ITGB1BP1 Antibody
-
中文名稱:ITGB1BP1兔多克隆抗體
-
貨號:CSB-PA011881LA01HU
-
規格:¥440
-
圖片:
-
Western Blot
Positive WB detected in: SH-SY5Y whole cell lysate, A549 whole cell lysate, 293 whole cell lysate, PC-3 whole cell lysate, MCF-7 whole cell lysate
All lanes: ITGB1BP1 antibody at 1:2000
Secondary
Goat polyclonal to rabbit IgG at 1/50000 dilution
Predicted band size: 22, 17 kDa
Observed band size: 22 kDa -
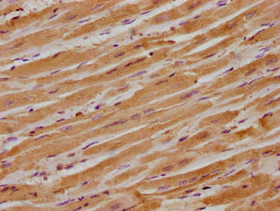
IHC image of CSB-PA011881LA01HU diluted at 1:300 and staining in paraffin-embedded human heart tissue performed on a Leica BondTM system. After dewaxing and hydration, antigen retrieval was mediated by high pressure in a citrate buffer (pH 6.0). Section was blocked with 10% normal goat serum 30min at RT. Then primary antibody (1% BSA) was incubated at 4°C overnight. The primary is detected by a biotinylated secondary antibody and visualized using an HRP conjugated SP system.
-
-
其他:
產品詳情
-
產品名稱:Rabbit anti-Homo sapiens (Human) ITGB1BP1 Polyclonal antibody
-
Uniprot No.:
-
基因名:ITGB1BP1
-
別名:ITGB1BP1 antibody; ICAP1Integrin beta-1-binding protein 1 antibody; Integrin cytoplasmic domain-associated protein 1 antibody; ICAP-1 antibody
-
宿主:Rabbit
-
反應種屬:Human
-
免疫原:Recombinant Human Integrin beta-1-binding protein 1 protein (1-200AA)
-
免疫原種屬:Homo sapiens (Human)
-
標記方式:Non-conjugated
本頁面中的產品,ITGB1BP1 Antibody (CSB-PA011881LA01HU),的標記方式是Non-conjugated。對于ITGB1BP1 Antibody,我們還提供其他標記。見下表:
-
克隆類型:Polyclonal
-
抗體亞型:IgG
-
純化方式:>95%, Protein G purified
-
濃度:It differs from different batches. Please contact us to confirm it.
-
保存緩沖液:Preservative: 0.03% Proclin 300
Constituents: 50% Glycerol, 0.01M PBS, pH 7.4 -
產品提供形式:Liquid
-
應用范圍:ELISA, WB, IHC
-
推薦稀釋比:
Application Recommended Dilution WB 1:1000-1:5000 IHC 1:200-1:500 -
Protocols:
-
儲存條件:Upon receipt, store at -20°C or -80°C. Avoid repeated freeze.
-
貨期:Basically, we can dispatch the products out in 1-3 working days after receiving your orders. Delivery time maybe differs from different purchasing way or location, please kindly consult your local distributors for specific delivery time.
-
用途:For Research Use Only. Not for use in diagnostic or therapeutic procedures.
相關產品
靶點詳情
-
功能:Key regulator of the integrin-mediated cell-matrix interaction signaling by binding to the ITGB1 cytoplasmic tail and preventing the activation of integrin alpha-5/beta-1 (heterodimer of ITGA5 and ITGB1) by talin or FERMT1. Plays a role in cell proliferation, differentiation, spreading, adhesion and migration in the context of mineralization and bone development and angiogenesis. Stimulates cellular proliferation in a fibronectin-dependent manner. Involved in the regulation of beta-1 integrin-containing focal adhesion (FA) site dynamics by controlling its assembly rate during cell adhesion; inhibits beta-1 integrin clustering within FA by directly competing with talin TLN1, and hence stimulates osteoblast spreading and migration in a fibronectin- and/or collagen-dependent manner. Acts as a guanine nucleotide dissociation inhibitor (GDI) by regulating Rho family GTPases during integrin-mediated cell matrix adhesion; reduces the level of active GTP-bound form of both CDC42 and RAC1 GTPases upon cell adhesion to fibronectin. Stimulates the release of active CDC42 from the membranes to maintain it in an inactive cytoplasmic pool. Participates in the translocation of the Rho-associated protein kinase ROCK1 to membrane ruffles at cell leading edges of the cell membrane, leading to an increase of myoblast cell migration on laminin. Plays a role in bone mineralization at a late stage of osteoblast differentiation; modulates the dynamic formation of focal adhesions into fibrillar adhesions, which are adhesive structures responsible for fibronectin deposition and fibrillogenesis. Plays a role in blood vessel development; acts as a negative regulator of angiogenesis by attenuating endothelial cell proliferation and migration, lumen formation and sprouting angiogenesis by promoting AKT phosphorylation and inhibiting ERK1/2 phosphorylation through activation of the Notch signaling pathway. Promotes transcriptional activity of the MYC promoter.
