IL37 Antibody
-
中文名稱:IL37兔多克隆抗體
-
貨號:CSB-PA865190DSR2HU
-
規格:¥440
-
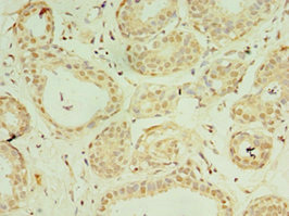
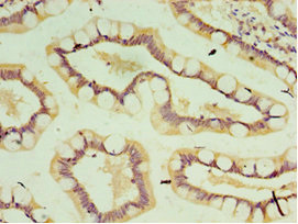
圖片:
-
其他:
產品詳情
-
產品名稱:Rabbit anti-Homo sapiens (Human) IL37 Polyclonal antibody
-
Uniprot No.:
-
基因名:IL37
-
別名:FIL1 antibody; FIL1 zeta antibody; FIL1(ZETA) antibody; FIL1Z antibody; IL 1 zeta antibody; IL 1F7 antibody; IL 1F7b (IL 1H4; IL 1H; IL 1RP1) antibody; IL 1H4 antibody; IL 1RP1 antibody; IL 1X antibody; IL 1X protein antibody; IL-1 zeta antibody; IL-1F7 antibody; IL-1H antibody; IL-1H4 antibody; IL-1RP1 antibody; IL-1X antibody; IL-37 antibody; IL1F7 (canonical product IL 1F7b) antibody; IL1F7 antibody; IL1F7_HUMAN antibody; IL1H4 antibody; IL1RP1 antibody; Interleukin 1 family member 7 antibody; interleukin 1 family; member 7 (zeta) antibody; Interleukin 1 homolog 4 antibody; Interleukin 1 related protein antibody; Interleukin 1 superfamily z antibody; Interleukin 1 zeta antibody; Interleukin 37 antibody; Interleukin-1 family member 7 antibody; Interleukin-1 homolog 4 antibody; Interleukin-1 zeta antibody; Interleukin-1-related protein antibody; Interleukin-23 antibody
-
宿主:Rabbit
-
反應種屬:Human
-
免疫原:Recombinant Human Interleukin-37 protein (1-218AA)
-
免疫原種屬:Homo sapiens (Human)
-
標記方式:Non-conjugated
-
克隆類型:Polyclonal
-
抗體亞型:IgG
-
純化方式:Antigen Affinity Purified
-
濃度:It differs from different batches. Please contact us to confirm it.
-
保存緩沖液:PBS with 0.02% sodium azide, 50% glycerol, pH7.3.
-
產品提供形式:Liquid
-
應用范圍:ELISA, IHC
-
推薦稀釋比:
Application Recommended Dilution IHC 1:20-1:200 -
Protocols:
-
儲存條件:Upon receipt, store at -20°C or -80°C. Avoid repeated freeze.
-
貨期:Basically, we can dispatch the products out in 1-3 working days after receiving your orders. Delivery time maybe differs from different purchasing way or location, please kindly consult your local distributors for specific delivery time.
-
用途:For Research Use Only. Not for use in diagnostic or therapeutic procedures.
相關產品
靶點詳情
-
功能:Suppressor of innate inflammatory and immune responses involved in curbing excessive inflammation. This function requires SMAD3. Suppresses, or reduces, proinflammatory cytokine production, including IL1A and IL6, as well as CCL12, CSF1, CSF2, CXCL13, IL1B, IL23A and IL1RN, but spares anti-inflammatory cytokines. Inhibits dendritic cell activation.
