Applications: ELISA, WB, IHC, IF, FC
Species Reactivity: Human, Mouse, Rat
-
Phospho-YAP1 (S127) Recombinant Monoclonal Antibody
Applications: ELISA, WB, IHC
Species Reactivity: Human
-
-
-
-
-















