JAK2 Antibody
-
中文名稱:JAK2兔多克隆抗體
-
貨號:CSB-PA435870
-
規格:¥1100
-
圖片:
-
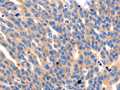
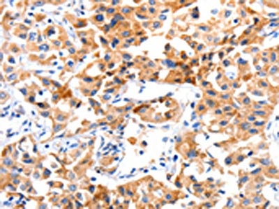
The image on the left is immunohistochemistry of paraffin-embedded Human lung cancer tissue using CSB-PA435870(JAK2 Antibody) at dilution 1/10, on the right is treated with synthetic peptide. (Original magnification: ×200)
-
The image on the left is immunohistochemistry of paraffin-embedded Human ovarian cancer tissue using CSB-PA435870(JAK2 Antibody) at dilution 1/10, on the right is treated with synthetic peptide. (Original magnification: ×200)
-
-
其他:
產品詳情
-
Uniprot No.:
-
基因名:
-
別名:JAK 2 antibody; JAK-2 antibody; JAK2 antibody; JAK2_HUMAN antibody; Janus Activating Kinase 2 antibody; Janus kinase 2 (a protein tyrosine kinase) antibody; Janus kinase 2 antibody; JTK 10 antibody; JTK10 antibody; kinase Jak2 antibody; OTTHUMP00000043260 antibody; THCYT3 antibody; Tyrosine protein kinase JAK2 antibody; Tyrosine-protein kinase JAK2 antibody
-
宿主:Rabbit
-
反應種屬:Human,Rat
-
免疫原:Synthetic peptide of Human JAK2
-
免疫原種屬:Homo sapiens (Human)
-
標記方式:Non-conjugated
-
抗體亞型:IgG
-
純化方式:Antigen affinity purification
-
濃度:It differs from different batches. Please contact us to confirm it.
-
保存緩沖液:-20°C, pH7.4 PBS, 0.05% NaN3, 40% Glycerol
-
產品提供形式:Liquid
-
應用范圍:ELISA,IHC
-
推薦稀釋比:
Application Recommended Dilution ELISA 1:1000-1:2000 IHC 1:10-1:50 -
Protocols:
-
儲存條件:Upon receipt, store at -20°C or -80°C. Avoid repeated freeze.
-
貨期:Basically, we can dispatch the products out in 1-3 working days after receiving your orders. Delivery time maybe differs from different purchasing way or location, please kindly consult your local distributors for specific delivery time.
-
用途:For Research Use Only. Not for use in diagnostic or therapeutic procedures.
相關產品
靶點詳情
-
功能:Non-receptor tyrosine kinase involved in various processes such as cell growth, development, differentiation or histone modifications. Mediates essential signaling events in both innate and adaptive immunity. In the cytoplasm, plays a pivotal role in signal transduction via its association with type I receptors such as growth hormone (GHR), prolactin (PRLR), leptin (LEPR), erythropoietin (EPOR), thrombopoietin (THPO); or type II receptors including IFN-alpha, IFN-beta, IFN-gamma and multiple interleukins. Following ligand-binding to cell surface receptors, phosphorylates specific tyrosine residues on the cytoplasmic tails of the receptor, creating docking sites for STATs proteins. Subsequently, phosphorylates the STATs proteins once they are recruited to the receptor. Phosphorylated STATs then form homodimer or heterodimers and translocate to the nucleus to activate gene transcription. For example, cell stimulation with erythropoietin (EPO) during erythropoiesis leads to JAK2 autophosphorylation, activation, and its association with erythropoietin receptor (EPOR) that becomes phosphorylated in its cytoplasmic domain. Then, STAT5 (STAT5A or STAT5B) is recruited, phosphorylated and activated by JAK2. Once activated, dimerized STAT5 translocates into the nucleus and promotes the transcription of several essential genes involved in the modulation of erythropoiesis. Part of a signaling cascade that is activated by increased cellular retinol and that leads to the activation of STAT5 (STAT5A or STAT5B). In addition, JAK2 mediates angiotensin-2-induced ARHGEF1 phosphorylation. Plays a role in cell cycle by phosphorylating CDKN1B. Cooperates with TEC through reciprocal phosphorylation to mediate cytokine-driven activation of FOS transcription. In the nucleus, plays a key role in chromatin by specifically mediating phosphorylation of 'Tyr-41' of histone H3 (H3Y41ph), a specific tag that promotes exclusion of CBX5 (HP1 alpha) from chromatin.
