IGFBP7 Antibody
-
中文名稱:IGFBP7兔多克隆抗體
-
貨號:CSB-PA082992
-
規格:¥1100
-
圖片:
-
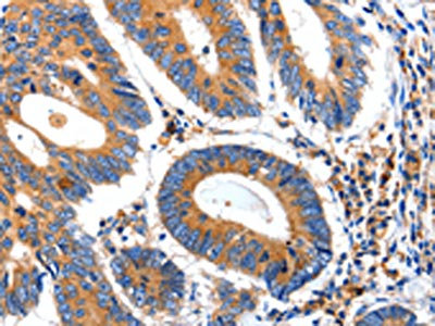
The image on the left is immunohistochemistry of paraffin-embedded Human colon cancer tissue using CSB-PA082992(IGFBP7 Antibody) at dilution 1/50, on the right is treated with synthetic peptide. (Original magnification: ×200)
-
The image on the left is immunohistochemistry of paraffin-embedded Human ovarian cancer tissue using CSB-PA082992(IGFBP7 Antibody) at dilution 1/50, on the right is treated with synthetic peptide. (Original magnification: ×200)
-
-
其他:
產品詳情
-
Uniprot No.:
-
基因名:
-
別名:AGM antibody; Angiomodulin antibody; FSTL2 antibody; IBP-7 antibody; IBP7 antibody; IBP7_HUMAN antibody; IGF binding protein 7 antibody; IGF-binding protein 7 antibody; IGFBP rP1 antibody; IGFBP-7 antibody; IGFBP-rP1 antibody; IGFBP7 antibody; IGFBPRP1 antibody; Insulin like growth factor binding protein 7 antibody; Insulin-like growth factor-binding protein 7 antibody; MAC25 antibody; MAC25 protein antibody; PGI2 stimulating factor antibody; PGI2-stimulating factor antibody; Prostacyclin stimulating factor antibody; Prostacyclin-stimulating factor antibody; PSF antibody; RAMSVPS antibody; TAF antibody; Tumor-derived adhesion factor antibody
-
宿主:Rabbit
-
反應種屬:Human,Mouse
-
免疫原:Synthetic peptide of Human IGFBP7
-
免疫原種屬:Homo sapiens (Human)
-
標記方式:Non-conjugated
-
抗體亞型:IgG
-
純化方式:Antigen affinity purification
-
濃度:It differs from different batches. Please contact us to confirm it.
-
保存緩沖液:-20°C, pH7.4 PBS, 0.05% NaN3, 40% Glycerol
-
產品提供形式:Liquid
-
應用范圍:ELISA,IHC
-
推薦稀釋比:
Application Recommended Dilution ELISA 1:1000-1:5000 IHC 1:50-1:200 -
Protocols:
-
儲存條件:Upon receipt, store at -20°C or -80°C. Avoid repeated freeze.
-
貨期:Basically, we can dispatch the products out in 1-3 working days after receiving your orders. Delivery time maybe differs from different purchasing way or location, please kindly consult your local distributors for specific delivery time.
-
用途:For Research Use Only. Not for use in diagnostic or therapeutic procedures.
相關產品
靶點詳情
-
功能:Binds IGF-I and IGF-II with a relatively low affinity. Stimulates prostacyclin (PGI2) production. Stimulates cell adhesion.
