INPP5J Antibody
-
中文名稱:INPP5J兔多克隆抗體
-
貨號:CSB-PA620891ESR1HU
-
規格:¥440
-
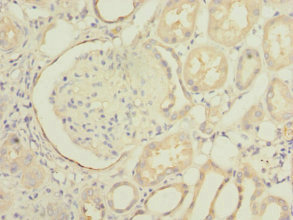
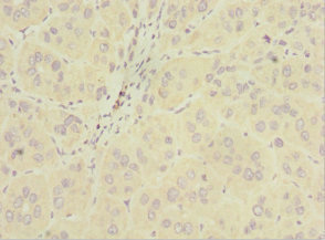
圖片:
-
其他:
產品詳情
-
產品名稱:Rabbit anti-Homo sapiens (Human) INPP5J Polyclonal antibody
-
Uniprot No.:
-
基因名:
-
別名:INPP5J antibody; PIB5PA antibody; PIPP antibody; Phosphatidylinositol 4,5-bisphosphate 5-phosphatase A antibody; EC 3.1.3.56 antibody; Inositol polyphosphate 5-phosphatase J antibody
-
宿主:Rabbit
-
反應種屬:Human
-
免疫原:Recombinant Human Phosphatidylinositol 4,5-bisphosphate 5-phosphatase A protein (60-360AA)
-
免疫原種屬:Homo sapiens (Human)
-
標記方式:Non-conjugated
-
克隆類型:Polyclonal
-
抗體亞型:IgG
-
純化方式:Antigen Affinity Purified
-
濃度:It differs from different batches. Please contact us to confirm it.
-
保存緩沖液:PBS with 0.02% sodium azide, 50% glycerol, pH7.3.
-
產品提供形式:Liquid
-
應用范圍:ELISA, IHC
-
推薦稀釋比:
Application Recommended Dilution IHC 1:20-1:200 -
Protocols:
-
儲存條件:Upon receipt, store at -20°C or -80°C. Avoid repeated freeze.
-
貨期:Basically, we can dispatch the products out in 1-3 working days after receiving your orders. Delivery time maybe differs from different purchasing way or location, please kindly consult your local distributors for specific delivery time.
-
用途:For Research Use Only. Not for use in diagnostic or therapeutic procedures.
相關產品
靶點詳情
-
功能:Inositol 5-phosphatase, which converts inositol 1,4,5-trisphosphate to inositol 1,4-bisphosphate. Also converts phosphatidylinositol 4,5-bisphosphate to phosphatidylinositol 4-phosphate and inositol 1,3,4,5-tetrakisphosphate to inositol 1,3,4-trisphosphate in vitro. May be involved in modulation of the function of inositol and phosphatidylinositol polyphosphate-binding proteins that are present at membranes ruffles.
-
基因功能參考文獻:
- Suggest miR-661 functions as a tumor promoter by targeting the INPP5J gene, and then promoting cell proliferation of ovarian cancer cells. PMID: 26282217
- Findings indicate inositol polyphosphate 5-phosphatase PIPP (INPP5J) as a suppressor of oncogenic phosphoinositide 3-kinase (PI3K)/AKT signaling in breast cancer. PMID: 26267533
- miR-508 has a role in sustaining phosphoinositide signalling and promotes aggressive phenotype of oesophageal squamous cell carcinoma by suppressing INPP5J PMID: 25099196
- these results establish the tumour suppressive role of phosphatidylinositol 4,5-bisphosphate 5-phosphatase and reveal mechanisms involved in its downregulation in melanoma. PMID: 23443536
-
亞細胞定位:Cytoplasm.
-
蛋白家族:Inositol 1,4,5-trisphosphate 5-phosphatase type II family
-
數據庫鏈接:
Most popular with customers
-
-
YWHAB Recombinant Monoclonal Antibody
Applications: ELISA, WB, IHC, IF, FC
Species Reactivity: Human, Mouse, Rat
-
Phospho-YAP1 (S127) Recombinant Monoclonal Antibody
Applications: ELISA, WB, IHC
Species Reactivity: Human
-
-
-
-
-















