IL17F Antibody
-
中文名稱:IL17F兔多克隆抗體
-
貨號:CSB-PA842733LA01HU
-
規格:¥440
-
圖片:
-
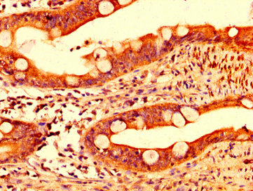
IHC image of CSB-PA842733LA01HU diluted at 1:500 and staining in paraffin-embedded human small intestine tissue performed on a Leica BondTM system. After dewaxing and hydration, antigen retrieval was mediated by high pressure in a citrate buffer (pH 6.0). Section was blocked with 10% normal goat serum 30min at RT. Then primary antibody (1% BSA) was incubated at 4°C overnight. The primary is detected by a biotinylated secondary antibody and visualized using an HRP conjugated SP system.
-
-
其他:
產品詳情
-
產品名稱:Rabbit anti-Homo sapiens (Human) IL17F Polyclonal antibody
-
Uniprot No.:
-
基因名:
-
別名:CANDF6 antibody; Cytokine ML 1 antibody; Cytokine ML-1 antibody; IL 17F antibody; IL 24 antibody; IL-17F antibody; IL-24 antibody; Il17f antibody; IL17F_HUMAN antibody; Interleukin 17F antibody; Interleukin 24 antibody; Interleukin-17F antibody; Interleukin-24 antibody; ML 1 antibody; ML1 antibody; Mutant IL 17F antibody; OTTHUMP00000016602 antibody
-
宿主:Rabbit
-
反應種屬:Human
-
免疫原:Recombinant Human Interleukin-17F protein (31-163AA)
-
免疫原種屬:Homo sapiens (Human)
-
標記方式:Non-conjugated
本頁面中的產品,IL17F Antibody (CSB-PA842733LA01HU),的標記方式是Non-conjugated。對于IL17F Antibody,我們還提供其他標記。見下表:
-
克隆類型:Polyclonal
-
抗體亞型:IgG
-
純化方式:>95%, Protein G purified
-
濃度:It differs from different batches. Please contact us to confirm it.
-
保存緩沖液:Preservative: 0.03% Proclin 300
Constituents: 50% Glycerol, 0.01M PBS, pH 7.4 -
產品提供形式:Liquid
-
應用范圍:ELISA, IHC
-
推薦稀釋比:
Application Recommended Dilution IHC 1:500-1:1000 -
Protocols:
-
儲存條件:Upon receipt, store at -20°C or -80°C. Avoid repeated freeze.
-
貨期:Basically, we can dispatch the products out in 1-3 working days after receiving your orders. Delivery time maybe differs from different purchasing way or location, please kindly consult your local distributors for specific delivery time.
-
用途:For Research Use Only. Not for use in diagnostic or therapeutic procedures.
相關產品
靶點詳情
-
功能:Effector cytokine of innate and adaptive immune system involved in antimicrobial host defense and maintenance of tissue integrity. IL17A-IL17F signals via IL17RA-IL17RC heterodimeric receptor complex, triggering homotypic interaction of IL17RA and IL17RC chains with TRAF3IP2 adapter through SEFIR domains. This leads to downstream TRAF6-mediated activation of NF-kappa-B and MAPkinase pathways ultimately resulting in transcriptional activation of cytokines, chemokines, antimicrobial peptides and matrix metalloproteinases, with potential strong immune inflammation. IL17A-IL17F is primarily involved in host defense against extracellular bacteria and fungi by inducing neutrophilic inflammation. As signature effector cytokine of T-helper 17 cells (Th17), primarily induces neutrophil activation and recruitment at infection and inflammatory sites. Stimulates the production of antimicrobial beta-defensins DEFB1, DEFB103A, and DEFB104A by mucosal epithelial cells, limiting the entry of microbes through the epithelial barriers. IL17F homodimer can signal via IL17RC homodimeric receptor complex, triggering downstream activation of TRAF6 and NF-kappa-B signaling pathway. Via IL17RC induces transcriptional activation of IL33, a potent cytokine that stimulates group 2 innate lymphoid cells and adaptive T-helper 2 cells involved in pulmonary allergic response to fungi. Likely via IL17RC, promotes sympathetic innervation of peripheral organs by coordinating the communication between gamma-delta T cells and parenchymal cells. Stimulates sympathetic innervation of thermogenic adipose tissue by driving TGFB1 expression. Regulates the composition of intestinal microbiota and immune tolerance by inducing antimicrobial proteins that specifically control the growth of commensal Firmicutes and Bacteroidetes.