-
基因功能參考文獻:
- Placenta and appetite genes GDF15 and IGFBP7 are associated with hyperemesis gravidarum. PMID: 29563502
- IGFBP7 upregulation promotes osteogenic differentiation of mesenchymal stem cells via the Wnt/beta-catenin signaling. PMID: 29242275
- Low IGFBP7 expression is associated with Gastric Cancer. PMID: 29580038
- Reduced RNA editing of IGFBP7 gene is associated with psoriasis. PMID: 29592874
- Urine levels of IGFBP7 (and TIMP2) are predictive for acute kidney injury following cardiac surgical procedures. PMID: 28803769
- IGFBPrP1 transfection inhibited cell growth, and induced G1 phase arrest and cellular senescence in HEC1A cells while gene silencing presented the adverse functional changes. PMID: 29067463
- Serum IGFBP7 levels were raised during acute exacerbation in COPD patients. PMID: 28684903
- biomarker for acute kidney injury PMID: 27174659
- epithelial cells and leukocytes from the urinary sediment. CONCLUSION: The gene expression pattern of IGFBP7 and TIMP-2 from urinary sediment, which contains desquamated renal tubular epithelial cells, did not correlate with [IGFBP7]x[TIMP-2] protein, indicating that IGFBP7 and TIMP-2 measured in the NephroCheck(R) test originated predominantly from intact but stressed cells of the kidney itself PMID: 29145491
- In patients with heart failure with preserved ejection fraction, IGFBP7 may be a novel biomarker of diastolic function and exercise capacity. PMID: 27744089
- High IGFBP7 expression is associated with acute kidney injury. PMID: 27342580
- NEAT1-associated paraspeckle proteins P54nrb and PSF have been reported as positive regulators of c-Myc translation through interaction with c-Myc IRES PMID: 28288210
- Urine [TIMP-2]*[IGFBP7] is a promising candidate for early detection of AKI, especially in ruling-out AKI PMID: 28107490
- Meta-analysis indicated that urinary [TIMP-2].[IGFBP7] may be a reliable biomarker for the early detection of acute kidney injury in adults. PMID: 28682920
- TIMP-2 is both expressed and secreted preferentially by cells of distal tubule origin, while IGFBP7 is equally expressed across tubule cell types yet preferentially secreted by cells of proximal tubule origin. In human kidney tissue, strong staining of IGFBP7 was seen in the luminal brush-border region of a subset of proximal tubule cells, and TIMP-2 stained intracellularly in distal tubules. PMID: 28003188
- loss of IGFBP7 and upregulation of IGF1 activates the FGF4-FGFR1-ETS2 pathway in Tumor-associated endothelial cells (TECs) and converts naive tumor cells to chemoresistant tumor stem-like cells (TSCs), thereby facilitating their invasiveness and progression. PMID: 27989801
- Data report that IGFBP7 is a novel target gene of ADAR2 in esophageal squamous cell carcinoma where its RNA is edited and protein stabilized by ADAR2. PMID: 28035363
- quantitative urine test is available to assess the risk of developing AKI by measuring the concentrations of two protein biomarkers, TIMP-2 and IGFBP-7 PMID: 26797672
- Insulin-like growth factor binding protein 7 (IGFBP7) was proven to be associated with metastatic clinicopathological features and high lymphatic vascular density PMID: 26706909
- This process not only provides a remarkable high expression at ~50mg/L and pure glycosylated mammalian rhIGFBP7, also highlights that transient gene expression technology is practical to be used for production PMID: 26474694
- data suggest that TGF-beta1 enhances IGFBP7 via Smad2/4 pathways, and that IGFBP7 might be involved in the TGF-beta1-induced tubular injury in DN. PMID: 26974954
- This study shows that urinary [TIMP-2]*[IGFBP7] has a good diagnostic performance in predicting adverse outcomes in neonatal and pediatric AKI of heterogeneous etiology. PMID: 26606754
- low expression in breast cancer tissue PMID: 26387651
- serum IGFBP7 levels are associated with IR and MetS, providing new insight into the mechanism of IR and Mets. IGFBP7 may be a potential interventional target for IR and Mets. PMID: 25984973
- IGFBP-7 can alter EMT relative marker genes and suppress cell invasion in A253 cell through AKT/GSK3beta/beta-catenin signaling. PMID: 25880247
- IGFBP7 down-regulation is associated with poor prognosis in glioma, and this molecule may represent both a prognostic marker and a potential therapeutic target. PMID: 24743871
