INPP5E Antibody
-
中文名稱:INPP5E兔多克隆抗體
-
貨號:CSB-PA873641LA01HU
-
規格:¥440
-
圖片:
-
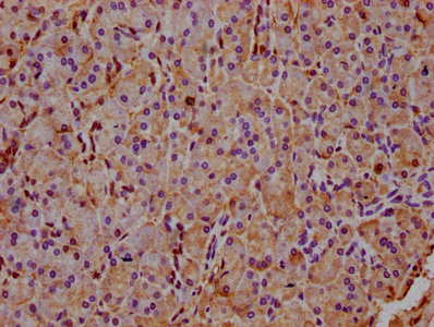
IHC image of CSB-PA873641LA01HU diluted at 1:400 and staining in paraffin-embedded human pancreatic tissue performed on a Leica BondTM system. After dewaxing and hydration, antigen retrieval was mediated by high pressure in a citrate buffer (pH 6.0). Section was blocked with 10% normal goat serum 30min at RT. Then primary antibody (1% BSA) was incubated at 4°C overnight. The primary is detected by a biotinylated secondary antibody and visualized using an HRP conjugated SP system.
-
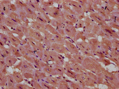
IHC image of CSB-PA873641LA01HU diluted at 1:400 and staining in paraffin-embedded human heart tissue performed on a Leica BondTM system. After dewaxing and hydration, antigen retrieval was mediated by high pressure in a citrate buffer (pH 6.0). Section was blocked with 10% normal goat serum 30min at RT. Then primary antibody (1% BSA) was incubated at 4°C overnight. The primary is detected by a biotinylated secondary antibody and visualized using an HRP conjugated SP system.
-
Immunofluorescence staining of Hela cells with CSB-PA873641LA01HU at 1:133, counter-stained with DAPI. The cells were fixed in 4% formaldehyde, permeabilized using 0.2% Triton X-100 and blocked in 10% normal Goat Serum. The cells were then incubated with the antibody overnight at 4°C. The secondary antibody was Alexa Fluor 488-congugated AffiniPure Goat Anti-Rabbit IgG(H+L).
-
-
其他:
產品詳情
-
產品名稱:Rabbit anti-Homo sapiens (Human) INPP5E Polyclonal antibody
-
Uniprot No.:
-
基因名:
-
別名:5-bisphosphate 5-phosphatase antibody; 72 kDa inositol polyphosphate 5-phosphatase antibody; Inositol polyphosphate 5 phosphatase antibody; INP5E_HUMAN antibody; Inpp5e antibody; Phosphatidylinositol (4,5) bisphosphate 5 phosphatase antibody; Phosphatidylinositol 4 antibody; Phosphatidylinositol polyphosphate 5 phosphatase type IV antibody; Phosphatidylinositol polyphosphate 5-phosphatase type IV antibody; PPI5PIV antibody
-
宿主:Rabbit
-
反應種屬:Human
-
免疫原:Recombinant Human 72 kDa inositol polyphosphate 5-phosphatase protein (1-133AA)
-
免疫原種屬:Homo sapiens (Human)
-
標記方式:Non-conjugated
本頁面中的產品,INPP5E Antibody (CSB-PA873641LA01HU),的標記方式是Non-conjugated。對于INPP5E Antibody,我們還提供其他標記。見下表:
-
克隆類型:Polyclonal
-
抗體亞型:IgG
-
純化方式:>95%, Protein G purified
-
濃度:It differs from different batches. Please contact us to confirm it.
-
保存緩沖液:Preservative: 0.03% Proclin 300
Constituents: 50% Glycerol, 0.01M PBS, pH 7.4 -
產品提供形式:Liquid
-
應用范圍:ELISA, IHC, IF
-
推薦稀釋比:
Application Recommended Dilution IHC 1:200-1:500 IF 1:50-1:200 -
Protocols:
-
儲存條件:Upon receipt, store at -20°C or -80°C. Avoid repeated freeze.
-
貨期:Basically, we can dispatch the products out in 1-3 working days after receiving your orders. Delivery time maybe differs from different purchasing way or location, please kindly consult your local distributors for specific delivery time.
-
用途:For Research Use Only. Not for use in diagnostic or therapeutic procedures.
