IL1RL1 Antibody
-
中文名稱:IL1RL1兔多克隆抗體
-
貨號:CSB-PA550856
-
規格:¥1100
-
圖片:
-
The image on the left is immunohistochemistry of paraffin-embedded Human brain tissue using CSB-PA550856(IL1RL1 Antibody) at dilution 1/40, on the right is treated with fusion protein. (Original magnification: ×200)
-
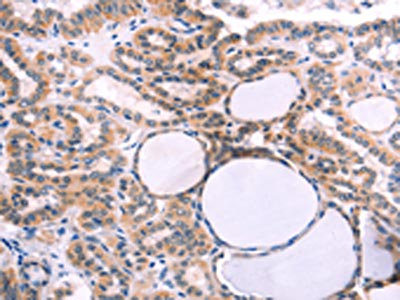
The image on the left is immunohistochemistry of paraffin-embedded Human thyroid cancer tissue using CSB-PA550856(IL1RL1 Antibody) at dilution 1/40, on the right is treated with fusion protein. (Original magnification: ×200)
-
Gel: 10%SDS-PAGE, Lysate: 40 μg, Lane: Human fetal intestine tissue, Primary antibody: CSB-PA550856(IL1RL1 Antibody) at dilution 1/700, Secondary antibody: Goat anti rabbit IgG at 1/8000 dilution, Exposure time: 2 minutes
-
-
其他:
產品詳情
-
Uniprot No.:
-
基因名:
-
別名:DER-4 antibody; DER4 antibody; FIT 1 antibody; Growth stimulation expressed antibody; homolog of mouse growth stimulation-expressed antibody; Il1rl1 antibody; IL33R antibody; ILRL1_HUMAN antibody; Interleukin 1 receptor like 1 antibody; interleukin 1 receptor related protein antibody; Interleukin-1 receptor-like 1 antibody; Protein ST2 antibody; ST2 antibody; ST2L antibody; ST2V antibody; T1 antibody; T1 protein antibody
-
宿主:Rabbit
-
反應種屬:Human
-
免疫原:Fusion protein of Human IL1RL1
-
免疫原種屬:Homo sapiens (Human)
-
標記方式:Non-conjugated
-
抗體亞型:IgG
-
純化方式:Antigen affinity purification
-
濃度:It differs from different batches. Please contact us to confirm it.
-
保存緩沖液:-20°C, pH7.4 PBS, 0.05% NaN3, 40% Glycerol
-
產品提供形式:Liquid
-
應用范圍:ELISA,WB,IHC
-
推薦稀釋比:
Application Recommended Dilution ELISA 1:2000-1:5000 WB 1:500-1:2000 IHC 1:50-1:200 -
Protocols:
-
儲存條件:Upon receipt, store at -20°C or -80°C. Avoid repeated freeze.
-
貨期:Basically, we can dispatch the products out in 1-3 working days after receiving your orders. Delivery time maybe differs from different purchasing way or location, please kindly consult your local distributors for specific delivery time.
-
用途:For Research Use Only. Not for use in diagnostic or therapeutic procedures.
相關產品
靶點詳情
-
功能:Receptor for interleukin-33 (IL-33); signaling requires association of the coreceptor IL1RAP. Its stimulation recruits MYD88, IRAK1, IRAK4, and TRAF6, followed by phosphorylation of MAPK3/ERK1 and/or MAPK1/ERK2, MAPK14, and MAPK8. Possibly involved in helper T-cell function.; Inhibits IL-33 signaling.
