INPPL1 Antibody
-
中文名稱:INPPL1兔多克隆抗體
-
貨號:CSB-PA549134
-
規格:¥1100
-
圖片:
-
The image on the left is immunohistochemistry of paraffin-embedded Human thyroid cancer tissue using CSB-PA549134(INPPL1 Antibody) at dilution 1/40, on the right is treated with synthetic peptide. (Original magnification: ×200)
-
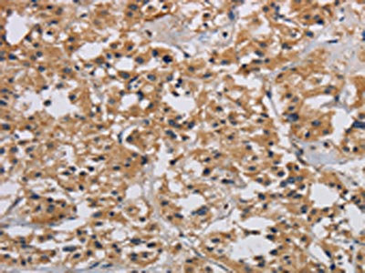
The image on the left is immunohistochemistry of paraffin-embedded Human liver cancer tissue using CSB-PA549134(INPPL1 Antibody) at dilution 1/40, on the right is treated with synthetic peptide. (Original magnification: ×200)
-
-
其他:
產品詳情
-
Uniprot No.:
-
基因名:
-
別名:4 antibody; 5-trisphosphate 5-phosphatase 2 antibody; 51C protein antibody; EC 3.1.3.n1 antibody; inositol polyphosphate phosphatase like 1 antibody; Inositol polyphosphate phosphatase like protein 1 antibody; Inositol polyphosphate phosphatase-like protein 1 antibody; INPPL-1 antibody; INPPL1 antibody; OPSMD antibody; Phosphatidylinositol 3 antibody; Phosphatidylinositol 3,4,5 trisphosphate 5 phosphatase 2 antibody; Phosphatidylinositol-3 antibody; Protein 51C antibody; SH2 domain containing inositol 5' phosphatase 2 antibody; SH2 domain-containing inositol 5''-phosphatase 2 antibody; SH2 domain-containing inositol phosphatase 2 antibody; SHIP-2 antibody; SHIP2 antibody; SHIP2_HUMAN antibody
-
宿主:Rabbit
-
反應種屬:Human,Mouse,Rat
-
免疫原:Synthetic peptide of Human INPPL1
-
免疫原種屬:Homo sapiens (Human)
-
標記方式:Non-conjugated
-
抗體亞型:IgG
-
純化方式:Antigen affinity purification
-
濃度:It differs from different batches. Please contact us to confirm it.
-
保存緩沖液:-20°C, pH7.4 PBS, 0.05% NaN3, 40% Glycerol
-
產品提供形式:Liquid
-
應用范圍:ELISA,IHC
-
推薦稀釋比:
Application Recommended Dilution ELISA 1:2000-1:10000 IHC 1:50-1:200 -
Protocols:
-
儲存條件:Upon receipt, store at -20°C or -80°C. Avoid repeated freeze.
-
貨期:Basically, we can dispatch the products out in 1-3 working days after receiving your orders. Delivery time maybe differs from different purchasing way or location, please kindly consult your local distributors for specific delivery time.
-
用途:For Research Use Only. Not for use in diagnostic or therapeutic procedures.
