ITGA1 Antibody
-
中文名稱:ITGA1兔多克隆抗體
-
貨號:CSB-PA345531
-
規格:¥1090
-
圖片:
-
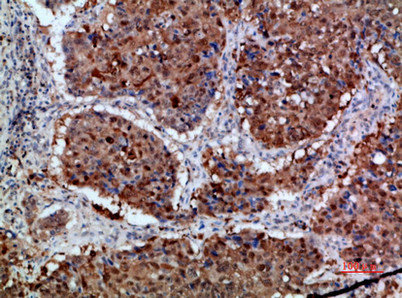
Immunohistochemical analysis of paraffin-embedded human-breast-cancer, antibody was diluted at 1:200
-
Immunohistochemical analysis of paraffin-embedded human-colon-cancer, antibody was diluted at 1:200
-
Immunohistochemical analysis of paraffin-embedded human-colon-cancer, antibody was diluted at 1:200
-
Immunohistochemical analysis of paraffin-embedded human-lung-cancer, antibody was diluted at 1:200
-
Immunohistochemical analysis of paraffin-embedded human-lung-cancer, antibody was diluted at 1:200
-
-
其他:
產品詳情
-
Uniprot No.:
-
基因名:
-
別名:CD 49a antibody; CD49 antigen-like family member A antibody; CD49a antibody; CD49a antigen antibody; Integrin alpha-1 antibody; ITA1_HUMAN antibody; Itga 1 antibody; ITGA1 antibody; Laminin and collagen receptor antibody; Very late activation protein 1 antibody; VLA 1 antibody; VLA-1 antibody; VLA1 antibody
-
宿主:Rabbit
-
反應種屬:Human
-
免疫原:Synthetic peptide from Human protein at AA range: 920-980
-
免疫原種屬:Homo sapiens (Human)
-
標記方式:Non-conjugated
-
純化方式:The antibody was affinity-purified from rabbit serum by affinity-chromatography using specific immunogen.
-
濃度:It differs from different batches. Please contact us to confirm it.
-
保存緩沖液:Liquid in PBS containing 50% glycerol, 0.5% BSA and 0.02% sodium azide.
-
產品提供形式:Liquid
-
應用范圍:IHC,ELISA
-
推薦稀釋比:
Application Recommended Dilution IHC IHC-p:1:50-300 ELISA 1:10000-20000 -
Protocols:
-
儲存條件:Upon receipt, store at -20°C or -80°C. Avoid repeated freeze.
-
貨期:Basically, we can dispatch the products out in 1-3 working days after receiving your orders. Delivery time maybe differs from different purchasing way or location, please kindly consult your local distributors for specific delivery time.
-
用途:For Research Use Only. Not for use in diagnostic or therapeutic procedures.
相關產品
靶點詳情
-
功能:Integrin alpha-1/beta-1 is a receptor for laminin and collagen. It recognizes the proline-hydroxylated sequence G-F-P-G-E-R in collagen. Involved in anchorage-dependent, negative regulation of EGF-stimulated cell growth.
