IL7R Antibody
-
中文名稱:IL7R兔多克隆抗體
-
貨號:CSB-PA011670ESR1HU
-
規格:¥440
-
圖片:
-
Western blot
All lanes: IL7R antibody at 4µg/ml
Lane 1: K562 whole cell lysate
Lane 2: Jurkat whole cell lysate
Secondary
Goat polyclonal to rabbit IgG at 1/10000 dilution
Predicted band size: 52, 35, 30, 29 kDa
Observed band size: 52 kDa -
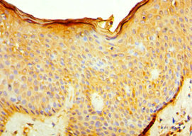
Immunohistochemistry of paraffin-embedded human skin tissue using CSB-PA011670ESR1HU at dilution of 1:100
-
Immunohistochemistry of paraffin-embedded human colon cancer using CSB-PA011670ESR1HU at dilution of 1:100
-
-
其他:
產品詳情
-
產品名稱:Rabbit anti-Homo sapiens (Human) IL7R Polyclonal antibody
-
Uniprot No.:
-
基因名:
-
別名:IL7R; Interleukin-7 receptor subunit alpha; IL-7 receptor subunit alpha; IL-7R subunit alpha; IL-7R-alpha; IL-7RA; CDw127; CD antigen CD127
-
宿主:Rabbit
-
反應種屬:Human
-
免疫原:Recombinant Human Interleukin-7 receptor subunit alpha protein (21-239AA)
-
免疫原種屬:Homo sapiens (Human)
-
標記方式:Non-conjugated
-
克隆類型:Polyclonal
-
抗體亞型:IgG
-
純化方式:Antigen Affinity Purified
-
濃度:It differs from different batches. Please contact us to confirm it.
-
保存緩沖液:PBS with 0.02% sodium azide, 50% glycerol, pH7.3.
-
產品提供形式:Liquid
-
應用范圍:ELISA, WB, IHC
-
推薦稀釋比:
Application Recommended Dilution WB 1:200-1:2000 IHC 1:20-1:200 -
Protocols:
-
儲存條件:Upon receipt, store at -20°C or -80°C. Avoid repeated freeze.
-
貨期:Basically, we can dispatch the products out in 1-3 working days after receiving your orders. Delivery time maybe differs from different purchasing way or location, please kindly consult your local distributors for specific delivery time.
-
用途:For Research Use Only. Not for use in diagnostic or therapeutic procedures.
相關產品
靶點詳情
-
功能:Receptor for interleukin-7. Also acts as a receptor for thymic stromal lymphopoietin (TSLP).
-
基因功能參考文獻:
- No significant association between the IL7RA C/T (rs6897932) and IL12B A1188C (rs3212227) gene polymorphisms and multiple sclerosis susceptibility was observed PMID: 30069682
- Increased signal transduction and proliferation in response to IL-7 was found in 'TT' compared to 'CC' IL7RA homozygous HIV-infected individuals providing a mechanistic explanation of the effect of rs6897932 T-allele on CD4+ T cell recovery in HIV infection. PMID: 28181541
- EZH2 mutations coexisted with mutations of NOTCH1, IL7R, and PHF6 in the two Adult T-cell Acute Lymphoblastic Leukemia patients, and they responded poorly to chemotherapy and experienced difficult clinical histories and inferior outcomes PMID: 28747286
- apicidin induced the acetylation of Forkhead box-containing protein, O subfamily 1, which acts as a repressor at the IL7R promoter, accompanied with depleted active histone modifications based on chromatin immunoprecipitation assay. Taken together, these results demonstrated that targeting oncogenic IL7R in ESCC by HDAC inhibitors may be a valuable therapeutic approach. PMID: 29749437
- In all, IL7RA locus polymorphisms could play an important role in the predisposition to multiple sclerosis, which could contribute to a better understanding the pathogenesis of multiple sclerosis. PMID: 28446795
- The results confirm the association between IL7RA exon 6 sequence polymorphisms and increased susceptibility to multiple sclerosis. PMID: 28582853
- The IL7RA rs6897932 polymorphism seems to be related to increased risk of liver fibrosis progression in HCV-infected patients. Thus, the rs6897932 polymorphism could be related to the physiopathology of chronic hepatitis C(CHC) and might be used to successfully stratify the risk of CHC progression. PMID: 29742149
- indicate that IL7RhighSH2B3low expression distinguishes a novel subset of high-risk B-acute lymphoblastic leukemia associated with Ikaros dysfunction PMID: 27322554
- CD127 is a useful surface marker to isolate donor-antigen-specific-Tregs in operational tolerance after liver transplantation PMID: 27105585
- Data demonstrate that IL-7R expression is regulated by HBX via NF-kappaB and Notch1 pathways to facilitate the activation of intracellular pathways and expression of associated molecules, and contribute to proliferation and migration of hepatoma cells. PMID: 27821177
- We show that heterozygous IL7R exon deletions are common in T-B+NK+ SCID and are detectable by WES. They should be considered if Sanger sequencing fails to detect homozygous or compound heterozygous IL7R SNVs or INDELs. PMID: 27807805
