IL18RAP Antibody
-
中文名稱:IL18RAP兔多克隆抗體
-
貨號:CSB-PA011611ESR2HU
-
規格:¥440
-
圖片:
-
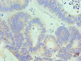
Immunohistochemistry of paraffin-embedded human colon cancer using CSB-PA011611ESR2HU at dilution of 1:100
-
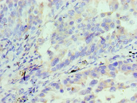
Immunohistochemistry of paraffin-embedded human lung cancer using CSB-PA011611ESR2HU at dilution of 1:100
-
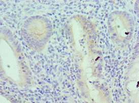
Immunohistochemistry of paraffin-embedded human epityphlon tissue using CSB-PA011611ESR2HU at dilution of 1:100
-
-
其他:
產品詳情
-
產品名稱:Rabbit anti-Homo sapiens (Human) IL18RAP Polyclonal antibody
-
Uniprot No.:
-
基因名:
-
別名:IL18RAP; IL1R7; Interleukin-18 receptor accessory protein; IL-18 receptor accessory protein; IL-18RAcP; Accessory protein-like; AcPL; CD218 antigen-like family member B; CDw218b; IL-1R accessory protein-like; IL-1RAcPL; Interleukin-1 receptor 7; IL-1R-7; IL-1R7; Interleukin-18 receptor accessory protein-like; Interleukin-18 receptor beta; IL-18R-beta; IL-18Rbeta; CD antigen CD218b
-
宿主:Rabbit
-
反應種屬:Human
-
免疫原:Recombinant Human Interleukin-18 receptor accessory protein (390-599AA)
-
免疫原種屬:Homo sapiens (Human)
-
標記方式:Non-conjugated
-
克隆類型:Polyclonal
-
抗體亞型:IgG
-
純化方式:Antigen Affinity Purified
-
濃度:It differs from different batches. Please contact us to confirm it.
-
保存緩沖液:PBS with 0.02% sodium azide, 50% glycerol, pH7.3.
-
產品提供形式:Liquid
-
應用范圍:ELISA, IHC
-
推薦稀釋比:
Application Recommended Dilution IHC 1:20-1:200 -
Protocols:
-
儲存條件:Upon receipt, store at -20°C or -80°C. Avoid repeated freeze.
-
貨期:Basically, we can dispatch the products out in 1-3 working days after receiving your orders. Delivery time maybe differs from different purchasing way or location, please kindly consult your local distributors for specific delivery time.
-
用途:For Research Use Only. Not for use in diagnostic or therapeutic procedures.
相關產品
靶點詳情
-
功能:Within the IL18 receptor complex, does not mediate IL18-binding, but involved in IL18-dependent signal transduction, leading to NF-kappa-B and JNK activation. May play a role in IL18-mediated IFNG synthesis from T-helper 1 (Th1) cells (Probable).
-
基因功能參考文獻:
- Polymorphisms in IL18RAP influence susceptibility to obesity. We demonstrated that the A allele in rs7559479 increases MIR136 binding, which regulates IL-18 system activity. PMID: 29146643
- An association of IL18RAP single nucleotide polymorphism rs2058660 with Behcet's disease, but not Vogt-Koyanagi-Harada disease in Han Chinese. PMID: 27775096
- These findings suggested that IL-18RAP rs917997, IL-32 rs2015620, IL-22 rs1179251, and interactions between these polymorphisms and H. pylori infection were associated with risks of gastric lesions PMID: 26358252
- some SNPs of ST2-IL18R1-IL18RAP gene cluster might increase the risk of susceptibility of Graves' disease (GD) and Hashimoto's thyroiditis (HT) in Chinese Han population. PMID: 26566691
- This meta-analysis provides robust estimates that IL18RAP rs917997 and chemokine (C-C motif) receptor 3 rs6441961 are potential risk factors for celiac disease in European populations. PMID: 26289103
- results demonstrate clear functional consequences of the rs917997 risk polymorphism; this polymorphism leads to a loss-of-function through decreased IL-18RAP, IL-18R1, and IL-1R1 protein expression, which impairs autocrine IL-18 and IL-1 signaling PMID: 24842757
- The SNP modified IL18RAP surface protein expression by NK cells. PMID: 23891168
- Data indicate that MyD88 works together with the IL-1/IL-18 receptors, can interact with two distinct sorting adaptors, TRAM and Mal, in a conserved manner. PMID: 22685567
- Data suggest that IL-18RAP and IL-18R1 single-nucleotide polymorphisms identify African-American infants at risk for bronchopulmonary dysplasia. PMID: 22289858
- IL-18, IL-18 receptor alpha, and CD48 complex formation via glycosylphosphatidylinositol anchor glycan triggers binding to IL-18 receptor beta, and thereby induces intracellular signal transduction and IFN-gamma production. PMID: 15760905
- Truncated forms of IL-18RAP may be involved in the complex mechanism of IL-18 activity regulation. PMID: 17897836
- Variations in IL18RAP is associated with celiac disease PMID: 18311140
- CARD9 and IL18RAP are IBD loci important in innate immunity in the predisposition to both CD and UC. PMID: 18439550
- study provides suggestive evidence for associations of SNPs in the IL1RL1 gene and adjacently located family members IL18R1 and IL18RAP with asthma and atopy in 2 independent Dutch asthma populations PMID: 18774397
- IL18RAP is a novel predisposing gene for coeliac disease. PMID: 19103669
- Our analysis suggests that the variability of IL18RAP genes is unlikely to contribute to modulate the risk of cardiovascular disease PMID: 19473509
- Investigated the regions 2q12 (IL18RAP) and 3p21 (CCR3)in regards to celiac disease risk in the Spanish population.Two SNPs, rs917997 (2q12) and rs6441961 (3p21), were genotyped; Assoc'n was found w/rs6441961, a non-sign. result was obtained for rs917997. PMID: 19542083
- The mechanism of the impaired natural killer cell function in systemic-onset juvenile idiopathic arthritis involves a defect in IL-18Rbeta phosphorylation. PMID: 19714583
顯示更多
收起更多
-
亞細胞定位:Cell membrane; Single-pass type I membrane protein.
-
蛋白家族:Interleukin-1 receptor family
-
組織特異性:Detected in adrenal gland, bone marrow, brain, fetal brain, fetal liver, heart, kidney, lung, liver, peripheral blood leukocytes, placenta, prostate, salivary gland, skeletal muscle, spinal cord, testis, thymus, thyroid, trachea and uterus. Strongly expre
-
數據庫鏈接:
Most popular with customers
-
-
YWHAB Recombinant Monoclonal Antibody
Applications: ELISA, WB, IHC, IF, FC
Species Reactivity: Human, Mouse, Rat
-
Phospho-YAP1 (S127) Recombinant Monoclonal Antibody
Applications: ELISA, WB, IHC
Species Reactivity: Human
-
-
-
-
-















