ISPD Antibody
-
中文名稱:ISPD兔多克隆抗體
-
貨號:CSB-PA388827LA01HU
-
規格:¥440
-
圖片:
-
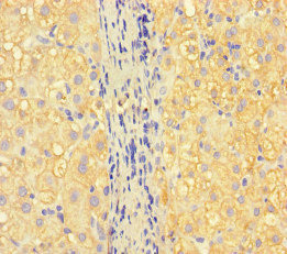
Immunohistochemistry of paraffin-embedded human liver cancer using CSB-PA388827LA01HU at dilution of 1:100
-
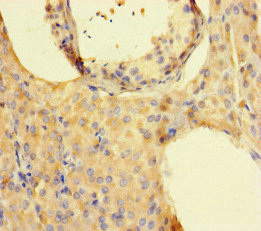
Immunohistochemistry of paraffin-embedded human testis tissue using CSB-PA388827LA01HU at dilution of 1:100
-
Immunofluorescent analysis of HepG2 cells using CSB-PA388827LA01HU at dilution of 1:100 and Alexa Fluor 488-congugated AffiniPure Goat Anti-Rabbit IgG(H+L)
-
-
其他:
產品詳情
-
產品名稱:Rabbit anti-Homo sapiens (Human) ISPD Polyclonal antibody
-
Uniprot No.:
-
基因名:ISPD
-
別名:2-C-methyl-D-erythritol 4-phosphate cytidylyltransferase-like protein antibody; Isoprenoid synthase domain-containing protein antibody; ispD antibody; ISPD_HUMAN antibody
-
宿主:Rabbit
-
反應種屬:Human
-
免疫原:Recombinant Human Isoprenoid synthase domain-containing protein (1-264AA)
-
免疫原種屬:Homo sapiens (Human)
-
標記方式:Non-conjugated
本頁面中的產品,ISPD Antibody (CSB-PA388827LA01HU),的標記方式是Non-conjugated。對于ISPD Antibody,我們還提供其他標記。見下表:
-
克隆類型:Polyclonal
-
抗體亞型:IgG
-
純化方式:>95%, Protein G purified
-
濃度:It differs from different batches. Please contact us to confirm it.
-
保存緩沖液:Preservative: 0.03% Proclin 300
Constituents: 50% Glycerol, 0.01M PBS, PH 7.4 -
產品提供形式:Liquid
-
應用范圍:ELISA, IHC, IF
-
推薦稀釋比:
Application Recommended Dilution IHC 1:20-1:200 IF 1:50-1:200 -
Protocols:
-
儲存條件:Upon receipt, store at -20°C or -80°C. Avoid repeated freeze.
-
貨期:Basically, we can dispatch the products out in 1-3 working days after receiving your orders. Delivery time maybe differs from different purchasing way or location, please kindly consult your local distributors for specific delivery time.
-
用途:For Research Use Only. Not for use in diagnostic or therapeutic procedures.
相關產品
靶點詳情
-
功能:Cytidylyltransferase required for protein O-linked mannosylation. Catalyzes the formation of CDP-ribitol nucleotide sugar from D-ribitol 5-phosphate. CDP-ribitol is a substrate of FKTN during the biosynthesis of the phosphorylated O-mannosyl trisaccharide (N-acetylgalactosamine-beta-3-N-acetylglucosamine-beta-4-(phosphate-6-)mannose), a carbohydrate structure present in alpha-dystroglycan (DAG1), which is required for binding laminin G-like domain-containing extracellular proteins with high affinity. Shows activity toward other pentose phosphate sugars and mediates formation of CDP-ribulose or CDP-ribose using CTP and ribulose-5-phosphate or ribose-5-phosphate, respectively. Not Involved in dolichol production.
-
基因功能參考文獻:
- ISPD and FKTN are essential for the incorporation of ribitol into alpha-dystroglycan. PMID: 27194101
- data suggest that the genetic heterogeneity of Limb Girdle Muscular Dystrophy with and without alpha-DG defects is greater than previously realized. PMID: 26404900
- ISPD gene homozygous deletion as a prenatal manifestation of Walker-Warburg syndrome has been found in 3 female fetuses of one family. PMID: 26087224
- Reduced levels of GYLTL1B and ISPD mRNA associated with increased patient mortality and are the likely cause of alphaDG hypoglycosylation in ccRCC. PMID: 26220087
- study describes a new homozygous missense mutation c.367G>A (p.Gly123Arg) in the ISPD gene in a family of Pakistani origin with 2 cousins from consanguineous parents affected with a congenital muscular dystrophy (CMD) /early limb-girdle muscular dystrophy intermediate phenotype and CMD respectively PMID: 25444434
- study report the involvement of the ISPD gene in milder dystroglycanopathy phenotypes ranging from congenital muscular dystrophy to limb-girdle muscular dystrophy and identified allelic ISPD variants in nine cases belonging to seven families PMID: 23288328
- we identified a novel homozygous c.161G>C/p.G54A variant in ISPD in patients with limb-girdle muscular dystrophy PMID: 23390185
- TMEM5 mutations were frequently associated with gonadal dysgenesis and neural tube defects, and ISPD mutations were frequently associated with brain vascular anomalies. PMID: 23217329
- ISPD loss-of-function mutations disrupt dystroglycan O-mannosylation and cause Walker-Warburg syndrome. PMID: 22522420
- Mutations in ISPD cause Walker-Warburg syndrome and defective glycosylation of alpha-dystroglycan. PMID: 22522421
- Observational study of gene-disease association. (HuGE Navigator) PMID: 19913121
- Observational study of gene-disease association, gene-environment interaction, and pharmacogenomic / toxicogenomic. (HuGE Navigator) PMID: 20628086
- Clinical trial of gene-disease association and gene-environment interaction. (HuGE Navigator) PMID: 20379614
顯示更多
收起更多
-
相關疾病:Muscular dystrophy-dystroglycanopathy congenital with brain and eye anomalies A7 (MDDGA7); Muscular dystrophy-dystroglycanopathy limb-girdle C7 (MDDGC7)
-
亞細胞定位:Cytoplasm, cytosol.
-
蛋白家族:IspD/TarI cytidylyltransferase family, IspD subfamily
-
組織特異性:Ubiquitously expressed, with high expression in brain.
-
數據庫鏈接:
Most popular with customers
-
-
YWHAB Recombinant Monoclonal Antibody
Applications: ELISA, WB, IHC, IF, FC
Species Reactivity: Human, Mouse, Rat
-
Phospho-YAP1 (S127) Recombinant Monoclonal Antibody
Applications: ELISA, WB, IHC
Species Reactivity: Human
-
-
-
-
-















