ITGB3BP Antibody
-
中文名稱:ITGB3BP兔多克隆抗體
-
貨號:CSB-PA622653DSR1HU
-
規格:¥440
-
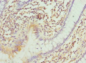
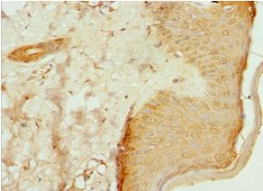
圖片:
-
其他:
產品詳情
-
產品名稱:Rabbit anti-Homo sapiens (Human) ITGB3BP Polyclonal antibody
-
Uniprot No.:
-
基因名:ITGB3BP
-
別名:ITGB3BP antibody; CENPR antibody; NRIF3Centromere protein R antibody; CENP-R antibody; Beta-3-endonexin antibody; Integrin beta-3-binding protein antibody; Nuclear receptor-interacting factor 3 antibody
-
宿主:Rabbit
-
反應種屬:Human
-
免疫原:Recombinant Human Centromere protein R protein (1-177AA)
-
免疫原種屬:Homo sapiens (Human)
-
標記方式:Non-conjugated
-
克隆類型:Polyclonal
-
抗體亞型:IgG
-
純化方式:Antigen Affinity Purified
-
濃度:It differs from different batches. Please contact us to confirm it.
-
保存緩沖液:PBS with 0.02% sodium azide, 50% glycerol, pH7.3.
-
產品提供形式:Liquid
-
應用范圍:ELISA, IHC
-
推薦稀釋比:
Application Recommended Dilution IHC 1:20-1:200 -
Protocols:
-
儲存條件:Upon receipt, store at -20°C or -80°C. Avoid repeated freeze.
-
貨期:Basically, we can dispatch the products out in 1-3 working days after receiving your orders. Delivery time maybe differs from different purchasing way or location, please kindly consult your local distributors for specific delivery time.
-
用途:For Research Use Only. Not for use in diagnostic or therapeutic procedures.
相關產品
靶點詳情
-
功能:Transcription coregulator that can have both coactivator and corepressor functions. Isoform 1, but not other isoforms, is involved in the coactivation of nuclear receptors for retinoid X (RXRs) and thyroid hormone (TRs) in a ligand-dependent fashion. In contrast, it does not coactivate nuclear receptors for retinoic acid, vitamin D, progesterone receptor, nor glucocorticoid. Acts as a coactivator for estrogen receptor alpha. Acts as a transcriptional corepressor via its interaction with the NFKB1 NF-kappa-B subunit, possibly by interfering with the transactivation domain of NFKB1. Induces apoptosis in breast cancer cells, but not in other cancer cells, via a caspase-2 mediated pathway that involves mitochondrial membrane permeabilization but does not require other caspases. May also act as an inhibitor of cyclin A-associated kinase. Also acts a component of the CENPA-CAD (nucleosome distal) complex, a complex recruited to centromeres which is involved in assembly of kinetochore proteins, mitotic progression and chromosome segregation. May be involved in incorporation of newly synthesized CENPA into centromeres via its interaction with the CENPA-NAC complex.
-
基因功能參考文獻:
- The beta3-endonexin can act as a novel anti-angiogenic factor specifically in the response to hypoxia due to its negative impact on the activation of HIF-1. PMID: 24386901
- Data propose that CENP-P/O/R/Q/U self-assembles on kinetochores with varying stoichiometry and undergoes a pre-mitotic maturation step that could be important for kinetochores switching into the correct conformation for microtubule-attachment. PMID: 23028590
- The presence of various isoforms and the relationship between subcellular localization and integrin-activating function of beta(3)-endonexin is described. PMID: 11864709
- This protein downregulates urokinase-type plasminogen activator receptor promoter activity. PMID: 12244126
- Results suggest that breast cancer cells contain a novel "death switch" that can be specifically triggered by NRIF3 or death domain 1. PMID: 15082778
- Metastasis-associated protein 1 interacts with NRIF3, an estrogen-inducible nuclear receptor coregulator PMID: 15254226
- findings suggest that NRIF3-Ser28 is a physiologic target of Pak1 signaling and contributes to the enhanced NRIF3 co-activator activity, leading to coordinated potentiation of ERalpha transactivation PMID: 18521086
顯示更多
收起更多
-
亞細胞定位:[Isoform 1]: Nucleus. Chromosome, centromere. Chromosome, centromere, kinetochore.; [Isoform 2]: Nucleus.; [Isoform 3]: Nucleus. Cytoplasm. Note=Isoform 3 is predominantly nuclear and weakly cytoplasmic.; [Isoform 4]: Cytoplasm.
-
組織特異性:Widely expressed. Expressed in spleen, thymus, prostate, ovary, small intestine and white blood cells. Highly expressed in testis and colon. Isoform 4 is expressed in platelets, lymphocytes and granulocytes.
-
數據庫鏈接:
Most popular with customers
-
-
Phospho-YAP1 (S127) Recombinant Monoclonal Antibody
Applications: ELISA, WB, IHC
Species Reactivity: Human
-
-
-
-
-
-