- The results of this study showed that IL-17 receptor (IL-17R) were clearly up regulated in mesial temporal lobe epilepsy at both mRNA and protein levels, compared with control. PMID: 27609289
- the coding regions of 17 genes involved in the regulation of the immune response were determined by massive parallel sequencing. The analysis revealed 39 nonsynonymous SNPs that lead to amino acid substitutions, including the following informative genetic markers: PTPN22 c.1858C>T (rs2476601), TLR4 c.896A>G (rs4986790) and TLR4 c.1196C>T (rs4986791), IL7R c.197T>C (rs1494555) and IL7R c.412G>A (rs1494558). PMID: 28537236
- The interleukin-7 receptor alpha (IL-7Ralpha) signaling pathways are prime therapeutic targets because these pathways harbor genetic aberrations in both T-cell ALL and B-cell precursor ALL. Therapeutic targeting of the IL-7Ralpha signaling pathways may lead to improved outcomes in a subset of patients. PMID: 27268088
- These studies provide in vivo evidence that IL-7Ralpha signals positively regulate normal human B-cell production and proliferation beyond the fetal period and suggest that TSLP can replace IL-7 in providing these signals. PMID: 27325567
- Study showed that a genetic variant in the 5' UTR of DDX39B reduces translation of DDX39B mRNAs and increases multiple sclerosis (MS) risk. Importantly, this DDX39B variant showed strong genetic & functional epistasis with allelic variants in IL7R exon 6; study establishes the occurrence of biological epistasis in humans & provides mechanistic insight into the regulation of IL7R exon 6 splicing & its impact on MS risk. PMID: 28340352
- study identifies casein kinase 2 as a major player in the effects of interleukin-7 and interleukin-7 receptor in T-cell acute lymphoblastic leukemia PMID: 27470599
- IL7Ralpha level was higher in asthmatic than in nonasthmatic children. PMID: 26999524
- Meta-analysis demonstrated that the IL7R T244I polymorphism was associated with susceptibility to multiple sclerosis PMID: 27456877
- This study suggested that the IL7R C allele was associated with an increased risk of MS and larger-scale studies of populations are needed to explore the roles played by the IL7R T244I polymorphism during the pathogenesis of multiple sclerosis. PMID: 27188999
- the variant of IL-7RA (rs6897932) was associated with NMO especially NMO-IgG positive patients while the variant of IL-7 (rs1520333) with MS patients. PMID: 26608987
- this study shows that in human CD8 T cells that IL-7 binding to its receptor induces CD127 internalization via clathrin-mediated endocytosis, transport of the receptor from early to late endosomes and ultimately degradation of CD127 by the proteasome. PMID: 26272555
- Immunophenotyping with CD135 and CD117 predicts the FLT3, IL-7R and TLX3 gene mutations in childhood T-cell acute leukemia. PMID: 26852660
- results suggest that LNK suppresses IL-7R/JAK/STAT signaling to restrict pro-/pre-B progenitor expansion and leukemia development, providing a pathogenic mechanism and a potential therapeutic approach for B-ALLs with LNK mutations. PMID: 26974155
- Pretransplant recipient circulating CD4+CD127lo/-TNFR2+ Treg cell is potentially a simpler alternative to Treg cell function as a pretransplant recipient immune marker for acute kidney injury. PMID: 26425877
- Data suggest that the lack of IL-7 receptor alpha chain (IL7Ralpha) expression, associated with hypermethylation of the IL7R promoter, in T cells restricts T-cell development in Schimke immuno-osseous dysplasia (SIOD) patients. PMID: 26499378
- Substitution of the first 10 Nterminal residues or deletion of residues 17-21 prevented Tat from interacting with and down regulating CD127 from the cell surface. PMID: 25986373
- cooperation between IL-7R and alpha2beta1 integrin can represent an important pathogenic pathway in Th17-osteoclast function associated with inflammatory diseases PMID: 26408663
- This study then provides evidence that soluble factor(s) are responsible for low CD127 expression on circulating CD8 T-cells in HIV+ individuals and further implicates Tat in suppressing this receptor essential to CD8 T-cell proliferation and function. PMID: 25033393
- Findings indicate that IL7 receptor (IL7R) and c-myc expression as intrinsic biomarkers that can predict the fate of CD8+ T effector cells after adoptive transfer. PMID: 26100671
