KCNJ8 Antibody
-
中文名稱:KCNJ8兔多克隆抗體
-
貨號:CSB-PA613604LA01HU
-
規格:¥440
-
圖片:
-
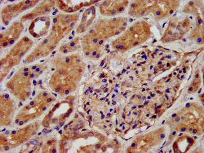
IHC image of CSB-PA613604LA01HU diluted at 1:500 and staining in paraffin-embedded human kidney tissue performed on a Leica BondTM system. After dewaxing and hydration, antigen retrieval was mediated by high pressure in a citrate buffer (pH 6.0). Section was blocked with 10% normal goat serum 30min at RT. Then primary antibody (1% BSA) was incubated at 4°C overnight. The primary is detected by a biotinylated secondary antibody and visualized using an HRP conjugated SP system.
-
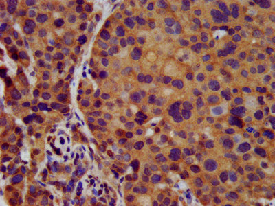
IHC image of CSB-PA613604LA01HU diluted at 1:500 and staining in paraffin-embedded human pancreatic cancer performed on a Leica BondTM system. After dewaxing and hydration, antigen retrieval was mediated by high pressure in a citrate buffer (pH 6.0). Section was blocked with 10% normal goat serum 30min at RT. Then primary antibody (1% BSA) was incubated at 4°C overnight. The primary is detected by a biotinylated secondary antibody and visualized using an HRP conjugated SP system.
-
Immunofluorescence staining of HepG2 cells with CSB-PA613604LA01HU at 1:166, counter-stained with DAPI. The cells were fixed in 4% formaldehyde, permeabilized using 0.2% Triton X-100 and blocked in 10% normal Goat Serum. The cells were then incubated with the antibody overnight at 4°C. The secondary antibody was Alexa Fluor 488-congugated AffiniPure Goat Anti-Rabbit IgG(H+L).
-
-
其他:
產品詳情
-
產品名稱:Rabbit anti-Homo sapiens (Human) KCNJ8 Polyclonal antibody
-
Uniprot No.:
-
基因名:
-
別名:KCNJ8; ATP-sensitive inward rectifier potassium channel 8; Inward rectifier K(+ channel Kir6.1; Potassium channel, inwardly rectifying subfamily J member 8; uKATP-1
-
宿主:Rabbit
-
反應種屬:Human
-
免疫原:Recombinant Human ATP-sensitive inward rectifier potassium channel 8 protein (299-424AA)
-
免疫原種屬:Homo sapiens (Human)
-
標記方式:Non-conjugated
本頁面中的產品,KCNJ8 Antibody (CSB-PA613604LA01HU),的標記方式是Non-conjugated。對于KCNJ8 Antibody,我們還提供其他標記。見下表:
-
克隆類型:Polyclonal
-
抗體亞型:IgG
-
純化方式:>95%, Protein G purified
-
濃度:It differs from different batches. Please contact us to confirm it.
-
保存緩沖液:Preservative: 0.03% Proclin 300
Constituents: 50% Glycerol, 0.01M PBS, pH 7.4 -
產品提供形式:Liquid
-
應用范圍:ELISA, IHC, IF
-
推薦稀釋比:
Application Recommended Dilution IHC 1:500-1:1000 IF 1:50-1:200 -
Protocols:
-
儲存條件:Upon receipt, store at -20°C or -80°C. Avoid repeated freeze.
-
貨期:Basically, we can dispatch the products out in 1-3 working days after receiving your orders. Delivery time maybe differs from different purchasing way or location, please kindly consult your local distributors for specific delivery time.
-
用途:For Research Use Only. Not for use in diagnostic or therapeutic procedures.
相關產品
靶點詳情
-
功能:This potassium channel is controlled by G proteins. Inward rectifier potassium channels are characterized by a greater tendency to allow potassium to flow into the cell rather than out of it. Their voltage dependence is regulated by the concentration of extracellular potassium; as external potassium is raised, the voltage range of the channel opening shifts to more positive voltages. The inward rectification is mainly due to the blockage of outward current by internal magnesium. Can be blocked by external barium.