-
基因功能參考文獻:
- a genome wide association study for "high" gingival crevicular fluid IL-1beta expression among 4910 European-American adults and identify association signals in the IL37 locus, is reported. PMID: 30206230
- IL-37 can be secreted extracellularly, and binds to IL-18Ra chain and recruits Toll/IL-1R (TIR)-8 for transducing anti-inflammatory signaling. IL-37 is upregulated in an inducible manner and negatively regulates signaling mediated by TLR agonists and pro-inflammatory cytokines. PMID: 28548248
- Our results showed that IL-37 plays an inhibitory role in non-small cell lung cancer progression, possibly by suppressing STAT3 activation and decreasing epithelial-to-mesenchymal transition by inhibiting IL-6 expression. IL-37 could serve as a potential novel tumor suppressor in non-small cell lung cancer PMID: 29575809
- TIM-3 and IL-37 may be used as potential biomarkers of active rheumatoid arthritis. PMID: 30106887
- This study suggests that human IL-37 overexpressed in mice reduces lean body mass by reducing food intake. PMID: 30072596
- These data suggest that IL37 is a new susceptibility gene for Coronary artery disease (CAD), which provides a potential target for the prevention and treatment of CAD PMID: 28181534
- In allergic rhinits patients, the IL-1R8 ligand IL-37 could potentially modulate aberrant immune responses by attenuating IL-17 and IL-4 production by CD4+ T cells. PMID: 29730558
- Review of role of interleukin 37 in physiology and disease. PMID: 29805973
- this study shows that Interleukin-37 alleviates airway inflammation and remodeling in asthma via inhibiting the activation of NF-kappaB and STAT3 signalings PMID: 29268192
- IL1F7 gene polymorphism does not significantly influence rheumatoid arthritis susceptibility in the Northern Chinese Han population. PMID: 29336365
- IL37 may be an important cytokine in the pathogenesis of allergic rhinitis. PMID: 29115624
- results suggest that there was a low level of interleukin 37 in the eutopic and ectopic endometria of patients with adenomyosis PMID: 28762845
- Study concludes that recombinant human interleukin-37 enhances the suppressive activity of CD4(+)CD25(+) regulatory T cells and might be a potential immunomodulator for the treatment of septic complications. PMID: 27941849
- IL-37 level is elevated in systemic lupus erythematous patients in comparison to healthy controls and is correlated to high disease activity, mucocutaneous and renal involvement. PMID: 28627005
- An association of IL-37 single nucleotide polymorphism rs3811047 with Behcet's disease, but not Vogt-Koyanagi-Harada disease in Han Chinese. PMID: 27775096
- The data suggest that IL-10, but not IL-37, may have potential as a biomarker predictive for disease activity in Systemic lupus erythematosus. PMID: 27708376
- this study shows that IL-37 causes excessive inflammation and tissue damage in murine pneumococcal pneumonia PMID: 28601872
- common genetic variants of IL37 lead to different immune-inhibitory potencies. PMID: 27665946
- IL-37 increased from normal control (NC) to oral leukoplakia (OLK) and oral squamous cell carcinoma (OSCC). IL-37 expression was lower in OSCC with lymph node metastasis than those without metastasis. IL-37 overexpression in RAW264.7 cells remarkably reduced the pseudopodia, vacuolization and the expression of IL-6, TNF-alpha, and IL-1beta. IL-37 and IL-18Ralpha but not IL-18BP have similar expression and location in ... PMID: 27225603
- We conclude that under low-grade inflammatory conditions, hematopoietic IL-37 expression reduces the inflammatory state, but does not influence atherosclerosis development in hyperlipidemic LDLr-deficient mice. PMID: 28792474
- The IL- 37 (rs3811047) polymorphism contributes to the development of ADs in a Chinese population. PMID: 29642198
- IL-37 is produced primarily by CD4+ T cells and vascular smooth muscle cells and that it plays a protective role in atherosclerotic injury by directing a switch in CD4+ T lymphocyte phenotypes in addition to directly regulating the expression of caspase-3 to reduce H2O2- and pro-inflammatoryinduced SMC apoptosis. PMID: 29439249
- Blocking IL-1 with IL-37 alleviates the symptoms in patients with inflammatory diseases including arteriosclerosis. The impact of IL-37 on inflammatory cytokines mediating atherosclerosis is beneficial and protective. PMID: 28420489
- these data highlight the importance of IL-37 in the cell proliferation and progression of hepatocellular carcinoma PMID: 27835881
- Serum Il-37 level is significantly increased in acute coronary syndrome. IL-37 may exert a cardioprotective effect by suppressing ROCK activity. PMID: 28039466
- this study found that IL-37 levels in peritoneal fluid and in serum were significantly higher in patients with endometriosis compared to women without endometriosis PMID: 28322860
