KCNB1 Antibody
-
中文名稱:KCNB1兔多克隆抗體
-
貨號:CSB-PA937621
-
規格:¥1100
-
圖片:
-
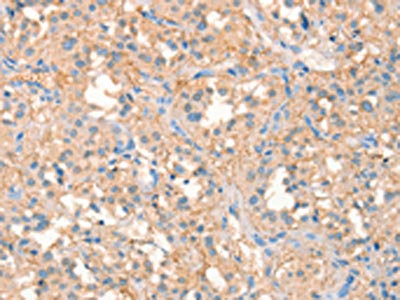
The image on the left is immunohistochemistry of paraffin-embedded Human thyroid cancer tissue using CSB-PA937621(KCNB1 Antibody) at dilution 1/30, on the right is treated with synthetic peptide. (Original magnification: ×200)
-
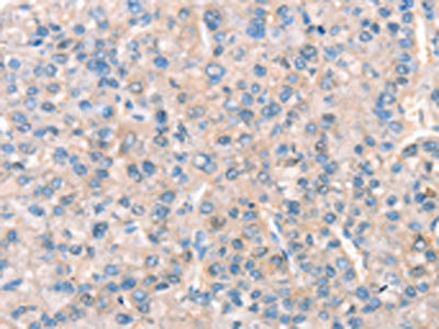
The image on the left is immunohistochemistry of paraffin-embedded Human liver cancer tissue using CSB-PA937621(KCNB1 Antibody) at dilution 1/30, on the right is treated with synthetic peptide. (Original magnification: ×200)
-
-
其他:
產品詳情
-
Uniprot No.:
-
基因名:KCNB1
-
別名:Delayed rectifier potassium channel 1 antibody; Delayed rectifier potassium channel Kv2.1 antibody; DRK 1 antibody; DRK1 antibody; h DRK1 K(+) channel antibody; h-DRK1 antibody; hDRK 1 antibody; hDRK1 antibody; KCB 1 antibody; KCB1 antibody; KCNB1 antibody; KCNB1_HUMAN antibody; KV2.1 antibody; Potassium channel protein DRK1 antibody; Potassium voltage gated channel shab related subfamily member 1 antibody; Potassium voltage-gated channel subfamily B member 1 antibody; Voltage-gated potassium channel subunit Kv2.1 antibody
-
宿主:Rabbit
-
反應種屬:Human,Mouse
-
免疫原:Synthetic peptide of Human KCNB1
-
免疫原種屬:Homo sapiens (Human)
-
標記方式:Non-conjugated
-
抗體亞型:IgG
-
純化方式:Antigen affinity purification
-
濃度:It differs from different batches. Please contact us to confirm it.
-
保存緩沖液:-20°C, pH7.4 PBS, 0.05% NaN3, 40% Glycerol
-
產品提供形式:Liquid
-
應用范圍:ELISA,IHC
-
推薦稀釋比:
Application Recommended Dilution ELISA 1:1000-1:2000 IHC 1:25-1:100 -
Protocols:
-
儲存條件:Upon receipt, store at -20°C or -80°C. Avoid repeated freeze.
-
貨期:Basically, we can dispatch the products out in 1-3 working days after receiving your orders. Delivery time maybe differs from different purchasing way or location, please kindly consult your local distributors for specific delivery time.
-
用途:For Research Use Only. Not for use in diagnostic or therapeutic procedures.
相關產品
靶點詳情
-
功能:Voltage-gated potassium channel that mediates transmembrane potassium transport in excitable membranes, primarily in the brain, but also in the pancreas and cardiovascular system. Contributes to the regulation of the action potential (AP) repolarization, duration and frequency of repetitive AP firing in neurons, muscle cells and endocrine cells and plays a role in homeostatic attenuation of electrical excitability throughout the brain. Plays also a role in the regulation of exocytosis independently of its electrical function. Forms tetrameric potassium-selective channels through which potassium ions pass in accordance with their electrochemical gradient. The channel alternates between opened and closed conformations in response to the voltage difference across the membrane. Homotetrameric channels mediate a delayed-rectifier voltage-dependent outward potassium current that display rapid activation and slow inactivation in response to membrane depolarization. Can form functional homotetrameric and heterotetrameric channels that contain variable proportions of KCNB2; channel properties depend on the type of alpha subunits that are part of the channel. Can also form functional heterotetrameric channels with other alpha subunits that are non-conducting when expressed alone, such as KCNF1, KCNG1, KCNG3, KCNG4, KCNH1, KCNH2, KCNS1, KCNS2, KCNS3 and KCNV1, creating a functionally diverse range of channel complexes. Heterotetrameric channel activity formed with KCNS3 show increased current amplitude with the threshold for action potential activation shifted towards more negative values in hypoxic-treated pulmonary artery smooth muscle cells. Channel properties are also modulated by cytoplasmic ancillary beta subunits such as AMIGO1, KCNE1, KCNE2 and KCNE3, slowing activation and inactivation rate of the delayed rectifier potassium channels. In vivo, membranes probably contain a mixture of heteromeric potassium channel complexes, making it difficult to assign currents observed in intact tissues to any particular potassium channel family member. Major contributor to the slowly inactivating delayed-rectifier voltage-gated potassium current in neurons of the central nervous system, sympathetic ganglion neurons, neuroendocrine cells, pancreatic beta cells, cardiomyocytes and smooth muscle cells. Mediates the major part of the somatodendritic delayed-rectifier potassium current in hippocampal and cortical pyramidal neurons and sympathetic superior cervical ganglion (CGC) neurons that acts to slow down periods of firing, especially during high frequency stimulation. Plays a role in the induction of long-term potentiation (LTP) of neuron excitability in the CA3 layer of