IFT172 Antibody
-
中文名稱:IFT172兔多克隆抗體
-
貨號:CSB-PA887019LA01HU
-
規格:¥440
-
圖片:
-
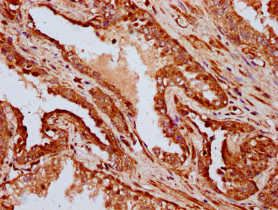
IHC image of CSB-PA887019LA01HU diluted at 1:400 and staining in paraffin-embedded human prostate cancer performed on a Leica BondTM system. After dewaxing and hydration, antigen retrieval was mediated by high pressure in a citrate buffer (pH 6.0). Section was blocked with 10% normal goat serum 30min at RT. Then primary antibody (1% BSA) was incubated at 4°C overnight. The primary is detected by a biotinylated secondary antibody and visualized using an HRP conjugated SP system.
-
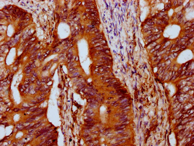
IHC image of CSB-PA887019LA01HU diluted at 1:400 and staining in paraffin-embedded human colon cancer performed on a Leica BondTM system. After dewaxing and hydration, antigen retrieval was mediated by high pressure in a citrate buffer (pH 6.0). Section was blocked with 10% normal goat serum 30min at RT. Then primary antibody (1% BSA) was incubated at 4°C overnight. The primary is detected by a biotinylated secondary antibody and visualized using an HRP conjugated SP system.
-
Immunofluorescence staining of A549 cells with CSB-PA887019LA01HU at 1:133, counter-stained with DAPI. The cells were fixed in 4% formaldehyde, permeabilized using 0.2% Triton X-100 and blocked in 10% normal Goat Serum. The cells were then incubated with the antibody overnight at 4°C. The secondary antibody was Alexa Fluor 488-congugated AffiniPure Goat Anti-Rabbit IgG(H+L).
-
-
其他:
產品詳情
-
產品名稱:Rabbit anti-Homo sapiens (Human) IFT172 Polyclonal antibody
-
Uniprot No.:
-
基因名:IFT172
-
別名:IF172_HUMAN antibody; ift172 antibody; Intraflagellar transport 172 homolog (Chlamydomonas) antibody; Intraflagellar transport protein 172 homolog antibody; Osm 1 antibody; Selective LIM binding factor homolog antibody; SLB antibody; Wim antibody; Wimple homolog antibody
-
宿主:Rabbit
-
反應種屬:Human
-
免疫原:Recombinant Human Intraflagellar transport protein 172 homolog protein (1368-1502AA)
-
免疫原種屬:Homo sapiens (Human)
-
標記方式:Non-conjugated
本頁面中的產品,IFT172 Antibody (CSB-PA887019LA01HU),的標記方式是Non-conjugated。對于IFT172 Antibody,我們還提供其他標記。見下表:
-
克隆類型:Polyclonal
-
抗體亞型:IgG
-
純化方式:>95%, Protein G purified
-
濃度:It differs from different batches. Please contact us to confirm it.
-
保存緩沖液:Preservative: 0.03% Proclin 300
Constituents: 50% Glycerol, 0.01M PBS, pH 7.4 -
產品提供形式:Liquid
-
應用范圍:ELISA, IHC, IF
-
推薦稀釋比:
Application Recommended Dilution IHC 1:200-1:500 IF 1:50-1:200 -
Protocols:
-
儲存條件:Upon receipt, store at -20°C or -80°C. Avoid repeated freeze.
-
貨期:Basically, we can dispatch the products out in 1-3 working days after receiving your orders. Delivery time maybe differs from different purchasing way or location, please kindly consult your local distributors for specific delivery time.
-
用途:For Research Use Only. Not for use in diagnostic or therapeutic procedures.
相關產品
靶點詳情
-
功能:Required for the maintenance and formation of cilia. Plays an indirect role in hedgehog (Hh) signaling, cilia being required for all activity of the hedgehog pathway.
-
基因功能參考文獻:
- This is the second report of IFT172 mutations in BBS patients validating IFT172 as the twentieth BBS gene (BBS20). PMID: 26763875
- Findings identified mutations in IFT172 that lead to a recessive form of non-syndromic retinitis pigmentosa and Bardet-Biedl syndrome and suggest that the primary IFT172 mutations alone are not sufficient to explain the wide range of phenotypes. PMID: 25168386
- We have identified defects in IFT172 as a cause of complex asphyxiating thoracic dystrophy and Mainzer-Saldino syndrome. PMID: 24140113
-
相關疾?。?/div>Short-rib thoracic dysplasia 10 with or without polydactyly (SRTD10); Retinitis pigmentosa 71 (RP71)亞細胞定位:Cell projection, cilium. Note=Localized to the axoneme and around the base of the cilium.蛋白家族:IFT172 family數據庫鏈接:
Most popular with customers
-
-
YWHAB Recombinant Monoclonal Antibody
Applications: ELISA, WB, IHC, IF, FC
Species Reactivity: Human, Mouse, Rat
-
Phospho-YAP1 (S127) Recombinant Monoclonal Antibody
Applications: ELISA, WB, IHC
Species Reactivity: Human
-
-
-
-
-