-
基因功能參考文獻:
- Clonal analysis shows that the dominant JAK2 V617F-positive clone in Polycythemia Vera harbors EGFR C329R substitution, thus this mutation may contribute to clonal expansion. PMID: 28550306
- Patients with CALR mutation had significantly higher concentration of PDGF-BB and lower concentration of SDF-1alpha than patients with JAK2V617F mutation. High concentration of PDGF-BB and low concentration of SDF-1alpha in patients with CALR(+) ET may indicate a contribution of these chemokines in disturbed Ca2+ metabolism in platelets. PMID: 29390868
- Here, we present two crystal structures of the human JAK2 FERM and SH2 domains bound to Leptin receptor (LEPR) and Erythropoietin receptor (EPOR), which identify a novel dimeric conformation for JAK2. PMID: 30044226
- pathogenesis mechanism of JAK2 F556V mutation in the MPNs PMID: 29842959
- Mir-204 attenuates angiogenesis in lung adenocarcinoma via JAK2-STAT3 pathway. PMID: 29281186
- FEZF1-AS1 acts as an oncogenic lncRNA in human hepatocellular carcinoma by promoting JAK2/STAT3 signaling-mediated epithelial mesenchymal transformation. PMID: 29957463
- Case Reports/Review: JAK2 mutation-associated cerebral arterial infarction and cerebral and systemic venous thromboembolism. PMID: 30056970
- HSP27 is a partner of JAK2-STAT5 and a potential therapeutic target in myelofibrosis. PMID: 29650953
- Our study suggests that JAK2V617F mutation may increase the risk of thrombosis in chronic myeloproliferative neoplasms. PMID: 30004057
- Progression to polythythemia vera from familial thrombocytosis with germline JAK2 R867Q mutation. PMID: 29368262
- JAK2 and STAT3 are activated in Idiopathic pulmonary fibrosis PMID: 29409529
- The prevalence of CALR mutation in JAK2V617F-negative essential thrombocythemia in this study is 35.7%. HRM is an effective method of detecting CALR mutation and is a more advantageous method of screening for CALR mutation. PMID: 29521158
- Comprehensive genomic characterization identified distinct genetic subgroups and provided a classification of myeloproliferative neoplasms on the basis of causal biologic mechanisms. Mutations in JAK2, CALR, or MPL being the sole abnormality in 45% of the patients. PMID: 30304655
- Findings outlined in the current study demonstrated that the inhibition of P16 decreased the growth and metastasis potential of BC cells by inhibiting IL-6/JAK2/STAT3 signaling. PMID: 29388151
- MPL-mutated and CALR-mutated essential thrombocythaemia share clinical and histological characteristics, with both genotypes showing higher platelet counts and a marked megakaryocytic proliferation in comparison with JAK2V617F-mutated ET. PMID: 29934356
- results herein provide clues to understand the mechanism JAK2 V625F mutation caused myeloproliferative neoplasms and give information for the development of JAK2 mutation specific inhibitors. PMID: 29782975
- Concomitant presence of JAK2V617F mutation and BCRABL translocation in two patients: A new entity or a variant of myeloproliferative neoplasms. PMID: 29845291
- The JAK2 V617F mutation and thrombocytopenia. PMID: 27614229
- PBX1 plays an oncogenic role in clear cell renal carcinoma via JAK2/STAT3 pathway PMID: 29678569
- Our study shows that JAK2V617F leads to abnormal expression of numerous proteins at the membrane of circulating PV red blood cells, with overexpression of CALR and persistence of CANX PMID: 28385780
- In 94.9% of PV, 85.5% ET and 85.2% PMF, authors found mutations in JAK2, MPL or CALR. 74.9% carried JAK2V617F, 12.3% CALR mutations, 2.1% MPL mutations and 10.7% were triple negative. PMID: 28990497
- tyrphostin B42 induced the apoptosis of pancreatic cancer cells (PCCs) by regulating the expression of mitochondrialrelated genes. Therefore, these findings demonstrated that tyrphostin B42 attenuated trichostatin A resistance in PCCs by antagonizing the IL6/JAK2/STAT3 signaling PMID: 29393444
- MiR-375 inhibits fetal ASM cell proliferation and migration by targeting JAK2/STAT3 signaling. PMID: 29245068
- data show that HIT is more frequent, during heparin treatment, in patients with ET carrying V617F mutation, as compared with patients without mutations PMID: 29022213
- Overexpression of ALK4 suppressed glioma cell proliferation, migration and invasion through the inactivation of JAK/STAT3 signaling pathway. PMID: 29278854
- We describe a subset of non-small-cell lung cancer patients who had JAK2 amplifications resulting in high expression of PD-L1 PMID: 28795418
- High JAK2 expression is associated with hepatocellular carcinoma. PMID: 28677802
- JAK2 haplotype 46/1 and JAK2 V617F allele burden in MPN PMID: 29134760
- Low JAK2 expression is associated with gastric cancer. PMID: 28656307
