INSRR Antibody
-
中文名稱:INSRR兔多克隆抗體
-
貨號:CSB-PA011755LA01HU
-
規格:¥440
-
圖片:
-
Western Blot
Positive WB detected in: SH-SY5Y whole cell lysate, U87 whole cell lysate, K562 whole cell lysate, MCF-7 whole cell lysatee, HepG2 whole cell lysate
All lanes: INSRR antibody at 1:2000
Secondary
Goat polyclonal to rabbit IgG at 1/50000 dilution
Predicted band size: 144 kDa
Observed band size: 144 kDa -
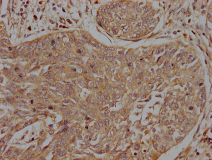
IHC image of CSB-PA011755LA01HU diluted at 1:200 and staining in paraffin-embedded human cervical cancer performed on a Leica BondTM system. After dewaxing and hydration, antigen retrieval was mediated by high pressure in a citrate buffer (pH 6.0). Section was blocked with 10% normal goat serum 30min at RT. Then primary antibody (1% BSA) was incubated at 4°C overnight. The primary is detected by a biotinylated secondary antibody and visualized using an HRP conjugated SP system.
-
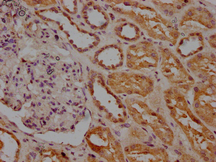
IHC image of CSB-PA011755LA01HU diluted at 1:200 and staining in paraffin-embedded human kidney tissue performed on a Leica BondTM system. After dewaxing and hydration, antigen retrieval was mediated by high pressure in a citrate buffer (pH 6.0). Section was blocked with 10% normal goat serum 30min at RT. Then primary antibody (1% BSA) was incubated at 4°C overnight. The primary is detected by a biotinylated secondary antibody and visualized using an HRP conjugated SP system.
-
-
其他:
產品詳情
-
產品名稱:Rabbit anti-Homo sapiens (Human) INSRR Polyclonal antibody
-
Uniprot No.:
-
基因名:
-
別名:INSRR antibody; INSRR_HUMAN antibody; Insulin Receptor R antibody; Insulin receptor related receptor precursor antibody; Insulin receptor-related protein alpha chain antibody; Insulin receptor-related protein beta chain antibody; insulin receptor-related receptor antibody; IR R antibody; IR related receptor antibody; IR-related receptor antibody; IRR antibody; Sir r antibody; Sirr antibody
-
宿主:Rabbit
-
反應種屬:Human
-
免疫原:Recombinant Human Insulin receptor-related protein (747-921AA)
-
免疫原種屬:Homo sapiens (Human)
-
標記方式:Non-conjugated
本頁面中的產品,INSRR Antibody (CSB-PA011755LA01HU),的標記方式是Non-conjugated。對于INSRR Antibody,我們還提供其他標記。見下表:
-
克隆類型:Polyclonal
-
抗體亞型:IgG
-
純化方式:>95%, Antigen Affinity purified & Affinity purified
-
濃度:It differs from different batches. Please contact us to confirm it.
-
保存緩沖液:Preservative: 0.03% Proclin 300
Constituents: 50% Glycerol, 0.01M PBS, pH 7.4 -
產品提供形式:Liquid
-
應用范圍:ELISA, WB, IHC
-
推薦稀釋比:
Application Recommended Dilution WB 1:1000-1:5000 IHC 1:200-1:500 -
Protocols:
-
儲存條件:Upon receipt, store at -20°C or -80°C. Avoid repeated freeze.
-
貨期:Basically, we can dispatch the products out in 1-3 working days after receiving your orders. Delivery time maybe differs from different purchasing way or location, please kindly consult your local distributors for specific delivery time.
-
用途:For Research Use Only. Not for use in diagnostic or therapeutic procedures.
相關產品
靶點詳情
-
功能:Receptor with tyrosine-protein kinase activity. Functions as a pH sensing receptor which is activated by increased extracellular pH. Activates an intracellular signaling pathway that involves IRS1 and AKT1/PKB.
-
基因功能參考文獻:
- the extensive glycosylation of FnIII-2/3 provides steric hindrance for the alkali-induced rearrangement of the IRR ectodomain. PMID: 29156593
- IRR activation involves two separate centers of pH-dependent rearrangements that act synergistically to induce a major conformational change in the IRR molecule, resulting in internal kinase domains rapprochement and autophosphorylation. PMID: 25597417
- IRR activation is not based on a single residue deprotonation in the IRR ectodomain but rather involves synergistic conformational changes at multiple points. PMID: 24121506
- Insulin receptor-related receptor as an extracellular pH sensor involved in the regulation of acid-base balance. (Review) PMID: 23220417
- Analysis of structural determinants of alkali sensor IRR positive cooperativity. PMID: 23824460
- IRR mRNA expression was found in 25 (51%) neuroblastomas and correlated with stages 1, 2, 3, and 4S disease and with age. PMID: 14654552
- Phosphotyrosine detection revealed a lack in the constitutive activation of the IRR described for analogous constructs of the two other members of the family PMID: 15629149
- The IRR gene is expressed in the same ovarian compartment, IRR mRNA content increases strikingly in these cells in the afternoon of the first proestrus. PMID: 16195402
顯示更多
收起更多
-
亞細胞定位:Membrane; Single-pass type I membrane protein.
-
蛋白家族:Protein kinase superfamily, Tyr protein kinase family, Insulin receptor subfamily
-
數據庫鏈接:
Most popular with customers
-
-
YWHAB Recombinant Monoclonal Antibody
Applications: ELISA, WB, IHC, IF, FC
Species Reactivity: Human, Mouse, Rat
-
-
-
-
-
-