-
基因功能參考文獻:
- KCNJ8-S422L as pathogenic for J-wave syndromes failed to appropriately account for European population structure and the variant is likely benign, or (b) Ashkenazi Jews may be at significantly increased risk of J-wave syndromes PMID: 23632791
- We identified a de novo missense mutation encoding Kir6.1[p.Cys176Ser] in the patient. Kir6.1[p.Cys176Ser] channels exhibited markedly higher activity than wild-type channels, as a result of reduced ATP sensitivity. PMID: 24700710
- KATP channels are up-regulated with increasing age in human myometrium PMID: 23369859
- Data indicate that pharmacological KvLQT1 and KATP (Kir6.1) inhibition or silencing with siRNAs down-regulated alpha-ENaC expression. PMID: 22406554
- The KCNJ8-S422L variant was shown to be associated with both increased susceptibility to atrial fibrillation and early repolarization. PMID: 22562657
- results suggest that acting on the 3'-UTR of Kir6.1 and the coding region of SUR2B, methylglyoxal causes instability of Kir6.1 and SUR2B mRNAs, disruption of vascular K(ATP) channels, and impairment of arterial function PMID: 22972803
- Data suggest that Kir6.1 and M3 muscarinic receptor colocalize to detrusor caveolae; studies include tissue from both male and female subjects. PMID: 22410194
- The researchers report evidence that the KCNJ8 gene increases susceptiblity to the brugada syndrome and early repolarization syndrome. PMID: 22056721
- The mutations localized to Kir6.1's C-terminus, involved conserved residues and the pinacidil-activated K(ATP) current was decreased 45% to 68% for Kir6.1-E332del and 40% to 57% for V346I between -20 mV and 40 mV. PMID: 21836131
- Down-regulation of Kir6.1 and Kir6.2 expression in myometrium may contribute to the enhanced uterine contractility associated with the onset of labour. PMID: 21418633
- Interaction with caveolin-1 causes a shift the channel's sensitivity to its physiological regulator magnesium ADP (MgADP). PMID: 20624795
- These findings further implicate KCNJ8 as a novel J-wave syndrome susceptibility gene and a marked gain of function in the cardiac K(ATP) Kir6.1 channel secondary to KCNJ8-S422L as a novel pathogenic mechanism for J-wave syndromes. PMID: 20558321
- mammalian oocytes express K(ATP) channels. PMID: 20847183
- sequence variants in KCNJ8 is unlikely to contribute to variation in postural change in systolic blood pressure PMID: 19952277
- Lipopolysaccharides up-regulate Kir6.1/SUR2B channel expression and enhance vascular KATP channel activity via NF-kappaB-dependent signaling PMID: 19959479
- Assembly limits the pharmacological complexity of ATP-sensitive potassium channels PMID: 11825905
- cGMP/PKG-dependent processes participate in activating the ATP-regulated K(+) channel PMID: 12217870
- down-regulation of this channel may facilitate myometrial function during late pregnancy PMID: 12356945
- In corporal smooth muscle is composed of Kir6.1-Kir6.2 construct expressed with SUR2B.K(ATP) channel in corporal smooth muscle cells is composed of heteromultimers of Kir6.1 and Kir6.2 with the ratio of 3 : 1 or 4 : 0 and SUR2B. PMID: 12934053
- Kir6.1/KCNJ8 hasa a role in the pathogenesis of impaired coronary vasomotility that varies among various ethnic groups PMID: 12964027
- The effect of nicotine on Kir6.1 channels is mediated by the production of superoxides. PMID: 15821440
- Results describe a new function of the Kir6.1-SUR2A complex, namely the regulation of paracellular permeability through tight junctions. PMID: 16820413
- Results indicate that abnormality in the primary structure of Kir6.1 may not be involved in the genetic pathogenesis of coronary spastic angina. PMID: 16964409
- caveolin-dependent internalization is involved in PKC-epsilon-mediated inhibition of vascular K(ATP) channels (Kir6.1 and SUR2B) by phorbol 12-myristate 13-acetate or angiotensin II PMID: 18663158
- Kir6.1/SUR2B is the major functional K(ATP) channel complex in the pig MMA and MCA, and mRNA expression studies suggest that the human MMA shares this K(ATP) channel subunit profile PMID: 18996111
- Analysis of two KCNJ11 neonatal diabetes mutations, V59G and V59A, and the analogous KCNJ8 I60G substitution: differences between the channel subtypes formed with SUR1. PMID: 19139106
顯示更多
收起更多
-
相關疾病:Sudden infant death syndrome (SIDS); Hypertrichotic osteochondrodysplasia (HTOCD)
-
亞細胞定位:Membrane; Multi-pass membrane protein.
-
蛋白家族:Inward rectifier-type potassium channel (TC 1.A.2.1) family, KCNJ8 subfamily
-
組織特異性:Predominantly detected in fetal and adult heart.
-
數據庫鏈接:
Most popular with customers
-
YWHAB Recombinant Monoclonal Antibody
Applications: ELISA, WB, IHC, IF, FC
Species Reactivity: Human, Mouse, Rat
-
Phospho-YAP1 (S127) Recombinant Monoclonal Antibody
Applications: ELISA, WB, IHC
Species Reactivity: Human
-
-
-
-
-
-