相關產品
靶點詳情
-
功能:Phosphatidylinositol (PtdIns) phosphatase that specifically hydrolyzes the 5-phosphate of phosphatidylinositol-3,4,5-trisphosphate (PtdIns(3,4,5)P3) to produce PtdIns(3,4)P2, thereby negatively regulating the PI3K (phosphoinositide 3-kinase) pathways. Plays a central role in regulation of PI3K-dependent insulin signaling, although the precise molecular mechanisms and signaling pathways remain unclear. While overexpression reduces both insulin-stimulated MAP kinase and Akt activation, its absence does not affect insulin signaling or GLUT4 trafficking. Confers resistance to dietary obesity. May act by regulating AKT2, but not AKT1, phosphorylation at the plasma membrane. Part of a signaling pathway that regulates actin cytoskeleton remodeling. Required for the maintenance and dynamic remodeling of actin structures as well as in endocytosis, having a major impact on ligand-induced EGFR internalization and degradation. Participates in regulation of cortical and submembraneous actin by hydrolyzing PtdIns(3,4,5)P3 thereby regulating membrane ruffling. Regulates cell adhesion and cell spreading. Required for HGF-mediated lamellipodium formation, cell scattering and spreading. Acts as a negative regulator of EPHA2 receptor endocytosis by inhibiting via PI3K-dependent Rac1 activation. Acts as a regulator of neuritogenesis by regulating PtdIns(3,4,5)P3 level and is required to form an initial protrusive pattern, and later, maintain proper neurite outgrowth. Acts as a negative regulator of the FC-gamma-RIIA receptor (FCGR2A). Mediates signaling from the FC-gamma-RIIB receptor (FCGR2B), playing a central role in terminating signal transduction from activating immune/hematopoietic cell receptor systems. Involved in EGF signaling pathway. Upon stimulation by EGF, it is recruited by EGFR and dephosphorylates PtdIns(3,4,5)P3. Plays a negative role in regulating the PI3K-PKB pathway, possibly by inhibiting PKB activity. Down-regulates Fc-gamma-R-mediated phagocytosis in macrophages independently of INPP5D/SHIP1. In macrophages, down-regulates NF-kappa-B-dependent gene transcription by regulating macrophage colony-stimulating factor (M-CSF)-induced signaling. May also hydrolyze PtdIns(1,3,4,5)P4, and could thus affect the levels of the higher inositol polyphosphates like InsP6. Involved in endochondral ossification.
-
基因功能參考文獻:
- Results find SHIP2 expression negatively regulated by ZIC2. Its expression is downregulated in osteosarcoma cells and tissues. PMID: 28857346
- The authors report two novel mutations in the INPPL1 gene and show that cell migration is very much decreased in fibroblasts derived from three opsismodysplasia (OPS) patients as compared with control individuals. In contrast, cell adhesion on fibronectin is increased in OPS fibroblasts. PMID: 28869677
- Aiming to uncover interdomain regulatory mechanisms in SHIP2, the authors determined crystal structures containing the 5-phosphatase and a proximal region adopting a C2 fold. This reveals an extensive interface between the two domains, which results in significant structural changes in the phosphatase domain. PMID: 28792888
- the expression and intrinsic phosphatase activity of the lipid phosphatase SHIP2 is increased in human colorectal cancer, and that increased expression within a large cohort of CRC patient is correlated to a worse patient survival. SHIP2 functions as an oncogene, by enhancing cell migration and invasion, and reducing cell adhesion in colorectal cancer cells. PMID: 27716613
- HIP2 regulates mitotic spindle alignment. SHIP2 is expressed in G1 phase, whereas Aurora A kinase is enriched in mitosis. SHIP2 binds Aurora A kinase and the scaffolding protein HEF1 and promotes their basolateral localization at the expense of their luminal expression connected with cilia resorption. PMID: 27926875
- article focuses on the mutations associated with opsismodysplasia and explores the role of INPPL1/ SHIP2 in skeletal development (Review) PMID: 27708270
- SHIP2 recruits Mena to invadopodia and disruption of SHIP2-Mena interaction in cancer cells leads to attenuated capacity for ECM degradation and invasion in vitro, as well as reduced metastasis in vivo. PMID: 27597754
- In glioblastoma 1321 N1 cells, we recently identified Myo1c as a new interactor of SHIP2. SHIP2 localization at lamellipodia and ruffles is impaired in Myo1c depleted cells. In the absence of Myo1c, N1 cells tend to associate to form clusters. PMID: 27246739
