IDH3A Antibody
-
中文名稱:IDH3A兔多克隆抗體
-
貨號:CSB-PA010991LA01HU
-
規格:¥440
-
圖片:
-
Western Blot
Positive WB detected in: HepG2 whole cell lysat, Jurkat whole cell lysate, Rat brain tissue, Mouse brain tissue, Mouse liver tissue
All lanes: IDH3A antibody at 3.4µg/ml
Secondary
Goat polyclonal to rabbit IgG at 1/50000 dilution
Predicted band size: 40, 32 kDa
Observed band size: 40 kDa -
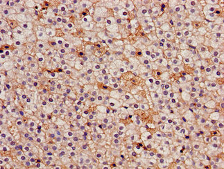
Immunohistochemistry of paraffin-embedded human adrenal gland tissue using CSB-PA010991LA01HU at dilution of 1:100
-
Immunofluorescent analysis of A549 cells using CSB-PA010991LA01HU at dilution of 1:100 and Alexa Fluor 488-congugated AffiniPure Goat Anti-Rabbit IgG(H+L)
-
Immunoprecipitating IDH3A in HepG2 whole cell lysate
Lane 1: Rabbit control IgG instead of CSB-PA010991LA01HU in HepG2 whole cell lysate. For western blotting, a HRP-conjugated Protein G antibody was used as the secondary antibody (1/2000)
Lane 2: CSB-PA010991LA01HU (6µg) + HepG2 whole cell lysate (500µg)
Lane 3: HepG2 whole cell lysate (20µg)
-
-
其他:
產品詳情
-
產品名稱:Rabbit anti-Homo sapiens (Human) IDH3A Polyclonal antibody
-
Uniprot No.:
-
基因名:IDH3A
-
別名:H IDH alpha antibody; HIDH alpha antibody; IDH3A antibody; IDH3A_HUMAN antibody; Isocitrate dehydrogenase (NAD+) alpha chain precursor antibody; Isocitrate dehydrogenase [NAD] subunit alpha antibody; Isocitrate dehydrogenase [NAD] subunit alpha mitochondrial antibody; Isocitrate dehydrogenase 3 (NAD+) alpha antibody; Isocitrate dehydrogenase antibody; Isocitric dehydrogenase antibody; Isocitric dehydrogenase subunit alpha antibody; mitochondrial antibody; NAD antibody; NAD(+)-specific ICDH subunit alpha antibody; NAD(H) specific isocitrate dehydrogenase alpha subunit precursor antibody; NAD+ specific ICDH antibody; NADsubunit alpha mitochondrial precursor antibody; OTTHUMP00000184906 antibody
-
宿主:Rabbit
-
反應種屬:Human, Mouse, Rat
-
免疫原:Recombinant Human Isocitrate dehydrogenase [NAD] subunit alpha, mitochondrial protein (28-108AA)
-
免疫原種屬:Homo sapiens (Human)
-
標記方式:Non-conjugated
本頁面中的產品,IDH3A Antibody (CSB-PA010991LA01HU),的標記方式是Non-conjugated。對于IDH3A Antibody,我們還提供其他標記。見下表:
-
克隆類型:Polyclonal
-
抗體亞型:IgG
-
純化方式:>95%, Protein G purified
-
濃度:It differs from different batches. Please contact us to confirm it.
-
保存緩沖液:Preservative: 0.03% Proclin 300
Constituents: 50% Glycerol, 0.01M PBS, pH 7.4 -
產品提供形式:Liquid
-
應用范圍:ELISA, WB, IHC, IF, IP
-
推薦稀釋比:
Application Recommended Dilution WB 1:500-1:5000 IHC 1:20-1:200 IF 1:50-1:200 IP 1:200-1:2000 -
Protocols:
-
儲存條件:Upon receipt, store at -20°C or -80°C. Avoid repeated freeze.
-
貨期:Basically, we can dispatch the products out in 1-3 working days after receiving your orders. Delivery time maybe differs from different purchasing way or location, please kindly consult your local distributors for specific delivery time.
-
用途:For Research Use Only. Not for use in diagnostic or therapeutic procedures.
相關產品
靶點詳情
-
功能:Catalytic subunit of the enzyme which catalyzes the decarboxylation of isocitrate (ICT) into alpha-ketoglutarate. The heterodimer composed of the alpha (IDH3A) and beta (IDH3B) subunits and the heterodimer composed of the alpha (IDH3A) and gamma (IDH3G) subunits, have considerable basal activity but the full activity of the heterotetramer (containing two subunits of IDH3A, one of IDH3B and one of IDH3G) requires the assembly and cooperative function of both heterodimers.
-
基因功能參考文獻:
- The silencing of IDH3a significantly delayed tumor growth by suppressing the HIF-1-mediated Warburg effect and angiogenesis. PMID: 25531325
- for IDH, a normal alpha subunit is required for catalytic activity and alpha-Arg88 likely participates in the isocitrate site, whereas the beta and gamma subunits have roles in the nucleotide functions of this allosteric enzyme PMID: 14555658
- active sites of the human NAD-IDH are shared between alpha and gamma subunits and between alpha and beta subunits PMID: 16737955
- Asp181 is essential for nicotinamide-adenine dinucleotide (NAD)-specific IDH alpha subunit catalysis and may also facilitate the binding of substrates. PMID: 17432878
-
亞細胞定位:Mitochondrion.
-
蛋白家族:Isocitrate and isopropylmalate dehydrogenases family
-
數據庫鏈接:
Most popular with customers
-
-
Phospho-YAP1 (S127) Recombinant Monoclonal Antibody
Applications: ELISA, WB, IHC
Species Reactivity: Human
-
-
-
-
-
-















