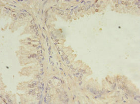
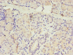
ITPRID2 Antibody
-
中文名稱:ITPRID2兔多克隆抗體
-
貨號:CSB-PA022710LA01HU
-
規格:¥440
-
圖片:
-
其他:
產品詳情
-
產品名稱:Rabbit anti-Homo sapiens (Human) SSFA2 Polyclonal antibody
-
Uniprot No.:
-
基因名:SSFA2
-
別名:Cleavage signal-1 protein antibody; CS-1 antibody; CS1 antibody; Ki-ras-induced actin-interacting protein antibody; KIAA1927 antibody; KRAP antibody; KRAS induced actin interacting protein antibody; SPAG13 antibody; Sperm associated antigen 13 antibody; Sperm-specific antigen 2 antibody; SSFA2 antibody; SSFA2_HUMAN antibody
-
宿主:Rabbit
-
反應種屬:Human
-
免疫原:Recombinant Human Protein ITPRID2 protein (1-267AA)
-
免疫原種屬:Homo sapiens (Human)
-
標記方式:Non-conjugated
本頁面中的產品,ITPRID2 Antibody (CSB-PA022710LA01HU),的標記方式是Non-conjugated。對于ITPRID2 Antibody,我們還提供其他標記。見下表:
-
克隆類型:Polyclonal
-
抗體亞型:IgG
-
純化方式:>95%, Protein G purified
-
濃度:It differs from different batches. Please contact us to confirm it.
-
保存緩沖液:Preservative: 0.03% Proclin 300
Constituents: 50% Glycerol, 0.01M PBS, PH 7.4 -
產品提供形式:Liquid
-
應用范圍:ELISA, IHC
-
推薦稀釋比:
Application Recommended Dilution IHC 1:20-1:200 -
Protocols:
-
儲存條件:Upon receipt, store at -20°C or -80°C. Avoid repeated freeze.
-
貨期:Basically, we can dispatch the products out in 1-3 working days after receiving your orders. Delivery time maybe differs from different purchasing way or location, please kindly consult your local distributors for specific delivery time.
-
用途:For Research Use Only. Not for use in diagnostic or therapeutic procedures.
相關產品
靶點詳情
-
基因功能參考文獻:
- phosphorylation at Ser92 of the sperm-specific antigen 2 (SSFA2)[phospho-SSFA2 (pS92)], was related to poor prognosis. PMID: 26947549
- the predicted coiled-coil region & the region adjacent to the coiled-coil region of the carboxyl-terminus of KRAP may be crucial for its interaction with the cytoskeleton or directional targeting toward the apical pole in polarized epithelial cells PMID: 21873152
- KRAP is involved in the proper regulation of IP3R-mediated Ca2+ release. PMID: 21457704
- the critical region of KRAP protein for the regulation of IP(3)R was determined. PMID: 21501587
- localized as a membrane-bound form with extracellular regions; results suggested KRAP might be involved in the regulation of filamentous actin and signals from the outside of the cells PMID: 14673706
- results suggested that KRAP might be a cytoskeleton-associated protein involving the structural integrity and/or signal transductions in human cancers. PMID: 17934691
顯示更多
收起更多
-
亞細胞定位:Cytoplasm. Note=Located near the plasma membrane. Associated with actin filaments. May also exist as a membrane-bound form with extracellular regions.
-
組織特異性:Strongly expressed in pancreas and testis. Present in colon cancer cells (at protein level).
-
數據庫鏈接:
Most popular with customers
-
-
YWHAB Recombinant Monoclonal Antibody
Applications: ELISA, WB, IHC, IF, FC
Species Reactivity: Human, Mouse, Rat
-
Phospho-YAP1 (S127) Recombinant Monoclonal Antibody
Applications: ELISA, WB, IHC
Species Reactivity: Human
-
-
-
-
-















