JMY Antibody
-
中文名稱:JMY兔多克隆抗體
-
貨號:CSB-PA850838LA01HU
-
規格:¥440
-
圖片:
-
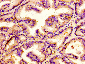
IHC image of CSB-PA850838LA01HU diluted at 1:100 and staining in paraffin-embedded human prostate tissue performed on a Leica BondTM system. After dewaxing and hydration, antigen retrieval was mediated by high pressure in a citrate buffer (pH 6.0). Section was blocked with 10% normal goat serum 30min at RT. Then primary antibody (1% BSA) was incubated at 4°C overnight. The primary is detected by a biotinylated secondary antibody and visualized using an HRP conjugated SP system.
-
Immunofluorescence staining of Hela cells with CSB-PA850838LA01HU at 1:133, counter-stained with DAPI. The cells were fixed in 4% formaldehyde, permeabilized using 0.2% Triton X-100 and blocked in 10% normal Goat Serum. The cells were then incubated with the antibody overnight at 4°C. The secondary antibody was Alexa Fluor 488-congugated AffiniPure Goat Anti-Rabbit IgG(H+L).
-
-
其他:
產品詳情
-
產品名稱:Rabbit anti-Homo sapiens (Human) JMY Polyclonal antibody
-
Uniprot No.:
-
基因名:JMY
-
別名:FLJ37870 antibody; Jmy antibody; JMY protein antibody; JMY_HUMAN antibody; junction mediating and regulatory protein antibody; Junction mediating and regulatory protein p53 cofactor antibody; Junction-mediating and -regulatory protein antibody; MGC163496 antibody; OTTHUMP00000161976 antibody; WAS protein homology region 2 domain containing 1-like 3 antibody; WHDC1L3 antibody
-
宿主:Rabbit
-
反應種屬:Human
-
免疫原:Recombinant Human Junction-mediating and -regulatory protein (708-848AA)
-
免疫原種屬:Homo sapiens (Human)
-
標記方式:Non-conjugated
本頁面中的產品,JMY Antibody (CSB-PA850838LA01HU),的標記方式是Non-conjugated。對于JMY Antibody,我們還提供其他標記。見下表:
-
克隆類型:Polyclonal
-
抗體亞型:IgG
-
純化方式:>95%, Protein G purified
-
濃度:It differs from different batches. Please contact us to confirm it.
-
保存緩沖液:Preservative: 0.03% Proclin 300
Constituents: 50% Glycerol, 0.01M PBS, pH 7.4 -
產品提供形式:Liquid
-
應用范圍:ELISA, IHC, IF
-
推薦稀釋比:
Application Recommended Dilution IHC 1:20-1:200 IF 1:50-1:200 -
Protocols:
-
儲存條件:Upon receipt, store at -20°C or -80°C. Avoid repeated freeze.
-
貨期:Basically, we can dispatch the products out in 1-3 working days after receiving your orders. Delivery time maybe differs from different purchasing way or location, please kindly consult your local distributors for specific delivery time.
-
用途:For Research Use Only. Not for use in diagnostic or therapeutic procedures.
相關產品
靶點詳情
-
功能:Acts both as a nuclear p53/TP53-cofactor and a cytoplasmic regulator of actin dynamics depending on conditions. In nucleus, acts as a cofactor that increases p53/TP53 response via its interaction with p300/EP300. Increases p53/TP53-dependent transcription and apoptosis, suggesting an important role in p53/TP53 stress response such as DNA damage. In cytoplasm, acts as a nucleation-promoting factor for both branched and unbranched actin filaments. Activates the Arp2/3 complex to induce branched actin filament networks. Also catalyzes actin polymerization in the absence of Arp2/3, creating unbranched filaments. Contributes to cell motility by controlling actin dynamics. May promote the rapid formation of a branched actin network by first nucleating new mother filaments and then activating Arp2/3 to branch off these filaments. The p53/TP53-cofactor and actin activator activities are regulated via its subcellular location.
-
基因功能參考文獻:
- In autophagosomes, the integrity of the WH2 domains allows JMY to promote actin nucleation, which is required for efficient autophagosome formation. PMID: 26223951
- JMY was expressed in normal tissues and heterogeneously in different tumor types, with close correlation between cytoplasmic and nuclear expression. PMID: 25280461
- JARID1A, JMY, and PTGER4 polymorphisms are related to ankylosing spondylitis in Chinese Han patients. PMID: 24069348
- JMY is related to the severity of AS in Chinese Han patients. PMID: 23758122
- actin assembly regulates nuclear import of JMY in response to DNA damage. PMID: 22262458
- JMY is expressed at high levels in brain tissue, and in various cell lines JMY is predominantly cytoplasmic, with a minor fraction in the nucleus. PMID: 21965285
- results establish the interplay between JMY and HIF-1alpha as a new mechanism that controls cell motility under hypoxic stress PMID: 21625218
- Data demonstrate a pathway that links the cytoskeleton with the p53 response, and further suggest that the ability of JMY to regulate actin and cadherin is instrumental in coordinating cell motility with the p53 response. PMID: 19897726
- JMY represents a new class of multifunctional actin assembly factor whose activity is regulated, at least in part, by sequestration in the nucleus. PMID: 19287377
顯示更多
收起更多
-
亞細胞定位:Nucleus. Cytoplasm, cytoskeleton.
-
蛋白家族:JMY family
-
數據庫鏈接:
Most popular with customers
-
-
YWHAB Recombinant Monoclonal Antibody
Applications: ELISA, WB, IHC, IF, FC
Species Reactivity: Human, Mouse, Rat
-
Phospho-YAP1 (S127) Recombinant Monoclonal Antibody
Applications: ELISA, WB, IHC
Species Reactivity: Human
-
-
-
-
-