-
基因功能參考文獻:
- the results suggest that IL17F genetic polymorphism is not associated with the development of rheumatic heart disease in South Indian population PMID: 29985710
- The expression of IL-6 gene and protein was significantly induced by IL-17F. IL-17F activated TAK1 and NF-kappaB in airway smooth muscle cells. PMID: 28474507
- IL-17FA7488G polymorphism was not significantly associated with colorectal cancer risk PMID: 29970680
- a dietary pattern reflecting inflammation was significantly associated with colorectal cancer risk and this association could be modified according to the IL-17F rs763780 genotype and anatomic site. PMID: 29874787
- Malignant T cells activate endothelial cells via IL-17 F. PMID: 28731459
- The AA genotype on 7489A/G single nucleotide polymorphism of IL-17F and the A allele might be associated with a lower risk of acute rejection with better graft survival in kidney transplant recipients. PMID: 29407292
- Findings suggest that IL-17F rs1889570 gene polymorphisms are significantly associated with the susceptibility to severe EV71 infection in Chinese Han children. PMID: 29549443
- P-TEFb is involved in IL-17F-induced IL-8 expression and that steroids diminish it via the inhibition of CDK9 phosphorylation. PMID: 29649811
- The IL-17F (+7488A/G) genotype revealed a significantly increased risk of accelerated silicosis. The IL-17F (+7488 G) allele was associated with an increased risk of accelerated silicosis. PMID: 28481151
- developed ultrasensitive methods for measuring IL-17A and IL-17F in human serum samples and found that serum from psoriasis patients had higher and a broader range of concentrations of both IL-17 proteins compared to healthy volunteers PMID: 28534291
- SNPs of rs3819024 in IL-17A and rs763780 in IL-17F were weakly related to a prognosis of tuberculosis. PMID: 27339100
- IL17F (rs2397084) and IL10 (rs1800871) genes are associated with functional dyspepsia. PMID: 28965252
- a mutation in IL-17F is associated with susceptibility to recurrent aphthous stomatitis PMID: 29458167
- the G allele at rs763780 (IL-17F) was significantly associated with Takayasu Arteritis in Asian Indian population PMID: 28438554
- levels of mRNA IL-17F and IL17F might be useful parameters for the diagnosis of atopic asthma patient PMID: 28606156
- IL-17F rs763780 polymorphisms may be associated with the development of primary immune thrombocytopenia in a Chinese Han population. PMID: 26620416
- In this study, IL-17F was demonstrated to have functions comparable to IL-17A in human keratinocytes. PMID: 27576147
- Serum IL-17F predicted increased knee bone marrow lesion scores in females only among patients with knee osteoarthritis. PMID: 27836676
- IL-17A and IL-17F polymorphisms therefore have the potential to act as predictive biomarkers for cervical cancer risk PMID: 28621613
- The results suggest the possible involvement of the polymorphisms of IL17A G197A (rs2275913) and IL17F T7488C (rs763780) in the susceptibility to chronic Chagas disease and in development and progression of cardiomyopathy. PMID: 28470012
- our study provides an inclusive meta-analysis of the function of IL-17A rs2275913 and IL-17F rs763780 genetic variations in inflammatory diseases risk. The results indicated that these two genetic variations of IL-17A and IL-17F were risk factors for inflammatory diseases, particularly RA. PMID: 28186427
- This meta-analysis with seven articles in 697 patients diagnosed with chronic periodontitis , 188 patients diagnosed with aggressive periodontitis and 655 control patients totaling 1540 participants showed a non-significant association between the rs2275913 polymorphism in the IL-17A gene and the rs763780 polymorphism in the IL-17F gene with the risk of chronic periodontitis, or with aggressive periodontitis PMID: 29027636
- our study provides the evidence that functional IL-23R rs1884444 G/T and IL-17F rs763780 A/G polymorphisms may be a new genetic susceptibility factor to SLE, especially in the Polish population. PMID: 27320770
- IL23R rs10889677 and IL17A rs2275913 were not associated with the susceptibility to Necrotizing enterocolitis (NEC). In conclusion, data suggest that a variant of IL17F (rs763780) may contribute to the development of NEC. PMID: 28224332
- Our results confirmed IL17A and IL17F as potential candidate genes involved in RA. They play pivoting roles in the susceptibility and in clinical features of RA disease. Responses to RA treatments are differently conditioned by polymorphisms in IL17A and IL17F genes. PMID: 28143790
- IL17A and IL17F gene polymorphism are not the important factors associated with susceptibility and some clinical parameters of rheumatoid arthritis in a Polish population. PMID: 27169372
- we aimed to investigate the associations between the 7383A/G and 7488A/G polymorphisms of the interleukin (IL)-17F gene with disease activity and clinical outcomes in Turkish patients with ankylosing spondylitis PMID: 27155445
