IQGAP2 Antibody
-
中文名稱:IQGAP2兔多克隆抗體
-
貨號:CSB-PA967511
-
規格:¥1100
-
圖片:
-
The image on the left is immunohistochemistry of paraffin-embedded Human liver cancer tissue using CSB-PA967511(IQGAP2 Antibody) at dilution 1/45, on the right is treated with synthetic peptide. (Original magnification: ×200)
-
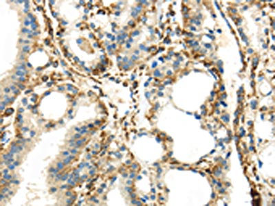
The image on the left is immunohistochemistry of paraffin-embedded Human thyroid cancer tissue using CSB-PA967511(IQGAP2 Antibody) at dilution 1/45, on the right is treated with synthetic peptide. (Original magnification: ×200)
-
Gel: 6%SDS-PAGE,Lysate: 40 μg,,Primary antibody: CSB-PA967511(IQGAP2 Antibody) at dilution 1/350 dilution,Secondary antibody: Goat anti rabbit IgG at 1/8000 dilution,Exposure time: 20 seconds
-
-
其他:
產品詳情
-
Uniprot No.:
-
基因名:
-
別名:IQ motif containing GTPase activating protein 2 antibody; IQGA2_HUMAN antibody; Iqgap2 antibody; Ras GTPase activating-like protein antibody; Ras GTPase-activating-like protein IQGAP2 antibody
-
宿主:Rabbit
-
反應種屬:Human,Mouse
-
免疫原:Synthetic peptide of Human IQGAP2
-
免疫原種屬:Homo sapiens (Human)
-
標記方式:Non-conjugated
-
抗體亞型:IgG
-
純化方式:Antigen affinity purification
-
濃度:It differs from different batches. Please contact us to confirm it.
-
保存緩沖液:-20°C, pH7.4 PBS, 0.05% NaN3, 40% Glycerol
-
產品提供形式:Liquid
-
應用范圍:ELISA,WB,IHC
-
推薦稀釋比:
Application Recommended Dilution ELISA 1:1000-1:2000 WB 1:200-1:1000 IHC 1:30-1:150 -
Protocols:
-
儲存條件:Upon receipt, store at -20°C or -80°C. Avoid repeated freeze.
-
貨期:Basically, we can dispatch the products out in 1-3 working days after receiving your orders. Delivery time maybe differs from different purchasing way or location, please kindly consult your local distributors for specific delivery time.
-
用途:For Research Use Only. Not for use in diagnostic or therapeutic procedures.
相關產品
靶點詳情
-
功能:Binds to activated CDC42 and RAC1 but does not seem to stimulate their GTPase activity. Associates with calmodulin.
-
基因功能參考文獻:
- IQGAP2 expression correlated positively with survivability, on the contrary, IQGAP3 expression levels correlated inversely with survivability PMID: 29073199
- The structural basis for Cdc42-induced dimerization of IQGAP1 and IQGAP2 has been uncovered. PMID: 27524202
- The most frequently identified and connected to preterm birth genes in the exome library were IGF1, ATM and IQGAP2. PMID: 27163930
- IQGAP2 TagSNP rs457717 (A/G) was not associated with Age-Related Hearing impairment in Han male Chinese population. PMID: 26187738
- Thus, these data identified IQGAP2 as a novel tumor suppressor for ovarian cancer to inhibit cell invasion through regulating Wnt/b-catenin signaling, and provided a new biomarker and potential therapeutic strategy for this disease. PMID: 26549344
- we identified IQGAP2 as a human and zebrafish podocyte gene product that is downregulated in microarray data sets from kidney biopsies of human patients with focal segmental glomerulosclerosis and minimal change nephrotic syndrome. PMID: 26154927
- Data show that IQ motif-containing GTPase-activating protein 2 (IQGAP2) expression is altered in colitis. PMID: 26047140
- IQGAP1, IQGAP2, and IQGAP3 have diverse roles in vertebrate physiology, operating in the kidney, nervous system, cardiovascular system, pancreas, and lung. (Review) PMID: 25722290
- Mammalian IQGAP proteins may play a role in cytokinesis by regulating the localization of key cytokinesis regulatory proteins to the contractile apparatus during mitosis. PMID: 25229330
- Low IQGAP2 expression was associated with hepatocellular carcinoma. PMID: 24998570
- The first IQ-motifs from IQGAP2 and IQGAP3 form transient interactions with calmodulin in the absence of calcium. PMID: 21299499
- observations strongly indicate that IQGAP2 is a surveillance type of tumour suppressor for prostate cancer PMID: 22406297
- increased IQGAP1 and/or decreased IQGAP2 contribute to the pathogenesis of human HCC. PMID: 20977743
- The top-ranked SNP, rs457717 for association with age-related hearing impairment(P-value 3.55 x 10(-7)), was localised in an intron of the IQ motif-containing GTPase-activating-like protein (IQGAP2). PMID: 20068591
- The gene for the putative rac1/cdc42 effector protein IQGAP2 was found in the PAR gene cluster at 5q13, flanked by PAR1 & encompassing PAR3. It functions as a GTP-dependent effector protein in thrombin-induced platelet cytoskeletal reorganization. PMID: 12515716
- silencing of IQGAP2 by promoter methylation may contribute to gastric cancer development. PMID: 17957782
顯示更多
收起更多
-
組織特異性:Isoform 2 expression is enhanced in testis.
-
數據庫鏈接:
Most popular with customers
-
-
Phospho-YAP1 (S127) Recombinant Monoclonal Antibody
Applications: ELISA, WB, IHC
Species Reactivity: Human
-
-
-
-
-
-