the hippocampus. Contributes to the regulation of glucose-induced action potential amplitude and duration in pancreatic beta cells, hence limiting calcium influx and insulin secretion. Plays a role in the regulation of resting membrane potential and contraction in hypoxia-treated pulmonary artery smooth muscle cells. May contribute to the regulation of the duration of both the action potential of cardiomyocytes and the heart ventricular repolarization QT interval. Contributes to the pronounced pro-apoptotic potassium current surge during neuronal apoptotic cell death in response to oxidative injury. May confer neuroprotection in response to hypoxia/ischemic insults by suppressing pyramidal neurons hyperexcitability in hippocampal and cortical regions. Promotes trafficking of KCNG3, KCNH1 and KCNH2 to the cell surface membrane, presumably by forming heterotetrameric channels with these subunits. Plays a role in the calcium-dependent recruitment and release of fusion-competent vesicles from the soma of neurons, neuroendocrine and glucose-induced pancreatic beta cells by binding key components of the fusion machinery in a pore-independent manner.
-
基因功能參考文獻:
- PIP2 regulates Kv2.1 channels by interfering with the inactivation mechanism. PMID: 29379118
- The results of this study support the conclusion that the KCNB1 variants described here are likely to be pathogenic in patient with Neurodevelopmental Disorders. PMID: 28806457
- Data suggest that NMDAR plays key role in mediating effect of leptin to modulate function of insulin-secreting cells by promoting AMPK-dependent trafficking of KATP and Kv2.1 channels to plasma membrane. (NMDAR = N-methyl-D-aspartate receptor; AMPK = AMP-activated protein kinase; KATP = ATP-sensitive potassium channel; Kv2.1 = delayed-rectifier potassium channel 1) PMID: 28768770
- Kv2.1, but not Kv2.2 (KCNB2), forms clusters of 6-12 tetrameric channels at the plasma membrane and facilitates insulin exocytosis. Knockdown of Kv2.1 expression reduces secretory granule targeting to the plasma membrane. KCNB1 appears reduced in T2D islets, and further knockdown of KCNB1 does not inhibit Kv current in T2D beta-cells. Upregulation of Kv2.1-wild-type, but not Kv2.1-DeltaC318, rescues the exocytotic phen... PMID: 28607108
- the first six N-terminal residues including Lys-3, Lys-4, and Leu-5 are critical for controlling functional regulation, but not trafficking, of BK channels. This membrane-distal region has features of an amphipathic helix that is predicted to control the orientation of the first transmembrane-spanning domain (TM1) of the beta1-subunit. PMID: 28373283
- Perifosine modified the Kv2.1 inactivation gating resulting in a decrease of the current amplitude. PMID: 26922553
- KCNB1 is a strong susceptibility gene for schizophrenia spectrum disorders in humans. PMID: 26240432
- inactivation regulation via Ca(2+)/calmodulin does not interfere with the beta subunit's enzymatic activity as an NADPH-dependent oxidoreductase, thus rendering the Kvb1.1 subunit a multifunctional receptor PMID: 26487174
- Kv2.1 functional aberrations in humans are associated with developmental delay, infantile generalized seizures, hypotonia, and behavioural problems, and also highlight a critical role for Kv2.1 in regulating neuronal firing in neuronal circuits. PMID: 26477325
- Epileptic V378A variant in KCNB1 changes ion selectivity, trafficking and expression of Kv2.1 channel. PMID: 26503721
- KCNE5 subunits may affect Kv2.1 homotetramers and Kv2.1/Kv6.4 heterotetramers in vivo, resulting in more tissue-specific fine-tuning mechanisms. PMID: 26242757
- KvS subunits modify the pharmacological response of Kv2 subunits when assembled in heterotetramers and illustrate the potential of KvS subunits to provide unique properties to the heterotetramers, as is the case for 4-AP on Kv2.1/Kv6.4 channels. PMID: 26505474
- The results indicate that KCNB1 is likely associated with metabolic traits that may either predispose or protect from progression to metabolic syndrome. PMID: 26377690
- Glutamate exposure results in a loss of Kv2.1 clusters in neurons. PMID: 25908859
- HO-1 expression can strongly influence apoptosis via CO-mediated regulation of Kv2.1 activity PMID: 26303499
- This study identified a de novo missense mutation in KCNB1 that encodes the KV 2.1 voltage-gated potassium channel. PMID: 25164438
- In cerebellar granule cells, regulation of Kv2.1 by GDF15 is mediated through the TGFbetaRII-activated Akt/mTOR pathway. PMID: 24597762
- The KCNB1 rs1051295 TT genotype is associated with decreased insulin sensitivity. PMID: 23431371
