-
中文名稱:IFIT3兔多克隆抗體
-
貨號:CSB-PA011022HA01HU
-
規格:¥440
-
圖片:
-
Western Blot
Positive WB detected in: A549 whole cell lysate
All lanes: IFIT3 antibody at 3.3µg/ml
Secondary
Goat polyclonal to rabbit IgG at 1/50000 dilution
Predicted band size: 56 kDa
Observed band size: 56 kDa -
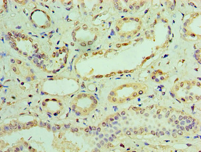
Immunohistochemistry of paraffin-embedded human kidney tissue using CSB-PA011022HA01HU at dilution of 1:100
-
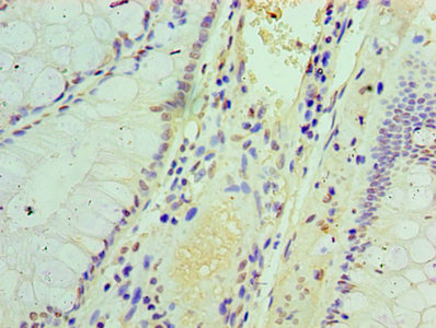
Immunohistochemistry of paraffin-embedded human colon cancer using CSB-PA011022HA01HU at dilution of 1:100
-
Immunofluorescent analysis of HepG2 cells using CSB-PA011022HA01HU at dilution of 1:100 and Alexa Fluor 488-congugated AffiniPure Goat Anti-Rabbit IgG(H+L)
-
Immunoprecipitating IFIT3 in HepG2 whole cell lysate
Lane 1: Rabbit control IgG (1µg) instead of CSB-PA011022HA01HU in HepG2 whole cell lysate. For western blotting, a HRP-conjugated Protein G antibody was used as the secondary antibody (1/2000)
Lane 2: CSB-PA011022HA01HU (6µg) + HepG2 whole cell lysate (500µg)
Lane 3: HepG2 whole cell lysate (10µg)
-
-
其他:
產品詳情
-
產品描述:
To prepare the IFIT3 polyclonal antibody, a rabbit was inoculated with recombinant human 5-hydroxytryptamine receptor 1E protein (203-291aa). Antibodies were extracted from the rabbit serum and then subjected to protein G affinity chromatography purification, resulting in a highly pure antibody with over 95% purity. High purity ensures minimal impurities in this antibody and guarantees its excellent quality.
This IFIT3 polyclonal antibody can effectively recognize and bind to IFIT3 protein from human samples. Its use has been validated in various experimental settings, including ELISA, WB, IHC, IF, and IP. Researchers can employ this antibody to quantitatively or qualitatively measure IFIT3 protein, identify its presence and size, analyze its distribution, and isolate IFIT3 from a mixture solution.
-
產品名稱:Rabbit anti-Homo sapiens (Human) IFIT3 Polyclonal antibody
-
Uniprot No.:
-
基因名:IFIT3
-
別名:CIG 49 antibody; CIG49 antibody; GARG 49 antibody; IFI-60K antibody; IFI60 antibody; IFI60K antibody; IFIT-3 antibody; IFIT-4 antibody; Ifit3 antibody; IFIT3_HUMAN antibody; IFIT4 antibody; Interferon induced 60 kDa protein antibody; Interferon induced protein 60 antibody; Interferon induced protein with tetratricopeptide repeats 3 antibody; Interferon-induced 60 kDa protein antibody; Interferon-induced protein with tetratricopeptide repeats 3 antibody; Interferon-induced protein with tetratricopeptide repeats 4 antibody; IRG2 antibody; ISG-60 antibody; ISG60 antibody; P60 antibody; Retinoic acid induced gene G protein antibody; Retinoic acid-induced gene G protein antibody; RIG G antibody; RIG-G antibody; RIGG antibody; RP11-149I23.4 antibody
-
宿主:Rabbit
-
反應種屬:Human
-
免疫原:Recombinant Human Interferon-induced protein with tetratricopeptide repeats 3 protein (1-490AA)
-
免疫原種屬:Homo sapiens (Human)
-
標記方式:Non-conjugated
本頁面中的產品,IFIT3 Antibody (CSB-PA011022HA01HU),的標記方式是Non-conjugated。對于IFIT3 Antibody,我們還提供其他標記。見下表:
-
克隆類型:Polyclonal
-
抗體亞型:IgG
-
純化方式:>95%, Protein G purified
-
濃度:It differs from different batches. Please contact us to confirm it.
