IL27RA Antibody
-
中文名稱:IL27RA兔多克隆抗體
-
貨號:CSB-PA298467
-
規格:¥1100
-
圖片:
-
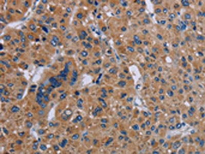
The image on the left is immunohistochemistry of paraffin-embedded Human liver cancer tissue using CSB-PA298467(IL27RA Antibody) at dilution 1/40, on the right is treated with fusion protein. (Original magnification: ×200)
-
The image on the left is immunohistochemistry of paraffin-embedded Human brain tissue using CSB-PA298467(IL27RA Antibody) at dilution 1/40, on the right is treated with fusion protein. (Original magnification: ×200)
-
Gel: 8%SDS-PAGE, Lysate: 50 μg, Lane: Jurkat cells, Primary antibody: CSB-PA298467(IL27RA Antibody) at dilution 1/200, Secondary antibody: Goat anti rabbit IgG at 1/8000 dilution, Exposure time: 20 seconds
-
-
其他:
產品詳情
-
Uniprot No.:
-
基因名:
-
別名:Class I cytokine receptor antibody; CRL1 antibody; Cytokine receptor-like 1 antibody; I27RA_HUMAN antibody; IL-27 receptor subunit alpha antibody; IL-27R subunit alpha antibody; IL-27R-alpha antibody; IL-27RA antibody; IL27R alpha antibody; IL27R antibody; Il27ra antibody; Interleukin 27 receptor alpha chain precursor antibody; Interleukin 27 receptor antibody; Interleukin-27 receptor subunit alpha antibody; Protein CRL1 antibody; T cell cytokine receptor type 1 antibody; TCCR antibody; Type 1 T cell cytokine receptor antibody; Type I T-cell cytokine receptor antibody; WSX-1 antibody; WSX1 antibody; ZcytoR1 antibody
-
宿主:Rabbit
-
反應種屬:Human
-
免疫原:Fusion protein of Human IL27RA
-
免疫原種屬:Homo sapiens (Human)
-
標記方式:Non-conjugated
-
抗體亞型:IgG
-
純化方式:Antigen affinity purification
-
濃度:It differs from different batches. Please contact us to confirm it.
-
保存緩沖液:-20°C, pH7.4 PBS, 0.05% NaN3, 40% Glycerol
-
產品提供形式:Liquid
-
應用范圍:ELISA,WB,IHC
-
推薦稀釋比:
Application Recommended Dilution ELISA 1:2000-1:5000 WB 1:200-1:1000 IHC 1:50-1:200 -
Protocols:
-
儲存條件:Upon receipt, store at -20°C or -80°C. Avoid repeated freeze.
-
貨期:Basically, we can dispatch the products out in 1-3 working days after receiving your orders. Delivery time maybe differs from different purchasing way or location, please kindly consult your local distributors for specific delivery time.
-
用途:For Research Use Only. Not for use in diagnostic or therapeutic procedures.
相關產品
靶點詳情
-
功能:Receptor for IL27. Requires IL6ST/GP130 to mediate signal transduction in response to IL27. This signaling system acts through STAT3 and STAT1. Acts as a receptor for the neuroprotective peptide humanin as part of a complex with IL6ST/GP130 and CNTFR. Involved in the regulation of Th1-type immune responses. Also appears to be involved in innate defense mechanisms.
-
基因功能參考文獻:
- this study found elevated expression of IL-27 in human peripheral serum and elevated expression of its specific receptor (wsx-1) on fetal membranes in cases of preterm birth PMID: 28756371
- These results identify IL-27 and its specific receptor IL27RA as a critical immune axis for the antiviral immune response and as robust correlates of viral load and proviral reservoir size in mononuclear leukocytes in HIV infection. PMID: 28592538
- Findings demonstrated that IL-27 and IL-27R were elevated in multiple sclerosis lesions and that local IL-27 can modulate immune properties of astrocytes and infiltrating immune cells PMID: 26649511
- The significant expression of IL-27 in TB and the negative influence of IL-27R on T cell function demonstrate the pathway by which this cytokine/receptor pair is detrimental in TB. PMID: 26282876
- natural sIL-27Ralpha binds rIL-27, inhibits IL-27 binding to its cell surface receptor, and is a potent inhibitor of IL-27 signaling, as shown by its ability to specifically block IL-27-mediated STAT activation, at low molar excess over IL-27. PMID: 24771852
- Aberrant hypermethylation and reduced expression of IL27RA is associated with myelodysplastic syndromes. PMID: 22936014
- TCCR/WSX-1 is closely associated with angiogenesis and could serve as a novel therapeutic target in patients with age-related macular degeneration. PMID: 22312192
- Mutations in the transmembrane and juxtamembrane domains enhance IL27R transforming activity. PMID: 21631431
- WSX-1 is essential for transcriptional activation of STAT1 and for augmenting the induction of T-bet expression during initiation of Th1 cell differentiation. PMID: 12734330
- WSX-1 together with the cytokine receptor gp130 constitutes a functional signal-transducing receptor for IL-27. PMID: 14764690
- IL-27R possesses hematopoietic cell-transforming properties PMID: 18003935
- These results indicate that humanin protects neurons by binding to a complex or complexes involving CNTFR/WSX-1/gp130. PMID: 19386761
- Results reveal an interleukin 27-independent function of WSX1 sensitizing natural killer cell-mediated antitumor surveillance. PMID: 19549909
顯示更多
收起更多
-
亞細胞定位:Membrane; Single-pass type I membrane protein.
-
蛋白家族:Type I cytokine receptor family, Type 2 subfamily
-
組織特異性:Highly expressed in lymphoid tissues such as spleen, lymph nodes and peripheral blood leukocytes. Weakly expressed in other tissues examined including heart, brain, fetal and adult lung, liver, skeletal muscle, kidney, pancreas, prostate, testis, ovary, s
-
數據庫鏈接:
Most popular with customers
-
-
YWHAB Recombinant Monoclonal Antibody
Applications: ELISA, WB, IHC, IF, FC
Species Reactivity: Human, Mouse, Rat
-
Phospho-YAP1 (S127) Recombinant Monoclonal Antibody
Applications: ELISA, WB, IHC
Species Reactivity: Human
-
-
-
-
-















