ICAM5 Antibody
-
中文名稱:ICAM5兔多克隆抗體
-
貨號:CSB-PA468797
-
規格:¥1100
-
圖片:
-
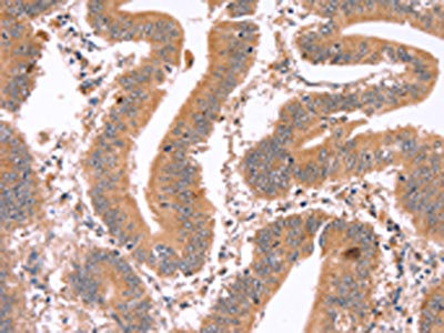
The image on the left is immunohistochemistry of paraffin-embedded Human colon cancer tissue using CSB-PA468797(ICAM5 Antibody) at dilution 1/20, on the right is treated with synthetic peptide. (Original magnification: ×200)
-
The image on the left is immunohistochemistry of paraffin-embedded Human brain tissue using CSB-PA468797(ICAM5 Antibody) at dilution 1/20, on the right is treated with synthetic peptide. (Original magnification: ×200)
-
-
其他:
產品詳情
-
Uniprot No.:
-
基因名:ICAM5
-
別名:ICAM5 antibody; TLCN antibody; TLNIntercellular adhesion molecule 5 antibody; ICAM-5 antibody; Telencephalin antibody
-
宿主:Rabbit
-
反應種屬:Human,Mouse
-
免疫原:Synthetic peptide of Human ICAM5
-
免疫原種屬:Homo sapiens (Human)
-
標記方式:Non-conjugated
-
抗體亞型:IgG
-
純化方式:Antigen affinity purification
-
濃度:It differs from different batches. Please contact us to confirm it.
-
保存緩沖液:-20°C, pH7.4 PBS, 0.05% NaN3, 40% Glycerol
-
產品提供形式:Liquid
-
應用范圍:ELISA,IHC
-
推薦稀釋比:
Application Recommended Dilution ELISA 1:1000-1:2000 IHC 1:25-1:100 -
Protocols:
-
儲存條件:Upon receipt, store at -20°C or -80°C. Avoid repeated freeze.
-
貨期:Basically, we can dispatch the products out in 1-3 working days after receiving your orders. Delivery time maybe differs from different purchasing way or location, please kindly consult your local distributors for specific delivery time.
-
用途:For Research Use Only. Not for use in diagnostic or therapeutic procedures.
相關產品
靶點詳情
-
功能:ICAM proteins are ligands for the leukocyte adhesion protein LFA-1 (integrin alpha-L/beta-2).
-
基因功能參考文獻:
- Here the authors identify neuron-specific intercellular adhesion molecule 5 (ICAM-5/telencephalin) as a cellular receptor for sialic acid-dependent and -independent entry of enterovirus D68. PMID: 27923705
- ICAM5 V301I and rs281439 variants may contribute to the susceptibility of breast cancer. [Meta-analysis] PMID: 23079714
- A specific microenvironment facilitating ARF6-mediated mobilization of TLN that contributes to promotion of dendritic spine development. PMID: 22781129
- study does not confirm association between ICAM 5 V3001 polymorphism and breast cancer risk PMID: 16434609
- ICAM-5 is involved in immune privilege of the brain and acts as an anti-inflammatory agent. PMID: 18223167
顯示更多
收起更多
-
亞細胞定位:Membrane; Single-pass type I membrane protein.
-
蛋白家族:Immunoglobulin superfamily, ICAM family
-
組織特異性:Expressed on neurons in the most rostral segment of the mammalian brain, the telencephalon.
-
數據庫鏈接:
Most popular with customers
-
-
YWHAB Recombinant Monoclonal Antibody
Applications: ELISA, WB, IHC, IF, FC
Species Reactivity: Human, Mouse, Rat
-
Phospho-YAP1 (S127) Recombinant Monoclonal Antibody
Applications: ELISA, WB, IHC
Species Reactivity: Human
-
-
-
-
-















