ITGB5 Antibody
-
中文名稱:ITGB5兔多克隆抗體
-
貨號:CSB-PA546880
-
規格:¥1100
-
圖片:
-
The image on the left is immunohistochemistry of paraffin-embedded Human lung cancer tissue using CSB-PA546880(ITGB5 Antibody) at dilution 1/40, on the right is treated with fusion protein. (Original magnification: ×200)
-
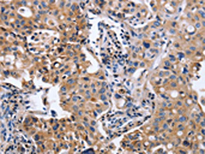
The image on the left is immunohistochemistry of paraffin-embedded Human colon cancer tissue using CSB-PA546880(ITGB5 Antibody) at dilution 1/40, on the right is treated with fusion protein. (Original magnification: ×200)
-
-
其他:
產品詳情
-
Uniprot No.:
-
基因名:
-
別名:ITGB5; Integrin beta-5
-
宿主:Rabbit
-
反應種屬:Human,Mouse
-
免疫原:Fusion protein of Human ITGB5
-
免疫原種屬:Homo sapiens (Human)
-
標記方式:Non-conjugated
-
抗體亞型:IgG
-
純化方式:Antigen affinity purification
-
濃度:It differs from different batches. Please contact us to confirm it.
-
保存緩沖液:-20°C, pH7.4 PBS, 0.05% NaN3, 40% Glycerol
-
產品提供形式:Liquid
-
應用范圍:ELISA,IHC
-
推薦稀釋比:
Application Recommended Dilution ELISA 1:1000-1:5000 IHC 1:25-1:100 -
Protocols:
-
儲存條件:Upon receipt, store at -20°C or -80°C. Avoid repeated freeze.
-
貨期:Basically, we can dispatch the products out in 1-3 working days after receiving your orders. Delivery time maybe differs from different purchasing way or location, please kindly consult your local distributors for specific delivery time.
-
用途:For Research Use Only. Not for use in diagnostic or therapeutic procedures.
相關產品
靶點詳情
-
功能:Integrin alpha-V/beta-5 (ITGAV:ITGB5) is a receptor for fibronectin. It recognizes the sequence R-G-D in its ligand.; (Microbial infection) Integrin ITGAV:ITGB5 acts as a receptor for adenovirus type C.
-
基因功能參考文獻:
- High ITGB5 expression is associated with cervical cancer. PMID: 26758421
- FAK activity regulates beta5 integrin expression and anchorage-independent cell growth in ovarian carcinoma. PMID: 24899686
- FRMD5 regulates tumor cell motility via a dual pathway involving FRMD5 binding to integrin beta5 tail and to ROCK1 PMID: 25448675
- Immunohistochemical analysis for alphavbeta3, alphavbeta5 and alphavbeta6 integrin subunits was performed and correlated with Ki67 and hypoxia-inducible factor (HIF)-1alpha indexes PMID: 25150423
- Myo7a interacts with integrin beta5 and selectively promotes integrin alphavbeta5-mediated cell migration PMID: 24997346
- we demonstrated via antibody blocking experiments that aV b5 and a6 significantly promoted hESC attachment in 2%oxygen only, whereas blockage of CD44 inhibited cell attachment in 21% O2 alone PMID: 24455718
- Brain metastases ITGB5 expression exhibits considerable heterogeneity according to tumor origin. PMID: 24294359
- Integrin-beta5 and zyxin mediate formation of ventral stress fibers in response to transforming growth factor beta. PMID: 24036928
- molecular model of integrin b5 structure was prepared and stereo chemical model quality was checked. Integrin b5 active sites were identified based on insilico analysis tools. PMID: 23962022
- BDNF enhances the migration of chondrosarcoma by increasing beta5 integrin expression through a signal transduction pathway that involves the TrkB receptor, PI3K, Akt, and NF-kappaB. PMID: 23874483
- The top primary GWAS association of Airway hyperresponsiveness was in rs848788(P-value 7.2E-07) located within the ITGB5 genes. PMID: 23984888
- Depletion of integrin beta5 in triple-negative breast carcinoma cells markedly reduced tumor take, growth and tumor angiogenesis, whereas reexpression of integrin beta5 rescued this phenotype; findings show a critical role for integrin beta5 in the tumorigenic potential of breast carcinoma cells PMID: 22824793
- High beta5-integrin protein expression is associated with aggressive behavior in gastric cancer. PMID: 22561002
- Letter: loss of integrin beta5 in polyomavirus positive Merkel cell carcinoma may influence cell adhesion/migration. PMID: 22503669
- Cysteine-rich protein Cyr61 activates interleukin (IL)-6 production via the alphavbeta5/Akt/NF-kappaB signaling pathway in rheumatoid arthritis. PMID: 22547695
- The beta5-integrin adhesions contribute to the TGFbeta-induced EMT and the tumorigenic potential of carcinoma cells. PMID: 20404485
- p21-activated kinase 4 phosphorylation of integrin beta5 Ser-759 and Ser-762 regulates cell migration PMID: 20507994
- Src kinase-mediated activation of STAT3 and subsequent angiogenic gene expression mediate the effects of integrin alpha v beta 5 and may be exploited to enhance the paracrine activities of circulating angiogenic cells. PMID: 20431064
- Overexpression of the beta5 integrin in hematopoietic cells was associated with the inhibition of cell proliferation and apoptosis. PMID: 11877043
- different beta5 integrins: repeated-FNK (FNKFNK764-769) and single-FNK (FNK764-766) amino acid sequences in the cytoplasmic domain. PMID: 15979906
- Our studies suggest that the phagocytic function of beta5 integrin is regulated by an unconventional NPxY-talin-independent activation signal and argue for the existence of molecular switches in the beta5 cytoplasmic tail for adhesion and phagocytosis. PMID: 17963729
顯示更多
收起更多
-
亞細胞定位:Membrane; Single-pass type I membrane protein.
-
蛋白家族:Integrin beta chain family
-
數據庫鏈接:
Most popular with customers
-
-
YWHAB Recombinant Monoclonal Antibody
Applications: ELISA, WB, IHC, IF, FC
Species Reactivity: Human, Mouse, Rat
-
Phospho-YAP1 (S127) Recombinant Monoclonal Antibody
Applications: ELISA, WB, IHC
Species Reactivity: Human
-
-
-
-
-















