IVNS1ABP Antibody
-
中文名稱:IVNS1ABP兔多克隆抗體
-
貨號:CSB-PA896937LA01HU
-
規格:¥440
-
圖片:
-
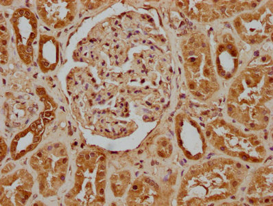
IHC image of CSB-PA896937LA01HU diluted at 1:100 and staining in paraffin-embedded human kidney tissue performed on a Leica BondTM system. After dewaxing and hydration, antigen retrieval was mediated by high pressure in a citrate buffer (pH 6.0). Section was blocked with 10% normal goat serum 30min at RT. Then primary antibody (1% BSA) was incubated at 4°C overnight. The primary is detected by a biotinylated secondary antibody and visualized using an HRP conjugated SP system.
-
Immunofluorescence staining of U251 cells with CSB-PA896937LA01HU at 1:50, counter-stained with DAPI. The cells were fixed in 4% formaldehyde, permeabilized using 0.2% Triton X-100 and blocked in 10% normal Goat Serum. The cells were then incubated with the antibody overnight at 4°C. The secondary antibody was Alexa Fluor 488-congugated AffiniPure Goat Anti-Rabbit IgG(H+L).
-
-
其他:
產品詳情
-
產品名稱:Rabbit anti-Homo sapiens (Human) IVNS1ABP Polyclonal antibody
-
Uniprot No.:
-
基因名:IVNS1ABP
-
別名:IVNS1ABP antibody; ARA3 antibody; FLARA3 antibody; KIAA0850 antibody; KLHL39 antibody; NS1 antibody; NS1BP antibody; HSPC068 antibody; Influenza virus NS1A-binding protein antibody; NS1-BP antibody; NS1-binding protein antibody; Aryl hydrocarbon receptor-associated protein 3 antibody; Kelch-like protein 39 antibody
-
宿主:Rabbit
-
反應種屬:Human
-
免疫原:Recombinant Human Influenza virus NS1A-binding protein (401-642AA)
-
免疫原種屬:Homo sapiens (Human)
-
標記方式:Non-conjugated
本頁面中的產品,IVNS1ABP Antibody (CSB-PA896937LA01HU),的標記方式是Non-conjugated。對于IVNS1ABP Antibody,我們還提供其他標記。見下表:
-
克隆類型:Polyclonal
-
抗體亞型:IgG
-
純化方式:Antigen Affinity Purified
-
濃度:It differs from different batches. Please contact us to confirm it.
-
保存緩沖液:Preservative: 0.03% Proclin 300
Constituents: 50% Glycerol, 0.01M PBS, pH 7.4 -
產品提供形式:Liquid
-
應用范圍:ELISA, IHC, IF
-
推薦稀釋比:
Application Recommended Dilution IHC 1:20-1:200 IF 1:50-1:200 -
Protocols:
-
儲存條件:Upon receipt, store at -20°C or -80°C. Avoid repeated freeze.
-
貨期:Basically, we can dispatch the products out in 1-3 working days after receiving your orders. Delivery time maybe differs from different purchasing way or location, please kindly consult your local distributors for specific delivery time.
-
用途:For Research Use Only. Not for use in diagnostic or therapeutic procedures.
相關產品
靶點詳情
-
功能:Involved in many cell functions, including pre-mRNA splicing, the aryl hydrocarbon receptor (AHR) pathway, F-actin organization and protein ubiquitination. Plays a role in the dynamic organization of the actin skeleton as a stabilizer of actin filaments by association with F-actin through Kelch repeats. Protects cells from cell death induced by actin destabilization. Functions as modifier of the AHR/Aryl hydrocarbon receptor pathway increasing the concentration of AHR available to activate transcription. In addition, functions as a negative regulator of BCR(KLHL20) E3 ubiquitin ligase complex to prevent ubiquitin-mediated proteolysis of PML and DAPK1, two tumor suppressors. Inhibits pre-mRNA splicing (in vitro).; (Microbial infection) Involved in the alternative splicing of influenza A virus M1 mRNA through interaction with HNRNPK, thereby facilitating the generation of viral M2 protein.
-
基因功能參考文獻:
- Data show that heterogeneous nuclear ribonucleoprotein K (hnRNP K) and influenza virus NS1A binding protein (NS1-BP) regulate host splicing events and that viral infection causes mis-splicing of some of these transcripts. PMID: 29921878
- Our study identifies KLHL39 as a negative regulator of Cul3-KLHL20 ubiquitin ligase and reveals a role of KLHL39-mediated PML and DAPK stabilization in colon cancer metastasis. PMID: 25619834
- NS1-BP-hnRNPK complex is a key mediator of influenza A virus gene expression. PMID: 23825951
- This study provided evidence that miRNA-548an is involved in the regulation of NS1ABP. PMID: 24210102
- These findings further support the distinct roles of alpha-enolase and its MBP-1 variant in maintaining cell homeostasis. Moreover, these data suggest a novel function for NS1-BP in the control of cell proliferation. PMID: 17996313
顯示更多
收起更多
-
亞細胞定位:Cytoplasm. Cytoplasm, cytoskeleton. Nucleus, nucleoplasm.
-
數據庫鏈接:
Most popular with customers
-
-
YWHAB Recombinant Monoclonal Antibody
Applications: ELISA, WB, IHC, IF, FC
Species Reactivity: Human, Mouse, Rat
-
Phospho-YAP1 (S127) Recombinant Monoclonal Antibody
Applications: ELISA, WB, IHC
Species Reactivity: Human
-
-
-
-
-