-
基因功能參考文獻:
- Patients with heart failure and type 2 diabetes mellitus with AGT TT + MT genotype had a higher level of ST2 and a higher probability of unfavorable cardiovascular events during 24 months of observation compared with MM genotype carriers. PMID: 29578435
- IL33R was found induced in the blood of asthmatic children with additional gram-positive bacteria in the nasopharynx. PMID: 28262704
- Higher IL-33 and lower s-ST2 receptor baseline serum levels were detected in Pru p 3--sensitized allergic patients (SAP). IL-33/s-ST2 ratio is increased in Pru p 3-SAP and more in patients who experienced severe systemic symptoms. PMID: 29774370
- sST2 is downregulated in high-metastatic cells compared with low-metastatic human and mouse CRC cells. Knockdown of sST2 in low-metastatic cells enhances tumour growth, metastasis and tumour angiogenesis, whereas its overexpression in high-metastatic cells suppresses these processes. PMID: 27882929
- IL-33 promotes Renal Cell Carcinoma cell proliferation and chemotherapy resistance via its receptor ST2 and the JNK signaling activation in tumor cells. PMID: 29763892
- sST2 in preschool wheezers has predictive value for the development of eosinophilic airway inflammation in asthmatic children at school age. PMID: 28440062
- Findings indicate that IL33 may be involved in the process of glioma cell invasion and migration by upregulating MMP2 and MMP9 via the ST2-NF-kappaB signaling pathway. PMID: 28849217
- is involved in Th2 inflammation including eosinophil activation. Single nucleotide polymorphisms (SNPs) of the IL1RL1 gene are associated with asthma development and increased peripheral blood eosinophil counts. PMID: 29153414
- Findings indicate that IL-10 act as a negative regulator of IL-33/ST2 signaling pathways in vivo. PMID: 28415811
- Foxp3(+) cells in the brains of Multiple sclerosis patients predominantly produce interleukin-10 (IL-10) and show high expression of the IL-33 receptor ST2. PMID: 28169287
- In patients with stable mild to moderate chronic heart failure with reduced ventricular ejection fraction, a single measurement of sST2 protein and glucose were independent variables for hospitalization due to worsening CHF over a 1-year follow-up period. PMID: 29068593
- present study highlights significant associations between ST2 and inflammatory bowel disease. PMID: 27001944
- Data show that interleukin-2 receptor alpha, tumor necrosis factor receptor 1, serum STimulation-2 (IL1RL1 gene product), and regenerating islet-derived 3-alpha were significantly associated with non-relapse mortality. PMID: 28126963
- Serum IL-33 and sST2 levels, and CD4+ST2L+ expression in peripheral blood mononuclear cells are closely associated with HIV-1 infection and immune reconstitution in patients received highly-active antiretroviral therapy. PMID: 28466817
- Elevated levels of sST2 concentration in stable coronary heart disease patients may independently predict short- and long-term risk for fatal CVD events and total mortality but not non-fatal CVD events. PMID: 28283847
- Patients with severe aortic valve stenosis present elevated sST2 levels. Left ventricular global longitudinal strain resulted the only independent predictor of sST2 levels. PMID: 28664478
- The Il1RL1 rs950880 AA homozygote is an independent predictor of all-cause mortality in coronary artery disease and peripheral arterial disease patients. PMID: 28110258
- In a cohort of hypertensive heart failure subjects, soluble ST2 correlates significantly with indicators of right ventricular function. PMID: 28860791
- Data provide evidence that increased IL-33/ST2 levels in patients with chronic kidney disease are an indicator of increased inflammation, impaired endothelial functions, and cardiovascular events. PMID: 28614418
- Serum levels of IL33R were positively correlated with cognitive performance in patients with schizophrenia. PMID: 28126482
- Interleukin 1 receptor-like 1 (ST2/IL1RL1) is a biomarker for cardiac stress and heart failure, which can be associated with cocaine use. Data suggest that serum ST2/IL1RL1 levels are up-regulated by cocaine use; cocaine use appears to be associated with subclinical cardiac stress and damage outside of acute cardiac events; elevated serum ST2/IL1RL1 levels may serve as biomarkers for cocaine-induced cardiac complications. PMID: 28442257
- Preterm labor was associated with diminished expression of the alpha-chain of IL-33 receptor on choriodecidual B cells. PMID: 27918564
- Study found that macrophages expressed ST2L with a membrane pattern. The membrane pattern of ST2L was strongly expressed if the macrophages infiltrating the shoulder region of the plaque had an epithelioid aspect suggesting its possible role in the pathogenetic mechanisms of atherosclerotic lesions progression and rupture. PMID: 27223112
