ID4 Antibody
-
中文名稱:ID4兔多克隆抗體
-
貨號:CSB-PA935129
-
規格:¥1100
-
圖片:
-
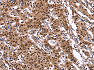
The image on the left is immunohistochemistry of paraffin-embedded Human gastic cancer tissue using CSB-PA935129(ID4 Antibody) at dilution 1/40, on the right is treated with synthetic peptide. (Original magnification: ×200)
-
The image on the left is immunohistochemistry of paraffin-embedded Human brain tissue using CSB-PA935129(ID4 Antibody) at dilution 1/40, on the right is treated with synthetic peptide. (Original magnification: ×200)
-
-
其他:
產品詳情
-
Uniprot No.:
-
基因名:
-
別名:bHLHb27 antibody; Class B basic helix-loop-helix protein 27 antibody; DNA binding protein inhibitor ID 4 antibody; DNA binding protein inhibitor ID4 antibody; DNA-binding protein inhibitor ID-4 antibody; ID 4 antibody; Id4 antibody; ID4_HUMAN antibody; IDB4 antibody; Inhibitor of DNA binding 4 antibody; Inhibitor of DNA binding 4 dominant negative helix loop helix protein antibody
-
宿主:Rabbit
-
反應種屬:Human,Mouse
-
免疫原:Synthetic peptide of Human ID4
-
免疫原種屬:Homo sapiens (Human)
-
標記方式:Non-conjugated
-
抗體亞型:IgG
-
純化方式:Antigen affinity purification
-
濃度:It differs from different batches. Please contact us to confirm it.
-
保存緩沖液:-20°C, pH7.4 PBS, 0.05% NaN3, 40% Glycerol
-
產品提供形式:Liquid
-
應用范圍:ELISA,IHC
-
推薦稀釋比:
Application Recommended Dilution ELISA 1:2000-1:5000 IHC 1:50-1:200 -
Protocols:
-
儲存條件:Upon receipt, store at -20°C or -80°C. Avoid repeated freeze.
-
貨期:Basically, we can dispatch the products out in 1-3 working days after receiving your orders. Delivery time maybe differs from different purchasing way or location, please kindly consult your local distributors for specific delivery time.
-
用途:For Research Use Only. Not for use in diagnostic or therapeutic procedures.
相關產品
靶點詳情
-
功能:Transcriptional regulator (lacking a basic DNA binding domain) which negatively regulates the basic helix-loop-helix (bHLH) transcription factors by forming heterodimers and inhibiting their DNA binding and transcriptional activity. Implicated in regulating a variety of cellular processes, including cellular growth, senescence, differentiation, apoptosis, angiogenesis, and neoplastic transformation.
-
基因功能參考文獻:
- Low ID4 expression is associated with breast cancer. PMID: 30066902
- These findings indicate that ID4 acts as a tumour suppressor in myeloid malignancies, and ID4 methylation is a potential biomarker in predicting disease progression and treatment outcome. PMID: 28452111
- results highlight a key role for MALAT1 in control of VEGFA isoforms expression in breast cancer cells expressing gain-of-function mutant p53 and ID4 proteins. PMID: 28652379
- Study demonstrates that ID4, can promote p53- dependent apoptosis and senescence in prostate cancer cells by specifically modifying the acetylation of p53, which increases its transcriptional activity and promotes the expression of pro-apoptotic and cell cycle regulatory genes. PMID: 27911860
- The cellular uptake of inhibitor of DNA binding 4 protein (ID4) resulted in increased apoptosis, decreased proliferation and colony formation. PMID: 27487149
- Several lines of evidence suggest ID4 may suppress BRCA1 function in basal-like breast cancer (BLBC) and in doing so, define a subset of BLBC patients who may respond to therapies traditionally used in BRCA1-mutant cancers. This review highlights recent advances in our understanding of the requirement for ID4 in mammary lineage commitment and the role for ID4 in BLBC. PMID: 27412917
- The expression of Id4 protein was up-regulated in tumor tissues from hepatocellular carcinoma (HCC) patients, and overexpression of Id4 promoted HCC cell proliferation, clonogenicity in vitro, and tumorigenicity in vivo. PMID: 28143562
- ID4 selectively regulates AR activity through direct interaction with FKBP52. PMID: 28252832
- High ID4 expression is associated with basal breast cancer. PMID: 28108512
- A cell-autonomous positive-signaling circuit is associated with the PDGFB-NO-ID4-regulatory axis in glioblastoma cells. PMID: 28327358
- ID4 expression induces AR expression in PC3 cells, which generally lack AR. ID4 expression increased apoptosis and decreased cell proliferation and invasion. PMID: 27462022
- CEACAM1 is able to maintain the active transcription of ID4 by an epigenetic mechanism involving HDAC4 and CaMK2D, and the same kinase enables lumen formation by CEACAM1 PMID: 27302061
- In the PPI network, genes may be involved in Down syndrome (DS) by interacting with others, including nuclear receptor subfamily 4 group A member 2 (NR4A2)early growth response (EGR)2 and NR4A2EGR3. Therefore, RUNX1, NR4A2, EGR2, EGR3 and ID4 may be key genes associated with the pathogenesis of DS. PMID: 27667480
- changes in gene amplification in the mitochondrial genome and in the ID4 gene promoter methylation region in patients with chronic aplastic anemia (CAA) suffering from Kidney (Shen) yin deficiency or Kidney yang deficiency, were analyzed. PMID: 25920536
- Hypermethylation of ID4 promotes the proliferation of Burkitt's lymphoma cells; ID4 may function as a tumor suppressor and can be targeted with demethylating compounds such as CdR for the treatment of Burkitt's lymphoma PMID: 26648013
- the unmethylation of ID4 is an epigenetic predictor of BRCAness phenotype in breast tumors. PMID: 26610810
- ID4 hypomethylation is present in tamoxifen-resistant breast cancer, and it may serve as a potential biomarker in distinguishing tamoxifen-resistant breast cancer. PMID: 26464711