-
基因功能參考文獻:
- It was found that the levels of integrin alpha1 and VE-cadherin mRNA increased during co-culturing of activated endothelium cells with mesenchymal stromal cells. PMID: 29504106
- Results suggest that genetic variants in ITGA1 may be involved in the etiology of attention-deficit/hyperactivity disorder and the single-nucleotide polymorphisms -set based analysis is a promising strategy for the detection of underlying genetic risk factors. PMID: 28809852
- favors adhesive over migratory fibroblast phenotype PMID: 27294728
- Data suggest that the residue volume at phenylalanine (Phe) in alpha1-helix is critical for alpha(L)/beta(2) integrin (CD49a/CD18) activation and binding with soluble/immobilized ICAM1 (intercellular cell adhesion molecule 1). PMID: 29079572
- Studies suggest there are two nonoverlapping NK cell populations that are potentially liver resident in humans: CD49a+ NK cells and Eomes hi. PMID: 28318877
- ANGPTL1 inhibited angiogenesis by interacting with integrin alpha1beta1 receptor to suppress the downstreamJAK2-STAT3 signaling pathway. PMID: 28904065
- A range of affinities from almost no interaction to the relatively high avidity that characterizes alphaIIbbeta3 is seen between various alpha subunits and beta1 transmembrane and cytosolic domains. PMID: 27929375
- Taken together with our previous findings, we have replicated our results from the rodent system in a novel human system. We have revealed a unique sequential cascade involving Atg10, Wnt5a, alpha1 integrin, and matrix metalloproteinase-3 in GS/BMP-4-induced differentiation of hiPS cells into odontoblast-like cells at a relatively early stage. PMID: 27639333
- a comparative study between the wild type integrin alpha1 I and a gain-of-function E317A mutant. NMR HDX results suggest a relationship between regions exhibiting a reduced local stability in the unbound I domain and those that undergo significant conformational changes upon binding. PMID: 27342747
- MYC is a key regulating factor for the control of ITGA1 expression in colorectal cancer. PMID: 26096932
- Data indicate that CD49a(+) NK cells retain their phenotype after expansion in long-term in vitro cultures. PMID: 25672754
- Integrin alpha1 and beta4 are downregulated, following Dendrofalconerol A treatment, in H460 cells. PMID: 25550552
- miR-101:DNMT-3B interaction modulates integrin alpha-1 epigenetically. PMID: 24018042
- 17-beta-estradiol modulates connexins and integrins as well as ER-beta expression induced by high frequency electromagnetic fields. PMID: 23819010
- CD49a promoted Con A-induced hepatitis through enhancing inflammatory cytokine production (IFN-gamma and IL-17A) by CD4(+) T and invariant natural killer T cells. PMID: 24164540
- ITGA1 gene SNPs rs1862610, rs24321 43, and rs2447867 and the ITGA1 haplotype block that includes SNPs rs1862610 and rs2432143 were significantly associated with gastric cancer. PMID: 24124332
- small angle x-ray scattering data suggest that at low collagen peptide concentrations the complex exists in equilibrium between a 1:1 and 2:1 alpha1I-peptide complex. PMID: 24187131
- CagL is a versatile surface protein equipped with at least two motifs to promote binding to integrins, thereby causing aberrant signaling within host cells and facilitating translocation of CagA into host cells. PMID: 22919661
- Pro-inflammatory cytokine tumor necrosis factor (TNF)-alpha strongly promotes pericyte proliferation and migration, and concomitantly induces a switch in pericyte integrins, from alpha1 to alpha2 integrin. PMID: 23448258
- Discoidin domain receptors promote alpha1beta1- and alpha2beta1-integrin mediated cell adhesion to collagen by enhancing integrin activation. PMID: 23284937
- Collagen receptors alpha(1)beta(1) and alpha(2)beta(1) integrins are involved in transmigration of peripheral blood eosinophils, but not mononuclear cells through human microvascular endothelial cells monolayer PMID: 23070086
- Dynamic structural changes are observed upon collagen and metal ion binding to the integrin alpha1 I domain. PMID: 22847004
- study characterized the collagen binding properties of an activated variant of the alpha1I domain, harboring a gain-of-function mutation E317A; the activated alpha(1)I domain represents a novel conformation of the alphaI domain, mimicking the structural state where the Arg(287)-Glu(317) ion pair has just broken during the integrin activation PMID: 22030389
- we have identified a new locus candidate, ITGA1, influencing both fasting glucose and BMD, that may begin to explain the genetic contribution to the epidemiological observations linking type 2 diabetes and osteoporosis PMID: 22698912