-
保存緩沖液:Preservative: 0.03% Proclin 300
Constituents: 50% Glycerol, 0.01M PBS, PH 7.4 -
產品提供形式:Liquid
-
應用范圍:ELISA, WB, IHC, IF, IP
-
推薦稀釋比:
Application Recommended Dilution WB 1:1000-1:5000 IHC 1:20-1:200 IF 1:50-1:500 IP 1:200-1:2000 -
Protocols:
-
儲存條件:Upon receipt, store at -20°C or -80°C. Avoid repeated freeze.
-
貨期:Basically, we can dispatch the products out in 1-3 working days after receiving your orders. Delivery time maybe differs from different purchasing way or location, please kindly consult your local distributors for specific delivery time.
-
用途:For Research Use Only. Not for use in diagnostic or therapeutic procedures.
引用文獻
- Cancer-associated fibroblast-derived CXCL11 modulates hepatocellular carcinoma cell migration and tumor metastasis through the circUBAP2/miR-4756/IFIT1/3 axis Shuang-Jian Qiu,Cell Death & Disease,2021
相關產品
靶點詳情
-
功能:IFN-induced antiviral protein which acts as an inhibitor of cellular as well as viral processes, cell migration, proliferation, signaling, and viral replication. Enhances MAVS-mediated host antiviral responses by serving as an adapter bridging TBK1 to MAVS which leads to the activation of TBK1 and phosphorylation of IRF3 and phosphorylated IRF3 translocates into nucleus to promote antiviral gene transcription. Exhibits an antiproliferative activity via the up-regulation of cell cycle negative regulators CDKN1A/p21 and CDKN1B/p27. Normally, CDKN1B/p27 turnover is regulated by COPS5, which binds CDKN1B/p27 in the nucleus and exports it to the cytoplasm for ubiquitin-dependent degradation. IFIT3 sequesters COPS5 in the cytoplasm, thereby increasing nuclear CDKN1B/p27 protein levels. Upregulates CDKN1A/p21 by downregulating MYC, a repressor of CDKN1A/p21. Can negatively regulate the apoptotic effects of IFIT2.
-
基因功能參考文獻:
- We provided the evidence that IFIT3 was up-regulated during hepatic ischemia-reperfusion injury (IRI) and knockdown of IFIT3 exerted potent protective effects against hepatic IRI in vitro and in vivo. Our findings not only revealed the mechanism for IFIT3-regulated hepatic IRI, but also proposed potential clinical significance of treatment targeting IFIT3 for patients undergoing liver resection and liver transplantation. PMID: 29734133
- These findings indicated that hepatitis B virus-induced miR146a attenuates cell-intrinsic anti-viral innate immunity through targeting RIG-I and RIG-G. PMID: 27210312
- Low RIG-G expression is associated with lung cancer. PMID: 27602766
- Biomarker expression in pancreatic ductal adenocarcinoma (PDAC) of CXCR4, SMAD4, SOX9 and IFIT3 will be prospectively assessed by immunohistochemistry and verified by rt.-PCR from tumor and adjacent healthy pancreatic tissue of surgical specimen. PMID: 28356064
- these data suggest that postpartum, the normalization of the physiological rheostat controlling IFN signaling depends on IFNL3 genotype. PMID: 27601663
- Higher expression of IFIT3 enhances anti-apoptotic activity and chemotherapy resistance of pancreatic ductal adenocarcinoma cells. High expression of IFIT3 was independently correlated to shorter patients' survival and may serve as a prognostic marker. PMID: 28210844
- Among the associated variants were two in regions previously unreported for COPD; a low frequency non-synonymous SNP in MOCS3 (rs7269297, pdiscovery=3.08x10(-6), preplication=0.019) and a rare SNP in IFIT3, which emerged in the meta-analysis (rs140549288, pmeta=8.56x10(-6)). PMID: 26917578
- HSV-1 was shown for the first time to evade the antiviral function of IFIT3 via UL41. PMID: 27681138