- A girl with severe combined immunodeficiency was a compound heterozygote for 2 new frameshift mutations, c.589_598del10 p.P197fsX44 and c.993delA p.Q331fsX2. Each parent carried one of these. PMID: 26123418
- the influence of IL-7 receptor alpha-chain (IL-7Ralpha) gene haplotypes in donors on the outcome of haematopoietic cell transplantation, was investigated. PMID: 25352021
- Data indicate that individuals carrying the interleukin-7 receptor A/A genotype were more susceptible to diarrhea. PMID: 25366767
- This study demonstrated that rs6897932 in IL7Ra gene is associated with the progression of multiple sclerosis in Central European Slovak population. PMID: 25903732
- The present study highlights perturbed IL-7/IL-7R T cell signaling through STAT5 as a potential mechanism of T cell exhaustion in chronic T. cruzi infection. PMID: 25769928
- rs6897932 allele of interleukin-7 receptor alpha is not associated with general inflammation, and reported associations between T-allele in rs6897932 with several autoimmune diseases may be mediated through effects on restricted part of the immune system PMID: 25421942
- Sustained virological response correlates with higher expression of CD127, lower T cell exhaustion status and better HIV and HCV proliferative responses at baseline. PMID: 25007250
- Our analysis revealed that none of these 35 samples carried an IL7R mutation in exon 6. Whether differences in the genetic makeup of adult and childhood T-ALL explain the differential response to therapy remains to be determined PMID: 24678068
- CD127(hi) effluxer CD8(+) T cells represent a novel population of early memory T cells resident in BM with properties required for long-lived memory PMID: 25231631
- Early Omenn syndrome can be observed in patients with IL7R mutations, and autoimmune cytopenias could also complicate the clinical course of SCID babies with this type of defect. PMID: 24759676
- CD8 positive T lymphocytes expressing CD127 exhibit increased distribution frequency and distinct functional characteristics that correlate with clinicopathological status in oral neoplasms. PMID: 24465587
- Il7 receptor SNP rs6897932 may be associated with increased systemic lupus erythematosus risk in Chinese populations. PMID: 24242875
- data suggest that lnc-IL7R contributes another layer of complexity in regulation of the inflammatory response PMID: 24723426
- Measurement of the sIL-7R/IL-7 axis will help in guided immune monitoring after HSCT and guided interference with sIL-7R may be explored in GVHD management. PMID: 24946690
- we report noncysteine in-frame mutations in IL7R and CRLF2 located in a region of the transmembrane domain closer to the cytosolic domain in acute lymphoblastic leukemias PMID: 24787007
- the results indicate that the genetic variation of IL7R may be associated with inflammatory demyelinating diseases such as Multiple sclerosis (MS) and neuromyelitis optica (NMO) in the population studied. PMID: 24337176
- CD127 expression is differentially modulated on CD4+ and CD8+ T-cells in the course of T1D. PMID: 24348676
- The findings indicate that genetic variants of IL7RA result in haplotype-associated differential responsiveness to immunological stimuli that influence multiple sclerosis susceptibility not exclusively by varying levels of soluble IL-7RA. PMID: 23985573
- The IL7R, TNFRSF1A, and GPC5 polymorphisms tended to be associated with having a second event of Multiple sclerosis within a year. PMID: 24130709
- The IL7R polymorphism was associated with reduced odds of multiple sclerosis attacks involving the brainstem/cerebellum as were the TNFRSF1A and IL12A polymorphisms. PMID: 24130718
顯示更多
收起更多
-
相關疾病:Severe combined immunodeficiency autosomal recessive T-cell-negative/B-cell-positive/NK-cell-positive (T(-)B(+)NK(+) SCID); Multiple sclerosis 3 (MS3)
-
亞細胞定位:[Isoform 1]: Cell membrane; Single-pass type I membrane protein.; [Isoform 3]: Cell membrane; Single-pass type I membrane protein.; [Isoform 4]: Secreted.
-
蛋白家族:Type I cytokine receptor family, Type 4 subfamily
-
數據庫鏈接:
Most popular with customers
-
-
YWHAB Recombinant Monoclonal Antibody
Applications: ELISA, WB, IHC, IF, FC
Species Reactivity: Human, Mouse, Rat
-
Phospho-YAP1 (S127) Recombinant Monoclonal Antibody
Applications: ELISA, WB, IHC
Species Reactivity: Human
-
-
-
-
-















