HSP90B1 Antibody
-
中文名稱:HSP90B1兔多克隆抗體
-
貨號:CSB-PA179036
-
規格:¥1100
-
圖片:
-
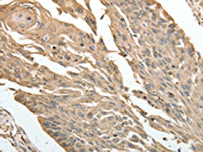
The image on the left is immunohistochemistry of paraffin-embedded Human cervical cancer tissue using CSB-PA179036(HSP90B1 Antibody) at dilution 1/30, on the right is treated with fusion protein. (Original magnification: ×200)
-
Gel: 10%SDS-PAGE, Lysate: 40 μg, Lane 1-4: Hela cells, human liver cancer tissue, Jurkat cells, NIH/3T3 cells, Primary antibody: CSB-PA179036(HSP90B1 Antibody) at dilution 1/500, Secondary antibody: Goat anti rabbit IgG at 1/8000 dilution, Exposure time: 3 seconds
-
-
其他:
產品詳情
-
Uniprot No.:
-
基因名:
-
別名:94 kDa glucose regulated protein antibody; 94 kDa glucose-regulated protein antibody; ECGP antibody; Endoplasmin antibody; Endothelial cell (HBMEC) glycoprotein antibody; ENPL_HUMAN antibody; Glucose regulated protein 94kDa antibody; gp96 antibody; gp96 homolog antibody; GRP 94 antibody; GRP-94 antibody; Heat shock protein 90 kDa beta member 1 antibody; heat shock protein 90kDa beta (Grp94); member 1 antibody; Heat shock protein; 90 kDa; beta; 1 antibody; HSP90B1 antibody; Stress inducible tumor rejection antigen GP96 antibody; TRA1 antibody; tumor rejection antigen (gp96) 1 antibody; Tumor rejection antigen 1 antibody; Tumor rejection antigen gp96 antibody; Tumor rejection antigen-1 (gp96) antibody
-
宿主:Rabbit
-
反應種屬:Human,Mouse,Rat
-
免疫原:Fusion protein of Human HSP90B1
-
免疫原種屬:Homo sapiens (Human)
-
標記方式:Non-conjugated
-
抗體亞型:IgG
-
純化方式:Antigen affinity purification
-
濃度:It differs from different batches. Please contact us to confirm it.
-
保存緩沖液:-20°C, pH7.4 PBS, 0.05% NaN3, 40% Glycerol
-
產品提供形式:Liquid
-
應用范圍:ELISA,WB,IHC
-
推薦稀釋比:
Application Recommended Dilution ELISA 1:2000-1:5000 WB 1:500-1:2000 IHC 1:25-1:100 -
Protocols:
-
儲存條件:Upon receipt, store at -20°C or -80°C. Avoid repeated freeze.
-
貨期:Basically, we can dispatch the products out in 1-3 working days after receiving your orders. Delivery time maybe differs from different purchasing way or location, please kindly consult your local distributors for specific delivery time.
-
用途:For Research Use Only. Not for use in diagnostic or therapeutic procedures.
相關產品
靶點詳情
-
功能:Molecular chaperone that functions in the processing and transport of secreted proteins. When associated with CNPY3, required for proper folding of Toll-like receptors. Functions in endoplasmic reticulum associated degradation (ERAD). Has ATPase activity. May participate in the unfolding of cytosolic leaderless cargos (lacking the secretion signal sequence) such as the interleukin 1/IL-1 to facilitate their translocation into the ERGIC (endoplasmic reticulum-Golgi intermediate compartment) and secretion; the translocation process is mediated by the cargo receptor TMED10.
