IRAK2 Antibody
-
中文名稱:IRAK2兔多克隆抗體
-
貨號:CSB-PA011810ESR1HU
-
規格:¥440
-
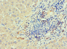
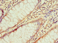
圖片:
-
其他:
產品詳情
-
產品名稱:Rabbit anti-Homo sapiens (Human) IRAK2 Polyclonal antibody
-
Uniprot No.:
-
基因名:
-
別名:il1rak2 antibody; Interleukin 1 receptor associated kinase 2 antibody; Interleukin 1 receptor associated kinase like 2 antibody; Interleukin-1 receptor-associated kinase-like 2 antibody; IRAK 2 antibody; IRAK-2 antibody; Irak2 antibody; IRAK2_HUMAN antibody; MGC150550 antibody
-
宿主:Rabbit
-
反應種屬:Human
-
免疫原:Recombinant Human Interleukin-1 receptor-associated kinase-like 2 protein (1-270AA)
-
免疫原種屬:Homo sapiens (Human)
-
標記方式:Non-conjugated
-
克隆類型:Polyclonal
-
抗體亞型:IgG
-
純化方式:Antigen Affinity Purified
-
濃度:It differs from different batches. Please contact us to confirm it.
-
保存緩沖液:PBS with 0.02% sodium azide, 50% glycerol, pH7.3.
-
產品提供形式:Liquid
-
應用范圍:ELISA, IHC
-
推薦稀釋比:
Application Recommended Dilution IHC 1:20-1:200 -
Protocols:
-
儲存條件:Upon receipt, store at -20°C or -80°C. Avoid repeated freeze.
-
貨期:Basically, we can dispatch the products out in 1-3 working days after receiving your orders. Delivery time maybe differs from different purchasing way or location, please kindly consult your local distributors for specific delivery time.
-
用途:For Research Use Only. Not for use in diagnostic or therapeutic procedures.
相關產品
靶點詳情
-
功能:Binds to the IL-1 type I receptor following IL-1 engagement, triggering intracellular signaling cascades leading to transcriptional up-regulation and mRNA stabilization.
-
基因功能參考文獻:
- This study for the first time ever reports the association of IRAK2 rs3844283, IRAK2 rs708035, and the corresponding haplotypes with rheumatoid arthritis. PMID: 29129009
- IRAK2 L392V showed intact binding to, but impaired ubiquitination of, tumor necrosis factor receptor-associated factor 6, a vital step in signal transduction PMID: 26250868
- This for the first time implicates human IRAK2 in a human disease and highlights the R214G IRAK2 variant as a potential novel and broadly applicable biomarker for disease or as a therapeutic intervention point. PMID: 24973222
- Human miR-373 is silenced by histone modification in lung cancer cells and is a negative regulator of the mesenchymal phenotype through downstream IRAK2 and LAMP1 target genes. PMID: 25063738
- Results suggest that D431E-IRAK2 (interleukin-1 receptor-associated kinase-2) increases NF-kappaB activation by promoting TRAF6 ubiquitination by enhancing TNF Receptor-Associated Factor 6 (TRAF6)-IRAK2 interaction. PMID: 24662294
- These findings demonstrate an unexpected linkage of the innate immunity machinery to unfolded protein response signaling, revealing IRAK2 as a novel amplifier of the IRE1 pathway. PMID: 23724040
- Human interleukin-1 receptor-associated kinase-2 is essential for Toll-like receptor-mediated transcriptional and post-transcriptional regulation of tumor necrosis factor alpha. PMID: 21606490
- Our data show that interleukin-1R-associated kinase 2 is a novel and critical component of TGFbeta signaling. PMID: 20332216
- the crystal structure of the MyD88-IRAK4-IRAK2 death domain (DD) complex, which surprisingly reveals a left-handed helical oligomer that consists of 6 MyD88, 4 IRAK4 and 4 IRAK2 DDs PMID: 20485341
- CTCF plays a major role in IRAK2 transcription; EMSA revealed a CTCF-binding site within the mouse Irak2 promoter PMID: 15670593
- TRAF6 and interleukin receptor-associated kinase 2 are novel binding partners for PS1, and IL-1R1 is a new substrate for presenilin-dependent gamma-secretase cleavage PMID: 18996842
顯示更多
收起更多
-
蛋白家族:Protein kinase superfamily, TKL Ser/Thr protein kinase family, Pelle subfamily
-
組織特異性:Expressed in spleen, thymus, prostate, lung, liver, skeletal muscle, kidney, pancreas and peripheral blood leukocytes.
-
數據庫鏈接:
Most popular with customers
-
-
YWHAB Recombinant Monoclonal Antibody
Applications: ELISA, WB, IHC, IF, FC
Species Reactivity: Human, Mouse, Rat
-
Phospho-YAP1 (S127) Recombinant Monoclonal Antibody
Applications: ELISA, WB, IHC
Species Reactivity: Human
-
-
-
-
-