- Somatodendritic Kv2.1 channels in the motor neurons of lower spinal cord significantly decrease correlating with experimental autoimmune encephalomyelitis severity. PMID: 22560931
- Direct interaction between syntaxin 1A and the Kv2.1 C-terminus is required for efficient insulin exocytosis and glucose-stimulated insulin secretion. PMID: 22411134
- Here, we show that tyrosine phosphorylation by Src plays a fundamental role in regulating Kv2.1-mediated K(+) current enhancement. We found that the level of expression of the Kv2.1 protein is increased by Src kinase. PMID: 22106938
- The results of this study that KCNB1 is a novel mechanism of toxicity in neurodegenerative disease. PMID: 22442077
- Functional interactions between residues in the S1, S4, and S5 domains of Kv2.1 in human were studied. PMID: 21455829
- analysis of of kv2.1 channel diffusion observed by single molecule tracking in live cells PMID: 21095721
- Taken together the observations indicate that, as in Shaker, the quinidine-promoted collapse of Shab G(K) occurs during deactivation of the channels, at the end of each activating pulse, with a probability of 0.1 per pulse at 80 mV. PMID: 20547671
- analysis of binding sites of structurally different antiarrhythmics flecainide and propafenone in the subunit interface of potassium channel Kv2.1 PMID: 20709754
- Data suggest that unique roles for the clustered Kv2.1 that are independent of K(+) conductance. PMID: 20566856
- These results indicate that Kv6.3 is a novel member of the voltage-gated K(+) channel which functions as a modulatory subunit of the Kv2.1 channel. PMID: 11852086
- characterization of Kv2.1 PMID: 12021261
- SNAP-25 protein modulates Kv2.1 voltage-dependent K(+) channels in neuroendocrine islet beta-cells through an interaction with the channel N terminus. PMID: 12403834
- exposed residues in the T1 domain of the N terminus, as well as the CTA domain in the C terminus, are important in determining channel activation kinetics and that these N- and C-terminal regions interact PMID: 12560340
- direct functional interaction, which is modulated by permeant ions acting at the selectivity filter, between the outer vestibule of the Kv2.1 potassium channel and the voltage sensor. PMID: 15024041
- formation of heteromeric Kv2.1/Kv9.3 channels of fixed stoichiometry consisting of three Kv2.1 subunits and one Kv9.3 subunit PMID: 15827117
- native Kv2.1 polypeptides are more abundantly found in brain PMID: 16008572
- Results support a model whereby an outer vestibule lysine interferes with K+ flux through the channel, and that the [K+]-dependent change in orientation of this lysine alters single channel conductance by changing the level of this interference. PMID: 16880266
- structural analysis of the human recombinant Kv2.1 channel PMID: 18212012
- Proteomic analysis of KV2.1 channel phosphorylation sites determining cell background specific differences in function is reported. PMID: 18690023
- Mutation of histidine 105 in the T1 domain of the potassium channel Kv2.1 disrupts heteromerization with Kv6.3 and Kv6.4. PMID: 19074135
- SUMOylation can exert a strong inhibitory action on the voltage-dependent K(+) channel Kv2.1 and can regulate cellular excitability in native beta-cells. PMID: 19223394
- rs237484 is in proximity to the potassium voltage gate channel gene (KCNB1) and close to the prostaglandin I2 (prostacyclin) synthase gene (PTGIS). PMID: 19265782
- KCNB1 may be involved in the development of LV hypertrophy in humans PMID: 19454037
- in cells either infected with HCV or harboring an HCV subgenomic replicon, oxidative stress failed to initiate apoptosis via Kv2.1. The HCV NS5A protein mediated this effect by inhibiting oxidative stress-induced p38 MAPK phosphorylation of Kv2.1. PMID: 19717445
顯示更多
收起更多
-
相關疾病:Epileptic encephalopathy, early infantile, 26 (EIEE26)
-
亞細胞定位:Cell membrane. Perikaryon. Cell projection, axon. Cell projection, dendrite. Membrane; Multi-pass membrane protein. Cell junction, synapse, postsynaptic cell membrane. Cell junction, synapse. Cell junction, synapse, synaptosome. Lateral cell membrane. Cell membrane, sarcolemma.
-
蛋白家族:Potassium channel family, B (Shab) (TC 1.A.1.2) subfamily, Kv2.1/KCNB1 sub-subfamily
-
組織特異性:Expressed in neocortical pyramidal cells. Expressed in pancreatic beta cells (at protein level). Expressed in brain, heart, lung, liver, colon, kidney and adrenal gland. Expressed in the cortex, amygdala, cerebellum, pons, thalamus, hypothalamus, hippocam
-
數據庫鏈接:
Most popular with customers
-
-
YWHAB Recombinant Monoclonal Antibody
Applications: ELISA, WB, IHC, IF, FC
Species Reactivity: Human, Mouse, Rat
-
Phospho-YAP1 (S127) Recombinant Monoclonal Antibody
Applications: ELISA, WB, IHC
Species Reactivity: Human
-
-
-
-
-