- IL-37 profile in patients with acute coronary syndrome and the increased IL-37 concentration was associated with a worse clinical in-hospital outcome in STEMI patients undergoing PPCI PMID: 28237549
- this study shows that human IL-37 inhibited LPS-induced mouse osteoclast formation and bone resorption via inhibition of LPS-induced osteoclast related cytokines PMID: 27154248
- serum IL-37 and its mRNA expression is increased in Ankylosing spondylitis (AS) patients with special consideration in patient with Osteoporosis and correlates with disease activity and BMD which indicate that IL-37 may provide a novel research target for pathogenesis and therapy of AS. PMID: 28502149
- this study shows that macrophage-specific expression of IL-37 in hyperlipidemic mice attenuates atherosclerosis PMID: 29030487
- IL-27 and IL-37 limit the induction of particular T cell subsets along with cytokine responses in S. stercoralis infections, which suggest the importance of IL-27 and IL-37 in immune modulation in a chronic helminth infection. PMID: 28874444
- constitutive IL-37 secretion by myeloid dendritic cells may serve to maintain an anti-inflammatory milieu at steady state, whereas IL-37 is stored in monocytes to be available for rapid release upon inflammatory encounters. PMID: 27881605
- IL-37 regulates autophagy in SMMC-7721 and Huh-7 cells via inhibition of the PI3K/AKT/mTOR signaling pathway. PMID: 28433890
- IL-37 inhibited the proliferation of hepatocellular carcinoma SMMC-7721 cells. PMID: 28395710
- these findings reveal that intracellular IL-37b is a critical factor in the negative regulation of multiple signaling pathways that modulate the expression of metastasis-related genes PMID: 28092676
- IL-37 may be employed as a new molecular target for the therapy and diagnosis of Tuberculosis. PMID: 28076390
- IL37 itself reduced IL1beta, IL6 and IL8 production in osteoarthritis chondrocytes, indicating that IL37 is able to induce a counter-regulatory anti-inflammatory feedback loop in chondrocytes. In addition, IL37 dampens catabolic enzyme expression. PMID: 27940589
- IL-37 is elevated in AF patients and its expression is closely associated with AF subgroups. Thus, IL-37 may provide a novel research target for the pathogenesis and therapy of AF. PMID: 28244597
- These results indicate that a decreased IL-37 expression by colon epithelial cells may be an important factor for increasing the recruitment of immune cells and subsequently developing microscopic colitis. PMID: 28044228
- reviewed the updated evidence indicating the roles of IL-35 and IL-37 in asthma PMID: 27878686
- serum level of IL-37 plays a part in the pathophysiology of multiple myeloma progression. PMID: 27807338
- this study shows that IL-37 could decrease both NF-kappaB and ICAM-1 expression upon TLR2 activation in human coronary artery endothelial cells, and that this effect may be due to its inhibition on NF-kappaB PMID: 27233003
- Results show that elevated plasma IL-37 level and its associations with anti-Sm, anti-RNP and C3 in systemic lupus erythematosus patients suggest that IL-37 may be implicated in this disease. PMID: 27125292
- the present data suggest that rs2723176 SNP of IL-37 is involved in the development of TB infection. PMID: 27761939
- this study reviews the role of IL-37 as a key suppressor of asthma mediated by mast cells PMID: 27982737
- In the discovery phase, two nonsynonymous SNPs (rs3811046 and rs3811047), located in the IL1F7 gene and in an intergenic region, respectively were found to be weakly associated with non-high tension glaucoma cases. PMID: 27533638
- CCL22 and IL-37 with a co-localization in the A549 cells inhibited the proliferation PMID: 27499437
- increased IL-37 concentrations are associated with the onset of arterial calcification PMID: 27451144
- These findings suggest that increased expression of IL-37 was present in eutopic and ectopic endometrium of women with ovarian endometriosis, which might be involved in the inflammatory process of endometriomas. PMID: 26342048
- These fi ndings suggest that elevation of HLA-G and IL-37 in hepatitis C virus may play an important role in response to combined therapy with interferon-apha and ribovirin. PMID: 27112970
顯示更多
收起更多
-
亞細胞定位:Cytoplasm, cytosol. Nucleus. Secreted.
-
蛋白家族:IL-1 family
-
組織特異性:In general, low constitutive expression, if any, in healthy tissues; high expression in inflammatory counterparts, including in synovial tissues from individuals with active rheumatoid arthritis. Isoform A, isoform B and isoform C are expressed in testis,
-
數據庫鏈接:
Most popular with customers
-
-
YWHAB Recombinant Monoclonal Antibody
Applications: ELISA, WB, IHC, IF, FC
Species Reactivity: Human, Mouse, Rat
-
Phospho-YAP1 (S127) Recombinant Monoclonal Antibody
Applications: ELISA, WB, IHC
Species Reactivity: Human
-
-
-
-
-