- results indicated that RIG-G level was high in maturated cells and low in blast cells, and suggested that RIG-G might play a role in the differentiation of bone marrow hemocytes in vivo PMID: 26686474
- The transcription factor SOX9, which is linked to regulation of hypoxia-related genes, was identified as a key mediator of upregulation of the oncogene IFIT3 and thereby sustaining a "pseudoinflammatory" cellular condition in pancreatic tumors. PMID: 25650658
- Reovirus T3D infection induced STAT-1, ISG-15, IFIT-1, Mx1 and IFIT-3 expression. PMID: 25905045
- In cell models of dengue virus 2 infection, authors found that IFITM3 contributed to both the baseline and interferon-induced inhibition of virus entry. PMID: 25131332
- protective roles of IFIT3 following IFN-alpha production in DV infection of human lung epithelial cells PMID: 24223959
- these findings reveal for the first time the negative regulation of Rig-G on SCF-E3 ligase activities through disrupting CSN complex, not only contributing to further investigation on biological functions of Rig-G, but also leading to better understanding of the CSN complex as a potential target in tumor diagnosis and treatment. PMID: 23415865
- RIG-G gene expression is closely correlated with the cross-talk between all-trans retinoic acid and IFN-alpha-induced signaling pathways in NB4 tumor cells. PMID: 22490698
- our study characterizes IFIT3 as an important modulator in innate immunity PMID: 21813773
- All-trans retinoic acid upregulated RIG-G in NB4 cells by upregulating IRF1, IRF9 and STAT2. PMID: 20137113
- The complex STAT2/IRF-9 is the key factor mediating the expression of RIG-G gene regulated by IFN-alpha. PMID: 20403236
- concluded that the expression of RIG-G was independent on the classical JAK-STAT pathway, but could be greatly increased by it. PMID: 21056555
- Identification of alpha interferon-induced genes associated with antiviral activity in Daudi cells and characterization of IFIT3 as a novel antiviral gene. PMID: 20686046
- transcription factors for the reporter gene. CONCLUSION: Both ISRE I and ISRE II on the RIG-G promoter are the binding sites for the complex of transcription factors. They are required for RIG-G expression, and ISRE I has a preferential role over ISRE II. PMID: 20533260
- The induction of IFIT4 transcription by IFN-alpha depends upon sequential activation of PKCdelta, JNK and STAT1, and the influence of PKCdelta or JNK on IFN-alpha-mediated induction of IFIT4 is dependent upon the phosphorylation of STAT1 at Ser-727. PMID: 17933493
- IFIT4 may play roles in promoting monocyte differentiation into dendritic cell-like cells (DCLCs) and in directing DCLCs to modulate T-helper-1 cell differentiation, thus contributing to the autoimmunity and pathogenesis of systemic lupus erythematosus. PMID: 18706081
- Induction of RIG-G by retinoic acid in NB4 cells resulted, to some extent, from an IFNalpha autocrine pathway, a finding that suggests a novel mechanism for the signal cross-talk between IFNalpha and retinoic acid. PMID: 19351818
顯示更多
收起更多
-
亞細胞定位:Cytoplasm. Mitochondrion.
-
蛋白家族:IFIT family
-
組織特異性:Expression significantly higher in peripheral blood mononuclear cells (PBMCs) and monocytes from systemic lupus erythematosus (SLE) patients than in those from healthy individuals (at protein level). Spleen, lung, leukocytes, lymph nodes, placenta, bone m
-
數據庫鏈接:
Most popular with customers
-
YWHAB Recombinant Monoclonal Antibody
Applications: ELISA, WB, IHC, IF, FC
Species Reactivity: Human, Mouse, Rat
-
Phospho-YAP1 (S127) Recombinant Monoclonal Antibody
Applications: ELISA, WB, IHC
Species Reactivity: Human
-
-
-
-
-
-