相關產品
靶點詳情
-
功能:Phosphatidylinositol (PtdIns) phosphatase that specifically hydrolyzes the 5-phosphate of phosphatidylinositol-3,4,5-trisphosphate (PtdIns(3,4,5)P3), phosphatidylinositol 4,5-bisphosphate (PtdIns(4,5)P2) and phosphatidylinositol 3,5-bisphosphate (PtdIns(3,5)P2). Specific for lipid substrates, inactive towards water soluble inositol phosphates. Plays an essential role in the primary cilium by controlling ciliary growth and phosphoinositide 3-kinase (PI3K) signaling and stability.
-
基因功能參考文獻:
- miR598 contributed to cell proliferation and cell cycle progression in colorectal carcinoma by targeting INPP5E. PMID: 29257251
- INPP5E associates with the N-terminus of RPGR and trafficking of INPP5E to cilia is dependent upon the ciliary localization of RPGR. PMID: 28172980
- we identify Inpp5e as an essential inhibitor of the PI3K/Akt/mTORC1 signaling axis in renal epithelial cells, and demonstrate a critical role for Inpp5e-dependent mTORC1 regulation in Polycystic kidney disease (PKD) suppression PMID: 27056978
- ARL13B regulates IFT-A-mediated retrograde protein trafficking within cilia through its interaction with INPP5E. PMID: 27927754
- In neuronal cells, INPP5E knockdown strongly inhibited autophagy by impairing the autophagosome-lysosome fusion step. PMID: 27340123
- INPP5E localizes to centrosomes, chromosomes, and kinetochores in early mitosis and shuttles to the midzone spindle at mitotic exit. PMID: 28031327
- INPP5E is an essential point of convergence between Hedgehog and phosphoinositide signaling at cilia that maintains transition zone function and Hedgehog-dependent embryonic development. PMID: 27998989
- PIPKIgamma and INPP5E localize to the centrosome and coordinate the initiation of ciliogenesis. PMID: 26916822
- These findings establish the first direct link between AURKA and phosphoinositide signaling and suggest that the function of INPP5E in cilia is at least partly mediated by its interactions with AURKA PMID: 25395580
- Proteomic analysis identified INPP5E, whose mutations also lead to Joubert syndrome as novel prenyl-dependent cargo of PDE6D. Mutant PDE6D shows reduced binding to INPP5E, which fails to localize to primary cilia in patient fibroblasts and tissues. PMID: 24166846
- Identification of 12 different INPP5E mutations in patients with Joubert syndrome with an overall 2.7% mutation frequency. PMID: 23386033
- findings indicate that ARL13B, INPP5E, PDE6D, and CEP164 form a distinct functional network that is involved in JBTS and NPHP but independent of the ones previously defined by NPHP and MKS proteins PMID: 23150559
- INPP5E mutations cause primary cilium signaling defects, ciliary instability and ciliopathies in humans. PMID: 19668215
- Mutations in INPP5E, encoding inositol polyphosphate-5-phosphatase E, link phosphatidyl inositol signaling to the ciliopathies. PMID: 19668216
- Functional analysis of the mouse counterpart. PMID: 10806194
顯示更多
收起更多
-
相關疾病:Joubert syndrome 1 (JBTS1); Mental retardation, truncal obesity, retinal dystrophy, and micropenis (MORMS)
-
亞細胞定位:Cytoplasm, cytoskeleton, cilium axoneme. Golgi apparatus, Golgi stack membrane; Peripheral membrane protein; Cytoplasmic side. Cell membrane; Peripheral membrane protein; Cytoplasmic side. Cell projection, ruffle. Cytoplasm. Nucleus.
-
蛋白家族:Inositol 1,4,5-trisphosphate 5-phosphatase type IV family
-
組織特異性:Detected in brain, heart, pancreas, testis and spleen.
-
數據庫鏈接:
Most popular with customers
-
-
YWHAB Recombinant Monoclonal Antibody
Applications: ELISA, WB, IHC, IF, FC
Species Reactivity: Human, Mouse, Rat
-
Phospho-YAP1 (S127) Recombinant Monoclonal Antibody
Applications: ELISA, WB, IHC
Species Reactivity: Human
-
-
-
-
-