- ID4 marks a stem cell-enriched subset of the mammary basal cell population. ID4 is specifically expressed by a subset of human basal-like breast cancer that possess a very poor prognosis and a transcriptional signature similar to a mammary stem cell. PMID: 25813983
- The results showed that the detection of ID4 methylation positivity rates and levels could be a useful biomarker for MDS diagnosis. PMID: 26228212
- The chromosomal deletion 6p22.3 could result in the aberrant activation and mis-expression of ID4 in the limb bud, thereby causing mesomelic dysplasia Savarirayan type. PMID: 26032025
- Myelodysplastic syndrome patients with ID4 methylation had shorter survival time than those without ID4 methylation . PMID: 25889027
- Increased hypermethylation of ID4 is associated with Triple negative breast cancer. PMID: 25684485
- Inhibitor of DNA Binding 4 (ID4) is highly expressed in human melanoma tissues and may function to restrict normal differentiation of melanoma cells PMID: 25642713
- TGF-beta suppression followed by Id4 expression results in extensive melanin synthesis and robust histiocyte recruitment following tumorigenesis PMID: 25363621
- Data indicate a PRC2 dependent mechanism in ID4 promoter silencing in prostate cancer through recruitment of EZH2 and a corresponding increase in H3K27Me3. PMID: 25115397
- The polymorphism at 3'UTR of lD4 gene can alter ID4 mRNA stability, and may be linked to the function of proteins. PMID: 25632614
- Id4 regulates NKX3.1, Sox9 and PTEN. PMID: 23786676
- ID4 acts as a tumor suppressor in prostate cancer, and its loss promotes castration-resistant prostate cancer through constitutive androgen receptor activation. PMID: 24921661
- Id4 has a role in suppressing MMP2-mediated invasion of glioblastoma-derived cells by direct inactivation of Twist1 function PMID: 24413082
- ID4 and GPR125 are expressed on partially overlapping spermatogonial populations and are more broadly expressed in normal adult human testis. ID4 and GPR125 could be used for identifying previously unrecognized human spermatogonial subpopulations PMID: 24902969
- results suggest that Id4 regulates the activity of p53 and promoted the assembly of a macromolecular complex involving CBP/P300 that resulted in acetylation of p53 at K373, a critical post-translational modification required for its biological activity. PMID: 24330748
- these results demonstrate loss of Id4 expression in prostate cancer due to promoter hypermethylation. The data strongly support the role of Id4 as a tumor suppressor. PMID: 23342267
- The methylation positivity rates of the ID4 and ZO-1 genes in the bone marrow and paraffin-embedded lymphoma tissues of non-Hodgkin lymphoma patients were significantly higher compared to the rates in the Hodgkin lymphoma patients. PMID: 23670122
- Id4 may alter molecular pathways such as those involving E2F1 to promote senescence and increased sensitivity to doxorubicin-induced apoptosis. PMID: 24122992
- Because both ID4 alone and a complex of SOX4 and OCT-4 activate SOX2 transcription, it is possible that multiple activation of SOX2 impair the prognosis of glioblastoma patients. PMID: 23613880
- These data suggest that methylation of Id4 may be involved in the pathogenesis of GBM and in the resistance of this neoplasm to conventional treatment throughout MGP-mediated neoangiogenesis. PMID: 23132729
- Id4 overexpression plays a role in the downregulation of BRCA1 in sporadic TNBCs of patients without BRCA1 germline mutation, and provide new insight into the biology of these tumors. PMID: 22538771
- ID4 downregulation may contribute to prostate cancer pathogenesis and is often accompanied by DNA hypermethylation. PMID: 21882048
- methyltransferase inhibitor 5-Aza-CdR can re-express the silent ID4 gene in K562 cells PMID: 22169289
- Results showed that DPP6, SPHKAP and ID4 were down regulated in acute myeloid leukemia (AML) patients. PMID: 22479372
- Compared with ron deficiency anemia patients, ID4 gene methylation changes of different degrees occur in AML patients with different subtypes and stages. PMID: 21729527
- Hypermethylation of the promoter was associated with loss of inhibitor of differentiation 4 (ID4) messenger RNA and protein expression. PMID: 21663940
- The zo-1 and id4 genes in multiple myeloma cell lines all were methylation positive, and the methylation positive rates were significantly higher than in normal bone marrow. PMID: 21129259
- The id4 gene promoter in CML patients is unmethylated in chronic phase, but it is methylated in accelerated phase and blast crisis. PMID: 21176338
- Id4 gene methylation is found in myelodysplastic syndrome patients with higher ratio of blast cells. PMID: 19549375
- Results reveal a novel regulatory mechanism by which ID4-driven suppression of miR-9* induces SOX2, which imparts stemness potential and chemoresistance to glioma cells and GSCs. PMID: 21531766
- Methylation of Id4 promoter could indicate an increased risk of relapse in acute lymphoblastic leukemia. PMID: 18928580
- Id4 gene was methylated in leukemia and lymphoma cell lines. PMID: 19099656
- Study confirms the importance of the silencing of ID4 in murine and human CLL pathogenesis. PMID: 21098398
- Our results suggest that ID4 may be a therapeutic target in myelodysplastic syndrome PMID: 19853913
顯示更多
收起更多
-
亞細胞定位:Nucleus.
-
數據庫鏈接:
Most popular with customers
-
-
YWHAB Recombinant Monoclonal Antibody
Applications: ELISA, WB, IHC, IF, FC
Species Reactivity: Human, Mouse, Rat
-
-
-
-
-
-















