ITGA8 Antibody
-
中文名稱:ITGA8兔多克隆抗體
-
貨號:CSB-PA011871NA01HU
-
規格:¥440
-
圖片:
-
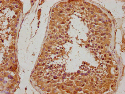
IHC image of CSB-PA011871NA01HU diluted at 1:500 and staining in paraffin-embedded human testis tissue performed on a Leica BondTM system. After dewaxing and hydration, antigen retrieval was mediated by high pressure in a citrate buffer (pH 6.0). Section was blocked with 10% normal goat serum 30min at RT. Then primary antibody (1% BSA) was incubated at 4°C overnight. The primary is detected by a biotinylated secondary antibody and visualized using an HRP conjugated SP system.
-
-
其他:
產品詳情
-
產品名稱:Rabbit anti-Homo sapiens (Human) ITGA8 Polyclonal antibody
-
Uniprot No.:
-
基因名:
-
別名:Integrin alpha 8 antibody; Integrin alpha-8 heavy chain antibody; Integrin alpha-8 light chain antibody; ITA8_HUMAN antibody; ITGA 8 antibody; ITGA8 antibody
-
宿主:Rabbit
-
反應種屬:Human
-
免疫原:Peptide sequence from Human Integrin alpha-8 protein (114-131AA)
-
免疫原種屬:Homo sapiens (Human)
-
標記方式:Non-conjugated
本頁面中的產品,ITGA8 Antibody (CSB-PA011871NA01HU),的標記方式是Non-conjugated。對于ITGA8 Antibody,我們還提供其他標記。見下表:
-
克隆類型:Polyclonal
-
抗體亞型:IgG
-
純化方式:>95%, Protein G purified
-
濃度:It differs from different batches. Please contact us to confirm it.
-
保存緩沖液:Preservative: 0.03% Proclin 300
Constituents: 50% Glycerol, 0.01M PBS, pH 7.4 -
產品提供形式:Liquid
-
應用范圍:ELISA, IHC
-
推薦稀釋比:
Application Recommended Dilution IHC 1:500-1:1000 -
Protocols:
-
儲存條件:Upon receipt, store at -20°C or -80°C. Avoid repeated freeze.
-
貨期:Basically, we can dispatch the products out in 1-3 working days after receiving your orders. Delivery time maybe differs from different purchasing way or location, please kindly consult your local distributors for specific delivery time.
-
用途:For Research Use Only. Not for use in diagnostic or therapeutic procedures.
相關產品
靶點詳情
-
功能:Integrin alpha-8/beta-1 functions in the genesis of kidney and probably of other organs by regulating the recruitment of mesenchymal cells into epithelial structures. It recognizes the sequence R-G-D in a wide array of ligands including TNC, FN1, SPP1 TGFB1, TGFB3 and VTN. NPNT is probably its functional ligand in kidney genesis. Neuronal receptor for TNC it mediates cell-cell interactions and regulates neurite outgrowth of sensory and motor neurons.
-
基因功能參考文獻:
- ITGA2B and ITGA8 have roles in prognosis in clear cell renal cell carcinoma patients PMID: 26198048
- In 15 of 590 families, we identified recessive mutations in the genes FRAS1, FREM2, GRIP1, FREM1, ITGA8, and GREM1, all of which function in the interaction of the ureteric bud and the metanephric mesenchyme. PMID: 24700879
- Mutations of ITGA8 are a genetic cause of bilateral renal agenesis and that, at least in some cases, bilateral renal agenesis is an autosomal-recessive disease. PMID: 24439109
- the ITGA8 gene might have gender-specific roles in the development of schizophrenia. PMID: 23153507
- Analysis of the data demonstrated that Itga8 expression is CArG box-serum response factor independent, but myocardin dependent through an as yet unknown sequence module that is distal from the promoter region. PMID: 23142384
- The mRNA levels of Integrinalpha8 were significantly lower in LSCC tissues than that in corresponding adjacent normal tissues. PMID: 20942236
- alpha8beta1 is a prerequisite for the proper conduct of anoikis in normal human intestinal epithelial crypt cells, whereas its loss contributes to the illicit acquisition of anoikis resistance. PMID: 20678483
- expressed in developing kidney PMID: 12060755
- Role in regulation of mesangial cell phenotype. Seems to promote adhesion, but inhibit migration and proliferation of mesangial cells. Alpha8 integrin could play important role in maintaining tissue integrity in glomerulus during glomerular injury. PMID: 12787402
- genomic analysis of the human integrin subunit alpha8 gene PMID: 15579315
- Mammary carcinoma cells do express alpha8 integrin. PMID: 15592496
- A polymorphism of the ITGA8 promoter modifies the progression of renal failure in ADPKD. PMID: 18277079
- These results indicate that the specific high-affinity binding of nephronectin to alpha8beta1 integrin is achieved by bipartite interaction of the integrin with the RGD motif and LFEIFEIER sequence. PMID: 19342381
- In intestinal crypt cells, integrin alpha8beta1 is closely involved in the regulation of adhesion, migration and cell proliferation via a predominant RhoA/ROCK-dependent mechanism. PMID: 19527220
顯示更多
收起更多
-
相關疾?。?/div>Renal hypodysplasia/aplasia 1 (RHDA1)亞細胞定位:Membrane; Single-pass type I membrane protein. Cell membrane.蛋白家族:Integrin alpha chain family組織特異性:Expressed in mesenchymal cells, including alveolar myofibroblasts, kidney mesangial cells and hepatic stellar cells and vascular and visceral smooth muscle (at protein level).數據庫鏈接:
Most popular with customers
-
-
YWHAB Recombinant Monoclonal Antibody
Applications: ELISA, WB, IHC, IF, FC
Species Reactivity: Human, Mouse, Rat
-
Phospho-YAP1 (S127) Recombinant Monoclonal Antibody
Applications: ELISA, WB, IHC
Species Reactivity: Human
-
-
-
-
-















