ILF3 Antibody
-
中文名稱:ILF3兔多克隆抗體
-
貨號:CSB-PA613273ESR1HU
-
規格:¥440
-
圖片:
-
Western blot
All lanes: Interleukin enhancer-binding factor 3 antibody at 3μg/ml + HepG2 whole cell lysate
Secondary
Goat polyclonal to rabbit IgG at 1/10000 dilution
Predicted band size: 96, 77, 83, 76, 75 kDa
Observed band size: 96 kDa -
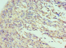
Immunohistochemistry of paraffin-embedded human cervical cancer using CSB-PA613273ESR1HU at dilution of 1:100
-
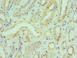
Immunohistochemistry of paraffin-embedded human kidney tissue using CSB-PA613273ESR1HU at dilution of 1:100
-
-
其他:
產品詳情
-
產品名稱:Rabbit anti-Homo sapiens (Human) ILF3 Polyclonal antibody
-
Uniprot No.:
-
基因名:ILF3
-
別名:CBTF antibody; Double stranded RNA binding protein 76 antibody; Double-stranded RNA-binding protein 76 antibody; DRBF antibody; DRBP76 antibody; ILF3 antibody; ILF3_HUMAN antibody; Interleukin enhancer binding factor 3 antibody; Interleukin enhancer-binding factor 3 antibody; M phase phosphoprotein 4 antibody; M-phase phosphoprotein 4 antibody; MPHOSPH4 antibody; MPP4 antibody; NF AT 90 antibody; NF-AT-90 antibody; NF110 antibody; NF90 antibody; NFAR antibody; Nuclear factor associated with dsRNA antibody; Nuclear factor of activated T cells 90 kDa antibody; Nuclear factor of activated T-cells 90 kDa antibody; TCP80 antibody; Translational control protein 80 antibody
-
宿主:Rabbit
-
反應種屬:Human
-
免疫原:Recombinant Human Interleukin enhancer-binding factor 3 protein (785-894AA)
-
免疫原種屬:Homo sapiens (Human)
-
標記方式:Non-conjugated
-
克隆類型:Polyclonal
-
抗體亞型:IgG
-
純化方式:Antigen Affinity Purified
-
濃度:It differs from different batches. Please contact us to confirm it.
-
保存緩沖液:PBS with 0.02% sodium azide, 50% glycerol, pH7.3.
-
產品提供形式:Liquid
-
應用范圍:ELISA, WB, IHC
-
推薦稀釋比:
Application Recommended Dilution WB 1:200-1:1000 IHC 1:20-1:200 -
Protocols:
-
儲存條件:Upon receipt, store at -20°C or -80°C. Avoid repeated freeze.
-
貨期:Basically, we can dispatch the products out in 1-3 working days after receiving your orders. Delivery time maybe differs from different purchasing way or location, please kindly consult your local distributors for specific delivery time.
-
用途:For Research Use Only. Not for use in diagnostic or therapeutic procedures.
相關產品
靶點詳情
-
功能:RNA-binding protein that plays an essential role in the biogenesis of circular RNAs (circRNAs) which are produced by back-splicing circularization of pre-mRNAs. Within the nucleus, promotes circRNAs processing by stabilizing the regulatory elements residing in the flanking introns of the circularized exons. Plays thereby a role in the back-splicing of a subset of circRNAs. As a consequence, participates in a wide range of transcriptional and post-transcriptional processes. Binds to poly-U elements and AU-rich elements (AREs) in the 3'-UTR of target mRNAs. Upon viral infection, ILF3 accumulates in the cytoplasm and participates in the innate antiviral response. Mechanistically, ILF3 becomes phosphorylated and activated by the double-stranded RNA-activated protein kinase/PKR which releases ILF3 from cellular mature circRNAs. In turn, unbound ILF3 molecules are able to interact with and thus inhibit viral mRNAs.
