HTR1A Antibody
-
中文名稱:HTR1A兔多克隆抗體
-
貨號:CSB-PA109594
-
規格:¥1100
-
圖片:
-
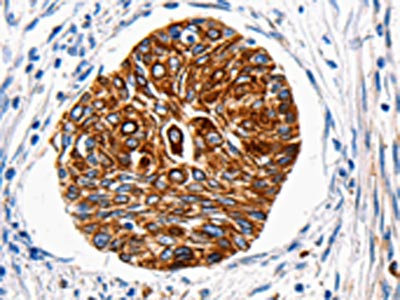
The image is immunohistochemistry of paraffin-embedded Human cervical cancer tissue using CSB-PA109594(HTR1A Antibody) at dilution 1/100. (Original magnification: ×200)
-
Gel: 8%SDS-PAGE, Lysate: 30 μg, Lane 1-2: HT29 cells, Mouse brain tissue, Primary antibody: CSB-PA109594(HTR1A Antibody) at dilution 1/1500, Secondary antibody: Goat anti rabbit IgG at 1/8000 dilution, Exposure time: 2 minutes
-
-
其他:
產品詳情
-
Uniprot No.:
-
基因名:
-
別名:HTR1A; ADRB2RL1; ADRBRL1; 5-hydroxytryptamine receptor 1A; 5-HT-1A; 5-HT1A; G-21; Serotonin receptor 1A
-
宿主:Rabbit
-
反應種屬:Human,Mouse,Rat
-
免疫原:Synthetic peptide of Human HTR1A
-
免疫原種屬:Homo sapiens (Human)
-
標記方式:Non-conjugated
-
抗體亞型:IgG
-
純化方式:Antigen affinity purification
-
濃度:It differs from different batches. Please contact us to confirm it.
-
保存緩沖液:-20°C, pH7.4 PBS, 0.05% NaN3, 40% Glycerol
-
產品提供形式:Liquid
-
應用范圍:ELISA,WB,IHC
-
推薦稀釋比:
Application Recommended Dilution ELISA 1:2000-1:10000 WB 1:1000-1:5000 IHC 1:100-1:300 -
Protocols:
-
儲存條件:Upon receipt, store at -20°C or -80°C. Avoid repeated freeze.
-
貨期:Basically, we can dispatch the products out in 1-3 working days after receiving your orders. Delivery time maybe differs from different purchasing way or location, please kindly consult your local distributors for specific delivery time.
-
用途:For Research Use Only. Not for use in diagnostic or therapeutic procedures.
相關產品
靶點詳情
-
功能:G-protein coupled receptor for 5-hydroxytryptamine (serotonin). Also functions as a receptor for various drugs and psychoactive substances. Ligand binding causes a conformation change that triggers signaling via guanine nucleotide-binding proteins (G proteins) and modulates the activity of down-stream effectors, such as adenylate cyclase. Beta-arrestin family members inhibit signaling via G proteins and mediate activation of alternative signaling pathways. Signaling inhibits adenylate cyclase activity and activates a phosphatidylinositol-calcium second messenger system that regulates the release of Ca(2+) ions from intracellular stores. Plays a role in the regulation of 5-hydroxytryptamine release and in the regulation of dopamine and 5-hydroxytryptamine metabolism. Plays a role in the regulation of dopamine and 5-hydroxytryptamine levels in the brain, and thereby affects neural activity, mood and behavior. Plays a role in the response to anxiogenic stimuli.