- decreased expression of transcription factor Sp1 contributes to suppression of SHIP2 in gastric cancer cells. PMID: 28117748
- In order to shed light on the role of the C2 related (C2R) domain, immediately C-terminal to the SHIP2 phosphatase domain, molecular cloning, expression, purification and crystallization of the human SHIP2 fragment containing the phosphatase (Ptase) and C2R domains were performed an X-ray crystallographic data analysis was conducted. PMID: 27170292
- Regulation of phosphatidylinositol 4,5-bisphosphate by SHIP2 controls glioblastoma cell migration through the organization of focal adhesions. PMID: 26826186
- the dissociation process of the EphA2-SHIP2 SAM-SAM domain heterodimer complex the dissociation process of the EphA2-SHIP2 SAM-SAM domain heterodimer complex PMID: 26910424
- Suppression of SHIP2 contributes to tumorigenesis and proliferation of gastric cancer cells via activation of Akt. PMID: 26201869
- these findings suggest that SHIP2 is an important regulator of hepatic lipogenesis and lipoprotein secretion in insulin resistance state. PMID: 26456051
- investigated the molecular link between SHIP2 expression and metabolic dyslipidemia using overexpression or suppression of SHIP2 gene in HepG2 cells PMID: 26188518
- Findings indicate that SHIP2 is a regulator of lymphatic function in humans and that inherited mutations in the INPPL1 gene may act in concert with HGF, and likely MAP3K7, mutations to exacerbate lymphatic phenotypes. PMID: 25383712
- SHIP2 inhibition was accompanied by an increased Akt and FOXO-1 phosphorylation, whereas overexpression of the wild-type SHIP2 gene had the opposite effects PMID: 26123392
- In conclusion, SHIP2 plays a key role in breast cancer stem cells of ER-negative breast cancers PMID: 24802135
- Kaplan-Meier method and Cox multifactor analysis suggested that high SHIP2 protein level and positive distant metastasis were critically associated with the unfavorable survival of coloretal cancer patients. PMID: 25525286
- results indicated genotype and allele frequency of SHIP2(+1893CC/AA) locus in Type 2 diabetes mellitus (T2DM) Han Chinese patients was significantly different from healthy controls; G allele (+2945A/G) seemed to increase susceptibility to hypertension for T2DM patients PMID: 25635986
- The crystal structures of human SHIP2 in complex with phosphoinositide substrate analogs revealed a membrane interaction patch likely to assist in sequestering substrates from the lipid bilayer. PMID: 24704254
- Association with SHIP2 and aging might depend on its effect on the insulin/IGF-1 pathway. PMID: 24313349
- SHIP2 localization in intact cells is dependent on phosphorylation mechanisms on both Ser/Thr and Tyr residues. PMID: 24561238
- Together, our result was shown that miR-184 might play a part in proliferation of HCC cells by INPPL1 loss and act as antiapoptotic factor in the development of HCC by inhibiting the activities of caspases 3/7. PMID: 24183204
- SHIP2 play roles in normal development and at in cell proliferation in some cancer derived cells. [review] PMID: 24091101
- SHIP2 expression is correlated with significant characteristics of hepatocellular carcinoma, and it may be useful as an unfavorable prognostic factor in HCC. PMID: 24228114
- The results of this research suggested that SHIP2 expression was correlated with malignant phenotypes of non-small cell lung cancer and may thus serve as a poor prognostic factor and valuable oncogene for NSCLC. PMID: 24133597
- INPPL1 is the disease gene for opsismodysplasia; opsismodysplasia has genetic heterogeneity. PMID: 23552673
- mutations in inositol polyphosphate phosphatase-like 1 (INPPL1) cause opsismodysplasia with or without renal phosphate wasting. PMID: 23273567
- INPPL1 mutations in OPS, a severe spondylodysplastic dysplasia with major growth plate disorganization, supports a key and specific role of this enzyme in endochondral ossification. PMID: 23273569
- RhoA associates with SHIP2 to regulate cell polarization and migration. PMID: 22593208
- Nephrin ligation resulted in abnormal morphology of actin tails in human podocytes when Ship2, Filamin or Lamellipodin were individually knocked down. PMID: 22194892
- SHIP2 suppresses ligand-induced activation of EphA2 and promotes receptor coordinated chemotactic cell migration. PMID: 22244754