-
基因功能參考文獻:
- Glucose-regulated protein GRP94 contributes to the development of an aggressive phenotype in breast cancer cells. PMID: 29852388
- Concomitant high expression of ERalpha36, GRP78 and GRP94 is associated with aggressive papillary thyroid cancer behavior and may be used as a predictor for extrathyroid extension, lymph node metastasis, and distant metastasis. PMID: 29368272
- Overexpressed miR-150 attenuates hypoxia-induced human cardiomyocyte cell apoptosis by targeting GRP94. PMID: 29328381
- Regulation of CLC-1 chloride channel biosynthesis by FKBP8 and Hsp90beta as a molecular model for myotonia congenita has been described. PMID: 27580824
- Study demonstrated that the lack of gp96 in both the human monocytic cell line MM6 and in macrophages from LysMcre-gp96 floxed mice neither leads to a complete loss of TLR 2 expression nor to a complete loss of TLR-induced signaling, but is associated with an impaired phosphorylation of ERK and p38. These results reveal for the first time a crucial role for gp96 in the regulation of ERK and p38 kinases. PMID: 29447283
- HSP-gp96 promotes T cell response, enhances DC antigen presentation and induces cytokine secretion in human gastric cancer cell lines. PMID: 28706421
- our results besides adding further evidence in support of Grp94 as the shared tumor antigen in tumors of the GI tract, prove that it can be measured in plasma as valuable diagnostic marker of disease in the form of complexes with IgG that also exert immune-modulating activities on circulating immune cells. PMID: 27662661
- High GRP94 expression is associated with endometrioid adenocarcinoma. PMID: 26910913
- Immuno-stimulating peptide derived from HMGB1 is more effective than the N-terminal domain of Gp96 as an endogenous adjuvant for improvement of protein vaccines. PMID: 28000571
- These data demonstrate the essential role of the gp96-TLR interaction in priming T cell immunity and provide further molecular basis for the coupling of gp96-mediated innate with adaptive immunity. PMID: 27183126
- mutations in GRP94 that affect its IGF chaperone activity represent a novel causal genetic mechanism that limits IGF biosynthesis, quite a distinct mechanism from the known genes in the GH/IGF signaling network. PMID: 26982636
- In this instance, the ATP5B/CALR/HSP90B1/HSPB1/HSPD1-signaling network was revealed as the predominant target which was associated with the majority of the observed protein-protein interactions. As a result, the identified targets may be useful in explaining the anticancer mechanisms of ursolic acid and as potential targets for colorectal cancer therapy. PMID: 28347227
- High HSP90B1 expression is associated with non-small-cell lung cancer. PMID: 27599983
- data suggest that the GRP94/CCT8/c-Jun/EMT signaling cascade might be a new therapeutic target for HCC PMID: 26718209
- We filtered four OSCC genes including SERPINB9, SERPINE2, GAK, and HSP90B1 through the gene global prioritization score (P < 0.005). PMID: 26318431
- Our results demonstrated that GRP94 is a key molecule in Hepatocellular carcinoma (HCC) progression that modulates the AKT pathway and eNOS levels PMID: 26493996
- Results indicate that FN14 and GRP94 are prediction/prognosis markers which open up new possibilities for preventing/treating brain metastasis in breast cancer patients. PMID: 26497551
- This study clarifies a Grp94-mediated ERAD pathway for GABAA receptors, which provides a novel way to finely tune their function in physiological and pathophysiological conditions. PMID: 26945068
- GRP94 knockdown cells are defective in intracellular transport and, consequently, negatively impact the trafficking of F-actin toward the cellular cortex, integrin alpha2 and integrin alphaL toward the cell membrane and filopodia PMID: 26872972
- Our results indicate that GRP94 and TRAP1 might contribute more to the carcinogenesis or biology of SCLC than HSP90alpha and HSP90beta PMID: 26464709
- These results demonstrated the pivotal role of HSP90B1 in the proliferation and survival of ovarian cells, suggesting a critical role for HSP90B1 in the pathogenesis of PCOS. PMID: 27046189
- data suggest a role of infection-induced Gp96 shedding in the protection of the chlamydial replicative niche PMID: 26235316
- Hsp90-beta protein was over-expressed in lung adenocarcinoma tissues and was associated with poor outcomes in early stage tumors and low pathological grade tumors. PMID: 26339394
- Data identified critical players in the pathogenesis of chronic lymphocytic leukemia (CLL) and shows that HSP90B1 expression is modulated by miR-223 in CLL tumor and cell lines and suggest that HSP90B1 overexpression as a new pathogenic mechanism of CLL. PMID: 25880332