-
基因功能參考文獻:
- DNA- and RNA-binding protein NF90/ILF3/NF110 associates with chromatin to hierarchically regulate transcription factors that promote proliferation and suppress differentiation. PMID: 29590119
- Reprot a coordinated regulation of circRNA biogenesis and function by NF90/NF110 in viral infection. PMID: 28625552
- The NF90 regulates PARP1 mRNA stability in hepatocellular carcinoma cells, and NF90 is a potential target to inhibit PARP1 activity. PMID: 28487110
- Variants in ILF3 gene is associated with thrombosis. PMID: 26908601
- these data establish miR-590-5p as an anti-onco-miR that inhibits colorectal cancer angiogenesis and metastasis through a new mechanism involving NF90/VEGFA signaling axis. PMID: 27735951
- NF90 exerts its antiviral activity by antagonizing the inhibitory role of NS1 on PKR phosphorylation PMID: 27423063
- These data suggest that, like ADAR2, underlying sequences in dsRNA may influence how NF90 recognizes its target RNAs PMID: 26712564
- The NF90 C-terminus is involved in conformational changes in the protein after RNA binding. PMID: 26795062
- Taken together, our discovery of the function of TCP80 and RHA in regulating p53 IRES and p53 induction following DNA damage provides a better understanding of the mechanisms that regulate IRES-mediated p53 translation in response to genotoxic stress. PMID: 26273641
- data suggest that lncRNA SALNR modulates cellular senescence at least partly through changing NF90 activity PMID: 26491010
- Data indicate the role of cyclin-dependent kinase inhibitor 1A (p21) and interleukin enhancer binding factor 3 (ILF3) pathway in mediating the anti-leukemic activity of sodium dichloroacetate (DCA) in oncoprotein p53null leukemic cells. PMID: 25544776
- Suppression of NF90 caused a decrease in the half-life of cyclin E1 mRNA PMID: 25399696
- the role of the human NF90 protein isoforms in DNA and RNA virus replication PMID: 25447144
- NF90 exerts antiviral activity through regulation of PKR phosphorylation and stress granules in infected cells. PMID: 24623135
- The function of NF90 in posttranscriptional gene regulation and microRNA biogenesis. [Review] PMID: 23965975
- Data indicate that knockdown of interleukin enhancer-binding factor 3 (ILF3) leads to the increased levels of mature urokinase-type plasminogen activator (uPA) mRNA-targeting miRNAs miR-193a, miR-193b and miR-181a. PMID: 22986534
- contributes to maintaining low levels of senescence-associated secretory phenotype factors in non-senescent cells PMID: 23117626
- The unique C-terminal region of ILF3/NF110 is important for promoting survivin expression and for high affinity binding to YM155. PMID: 22442257
- high expression of ERCC1, XPB and ILF3 was observed in human epithelial ovarian cancer PMID: 21971700
- These data suggest that DRBP76, via its association with VP35, exerts an anti-Ebola virus function. PMID: 21987769
- The protein polymorphism of Ilf3/NF90 and the various subcellular localizations of their isoforms may partially explain the various functions previously reported for these proteins. PMID: 21811582
- associations of rs2569512 of ILF3 to myocardial infarction among individuals stratified by the absence or presence of hypertension, diabetes mellitus and chronic kidney disease PMID: 21347509
- Production of HIV particles is regulated by altering sub-cellular localization and dynamics of Rev induced by double-strand RNA binding protein. PMID: 21364984
- NF90 binds the dengue virus RNA 3' terminus and is a positive regulator of dengue virus. PMID: 21386893
- The relationship between rs6929846 of BTN2A1 or rs2569512 of ILF3 and myocardial infarction is influenced by the serum concentrations of high density lipoprotein cholesterol and low density lipoprotein cholesterol, respectively. PMID: 21468600
- Data suggest that physiologic DRBP76 expression, isoform distribution and subcellular localization are profoundly altered upon malignant transformation. PMID: 20668518
- Nuclear export of this protein is required for interleukin-2 mRNA stabilization. PMID: 12504009
- Results describe the expression of four isoforms of nuclear factor 90, including NF110, by cDNA cloning and mass spectrometric analysis of proteins isolated from human cells PMID: 12946349
- nuclear export of ILF3 is mediated by exportin-5 and minihelix-containing RNA PMID: 14570900
- the multiple cellular functions, i.e., translation control, interleukin-2 enhancer binding, or cell division, of ILF3 are fulfilled by alternatively spliced isoforms. PMID: 14654356
- NF90 and NF110 engage RNA differentially and translocate from the nucleus to the cytoplasm in mitosis PMID: 15811368
- ADAR1 has the potential both to change information content through editing of mRNA and to regulate gene expression through interacting with NF90 PMID: 16055709
- The human Nuclear Factor 90 c-terminal variant protein encoded by ILF3 interacts with Rev to inhibit Rev-mediated RNA transport. PMID: 17125513
- Our results show that perturbation Tat/TAR RNA interaction by the dsRNA binding nuclear factor 90 protein is sufficient to inhibit transcriptional activation of HIV-1. PMID: 17565699
- DRBP76/NF90 isoform facilitates VEGF expression by promoting VEGF mRNA loading onto polysomes PMID: 18039850
- NFARs exert influence on mRNA trafficking and the modulation of translation rates and may constitute an innate immune translational surveillance mechanism important in host defense countermeasures against virus infection PMID: 18337511
- MKP-1 upregulation by oxidative stress is potently influenced by increased mRNA stability and translation, mediated at least in part by the RNA-binding proteins HuR and NF90. PMID: 18490444
- ILF-3, which has been known to regulate IL-2 expression in T cells, up-regulates synoviolin expression with GABPalpha in rheumatoid synovial cells PMID: 19116932
- NF90 inhibits influenza virus replication during the early phase of infection through direct interaction with viral NP. PMID: 19494010
顯示更多
收起更多
-
亞細胞定位:Nucleus, nucleolus. Cytoplasm. Nucleus.
-
組織特異性:Ubiquitous.
-
數據庫鏈接:
Most popular with customers
-
Phospho-YAP1 (S127) Recombinant Monoclonal Antibody
Applications: ELISA, WB, IHC
Species Reactivity: Human
-
-
-
-
-
-
-
VDAC1 Recombinant Monoclonal Antibody
Applications: ELISA, WB, IHC
Species Reactivity: Human, Mouse, Rat