-
基因功能參考文獻:
- Study related 5-HT1A -cortical thickness correlation coefficients to the number of tracts connecting that region and the raphe, as measured by diffusion tensor imaging. The 5-HT1A -cortical thickness association correlated significantly with the number of tracts to each region. Defect in the raphe may affect the PCC within the default mode network in major depressive disorder through serotonergic fibers. PMID: 29323797
- The results suggest that HTR1A/1B DNA hypomethylation and its interaction with recent life stress might drive impaired antidepressant treatment response. Meanwhile, DNA methylation, in turn, was modified by antidepressant treatment and environments. PMID: 29275155
- Study found a significant interaction effect of the serotonin transporter-linked polymorphic region (5-HTTLPR) and the polymorphism in the serotonin 1A receptor gene (rs6295) on the connectivity within the right frontoparietal network, specifically in the middle frontal gyrus and inferior parietal lobule. Mean connectivity in the right inferior parietal lobule was positively correlated with working memory performance. PMID: 28793232
- results provide further supportive evidence of the effect of HTR1A and HTR5A on the etiology of schizophrenia and suggest that the selected genetic variations in HTR5A may be involved in impaired executive function. PMID: 27897266
- It is unlikely that the investigated genetic variants are clinically relevantly associated with depression after diagnosis of cancer. PMID: 28590587
- Studied association of aggression and 5-HTTLPR, 5HTR1A, and 5HTR2A genetic polymorphisms in industrial Russian and traditional Tanzanian population groups. PMID: 29661255
- Our results are in line with preclinical data, mouse model knockout studies as well as previous clinical analyses in major depressive disorder, demonstrating the two-pronged effect of the G allele on 5-HT1A receptor binding for, we believe, the first time. PMID: 28608854
- In summary, our results suggest that, by genetic association, the mu-opioid receptor interacts with serotonin transporter and serotonin 1A receptor to modulate exercise-induced hypoalgesia in fibromyalgia. PMID: 28282362
- Both expressions of CC2D1A and HTR1A genes studied on autism spectrum disorder cases and controls were significantly different PMID: 26782176
- Review/Meta-analysis: antipsychotic treatment may be more effective in improving negative symptoms in schizophrenic C allele than in G allele carriers of the HTR1A rs6295 polymorphism. PMID: 26568455
- The rs6295 single nucleotide polymorphism (SNP) in the 5HTR1A promoter region was associated with suicide attempt, psychiatric hospitalizations, and substance use disorder PMID: 28470485
- the rs6295 SNP, as a suspected variant that indicates susceptibility to schizophrenia, exhibited a higher transcriptional activity. PMID: 27939355
- This study demonstrated that a significant decrease in the protein level of 5-HT1A in major depression disorder. PMID: 27661418
- 5-HT1A rs10042486 was significantly associated with schizophrenia PMID: 27756686
- Results reveal the broad dependence that the 5-HT1A receptor has on plasma membrane properties, demonstrating that membrane lipid composition is a biochemical control parameter and highlighting the possibility that compositional changes related to aging, diet, or disease could impact cell signaling functions PMID: 27276266
- Sphingosine modulates the function of human serotonin1A receptors. PMID: 27984018
- The ganglioside GM1 interacts with the serotonin1A receptor via the sphingolipid binding domain. PMID: 27552916
- 5-HT1A C-1019G (rs6295) can predict aripiprazole treatment response specifically for cognitive and depressive symptoms in schizophrenia. PMID: 28027114
- results show that the oxidation of the hydroxyl group of cholesterol in live cells resulted in enhancement of agonist binding and G-protein coupling to the serotonin1A receptor with no appreciable change in overall membrane order; results extend our understanding of the structural requirements of cholesterol for receptor function PMID: 28109756
- rs6295 [C]-allele protects against depressive mood in elderly endurance athletes PMID: 26866771
- A single-nucleotide polymorphism of the serotonin 1a receptor gene (HTR1A) has been designated rs6295.28 and found to be overrepresented in suicide and associated with a decreased responsiveness to antidepressants. PMID: 26926882
- Results reported here strongly support the role of 5-HT1A partial agonism as a means of restoring cognitive function following subchronic treatment with an NMDAR non-competitiave antagonist PMID: 26342283
- This study demonistrated that cue learning, trait anxiety and genetic variability in 5-HTR1A are involved in the regulation of contextual anxiety. PMID: 25448266
- epistatic effects of 5HTR1A and 5HTR2A genes on suicidal behaviour were not significant PMID: 26544898
