HTR3B Antibody
-
中文名稱:HTR3B兔多克隆抗體
-
貨號:CSB-PA641987
-
規格:¥1100
-
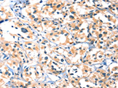
圖片:
-
The image on the left is immunohistochemistry of paraffin-embedded Human gastic cancer tissue using CSB-PA641987(HTR3B Antibody) at dilution 1/30, on the right is treated with synthetic peptide. (Original magnification: ×200)
-
The image on the left is immunohistochemistry of paraffin-embedded Human thyroid cancer tissue using CSB-PA641987(HTR3B Antibody) at dilution 1/30, on the right is treated with synthetic peptide. (Original magnification: ×200)
-
-
其他:
產品詳情
-
Uniprot No.:
-
基因名:HTR3B
-
別名:HTR3B; 5-hydroxytryptamine receptor 3B; 5-HT3-B; 5-HT3B; Serotonin receptor 3B
-
宿主:Rabbit
-
反應種屬:Human
-
免疫原:Synthetic peptide of Human HTR3B
-
免疫原種屬:Homo sapiens (Human)
-
標記方式:Non-conjugated
-
抗體亞型:IgG
-
純化方式:Antigen affinity purification
-
濃度:It differs from different batches. Please contact us to confirm it.
-
保存緩沖液:-20°C, pH7.4 PBS, 0.05% NaN3, 40% Glycerol
-
產品提供形式:Liquid
-
應用范圍:ELISA,IHC
-
推薦稀釋比:
Application Recommended Dilution ELISA 1:1000-1:2000 IHC 1:25-1:100 -
Protocols:
-
儲存條件:Upon receipt, store at -20°C or -80°C. Avoid repeated freeze.
-
貨期:Basically, we can dispatch the products out in 1-3 working days after receiving your orders. Delivery time maybe differs from different purchasing way or location, please kindly consult your local distributors for specific delivery time.
-
用途:For Research Use Only. Not for use in diagnostic or therapeutic procedures.
相關產品
靶點詳情
-
功能:This is one of the several different receptors for 5-hydroxytryptamine (serotonin), a biogenic hormone that functions as a neurotransmitter, a hormone, and a mitogen. This receptor is a ligand-gated ion channel, which when activated causes fast, depolarizing responses. It is a cation-specific, but otherwise relatively nonselective, ion channel.
-
基因功能參考文獻:
- A protective haplotype in HTR3B was also associated with OCD (OR = 0.77, CI = 0.63-0.95, permutated P = 0.0179). These results support that common HTR3 variants are involved in OCD and some of its clinical phenotypes PMID: 27616601
- This study did not found HTR3B play a major role in predicting Antipsychotic-Induced Weight Gain. PMID: 28531893
- the important role of HTR3B polymorphisms in heroin dependence among the Chinese Han population PMID: 27773795
- The HTR3B rs1176744 polymorphisms do not seem to directly influence experimental muscle pain in healthy individuals. However, women reported higher pain intensity and larger pain area than men, which might partly be attributed to genotype. PMID: 28002447
- the -AAG deletion variant of the 5-HT3B receptor gene may contribute to variability in response to antiemetic therapy for chemotherapy-induced nausea and vomiting PMID: 27488933
- Analysis of our small Chinese sample revealed a significant association of HTR3A with bipolar disorder, but yielded no evidence of an association between HTR3B and bipolar disorder. Furthermore, evidence for an association was found for a haplotype of HTR3A. PMID: 27706728
- Study demonstrates that the 5-HT3Br1 transcriptional variant of the 5-HT3B subunit can contribute to the functional properties of heteromeric receptors in a similar manner to the originally characterized 5-HT3B subunit PMID: 25951416
- The response to ondansetron for PONV was significantly influenced by the -100_-102AAG deletion polymorphisms of the 5-HT3B gene. Thus, the -100_-102AAG deletion variants may be a pharmacogenetic predictor for responsiveness to ondansetron for PONV. PMID: 26256989
- HTR3B gene variants may contribute to variability in severity of and response to antiemetic therapy for nausea and vomiting of pregnancy. PMID: 23786674
- we found an association of the HTR3B with poor concentration in schizophrenia patients.These results suggest that the HTR3B may be involved in the attention problem of schizophrenia in Korean population. PMID: 24880582
- Data suggest that HTR3A/HTR3B subunits readily form functionally distinct heteromeric receptors; molecular models have been developed regarding affinities of competitive ligands, non-competitive antagonists, and allosteric modulators. [REVIEW] PMID: 23489111
- This is the first study to show an association between 5-HTR3B and PCS scores, thus suggesting a role of the serotonin pathway in pain catastrophizing. PMID: 24244382
- The ability of 5-HT to gate the homomeric or heteromeric receptor appears to rely on the D loop triplet RQY of the complementary face. PMID: 23810831
- variants in HTR3A, HTR3B, and SLC6A4 interactively contribute to etiology of alcohol, cocaine, and nicotine dependence PMID: 24590108
- the stoichiometry of 5-HT3AB receptors on the plasma membrane PMID: 23972841
