KCNH8 Antibody
-
中文名稱:KCNH8兔多克隆抗體
-
貨號:CSB-PA187759
-
規格:¥1100
-
圖片:
-
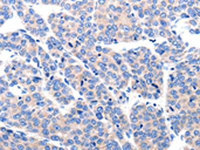
The image on the left is immunohistochemistry of paraffin-embedded Human ovarian cancer tissue using CSB-PA187759(KCNH8 Antibody) at dilution 1/50, on the right is treated with synthetic peptide. (Original magnification: ×200)
-
The image on the left is immunohistochemistry of paraffin-embedded Human liver cancer tissue using CSB-PA187759(KCNH8 Antibody) at dilution 1/50, on the right is treated with synthetic peptide. (Original magnification: ×200)
-
-
其他:
產品詳情
-
Uniprot No.:
-
基因名:KCNH8
-
別名:KCNH8Potassium voltage-gated channel subfamily H member 8 antibody; ELK1 antibody; hElk1 antibody; Ether-a-go-go-like potassium channel 3 antibody; ELK channel 3 antibody; ELK3 antibody; Voltage-gated potassium channel subunit Kv12.1 antibody
-
宿主:Rabbit
-
反應種屬:Human,Mouse,Rat
-
免疫原:Synthetic peptide of Human KCNH8
-
免疫原種屬:Homo sapiens (Human)
-
標記方式:Non-conjugated
-
抗體亞型:IgG
-
純化方式:Antigen affinity purification
-
濃度:It differs from different batches. Please contact us to confirm it.
-
保存緩沖液:-20°C, pH7.4 PBS, 0.05% NaN3, 40% Glycerol
-
產品提供形式:Liquid
-
應用范圍:ELISA,IHC
-
推薦稀釋比:
Application Recommended Dilution ELISA 1:1000-1:5000 IHC 1:25-1:100 -
Protocols:
-
儲存條件:Upon receipt, store at -20°C or -80°C. Avoid repeated freeze.
-
貨期:Basically, we can dispatch the products out in 1-3 working days after receiving your orders. Delivery time maybe differs from different purchasing way or location, please kindly consult your local distributors for specific delivery time.
-
用途:For Research Use Only. Not for use in diagnostic or therapeutic procedures.
相關產品
靶點詳情
-
功能:Pore-forming (alpha) subunit of voltage-gated potassium channel. Elicits a slowly activating, outward rectifying current. Channel properties may be modulated by cAMP and subunit assembly.
-
亞細胞定位:Membrane; Multi-pass membrane protein.
-
蛋白家族:Potassium channel family, H (Eag) (TC 1.A.1.20) subfamily, Kv12.1/KCNH8 sub-subfamily
-
組織特異性:Primarily expressed in the nervous system.
-
數據庫鏈接:
Most popular with customers
-
-
YWHAB Recombinant Monoclonal Antibody
Applications: ELISA, WB, IHC, IF, FC
Species Reactivity: Human, Mouse, Rat
-
Phospho-YAP1 (S127) Recombinant Monoclonal Antibody
Applications: ELISA, WB, IHC
Species Reactivity: Human
-
-
-
-
-















