KCNG3 Antibody
-
中文名稱:KCNG3兔多克隆抗體
-
貨號:CSB-PA179693
-
規格:¥1100
-
圖片:
-
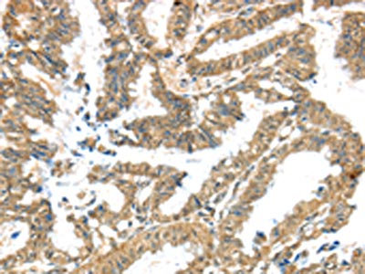
The image on the left is immunohistochemistry of paraffin-embedded Human colon cancer tissue using CSB-PA179693(KCNG3 Antibody) at dilution 1/40, on the right is treated with synthetic peptide. (Original magnification: ×200)
-
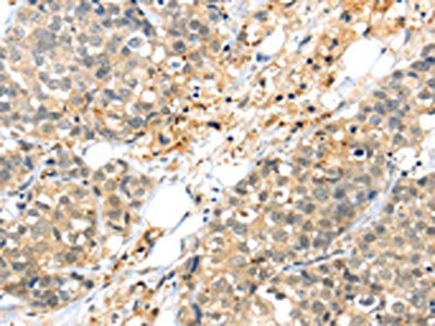
The image on the left is immunohistochemistry of paraffin-embedded Human liver cancer tissue using CSB-PA179693(KCNG3 Antibody) at dilution 1/40, on the right is treated with synthetic peptide. (Original magnification: ×200)
-
-
其他:
產品詳情
-
Uniprot No.:
-
基因名:KCNG3
-
別名:KCNG3; Potassium voltage-gated channel subfamily G member 3; Voltage-gated potassium channel subunit Kv10.1; Voltage-gated potassium channel subunit Kv6.3
-
宿主:Rabbit
-
反應種屬:Human,Mouse,Rat
-
免疫原:Synthetic peptide of Human KCNG3
-
免疫原種屬:Homo sapiens (Human)
-
標記方式:Non-conjugated
-
抗體亞型:IgG
-
純化方式:Antigen affinity purification
-
濃度:It differs from different batches. Please contact us to confirm it.
-
保存緩沖液:-20°C, pH7.4 PBS, 0.05% NaN3, 40% Glycerol
-
產品提供形式:Liquid
-
應用范圍:ELISA,IHC
-
推薦稀釋比:
Application Recommended Dilution ELISA 1:2000-1:10000 IHC 1:50-1:200 -
Protocols:
-
儲存條件:Upon receipt, store at -20°C or -80°C. Avoid repeated freeze.
-
貨期:Basically, we can dispatch the products out in 1-3 working days after receiving your orders. Delivery time maybe differs from different purchasing way or location, please kindly consult your local distributors for specific delivery time.
-
用途:For Research Use Only. Not for use in diagnostic or therapeutic procedures.
相關產品
靶點詳情
-
功能:Potassium channel subunit that does not form functional channels by itself. Can form functional heterotetrameric channels with KCNB1; this promotes a reduction in the rate of activation and inactivation of the delayed rectifier voltage-gated potassium channel KCNB1.
-
基因功能參考文獻:
- the correlation between dismal prognosis and Kv10.1 expression to patients with brain metastases or glioblastoma multiforme and, moreover, they strongly suggest a role of tricyclic antidepressants for personalized therapy of brain malignancies. PMID: 26530050
- [review] an overview of the current status of data linking K(V)10.1 to cancer, and techniques that could exploit K(V)10.1's properties for the management of cancer PMID: 22204340
- These results indicate that Kv6.3 is a novel member of the voltage-gated K(+) channel which functions as a modulatory subunit of the Kv2.1 channel. PMID: 11852086
-
亞細胞定位:Cell membrane; Multi-pass membrane protein. Cytoplasm.
-
蛋白家族:Potassium channel family, G (TC 1.A.1.2) subfamily, Kv6.3/KCNG3 sub-subfamily
-
組織特異性:Expressed in the brain, liver, testis, small intestine, colon, thymus and adrenal gland.
-
數據庫鏈接:
Most popular with customers
-
-
YWHAB Recombinant Monoclonal Antibody
Applications: ELISA, WB, IHC, IF, FC
Species Reactivity: Human, Mouse, Rat
-
-
-
-
-
-