- The authors discovered tyrosine 78 of Atoh1 is phosphorylated by a Jak2-mediated pathway only in tumor-initiating cells and in human Sonic Hedgehog-type medulloblastoma. PMID: 29168692
- conclude that the activating JAK2 V617F mutation does not play a decisive role in the pathogenesis of progressive CKD PMID: 27889755
- Our findings revealed that B7-H3 affect ovarian cancer progression through the Jak2/Stat3 pathway, indicating that B7-H3 has the potential to be a useful prognostic marker. PMID: 28765941
- In 136 patients with myelofibrosis and a median age of 58 years who underwent allogeneic stem cell transplantation (AHSCT) for molecular residual disease, the percentage of molecular clearance on day 100 was higher in CALR-mutated patients (92%) in comparison with MPL- (75%) and JAKV617F-mutated patients (67%). PMID: 28714945
- Mutational subtypes of JAK2 correlate with different clinical features in Japanese patients with myeloproliferative neoplasms. PMID: 29464483
- identification of activating somatic mutations in JAK2 and germline mutations in JAK3 with clinical implications PMID: 29082853
- Screening for the JAK2 V617F mutation in cerebral venous thrombosis patients seems to be useful because of its relatively high prevalence and the risk of thrombosis recurrence. PMID: 28609766
- Ascochlorin significantly decreased phosphorylation of JAK2/STAT3, cancer cell migration and nuclear translocation of STAT3. PMID: 28569433
- TLR7, TLR9, and JAK2 genes are potential biomarkers for systemic sclerosis. High TLR7 expression positively correlated with the late form of disease. Decreased levels of TLR9 and JAK2 mRNA were found in the patient's cohort in comparison to non-SSc individuals. PMID: 29147913
- This study demonstrated that the JAK2V617F mutation was detectable in Patients with Stroke. PMID: 28625126
- Curcumin attenuated neuropathic pain and down-regulated the production of spinal mature IL-1beta by inhibiting the aggregation of NALP1 inflammasome and the activation of the JAK2-STAT3 cascade in astrocytes. PMID: 27381056
- High level of phosphorylated JAK2, and STAT3 are associated with systemic lupus erythematosus. PMID: 28177455
- this study shows that Nrf2 activation induces lipocyte phenotype in hepatic stellate cells via enhancing SOCS3-dependent feedback inhibition on JAK2/STAT3 cascade PMID: 28601022
- bladder cancer cell may inhibit maturation and function of dendritic cells involving of Jak2/STAT3 pathway, and there may be different mechanisms by which adriamycin-resistant BCC restrains DC function in antitumor immune response PMID: 27556503
- Multivariate analysis adjusted for age, sex, follow-up period and hematological parameters confirmed that increased activated B cells were universally present in JAK2-mutated, CALR-mutated and triple-negative ET patients when compared to healthy adults. PMID: 28415571
- In multivariable analysis, younger age, platelet count, hemoglobin level and JAK2 V617F mutation independently predicted the development of acquired von Willebrand syndrome (AVWS) among essential thrombocythemia (ET)patients; whereas only platelet count predicted its development among polycythemia vera (PV) patients. Among ET patients, JAK2 V617F was a main driver for the development of AVWS. PMID: 27919526
- CXCR4 induced VEGF production and JAK2/STAT3 activation and enhanced STAT3 binding to VEGF promoter in gastric cancer cells. PMID: 28544312
- these results reveal proteome alterations in MPN granulocytes depending on the phenotype and genotype of patients, highlighting new oncogenic mechanisms associated with JAK2 mutations and overexpression of calreticulin PMID: 28314843
- JAK2 mutation is associated with Essential thrombocythemia. PMID: 28205126
- Considering JAK2(V617F) -positive disease, a higher (>50%) JAK2(V617F) burden and histological classification are independent prognostic risk factors for disease progression. PMID: 28509339
- Taken together, we found that silibinin inhibits the Jak2/STAT3/MMP2 signaling pathway, and inhibits the proliferation, migration, and invasion of triple-negative breast cancer cells. PMID: 28440514
顯示更多
收起更多
-
相關疾病:Budd-Chiari syndrome (BDCHS); Polycythemia vera (PV); Thrombocythemia 3 (THCYT3); Myelofibrosis (MYELOF); Leukemia, acute myelogenous (AML)
-
亞細胞定位:Endomembrane system; Peripheral membrane protein. Cytoplasm. Nucleus.
-
蛋白家族:Protein kinase superfamily, Tyr protein kinase family, JAK subfamily
-
組織特異性:Ubiquitously expressed throughout most tissues.
-
數據庫鏈接:
Most popular with customers
-
-
YWHAB Recombinant Monoclonal Antibody
Applications: ELISA, WB, IHC, IF, FC
Species Reactivity: Human, Mouse, Rat
-
Phospho-YAP1 (S127) Recombinant Monoclonal Antibody
Applications: ELISA, WB, IHC
Species Reactivity: Human
-
-
-
-
-