- The higher levels of IL-33 and its receptor ST2 in tissue and serum reflect an active inflammatory state and may represent a potential biomarker for disease activity. PMID: 26343805
- The genetic risk score for rs1041973 and rs16924161 demonstrated a higher risk for SPT positivity against B. tropicalis, the greater the number of risk alleles for both SNPs. Our findings demonstrate a robust association of genetic variants in IL1RL1 and IL33 SNPs with allergy markers and asthma. PMID: 28266165
- Increased sST2 and IL-10 but not IL-33 may be involved in the pathogenic process of IgAN. PMID: 27900334
- No significant differences in genotypic and allelic frequencies of thers13015714 in interleukin 1 receptor like 1 was observed between cases and controls and between mild/severe and early/late-onset Preeclampsia. PMID: 27023364
- IL-33 and ST2 are expressed in periapical granulomas and radicular cysts. PMID: 25677987
- An hyperexpression of soluble ST2 was found in Sjogren syndrome patients. PMID: 27097949
- ST2 is associated with advanced and metastatic disease in GC patients and significantly correlates with the duration of the disease. PMID: 26835712
- In patients with endometriosis, ST2 was positively associated with VAS score. PMID: 25069762
- rs1558641 was positively associated with atopic asthma in a Chinese population. PMID: 26493291
- two new polymorphisms in the distal promoter region of the ST2 gene that possibly influence susceptibility to severe coronary artery disease PMID: 20602249
- IL-33 and ST2 can be detected in lysates from both normal and pre-eclampsia placentas PMID: 21949719
- in an unselected cohort of patients admitted to the ICU, sST2 was an independent predictor of 90-day all-cause mortality PMID: 22155704
- The pro-T helper (Th)2 cell effects of mature IL-33 are due to differential utilization of the interleukin (IL)-33 receptor chain ST2, whereas their similar effects result from regulation of gene expression. PMID: 22634619
- Expression of IL-33 receptor ST2 in human adipose tissue is increased by severe obesity indicating an autocrine action. Thus, the adipose tissue microvasculature could participate in obesity-associated inflammation and related complications via IL-33/ST2. PMID: 22828942
- Elevated serum ST2 (and IL-33) were both associated with increased mortality in myocardial infarction patients. PMID: 22835988
- Serum soluble ST2 levels are increased in patients with pulmonary arterial hypertension. PMID: 23290950
- Soluble ST2 measurement provides diagnosis of stable heart failure in hypertensive patients. PMID: 23482076
- human cardiac and vascular cells have different distribution patterns of ST2 isoforms (sST2 and transmembrane ST2L) mRNA expression and produce different amounts of sST2 protein. PMID: 23567618
- A significant correlation was found between TNF-alpha and IL-33 mRNA expression in the asthmatic subjects. PMID: 23855553
- IL-33/sST2 may be involved in the pathogenesis of primary Sjogren's Syndrome (pSS) and partly contribute to the interstitial lung disease (ILD) in pSS patients. PMID: 23910012
- ST2 levels measured at the initiation of therapy for GVHD and during the first month after transplantation improved risk stratification for treatment-resistant GVHD and death without relapse after transplantation. PMID: 23924003
- Genetic variation in IL1RL1 can result in increased levels of ST2 and alter immune and inflammatory signaling through the ST2/IL-33 pathway. PMID: 23999434
- ST2 blood levels are higher in nonsurvivors than in surviving heart failure patients. PMID: 24239955
- Soluble ST2 serum levels improve long-term prediction in patients with renal insufficiency even more than in the total cohort. PMID: 24263122
- uPAR, IL-33, and ST2 values as a predictor of subclinical chorioamnionitis in preterm premature rupture of membranes. PMID: 24304137
- Serum ST2 levels were increased, and salivary gland expression was downregulated in patients with primary Sjogren's syndrome. PMID: 24385203
- increased sST2 was an independent predictor of long-term all-cause mortality PMID: 24401186
顯示更多
收起更多
-
亞細胞定位:[Isoform C]: Cell membrane.; [Isoform B]: Secreted.; Cell membrane; Single-pass type I membrane protein.
-
蛋白家族:Interleukin-1 receptor family
-
組織特異性:Highly expressed in kidney, lung, placenta, stomach, skeletal muscle, colon and small intestine. Isoform A is prevalently expressed in the lung, testis, placenta, stomach and colon. Isoform B is more abundant in the brain, kidney and the liver. Isoform C
-
數據庫鏈接:
Most popular with customers
-
-
YWHAB Recombinant Monoclonal Antibody
Applications: ELISA, WB, IHC, IF, FC
Species Reactivity: Human, Mouse, Rat
-
Phospho-YAP1 (S127) Recombinant Monoclonal Antibody
Applications: ELISA, WB, IHC
Species Reactivity: Human
-
-
-
-
-