- Our data indicate that IGFBP7 expression is a marker for a specific methylation pattern in myeloma PMID: 25887188
- The low levels of IGFBP7 in high-grade serous ovarian carcinoma are associated with survival rate. PMID: 25886299
- Overexpression of IGFBP7 was associated with tumour progression and poor survival in gastric cancer. IGFBP7 may play a role in tumour progression in gastric cancer. PMID: 26043748
- we demonstrated that IGFBP-rP1 suppresses EMT and tumor metastasis by repressing TGF-b-mediated EMT through the Smad signaling cascade. PMID: 25789970
- IGFBP7 in urine was identified as a reliable marker of cell cycle arrest induction in acute kidney injury. PMID: 23388612
- The decline in urinary TIMP-2 and IGFBP7 values was the strongest predictor for renal recovery following cardiac surgery. PMID: 24675717
- in contrast to its tumor-suppressor function in epithelial cells, IGFPB7 can promote anchorage-independent growth in malignant mesenchymal cells and in epithelial cells with an EMT phenotype when IGFBP7 is expressed by the tumor cells PMID: 24632618
- These results suggest that AGM cooperates with VEGF to induce the aberrant functions of cancer vasculature as a ligand of integrin alpha5beta3. PMID: 24737780
- AML patients with high IGFBP7 expression have a better outcome than patients with low IGFBP7 expression, indicating a positive role for IGFBP7 in treatment and outcome of AML. PMID: 24967962
- Data indicate that insulin-like growth factor binding protein 7 (IGFBP7) was downregulated in gastric cancer, and its low expression was potentially correlated with increased cell proliferation and could be used to predicate poor prognosis in patients. PMID: 24894674
- as urinary marker, discriminated between early and late/non-recovery patients and patients with and without acute kidney injury PMID: 24067438
- IGFBP-rP1 contributes to the development of liver fibrosis and may be a novel molecule involved in the progression of hepatic fibrogenesis. PMID: 24373620
- High expression of IGFBP7 in fibroblasts induced by colorectal cancer cells is co-regulated by TGF-beta and Wnt signaling in a Smad2/3-Dvl2/3-dependent manner. PMID: 24427302
- These data suggest that IGFBP7 is a critical regulator of memory consolidation and might be used as a biomarker for AD. PMID: 24075854
- Methylation of the IGFBP7 promoter was associated with silencing of gene expression and was frequent in Barrett's oesophagus and oesophageal adenocarcinoma PMID: 24357797
- Perfomed proteomic analysis on a transgenic mouse model of severe cardiac hypertrophy; compared data to dataset of heart failure found MYH7, IGFBP7, ANXA2, and DESM to be biomarker candidates for heart failure. PMID: 23713052
- Report A-to-I editing in the coding sequence of IGFBP7 in cancerous human keratinocytes. PMID: 23543219
- hypomethylation of LINE-1 and hypermethylation of SLIT2, MAL and IGFBP7 were frequently detected in NSCLCs and associated with various clinical features. PMID: 23381221
- Results indicate that restoration of IGFBP-rP1 to PC-3 cells increases both their radiosensitivity and chemosensitivity. PMID: 23600329
- Low expression of IGFBP7 is associated with pancreatic ductal adenocarcinoma. PMID: 22622471
- Hyperinsulinemia and high IGFBP-rP1 levels confer altered risks for endometrial carcinoma. PMID: 22544761
- Results demonstrate that CpG methylation of IGFBP7 may represent a novel biomarker of prostate cancer and pre-invasive neoplasms PMID: 22906661
- editing of IGFBP7 transcripts impacts the protein's susceptibility to proteolytic cleavage, thus providing a means for a cell to modulate its functionality through A-to-I RNA editing PMID: 22750143
- Transfection of IGFBP-rP1 or addition of condition medium (CM) from IGFBP-rP1-transfected cells in MCF-7 cells caused induction of a variety of senescent phenotypes. PMID: 22392074
顯示更多
收起更多
-
相關疾病:Retinal arterial macroaneurysm with supravalvular pulmonic stenosis (RAMSVPS)
-
亞細胞定位:Secreted.
-
數據庫鏈接:
Most popular with customers
-
-
YWHAB Recombinant Monoclonal Antibody
Applications: ELISA, WB, IHC, IF, FC
Species Reactivity: Human, Mouse, Rat
-
Phospho-YAP1 (S127) Recombinant Monoclonal Antibody
Applications: ELISA, WB, IHC
Species Reactivity: Human
-
-
-
-
-