- Our findings provide supportive evidence that genetic polymorphisms in SLC6A4 and HTR1A may influence the risk of SZ in Han Chinese individuals PMID: 26408209
- IPO11-HTR1A is a significant risk gene region for attention deficit hyperactivity disorder in Caucasians. PMID: 26079129
- Also patients with a higher level of alexithymia and the HTR1A-G gene variant are more vulnerable to experiencing IFN-induced depressive symptoms PMID: 26609890
- No significant association was found between SNPs in HTR1A (rs6295), HTR2A (rs6311 and rs6313) and SLC6A4 and response to escitalopram in patients with major depressive disorder PMID: 26261165
- SNPs associated antipsychotic effectiveness in schizophrenia PMID: 25822479
- Increased serotonin function may result in further dysregulation of thalamocortical signals and so promote the expression of dyskinesias. PMID: 25649022
- The data on the distribution of allele and genotype frequencies of the HTR1A, HTR2A, and HTR1B genes can be used to determine the associations of the identified markers with various forms of human aggressive behavior. PMID: 26845861
- Studied site-directed mutants of the HTR1A receptor in application of yeast-based signaling sensor. PMID: 25850571
- mood disorders and HTR1A G allele variation, the C-1019G polymorphism of the transcriptional control region of the 5-HT1A receptor, independently predicted the incidence of IFN-induced depression in HCV patients. PMID: 26001668
- There was no impact of BDNF Val66Met genotype on serotonin transporter and serotonin-1A receptor BDNF binding. PMID: 25188405
- The C-1019G polymorphism of 5-HT1A was significantly associated with the odds of being single both before and after controlling for socioeconomic status, external appearance, religious beliefs, parenting style, and depressive symptoms. PMID: 25412229
- The findings support the hypothesis that COMT rs4680 and 5-HT1A-R rs6295 polymorphisms could influence the negative symptom response to clozapine, probably through modulation of the dopaminergic system. PMID: 25560469
- polymorphisms in the serotonin transporter gene are not associated with thermal pain sensation in healthy individuals PMID: 25472558
- The present results demonstrate that 5-HT signaling through the 5-HT1A receptor regulates some circadian properties PMID: 25446224
- Results suggest that the epileptic hippocampus of patients with mesial temporal lobe epilepsy presents an increase in 5-HT1A receptor-induced G-protein functional activation PMID: 25304920
- These findings provide the first evidence for the link between 5-HT1A and the development of alexithymic characteristics and attachment orientation. PMID: 25247748
- HTR1A variants play a central role in differentiating subgroups of patients with anxiety disorders. PMID: 25514753
- G/G genotype of HTR1A (rs6295) is associated with poor working memory in the premenstrual phase of PMDD-diagnosed women. PMID: 24158751
- Compared to GG and CG (1019) genotypes, men with CC genotype had a 250% and 190% shorter ejaculation time, respectively. PMID: 24440118
- 5-HT1A autoreceptors are recruited into a FGFR1-5-HT1A heteroreceptor complex in the midbrain raphe 5-HT nerve cells and may develop a novel function: a trophic role in midbrain 5-HT neuron systems originating from the dorsal and medianus raphe nuclei PMID: 25485703
- Epigenetic modification of transcriptional regulation by specific cytosine methylation may modulate HTR1A expression, resulting in effects on emotional dysfunction and negative symptom response to antipsychotic treatment. PMID: 24331356
- These data support a role for the 5-HT1A receptor in the aberrant decision-making that can occur in neuropsychiatric disorders such as depression PMID: 24429872
- In this review, 5-HT1A receptors are shown to interact with 5-HT7 receptors and have a role in depressive disorders. PMID: 24935787
- This study demonistrated that overexpression of platelet 5-HT1A receptors and reduced 5-HT tone may function as a peripheral marker of depression. PMID: 24657886
- IFN-alpha-related depression is associated with the CC genotype of the 5-HTR1A gene in hepatitis C patients. PMID: 24462335
- study found that rs6295 had no significant effect on the course of illness or treatment response in bipolar I disorder PMID: 24460115
顯示更多
收起更多
-
相關疾病:Periodic fever, menstrual cycle-dependent (PFMC)
-
亞細胞定位:Cell membrane; Multi-pass membrane protein. Cell projection, dendrite.
-
蛋白家族:G-protein coupled receptor 1 family, 5-hydroxytryptamine receptor subfamily, HTR1A sub-subfamily
-
組織特異性:Detected in lymph nodes, thymus and spleen. Detected in activated T-cells, but not in resting T-cells.
-
數據庫鏈接:
Most popular with customers
-
-
Phospho-YAP1 (S127) Recombinant Monoclonal Antibody
Applications: ELISA, WB, IHC
Species Reactivity: Human
-
-
-
-
-
-