- Genetic interactions between HTR3B, HTR3A and SLC6A4 play a significant role in nicotine dependence in both European American and African American smokers. PMID: 23290502
- Five single nucleotide polymorphisms (SNPs) in HTR3A and HTR3B were found. PMID: 23464988
- Genetic variability within SLC6A4, HTR3A, and HTR3B contributes to the risk of alcohol dependence and related phenotypes. PMID: 23757001
- Polymorphisms in the HTR3B gene are predictors of reduced alcohol drinking in response to ondansetron. PMID: 23897038
- HTR3A and HTR3B were detected in all investigated brain tissues with the exception of the cerebellum, and large differences in the A:B subunit ratio were observed. PMID: 22832903
- The HTR3B rs1176744 gain-of-function Ser129 allele predicted alcohol dependence & was more common in men with alcohol and drug dependence. PMID: 20838391
- No associations were found with the 5-HT3B receptor haplotypes and the risk of delayed chemotherapy-induced nausea and vomiting in patients treated with ondansetron and metoclopramide. PMID: 21840870
- findings indicate that HTR3A and HTR3B polymorphisms may not play a major role in the susceptibility to suicidal behavior in schizophrenia subjects. PMID: 21184810
- Six functional and coding variants of the subunit genes HTR3A, HTR3B as well as the novel HTR3C, HTR3D, and HTR3E subunits in the response to haloperidol or risperidone, were assessed. PMID: 19794330
- role of the subunits A and B of the HTR3 receptor using 140 schizophrenia patients taking clozapine for 6 months PMID: 20168265
- Cell surface expression of 5-hydroxytryptamine type 3 receptors is controlled by an endoplasmic reticulum retention signal PMID: 12750374
- Only 1.3% of antiemetic treatment failure with 5-HT3 receptor antagonists is associated with 5-HT3B receptor gene variant PMID: 12775740
- By constructing chimaeric 5-HT3A and 5-HT3B subunits we identified a region (the 'HA-stretch') within the large cytoplasmic loop of the receptor that markedly influences channel conductance PMID: 12867984
- 5-HT excited human enteric neurons via 5-HT3 receptors, which may comprise both 5-HT3A and 5-HT3B receptor subunits. PMID: 15887114
- Six sequence variants found in Gilles de la Tourette syndrome. PMID: 16314763
- Different transcriptional regulation of the HTR3B gene by two alternative promoters in the peripheral and the central nervous system leads to expression of transcripts with variations in the 5' coding sequence. PMID: 17010535
- The -100_-102AAG deletion variant of the 5-HT3B receptor gene may affect paroxetine-induced nausea. PMID: 17697394
- an HTR3B variant associated with major depression dramatically augments the signaling of the human 5-HT3AB receptor PMID: 18184810
- the incorporation of the 5-HT3B subunit leads to spontaneous channel opening and altered ligand properties PMID: 18187416
- performed electrophoretic mobility shift and luciferase reporter gene assays to elucidate the effect of this -100_-102delAAG deletion polymorphism on the HTR3B promoter activity in PC-12 and HEK293 cells PMID: 18300944
- Variants in the HTR3B gene is associated with psychiatric diseases PMID: 18698232
- The results suggest that HTR3B is involved in the development of TRS in the Japanese population. PMID: 18807291
- 5-HT3B(I143T)-containing 5-HT3AB receptors display significantly reduced cell surface expression and different signalling properties compared with WT 5-HT3AB receptors. PMID: 19008750
- 5-HT3R might contribute to the imbalance between excitation and inhibition that characterize the brain of alcoholics PMID: 19185213
- Genetic variations in the HTR3A and HTR3B gene seem to be associated with the individual risk of developing postoperative vomiting. PMID: 19713259
- an involvement of serotonin receptor type 3B variants in the aetiopathology of eating disorders in humans. PMID: 19741568
- Meta-analysis of gene-disease association, gene-environment interaction, and pharmacogenomic / toxicogenomic. (HuGE Navigator) PMID: 18982004
顯示更多
收起更多
-
亞細胞定位:Cell membrane; Multi-pass membrane protein. Note=Presumably retained within the endoplasmic reticulum unless complexed with HTR3A.
-
蛋白家族:Ligand-gated ion channel (TC 1.A.9) family, 5-hydroxytryptamine receptor (TC 1.A.9.2) subfamily, HTR3B sub-subfamily
-
組織特異性:Expressed in the brain cortex, in the caudate nucleus, the hyppocampus, the thalamus and the amygdala. Detected in the kidney and testis as well as in monocytes of the spleen, small and large intestine, uterus, prostate, ovary and placenta.
-
數據庫鏈接:
Most popular with customers
-
-
YWHAB Recombinant Monoclonal Antibody
Applications: ELISA, WB, IHC, IF, FC
Species Reactivity: Human, Mouse, Rat
-
Phospho-YAP1 (S127) Recombinant Monoclonal Antibody
Applications: ELISA, WB, IHC
Species Reactivity: Human
-
-
-
-
-