- study identified integrin alpha1/beta1 and alpha2/beta1 heterodimer as a new candidate IgA1 receptor in human mesangial cells PMID: 22298882
- There was no evidence for differences in integrin alpha1, alpha4, beta1 and beta3 protein levels between the follicular and mid-luteal staged samples. PMID: 22002573
- the C-linker has a role as a spring-like element that allows relaxation of the alphaI domain in the resting state and controlled tension of the alphaI domain during activation, exerted by the beta chain PMID: 21965670
- alpha(1)beta(1) integrin is of importance not only for the differentiation of mesenchymal cells into myofibroblasts but also for the neovascularization and connective tissue organization PMID: 19397781
- Integrin alpha2beta1 might play a more crucial role in maintaining the mechanical creep properties of the collagen matrix than does integrin alpha1beta1. PMID: 21647271
- Streptococcus pyogenes M49 plasminogen/plasmin binding facilitates keratinocyte invasion via integrin-integrin-linked kinase (ILK) pathways and protects from macrophage killing PMID: 21521694
- Prostate tissue-derived CD133+ cells exhibited a moderate level of expression of alpha1 integrin PMID: 20531279
- Androgens increased INT alpha1 and alpha2 subunits in tubuloepithelial cells and in healthy labial salivary glands. PMID: 20436081
- Results show that plumieribetin, a fish lectin from the scorpionfish (Scorpaena plumieri), inhibits alpha1beta1 integrin binding to basement membrane collagen IV. PMID: 19850917
- results suggest that the inadequate trophoblastic invasion, induced by antiphospholipid antibodies, can be the result of decreased alpha1 integrin and VE-cadherin and increased alpha5 integrin and E-cadherin expression in the trophoblast PMID: 11937138
- role of VLA1 in migration of multiple sclerosis derived antigen-reactive T-cell migration PMID: 12078857
- determination of crystal structure in complex with an antibody Fab fragment PMID: 12662928
- endometrial integrin alpha1 and alpha4 expression is more consistently present in the early luteal phase in stimulated cycles than in natural cycles PMID: 12694973
- VEGF-A induced alpha1 & alpha2 integrins, promoting lymphatic endothelial tube formation & haptotactic migration. Lineage-specific integrin receptor expression contribute to the distinct dynamics of wound-associated angiogenesis & lymphangiogenesis. PMID: 15132990
- alpha(1)beta(1) and Col-IV contribute to beta-cell functions known to be important for islet morphogenesis and glucose homeostasis PMID: 15485856
- Enhanced expression of Integrin alpha1 is associated with liver metastases from gastrointestinal tumours PMID: 15679046
- analysis of binding between collagen type III and integrins alpha1beta1 and alpha2beta1 PMID: 16043429
- No statistical difference was observed on the expression of alpha1 integrin subunit expression in endometrium in tubal phimosis or hydrosalpinx PMID: 16412752
- identified integrin alpha1 as a protein tyrosine phosphatase type IVA-interacting protein for the first time, and verified this physical association with pull-down and co-immunoprecipitation assays PMID: 16472776
- alpha1beta1 integrin is a type IV collagen receptor in pancreatic cancer cells PMID: 17312461
- results define a crucial role for alpha1beta1 in controlling the accumulation of epidermal type 1 polarized effector memory T cells in a common human immunopathology and provide the basis for new strategies in psoriasis treatment PMID: 17603494
- thrombopoietin-induced in vitro differentiation of primary human cord blood mononuclear cells into megakaryocytes, we observed rapid, progressive CpG methylation of ITGA1, but not PELO or ITGA2. PMID: 17669516
- A significant subset of VLA-1-positive effector T cells from rheumatoid arthritis patients persists in vivo and in vitro during monoclonal antibody therapy and contributes to residual and recurring inflammation. PMID: 17891451
- are suggestive of the association of ITGA1 with osteoporosis and related risk in postmenopausal women PMID: 17931993
- Activation of the FAK-src molecular scaffolds and p130Cas-JNK signaling cascades by alpha1-integrins during colon cancer cell invasion. PMID: 17982677
- Group B streptococci ACP binds alpha(1)beta(1)-integrin via the D1 domain that promotes GBS internalization within epithelial cells. PMID: 18048918
顯示更多
收起更多
-
亞細胞定位:Membrane; Single-pass type I membrane protein.
-
蛋白家族:Integrin alpha chain family
-
數據庫鏈接:
Most popular with customers
-
-
YWHAB Recombinant Monoclonal Antibody
Applications: ELISA, WB, IHC, IF, FC
Species Reactivity: Human, Mouse, Rat
-
-
-
-
-
-