- our findings establish GRP94 as progression markers and druggable targets in glioblastoma, relating their oncogenic effects to activation of the Wnt/b-catenin signaling pathway PMID: 26108996
- Grp94 was detected in plasma of type 1 diabetic but not control subjects and found linked with its N-terminus to the IgG heavy chain. PMID: 26167512
- HSP gp96-positive expression is closely correlated with poor survival in gallbladder cancer. PMID: 25973087
- High BCLC staging scores, advanced cirrhosis and the overexpression of HSPA12A and HSP90B1 might be associated with poor survival from HCC, whereas high levels of HSPA4, HSPA5 and HSPA6 might be associated with earlier recurrence of HCC PMID: 25798051
- High HSP90B1 expression is associated with bone metastasis in renal cell carcinoma. PMID: 26115722
- The interaction of Grp94 with myocilin aggregates can be manipulated by cellular environment and genetics; this process can be exploited with Grp94 inhibitors to promote the clearance of toxic forms of myocilin. PMID: 25027323
- Results suggest an important role for HSP90B1 protein GP96 during human herpesvirus 6 HHV-6 infection, which possibly supports the cellular degradation of the virus. PMID: 25470779
- NF-kB significantly increased the gp96 expression by binding to the NF-kappaB binding site. PMID: 25803899
- GRP94 does not play a direct role in endoplasmic reticulum associated degradation. PMID: 24899641
- Induction of gp96-expression was higher in in vitro differentiated dendritic cells (i.v.DCs) than in in vitro differentiated macrophages (i.v.MACs), whereas monocytes (MOs) expressed only low gp96 levels. PMID: 24146856
- Glucose-regulated protein 94 is a downstream effector of ER-alpha36-mediated oestrogen signalling, and may be involved in ER-alpha36 function during gastric carcinogenesis. PMID: 23829397
- The frequency of mutant CC genotype for HSP90AA1 (rs4947C/T), mutant AA genotype for HSP90AB1 (rs13296A/G) and mutant CC genotype for HSP90B1 (rs2070908 C/G) was significantly higher in the patient group than in controls. PMID: 24511009
- role of HSP72 and gp96 in gastroenterological cancers PMID: 23266770
- Hsp90B1 is a direct target of miR-223 and miR- 223 may have a tumor suppressor function in osteosarcoma through the PI3K/Akt/mTOR pathway. PMID: 23208072
- glucose-regulated protein 94 is new potential discriminator for diffuse large B cell lymphoma. PMID: 22938940
- Grp94 triages mutant myocilin through endoplasmic reticulum-associated degradation. PMID: 23035116
- The Listeria-induced surface expression of Gp96 and the topology of its insertion on the plasma membrane, is reported. PMID: 23109341
- Our study revealed a remarkable biochemical event of gp96 silencing in murine but not human basophils, highlighting the need for caution in using mouse models to infer the function of basophils in human immune response. PMID: 22724016
- Patients with high Gp96 expression levels were significantly more resistant to radiotherapy in nasopharyngeal carcinoma. PMID: 22653265
- Chaperone gp96-independent inhibition of endotoxin response by chaperone-based peptide inhibitors. PMID: 22532561
- Inhibition of the humoral response was the main effect of Grp94 that significantly reduced the synthesis and secretion of both IgG and IgE antibodies in preipheral blood mononuclear cells from patients with allergic asthma. PMID: 22270544
- gp96 is critical for both TLR9 egress from the ER, and for protein conformational stability in the endosomal compartment. PMID: 22554506
- higher expression in recurrent breast cancer promotes cancer cell proliferation and migration PMID: 22245095
- These analyses identified decorin (DCN) and endoplasmin (HSP90B1) which play important roles regulating the tumour microenvironment and in pathways related to tumorigenesis. PMID: 22363530
- GRP94, FN14, and inhibin have roles in brain and non-brain metastases in ErbB-2+ and ErbB-2- breast neoplasms PMID: 21708117
- Gp96 is bound by the C. albicans Als3 invasin, which induces the uptake of this organism by brain endothelial cells. PMID: 21998592
顯示更多
收起更多
-
亞細胞定位:Endoplasmic reticulum lumen. Sarcoplasmic reticulum lumen. Melanosome.
-
蛋白家族:Heat shock protein 90 family
-
數據庫鏈接:
Most popular with customers
-
-
YWHAB Recombinant Monoclonal Antibody
Applications: ELISA, WB, IHC, IF, FC
Species Reactivity: Human, Mouse, Rat
-
Phospho-YAP1 (S127) Recombinant Monoclonal Antibody
Applications: ELISA, WB, IHC
Species Reactivity: Human
-
-
-
-
-