-
基因功能參考文獻:
- nuclear-cytoplasmic shuttling of ICAP1 influences both integrin activation and KRIT1 localization, presumably impacting nuclear functions of KRIT1. PMID: 28003363
- The cocrystal structure of ICAP1 in complex with krev interaction trapped protein (KRIT)1 is characterized here. PMID: 23695561
- The structural basis for KRIT1 antagonized ICAP1-modulated integrin-beta1 activation. PMID: 23317506
- Annexin A1 is associated with gastric cancer survival and promotes gastric cancer cell invasiveness through the formyl peptide receptor/extracellular signal-regulated kinase/integrin beta-1-binding protein 1 pathway. PMID: 22736399
- Identify ICAP1 as a novel regulator to prevent excessive sprouting angiogenesis. PMID: 20616313
- Site-directed mutagenesis showed that Leu(135), Ile(138), and Ile(139) of Icap1 alpha, and Leu(82) and Tyr(144), are required for the Icap1 alpha-beta(1) integrin interaction PMID: 11741908
- Integrin-binding protein also interacts with Krit 1 protein, cause of CCM1. (ICAP-1, integrin cytoplasmic domain-associated protein 1) PMID: 11854171
- beta(1) integrin viability signal in collagen matrices is transduced by focal adhesion kinase PMID: 15166238
- ICAP-1 shuttles between the nucleus and cytoplasm in a beta1 integrin-dependent manner PMID: 15703214
- TNF-alpha induced expression of c-IAP1 and c-IAP2 via MAP kinases, but not via NF-kappaB, and that MAP kinases participated in the inhibition of apoptosis by induction of c-IAPs in TNF-alpha-stimulated endothelial cells PMID: 17133355
- integrin cytoplasmic domain-associated protein-1 alpha (icap1alpha) act concordantly to play a critical role in beta1-integrin-mediated cell proliferation. PMID: 18812969
顯示更多
收起更多
-
亞細胞定位:Nucleus. Cytoplasm. Cytoplasm, cytoskeleton. Cell membrane. Cell projection, lamellipodium. Cell projection, ruffle. Note=Nucleocytoplasmic shuttling protein; shuttles between nucleus and cytoplasm in a integrin-dependent manner; probably sequestered in the cytosol by ITGB1. Its localization is dependent on the stage of cell spreading on fibronectin; cytoplasmic in case of round cells, corresponding to the initial step of cell spreading, or nuclear in case of well spread cells. Colocalizes with ROCK1 and NME2 at beta-1 integrin engagement sites. Together with ITGB1 and NME2 is recruited to beta-1 integrin-rich peripheral ruffles and lamellipodia during initial cell spreading on fibronectin and/or collagen.
-
組織特異性:Expressed in endothelial cells and fibroblasts (at protein level). Ubiquitously expressed. Expressed in intestine, colon, testis, ovary, thymus, spleen and prostate.
-
數據庫鏈接:
Most popular with customers
-
-
Phospho-YAP1 (S127) Recombinant Monoclonal Antibody
Applications: ELISA, WB, IHC
Species Reactivity: Human
-
-
-
-
-
-