- Caveolin-1 knockdown by small interfering RNA reduces H2O2-induced SHP-2 phosphorylation in rat primary astrocytes and in CRT-MG human astroglioma cells. PMID: 21918362
- results support the hypothesis that SHIP2 may play a critical role in the initiation and progression of LSCC and may serve as both a prognostic marker and a potential therapeutic target in patients with LSCC PMID: 22079859
- The function of SHIP2 is different at the plasma membrane where it recognizes PtdIns(3,4,5)P3, and in the nucleus where it may interact with PtdIns(4,5)P2, particularly in speckles. PMID: 21770892
- The upregulation of SHIP2 in Zucker rat glomeruli prior to the age of onset of proteinuria suggests a possible role for SHIP2 in the development of podocyte injury. PMID: 20654688
- Treatment of HEKs and HCEKs with antago-205 increased SHIP2 levels and impaired the ability of these cells to seal linear scratch wounds compared with untreated or irrelevant-antago treatments PMID: 20530248
- Data show that SHIP2 localizes to the nucleus and periphery, and has been shown to translocate to the cell membrane following EGF treatment. PMID: 19895833
- LL5beta directs the translocation of filamin A and SHIP2 to sites of phosphatidylinositol 3,4,5-triphosphate (PtdIns(3,4,5)P3) accumulation, and PtdIns(3,4,5)P3 localization is mutually modified by co-recruited SHIP2. PMID: 20236936
- A recent study now shows that two additional tyrosines within Tir recruit the inositol phosphatase SHIP2 to generate a PI(3,4)P2-enriched membrane platform that stabilizes pedestal assembly. PMID: 20114020
- The authors demonstrate that Y483 and Y511 within tandem ITIM-like sequences of Escherichia coli Tir are essential for recruiting human SHIP2, a host inositol phosphatase. PMID: 20114025
- data highlight a novel biological role of the PP2A(T130) holoenzyme in EGF signaling through interaction with EGFR and the phosphatidylinositol (3,4,5)-trisphosphate 5-phosphatase SHIP2. PMID: 19825976
- candidate gene for type 2 diabetes PMID: 12086927
- overexpression strongly reduces the proliferation rate of K562 erythroleukemia cell line PMID: 12147234
- SHIP phosphorylation by the immunoreceptor tyrosine-based activation motif (ITAM)-associated Fc gamma RIIa requires Shc phosphorylation, leads to activation of Src kinases, and down-regulates NF-kappa B-induced gene transcription during phagocytosis. PMID: 12370370
- regulation of FcgammaR-mediated activation of human myeloid cells by the expression and function of the inositol phosphatase SHIP-2 PMID: 12690104
- INPPL1 variants may impact susceptibility to disease and/or to subphenotypes involved in the metabolic syndrome in some diabetic patients. PMID: 15220217
- Schizosaccharomyces pombe synaptojanin (SPsynaptojanin) and human SH2 domain-containing inositol-5-phosphatase SHIP2 comparison: substrate specificity and mechanism study PMID: 15316017
- A novel regulatory role is suggested for SHIP2 in macrophage colony-stimulating factor (M-CSF)-stimulated myeloid cells. PMID: 15557176
顯示更多
收起更多
-
相關疾病:Diabetes mellitus, non-insulin-dependent (NIDDM); Opsismodysplasia (OPSMD)
-
亞細胞定位:Cytoplasm, cytosol. Cytoplasm, cytoskeleton. Membrane; Peripheral membrane protein. Cell projection, filopodium. Cell projection, lamellipodium. Nucleus. Nucleus speckle. Note=Translocates to membrane ruffles when activated, translocation is probably due to different mechanisms depending on the stimulus and cell type. Partly translocated via its SH2 domain which mediates interaction with tyrosine phosphorylated receptors such as the FC-gamma-RIIB receptor (FCGR2B). Tyrosine phosphorylation may also participate in membrane localization. Insulin specifically stimulates its redistribution from the cytosol to the plasma membrane. Recruited to the membrane following M-CSF stimulation. In activated spreading platelets, localizes with actin at filopodia, lamellipodia and the central actin ring.
-
蛋白家族:Inositol 1,4,5-trisphosphate 5-phosphatase family
-
組織特異性:Widely expressed, most prominently in skeletal muscle, heart and brain. Present in platelets. Expressed in transformed myeloid cells and in primary macrophages, but not in peripheral blood monocytes.
-
數據庫鏈接:
Most popular with customers
-
YWHAB Recombinant Monoclonal Antibody
Applications: ELISA, WB, IHC, IF, FC
Species Reactivity: Human, Mouse, Rat
-
Phospho-YAP1 (S127) Recombinant Monoclonal Antibody
Applications: ELISA, WB, IHC
Species Reactivity: Human
-
-
-
-
-
-