- Using an in-vitro migration assay, B cells were shown to migrate towards both IL-17A and IL-17F. These observations indicate a direct chemotactic effect of IL-17 cytokines on primary peripheral blood B cells with higher effect being on asthmatic B cells. PMID: 25494178
- IL-17-related cytokines expression was amplified in bronchial/nasal mucosa of neutrophilic asthma prone to exacerbation, suggesting a pathogenic role of IL-17F in frequent exacerbators. PMID: 27931975
- IL-17A (-197G/A) and IL-17F (7488T/C) SNPs were not associated with susceptibility to rheumatoid arthritis or secondary Sjogrens syndrome (sSS, p > 0.05 for both SNPs). In addition, they did not influence RA activity or clinical markers of SS. PMID: 26232893
- It can be stated that the IL17A and IL17F polymorphisms are not markers of susceptibility to psoriasis. However, the IL17F polymorphism may affect the response to NB-UVB therapy. PMID: 27591988
- Elevated aAbs against IL-17F correlate with disease activity in patients with early rheumatoid arthritis. PMID: 26087054
- Study provides evidence that polymorphisms of both IL-17A and IL-17F may increase lung cancer risk in Chinese population. PMID: 26073462
- this study shows that Korean patients with psoriasis show a strong association for IL17F single nucleotide polymorphism PMID: 27774581
- we analyzed the association of three polymorphism loci (rs2275913, 197 G/A; rs3748067, 383 A/G; and rs763780, 7488 T/C) of IL-17A and IL-17F with laryngeal cancer. Allele and genotype frequencies of IL-17A rs2275913 were significantly different between patients and controls with rs2275913 (197 G/A) AA and GA+AA genotypes compared to the GG genotype significantly higher in patients. PMID: 28362993
- These findings identify a novel biological function for IL-17A/F as an indirect angiogenic agent. PMID: 27594509
- IL-17F was correlated with increased autoantibody levels and disease activity in primary Sjogren's syndrome and is more clinically relevant than IL-17A. PMID: 28210632
- No relationship between IL17F rs763780 and rs9463772 polymorphisms and Henoch-Schonlein purpura susceptibility. PMID: 27021337
- Single nucleotide polymorphisms in IL-17F A7488G but not IL-17A are associated with the development of chronic immune thrombocytopenia in China. PMID: 27312555
- Study represents a comprehensive meta-analysis of the role of IL-17A rs2275913 and IL-17F rs763780 polymorphisms in cancer risk and demonstrated that these two polymorphisms significantly increase the risk of development of cancer, particularly gastric cancer. PMID: 26843459
- Levels of IL-17FF were significantly higher in rheumatoid arthritis sera and showed a trend of increase in relapsing remitting multiple sclerosis, as compared with normal healthy subjects. PMID: 27620302
- Polymorphism of IL-17 rs3748067 and rs763780 is closely associated with gastric cancer development. Polymorphism of L-17 rs2275913 and rs4711998 may be correlated with the risk for gastric cancer. PMID: 27097946
- ELISA analysis verified high levels of Th17-associated proinflammatory cytokines such as interleukin-17A/F, interleukin-6 and interleukin-23 and low levels of inflammatory inhibitory factors including interleukin-10 and transforming growth factor-beta in primary immune thrombocytopenia patients compared with normal controls. PMID: 26484642
- The GGAGAA combined genotype and the GGA haplotype of IL-17A rs2275913, IL-17F rs763780 and rs2397084 can be considered risk factors for the development of systemic lupus erythematosus in Egyptian children. PMID: 26515887
- GA genotype of the rs11465553 IL17F gene polymorphism may be associated with a significantly higher risk of graft function loss and return to dialysis after kidney transplantation. PMID: 26447633
- No associations were found between rs8193036, rs2275913 and rs3748067 in IL-17A and rs763780 in IL-17F SNPs and myasthenia gravis in Chinese patients PMID: 26337284
- No evidence of the association was observed between rs3748067, rs3819025, rs763780, rs9382084, and rs1266828 polymorphisms and the risk of cervical cancer. PMID: 26505366
- higher expression level in chronic lymphocytic leukemia patients PMID: 26478573
- In vitro, CSE stimulation significantly increased IL-17F and IL-17R in 16HBE (2.5%) and A549 (5%) while IL-17A and IL-17F in PBMC (10%). IL-17A and CSE stimulation, rather than CSE or rhIL-17A alone, increased proliferation in 16HBE and apoptosis in A549 PMID: 26198032
- A G/G genotype of rs766748 in IL-17F, and a C/C or C/A genotype of rs1883136 in TRAF3IP2. PMID: 26558270
顯示更多
收起更多
-
相關疾病:Candidiasis, familial, 6 (CANDF6)
-
亞細胞定位:Secreted.
-
蛋白家族:IL-17 family
-
組織特異性:Expressed in T-helper 1 and T-helper 2 cells, basophils and mast cells.
-
數據庫鏈接:
Most popular with customers
-
-
YWHAB Recombinant Monoclonal Antibody
Applications: ELISA, WB, IHC, IF, FC
Species Reactivity: Human, Mouse, Rat
-
Phospho-YAP1 (S127) Recombinant Monoclonal Antibody
Applications: ELISA, WB, IHC
Species Reactivity: Human
-
-
-
-
-















